沉默的入侵者:异位acth依赖性库欣综合征患者的无症状红球菌感染

Q3 Medicine
European journal of case reports in internal medicine Pub Date : 2025-08-01 eCollection Date: 2025-01-01 DOI:10.12890/2025_005711
Shahzeb Saeed, George Fawzy, Ayesha Shah, Molly John
{"title":"沉默的入侵者:异位acth依赖性库欣综合征患者的无症状红球菌感染","authors":"Shahzeb Saeed, George Fawzy, Ayesha Shah, Molly John","doi":"10.12890/2025_005711","DOIUrl":null,"url":null,"abstract":"<p><strong>Introduction: </strong><i>Rhodococcus</i> species, particularly <i>Rhodococcus equi</i>, are rare opportunistic pathogens that typically affect immunocompromised individuals. These infections usually present with respiratory or systemic symptoms and are often linked to environmental exposure. Asymptomatic <i>Rhodococcus</i> infections are exceedingly rare and pose unique diagnostic and therapeutic challenges.</p><p><strong>Case description: </strong>We report the case of a 29-year-old male who presented with new-onset diabetes mellitus, resistant hypertension and significant weight gain. Physical examination revealed features consistent with Cushing's syndrome. Biochemical evaluation confirmed ACTH-dependent hypercortisolism with an elevated plasma ACTH level, and a lack of suppression on high-dose dexamethasone testing; imaging identified a suspicious pulmonary nodule. Bronchoscopic biopsy revealed no malignancy, however cultures grew <i>Rhodococcus</i> species. The patient denied any respiratory symptoms or environmental exposure. Initial antibiotic therapy with ciprofloxacin and rifampin was started. Follow-up imaging showed rapid enlargement of the pulmonary mass, prompting surgical resection. Histopathology revealed malakoplakia, and repeat cultures again yielded <i>Rhodococcus spp.</i> Antibiotics were adjusted to azithromycin and rifampin, and the patient was started on ketoconazole to manage hypercortisolism.</p><p><strong>Conclusion: </strong>This case highlights the importance of considering opportunistic infections such as <i>Rhodococcus spp.</i> in immunocompromised patients, even in the absence of symptoms. It underscores the diagnostic value of investigating incidental findings in such populations and illustrates the need for prompt, multidisciplinary management to prevent disease progression.</p><p><strong>Learning points: </strong>This case highlights the diagnostic complexity of incidental pulmonary nodules in immunocompromised patients, reinforcing the need for thorough microbiological investigation even in the absence of infection symptoms.It illustrates a rare, asymptomatic presentation of <i>Rhodococcus</i> infection in the context of ectopic ACTH-dependent Cushing's syndrome, a scenario not widely reported in the literature.Practical is given guidance on managing opportunistic infections and evaluating ectopic ACTH sources, aiding internists in navigating similar diagnostic and therapeutic challenges in complex endocrine-infectious overlaps.</p>","PeriodicalId":11908,"journal":{"name":"European journal of case reports in internal medicine","volume":"12 9","pages":"005711"},"PeriodicalIF":0.0000,"publicationDate":"2025-08-01","publicationTypes":"Journal Article","fieldsOfStudy":null,"isOpenAccess":false,"openAccessPdf":"https://www.ncbi.nlm.nih.gov/pmc/articles/PMC12416799/pdf/","citationCount":"0","resultStr":"{\"title\":\"A Silent Invader: Asymptomatic Rhodococcus Infection Unmasked in A Patient with Ectopic ACTH-Dependent Cushing's Syndrome.