自身免疫与感染的平衡:诺卡菌病与肉芽肿病合并多血管炎1例。

Q3 Medicine
European journal of case reports in internal medicine Pub Date : 2025-08-22 eCollection Date: 2025-01-01 DOI:10.12890/2025_005756
Abdulrahman Abdullah Alhumaidi, Eid Mohammed Aljohani, Wajd Ahmed Althakafi, Ohud Mohammed Alkinani, Faisal Abdullah Albalawi
{"title":"自身免疫与感染的平衡:诺卡菌病与肉芽肿病合并多血管炎1例。","authors":"Abdulrahman Abdullah Alhumaidi, Eid Mohammed Aljohani, Wajd Ahmed Althakafi, Ohud Mohammed Alkinani, Faisal Abdullah Albalawi","doi":"10.12890/2025_005756","DOIUrl":null,"url":null,"abstract":"<p><p>Concurrent presentation of pulmonary nocardiosis and granulomatosis with polyangiitis (GPA) is exceptionally rare and diagnostically challenging, given the overlapping clinical and radiological features. We report a 54-year-old female with fever, cough, weight loss, and arthralgia. Chest imaging showed multiple pulmonary nodules; serology revealed positive anti-neutrophil cytoplasmic antibodies -proteinase 3, and lung biopsy demonstrated necrotizing granulomatous inflammation with Nocardia species. This led to a dual diagnosis of pulmonary nocardiosis and limited form GPA. The patient improved with co-trimoxazole however methotrexate is set to be initiated concomitantly with close monitoring as the manifestations of limited form GPA were still present. This case highlights the importance of considering infectious mimics during initial evaluation of suspected vasculitis, the possibility of dual pathology of both entities, and the emphasis of the staged approach of treating such cases in the background of controlling infection followed by initiating immunosuppressive therapy.</p><p><strong>Learning points: </strong>Pulmonary nocardiosis may clinically and radiologically mimic granulomatosis with polyangiitis, and both conditions can rarely present simultaneously.Histopathological examination is crucial to distinguish infectious mimics from vasculitis in anti-neutrophil cytoplasmic antibodies-positive patients.A stepwise treatment strategy in which controlling infection before initiating immunosuppression can reduce the risk of complications in dual pathology.</p>","PeriodicalId":11908,"journal":{"name":"European journal of case reports in internal medicine","volume":"12 9","pages":"005756"},"PeriodicalIF":0.0000,"publicationDate":"2025-08-22","publicationTypes":"Journal Article","fieldsOfStudy":null,"isOpenAccess":false,"openAccessPdf":"https://www.ncbi.nlm.nih.gov/pmc/articles/PMC12416781/pdf/","citationCount":"0","resultStr":"{\"title\":\"The Balance Between Autoimmunity and Infection: A Case Report of Concomitant Pathology of Pulmonary Nocardia and Granulomatosis with Polyangiitis at Initial Presentation.\",\"authors\":\"Abdulrahman Abdullah Alhumaidi, Eid Mohammed Aljohani, Wajd Ahmed Althakafi, Ohud Mohammed Alkinani, Faisal Abdullah Albalawi\",\"doi\":\"10.12890/2025_005756\",\"DOIUrl\":null,\"url\":null,\"abstract\":\"<p><p>Concurrent presentation of pulmonary nocardiosis and granulomatosis with polyangiitis (GPA) is exceptionally rare and diagnostically challenging, given the overlapping clinical and radiological features. We report a 54-year-old female with fever, cough, weight loss, and arthralgia. Chest imaging showed multiple pulmonary nodules; serology revealed positive anti-neutrophil cytoplasmic antibodies -proteinase 3, and lung biopsy demonstrated necrotizing granulomatous inflammation with Nocardia species. This led to a dual diagnosis of pulmonary nocardiosis and limited form GPA. The patient improved with co-trimoxazole however methotrexate is set to be initiated concomitantly with close monitoring as the manifestations of limited form GPA were still present. This case highlights the importance of considering infectious mimics during initial evaluation of suspected vasculitis, the possibility of dual pathology of both entities, and the emphasis of the staged approach of treating such cases in the background of controlling infection followed by initiating immunosuppressive therapy.</p><p><strong>Learning points: </strong>Pulmonary nocardiosis may clinically and radiologically mimic granulomatosis with polyangiitis, and both conditions can rarely present simultaneously.Histopathological examination is crucial to distinguish infectious mimics from vasculitis in anti-neutrophil cytoplasmic antibodies-positive patients.A stepwise treatment strategy in which controlling infection before initiating immunosuppression can reduce the risk of complications in dual pathology.</p>\",\"PeriodicalId\":11908,\"journal\":{\"name\":\"European journal of case reports in internal medicine\",\"volume\":\"12 9\",\"pages\":\"005756\"},\"PeriodicalIF\":0.0000,\"publicationDate\":\"2025-08-22\",\"publicationTypes\":\"Journal Article\",\"fieldsOfStudy\":null,\"isOpenAccess\":false,\"openAccessPdf\":\"https://www.ncbi.nlm.nih.gov/pmc/articles/PMC12416781/pdf/\",\"citationCount\":\"0\",\"resultStr\":null,\"platform\":\"Semanticscholar\",\"paperid\":null,\"PeriodicalName\":\"European journal of case reports in internal medicine\",\"FirstCategoryId\":\"1085\",\"ListUrlMain\":\"https://doi.org/10.12890/2025_005756\",\"RegionNum\":0,\"RegionCategory\":null,\"ArticlePicture\":[],\"TitleCN\":null,\"AbstractTextCN\":null,\"PMCID\":null,\"EPubDate\":\"2025/1/1 0:00:00\",\"PubModel\":\"eCollection\",\"JCR\":\"Q3\",\"JCRName\":\"Medicine\",\"Score\":null,\"Total\":0}","platform":"Semanticscholar","paperid":null,"PeriodicalName":"European journal of case reports in internal medicine","FirstCategoryId":"1085","ListUrlMain":"https://doi.org/10.12890/2025_005756","RegionNum":0,"RegionCategory":null,"ArticlePicture":[],"TitleCN":null,"AbstractTextCN":null,"PMCID":null,"EPubDate":"2025/1/1 0:00:00","PubModel":"eCollection","JCR":"Q3","JCRName":"Medicine","Score":null,"Total":0}
引用次数: 0