\",\"authors\":\"Shahzeb Saeed, George Fawzy, Ayesha Shah, Molly John\",\"doi\":\"10.12890/2025_005711\",\"DOIUrl\":null,\"url\":null,\"abstract\":\"<p><strong>Introduction: </strong><i>Rhodococcus</i> species, particularly <i>Rhodococcus equi</i>, are rare opportunistic pathogens that typically affect immunocompromised individuals. These infections usually present with respiratory or systemic symptoms and are often linked to environmental exposure. Asymptomatic <i>Rhodococcus</i> infections are exceedingly rare and pose unique diagnostic and therapeutic challenges.</p><p><strong>Case description: </strong>We report the case of a 29-year-old male who presented with new-onset diabetes mellitus, resistant hypertension and significant weight gain. Physical examination revealed features consistent with Cushing's syndrome. Biochemical evaluation confirmed ACTH-dependent hypercortisolism with an elevated plasma ACTH level, and a lack of suppression on high-dose dexamethasone testing; imaging identified a suspicious pulmonary nodule. Bronchoscopic biopsy revealed no malignancy, however cultures grew <i>Rhodococcus</i> species. The patient denied any respiratory symptoms or environmental exposure. Initial antibiotic therapy with ciprofloxacin and rifampin was started. Follow-up imaging showed rapid enlargement of the pulmonary mass, prompting surgical resection. Histopathology revealed malakoplakia, and repeat cultures again yielded <i>Rhodococcus spp.</i> Antibiotics were adjusted to azithromycin and rifampin, and the patient was started on ketoconazole to manage hypercortisolism.</p><p><strong>Conclusion: </strong>This case highlights the importance of considering opportunistic infections such as <i>Rhodococcus spp.</i> in immunocompromised patients, even in the absence of symptoms. It underscores the diagnostic value of investigating incidental findings in such populations and illustrates the need for prompt, multidisciplinary management to prevent disease progression.</p><p><strong>Learning points: </strong>This case highlights the diagnostic complexity of incidental pulmonary nodules in immunocompromised patients, reinforcing the need for thorough microbiological investigation even in the absence of infection symptoms.It illustrates a rare, asymptomatic presentation of <i>Rhodococcus</i> infection in the context of ectopic ACTH-dependent Cushing's syndrome, a scenario not widely reported in the literature.Practical is given guidance on managing opportunistic infections and evaluating ectopic ACTH sources, aiding internists in navigating similar diagnostic and therapeutic challenges in complex endocrine-infectious overlaps.</p>\",\"PeriodicalId\":11908,\"journal\":{\"name\":\"European journal of case reports in internal medicine\",\"volume\":\"12 9\",\"pages\":\"005711\"},\"PeriodicalIF\":0.0000,\"publicationDate\":\"2025-08-01\",\"publicationTypes\":\"Journal Article\",\"fieldsOfStudy\":null,\"isOpenAccess\":false,\"openAccessPdf\":\"https://www.ncbi.nlm.nih.gov/pmc/articles/PMC12416799/pdf/\",\"citationCount\":\"0\",\"resultStr\":null,\"platform\":\"Semanticscholar\",\"paperid\":null,\"PeriodicalName\":\"European journal of case reports in internal medicine\",\"FirstCategoryId\":\"1085\",\"ListUrlMain\":\"https://doi.org/10.12890/2025_005711\",\"RegionNum\":0,\"RegionCategory\":null,\"ArticlePicture\":[],\"TitleCN\":null,\"AbstractTextCN\":null,\"PMCID\":null,\"EPubDate\":\"2025/1/1 0:00:00\",\"PubModel\":\"eCollection\",\"JCR\":\"Q3\",\"JCRName\":\"Medicine\",\"Score\":null,\"Total\":0}","platform":"Semanticscholar","paperid":null,"PeriodicalName":"European journal of case reports in internal medicine","FirstCategoryId":"1085","ListUrlMain":"https://doi.org/10.12890/2025_005711","RegionNum":0,"RegionCategory":null,"ArticlePicture":[],"TitleCN":null,"AbstractTextCN":null,"PMCID":null,"EPubDate":"2025/1/1 0:00:00","PubModel":"eCollection","JCR":"Q3","JCRName":"Medicine","Score":null,"Total":0}
引用次数: 0

摘要

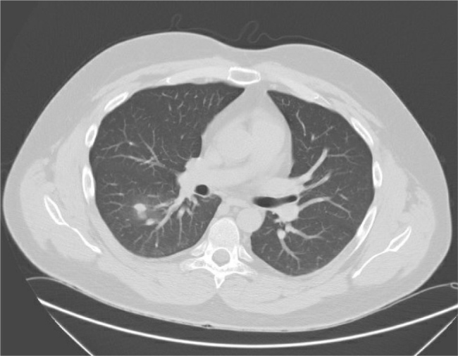
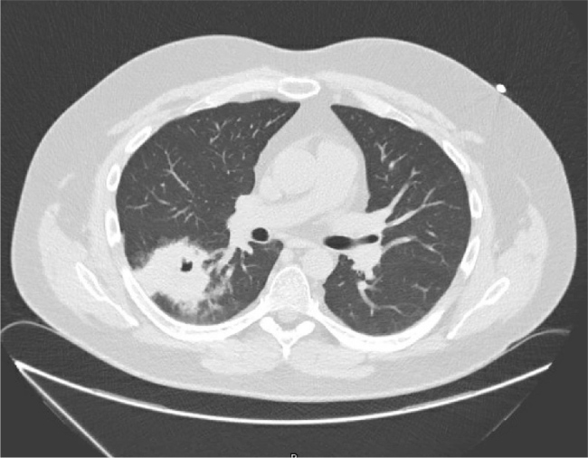
简介:红球菌,特别是马红球菌,是罕见的机会性病原体,通常影响免疫功能低下的个体。这些感染通常表现为呼吸道或全身症状,通常与环境暴露有关。无症状红球菌感染是非常罕见的,并提出了独特的诊断和治疗挑战。病例描述:我们报告一例29岁男性,新发糖尿病,顽固性高血压和体重明显增加。体格检查显示与库欣综合征相符的特征。生化评价证实ACTH依赖性高皮质醇血症伴血浆ACTH水平升高,且对大剂量地塞米松检测缺乏抑制;影像学发现可疑肺结节。支气管镜活检未见恶性肿瘤,但培养物生长红球菌。病人否认有任何呼吸道症状或环境暴露。开始环丙沙星和利福平的初始抗生素治疗。随访影像显示肺肿块迅速增大,提示手术切除。组织病理学发现斑疹,再次重复培养发现红球菌。抗生素调整为阿奇霉素和利福平,患者开始使用酮康唑治疗高皮质醇症。结论:本病例强调了考虑机会性感染的重要性,如红球菌属免疫功能低下患者,即使没有症状。它强调了在这类人群中调查偶然发现的诊断价值,并说明了及时、多学科管理以预防疾病进展的必要性。学习要点:本病例强调了免疫功能低下患者偶发肺结节的诊断复杂性,即使没有感染症状,也需要进行彻底的微生物学调查。它说明了一种罕见的,无症状的红球菌感染的背景下异位acth依赖性库欣综合征,一个场景没有广泛报道的文献。实践是给予指导管理机会性感染和评估异位ACTH来源,帮助内科医生导航类似的诊断和治疗挑战在复杂的内分泌感染重叠。
本文章由计算机程序翻译,如有差异,请以英文原文为准。

A Silent Invader: Asymptomatic Rhodococcus Infection Unmasked in A Patient with Ectopic ACTH-Dependent Cushing's Syndrome.

A Silent Invader: Asymptomatic Rhodococcus Infection Unmasked in A Patient with Ectopic ACTH-Dependent Cushing's Syndrome.

A Silent Invader: Asymptomatic Rhodococcus Infection Unmasked in A Patient with Ectopic ACTH-Dependent Cushing's Syndrome.

Introduction: Rhodococcus species, particularly Rhodococcus equi, are rare opportunistic pathogens that typically affect immunocompromised individuals. These infections usually present with respiratory or systemic symptoms and are often linked to environmental exposure. Asymptomatic Rhodococcus infections are exceedingly rare and pose unique diagnostic and therapeutic challenges.