摘要

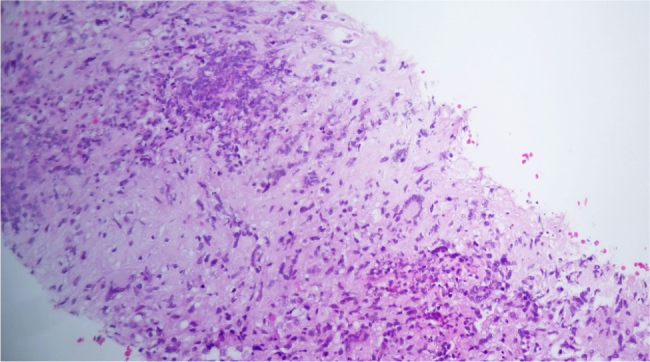
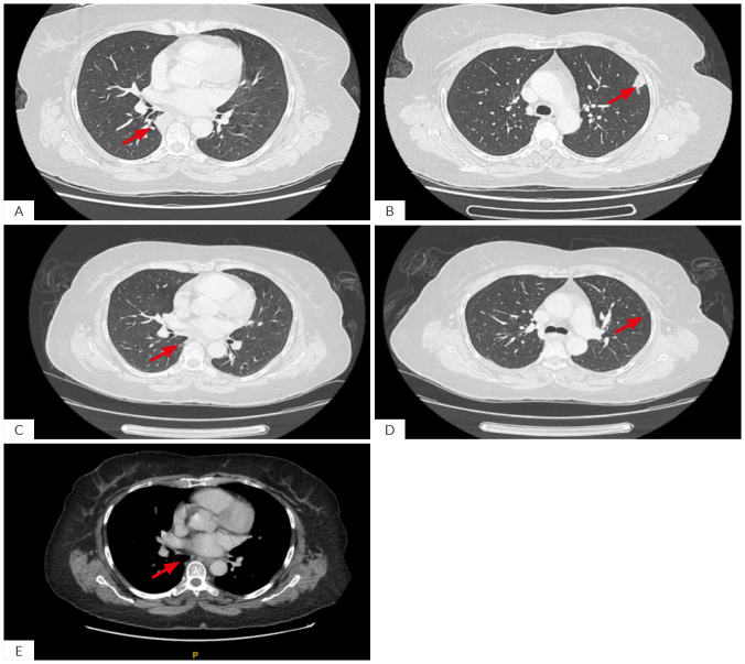
同时出现肺诺卡菌病和肉芽肿病合并多血管炎(GPA)是非常罕见的,并且由于重叠的临床和影像学特征,诊断具有挑战性。我们报告一位54岁女性,有发热、咳嗽、体重减轻和关节痛。胸部影像学示多发肺结节;血清学显示抗中性粒细胞胞浆抗体-蛋白酶3阳性,肺活检显示诺卡菌属坏死性肉芽肿性炎症。这导致肺诺卡菌病和有限型GPA的双重诊断。患者使用复方新诺明后病情有所改善,但由于局限性GPA的表现仍然存在,甲氨蝶呤将在密切监测的同时开始使用。该病例强调了在初步评估疑似血管炎时考虑传染性模拟的重要性,两种实体的双重病理的可能性,以及在控制感染的背景下分阶段治疗此类病例的强调,然后开始免疫抑制治疗。学习要点:肺诺卡菌病在临床和影像学上可能与肉芽肿病合并多血管炎相似,两者很少同时出现。在抗中性粒细胞细胞质抗体阳性患者中,组织病理学检查是区分感染性模拟和血管炎的关键。在开始免疫抑制之前控制感染的分步治疗策略可以降低双重病理并发症的风险。
本文章由计算机程序翻译,如有差异,请以英文原文为准。