Case description: We report the case of a 29-year-old male who presented with new-onset diabetes mellitus, resistant hypertension and significant weight gain. Physical examination revealed features consistent with Cushing's syndrome. Biochemical evaluation confirmed ACTH-dependent hypercortisolism with an elevated plasma ACTH level, and a lack of suppression on high-dose dexamethasone testing; imaging identified a suspicious pulmonary nodule. Bronchoscopic biopsy revealed no malignancy, however cultures grew Rhodococcus species. The patient denied any respiratory symptoms or environmental exposure. Initial antibiotic therapy with ciprofloxacin and rifampin was started. Follow-up imaging showed rapid enlargement of the pulmonary mass, prompting surgical resection. Histopathology revealed malakoplakia, and repeat cultures again yielded Rhodococcus spp. Antibiotics were adjusted to azithromycin and rifampin, and the patient was started on ketoconazole to manage hypercortisolism.

Conclusion: This case highlights the importance of considering opportunistic infections such as Rhodococcus spp. in immunocompromised patients, even in the absence of symptoms. It underscores the diagnostic value of investigating incidental findings in such populations and illustrates the need for prompt, multidisciplinary management to prevent disease progression.

Learning points: This case highlights the diagnostic complexity of incidental pulmonary nodules in immunocompromised patients, reinforcing the need for thorough microbiological investigation even in the absence of infection symptoms.It illustrates a rare, asymptomatic presentation of Rhodococcus infection in the context of ectopic ACTH-dependent Cushing's syndrome, a scenario not widely reported in the literature.Practical is given guidance on managing opportunistic infections and evaluating ectopic ACTH sources, aiding internists in navigating similar diagnostic and therapeutic challenges in complex endocrine-infectious overlaps.

求助全文
通过发布文献求助,成功后即可免费获取论文全文。 去求助
来源期刊
CiteScore
2.10
自引率
0.00%
发文量
166
审稿时长
8 weeks
期刊介绍: The European Journal of Case Reports in Internal Medicine is an official journal of the European Federation of Internal Medicine (EFIM), representing 35 national societies from 33 European countries. The Journal''s mission is to promote the best medical practice and innovation in the field of acute and general medicine. It also provides a forum for internal medicine doctors where they can share new approaches with the aim of improving diagnostic and clinical skills in this field. EJCRIM welcomes high-quality case reports describing unusual or complex cases that an internist may encounter in everyday practice. The cases should either demonstrate the appropriateness of a diagnostic/therapeutic approach, describe a new procedure or maneuver, or show unusual manifestations of a disease or unexpected reactions. The Journal only accepts and publishes those case reports whose learning points provide new insight and/or contribute to advancing medical knowledge both in terms of diagnostics and therapeutic approaches. Case reports of medical errors, therefore, are also welcome as long as they provide innovative measures on how to prevent them in the current practice (Instructive Errors). The Journal may also consider brief and reasoned reports on issues relevant to the practice of Internal Medicine, as well as Abstracts submitted to the scientific meetings of acknowledged medical societies.
×
引用
GB/T 7714-2015
复制
MLA
复制
APA
复制
导出至
BibTeX EndNote RefMan NoteFirst NoteExpress
×
提示
您的信息不完整,为了账户安全,请先补充。
现在去补充
×
提示
您因"违规操作"
具体请查看互助需知
我知道了
×
提示
确定
请完成安全验证×
copy
已复制链接
快去分享给好友吧!
我知道了
右上角分享
点击右上角分享
0
联系我们:info@booksci.cn Book学术提供免费学术资源搜索服务,方便国内外学者检索中英文文献。致力于提供最便捷和优质的服务体验。 Copyright © 2023 布克学术 All rights reserved.
京ICP备2023020795号-1
ghs 京公网安备 11010802042870号
Book学术文献互助
Book学术文献互助群
群 号:604180095
Book学术官方微信