The Balance Between Autoimmunity and Infection: A Case Report of Concomitant Pathology of Pulmonary Nocardia and Granulomatosis with Polyangiitis at Initial Presentation.

The Balance Between Autoimmunity and Infection: A Case Report of Concomitant Pathology of Pulmonary Nocardia and Granulomatosis with Polyangiitis at Initial Presentation.

The Balance Between Autoimmunity and Infection: A Case Report of Concomitant Pathology of Pulmonary Nocardia and Granulomatosis with Polyangiitis at Initial Presentation.

The Balance Between Autoimmunity and Infection: A Case Report of Concomitant Pathology of Pulmonary Nocardia and Granulomatosis with Polyangiitis at Initial Presentation.

Concurrent presentation of pulmonary nocardiosis and granulomatosis with polyangiitis (GPA) is exceptionally rare and diagnostically challenging, given the overlapping clinical and radiological features. We report a 54-year-old female with fever, cough, weight loss, and arthralgia. Chest imaging showed multiple pulmonary nodules; serology revealed positive anti-neutrophil cytoplasmic antibodies -proteinase 3, and lung biopsy demonstrated necrotizing granulomatous inflammation with Nocardia species. This led to a dual diagnosis of pulmonary nocardiosis and limited form GPA. The patient improved with co-trimoxazole however methotrexate is set to be initiated concomitantly with close monitoring as the manifestations of limited form GPA were still present. This case highlights the importance of considering infectious mimics during initial evaluation of suspected vasculitis, the possibility of dual pathology of both entities, and the emphasis of the staged approach of treating such cases in the background of controlling infection followed by initiating immunosuppressive therapy.

Learning points: Pulmonary nocardiosis may clinically and radiologically mimic granulomatosis with polyangiitis, and both conditions can rarely present simultaneously.Histopathological examination is crucial to distinguish infectious mimics from vasculitis in anti-neutrophil cytoplasmic antibodies-positive patients.A stepwise treatment strategy in which controlling infection before initiating immunosuppression can reduce the risk of complications in dual pathology.

求助全文
通过发布文献求助,成功后即可免费获取论文全文。 去求助
来源期刊
CiteScore
2.10
自引率
0.00%
发文量
166
审稿时长
8 weeks
期刊介绍: The European Journal of Case Reports in Internal Medicine is an official journal of the European Federation of Internal Medicine (EFIM), representing 35 national societies from 33 European countries. The Journal''s mission is to promote the best medical practice and innovation in the field of acute and general medicine. It also provides a forum for internal medicine doctors where they can share new approaches with the aim of improving diagnostic and clinical skills in this field. EJCRIM welcomes high-quality case reports describing unusual or complex cases that an internist may encounter in everyday practice. The cases should either demonstrate the appropriateness of a diagnostic/therapeutic approach, describe a new procedure or maneuver, or show unusual manifestations of a disease or unexpected reactions. The Journal only accepts and publishes those case reports whose learning points provide new insight and/or contribute to advancing medical knowledge both in terms of diagnostics and therapeutic approaches. Case reports of medical errors, therefore, are also welcome as long as they provide innovative measures on how to prevent them in the current practice (Instructive Errors). The Journal may also consider brief and reasoned reports on issues relevant to the practice of Internal Medicine, as well as Abstracts submitted to the scientific meetings of acknowledged medical societies.
×
引用
GB/T 7714-2015
复制
MLA
复制
APA
复制
导出至
BibTeX EndNote RefMan NoteFirst NoteExpress
×
提示
您的信息不完整,为了账户安全,请先补充。
现在去补充
×
提示
您因"违规操作"
具体请查看互助需知
我知道了
×
提示
确定
请完成安全验证×
copy
已复制链接
快去分享给好友吧!
我知道了
右上角分享
点击右上角分享
0
联系我们:info@booksci.cn Book学术提供免费学术资源搜索服务,方便国内外学者检索中英文文献。致力于提供最便捷和优质的服务体验。 Copyright © 2023 布克学术 All rights reserved.
京ICP备2023020795号-1
ghs 京公网安备 11010802042870号
Book学术文献互助
Book学术文献互助群
群 号:604180095
Book学术官方微信