1例副肿瘤脑炎患者1型单纯疱疹病毒的误检。

Q3 Medicine
European journal of case reports in internal medicine Pub Date : 2025-08-18 eCollection Date: 2025-01-01 DOI:10.12890/2025_005705
Mirko Lischer, Marten Trendelenburg, Özgür Yaldizli, Nikolaos S Avramiotis, Grischa Marti, Anna Vital
{"title":"1例副肿瘤脑炎患者1型单纯疱疹病毒的误检。","authors":"Mirko Lischer, Marten Trendelenburg, Özgür Yaldizli, Nikolaos S Avramiotis, Grischa Marti, Anna Vital","doi":"10.12890/2025_005705","DOIUrl":null,"url":null,"abstract":"<p><p>Encephalitis is a potentially life-threatening condition with infectious or autoimmune aetiologies. Autoimmune encephalitis includes paraneoplastic variants associated with specific onconeural antibodies such as anti-Hu, frequently linked to malignancies. Herpes simplex virus type 1 (HSV-1) is the leading infectious cause in adults. Differentiating between these aetiologies can be challenging. We report the case of an 88-year-old woman admitted with confusion following a fall. Initial evaluation showed clinical signs consistent with encephalitis. During hospitalisation, a seizure was witnessed. Cerebrospinal fluid (CSF) analysis revealed mild pleocytosis, but no infectious agent was detected, and brain imaging revealed no significant abnormalities. After initial improvement under antiepileptic therapy, the patient experienced worsening cognitive dysfunction. Repeat CSF testing 4 weeks after initial symptom onset showed even milder pleocytosis but was positive for HSV-1 and magnetic resonance imaging showed bilateral hippocampal hyperintensities. Analysis of the first CSF sample retrospectively revealed high-titer anti-Hu antibodies. Positron emission tomography-computed tomography scan identified a hypermetabolic lung lesion and para-aortic lymph node, with biopsy confirming the diagnosis of small cell lung cancer. Immunosuppressive and oncologic treatment led to transient improvement, followed by progressive neurological deterioration. Supportive care was ultimately prioritized. This case underscores the diagnostic challenges of encephalitis, especially when autoimmune and infectious features overlap, and diagnostic findings are misleading. Detection of HSV-1 should not delay the investigation of alternative causes of encephalitis in the absence of typical HSV-related features. Early recognition of paraneoplastic encephalitis is critical, as neurologic symptoms may precede the diagnosis of underlying malignancy.</p><p><strong>Learning points: </strong>Onconeural antibodies, such as anti-Hu antibodies, are an under-recognized cause of encephalitis and should be specifically tested for when an autoimmune encephalitis is clinically suspected.Detection of anti-Hu antibodies mandates a comprehensive malignancy workup.A positive herpes simplex virus type 1 polymerase chain reaction in cerebrospinal fluid does not definitively confirm active infection and must always be interpreted in conjunction with the patient's clinical presentation.</p>","PeriodicalId":11908,"journal":{"name":"European journal of case reports in internal medicine","volume":"12 9","pages":"005705"},"PeriodicalIF":0.0000,"publicationDate":"2025-08-18","publicationTypes":"Journal Article","fieldsOfStudy":null,"isOpenAccess":false,"openAccessPdf":"https://www.ncbi.nlm.nih.gov/pmc/articles/PMC12416775/pdf/","citationCount":"0","resultStr":"{\"title\":\"Misleading Detection of Herpes Simplex Virus Type 1 In A Patient with Paraneoplastic Encephalitis.\",\"authors\":\"Mirko Lischer, Marten Trendelenburg, Özgür Yaldizli, Nikolaos S Avramiotis, Grischa Marti, Anna Vital\",\"doi\":\"10.12890/2025_005705\",\"DOIUrl\":null,\"url\":null,\"abstract\":\"<p><p>Encephalitis is a potentially life-threatening condition with infectious or autoimmune aetiologies. Autoimmune encephalitis includes paraneoplastic variants associated with specific onconeural antibodies such as anti-Hu, frequently linked to malignancies. Herpes simplex virus type 1 (HSV-1) is the leading infectious cause in adults. Differentiating between these aetiologies can be challenging. We report the case of an 88-year-old woman admitted with confusion following a fall. Initial evaluation showed clinical signs consistent with encephalitis. During hospitalisation, a seizure was witnessed. Cerebrospinal fluid (CSF) analysis revealed mild pleocytosis, but no infectious agent was detected, and brain imaging revealed no significant abnormalities. After initial improvement under antiepileptic therapy, the patient experienced worsening cognitive dysfunction. Repeat CSF testing 4 weeks after initial symptom onset showed even milder pleocytosis but was positive for HSV-1 and magnetic resonance imaging showed bilateral hippocampal hyperintensities. Analysis of the first CSF sample retrospectively revealed high-titer anti-Hu antibodies. Positron emission tomography-computed tomography scan identified a hypermetabolic lung lesion and para-aortic lymph node, with biopsy confirming the diagnosis of small cell lung cancer. Immunosuppressive and oncologic treatment led to transient improvement, followed by progressive neurological deterioration. Supportive care was ultimately prioritized. This case underscores the diagnostic challenges of encephalitis, especially when autoimmune and infectious features overlap, and diagnostic findings are misleading. Detection of HSV-1 should not delay the investigation of alternative causes of encephalitis in the absence of typical HSV-related features. Early recognition of paraneoplastic encephalitis is critical, as neurologic symptoms may precede the diagnosis of underlying malignancy.</p><p><strong>Learning points: </strong>Onconeural antibodies, such as anti-Hu antibodies, are an under-recognized cause of encephalitis and should be specifically tested for when an autoimmune encephalitis is clinically suspected.Detection of anti-Hu antibodies mandates a comprehensive malignancy workup.A positive herpes simplex virus type 1 polymerase chain reaction in cerebrospinal fluid does not definitively confirm active infection and must always be interpreted in conjunction with the patient's clinical presentation.</p>\",\"PeriodicalId\":11908,\"journal\":{\"name\":\"European journal of case reports in internal medicine\",\"volume\":\"12 9\",\"pages\":\"005705\"},\"PeriodicalIF\":0.0000,\"publicationDate\":\"2025-08-18\",\"publicationTypes\":\"Journal Article\",\"fieldsOfStudy\":null,\"isOpenAccess\":false,\"openAccessPdf\":\"https://www.ncbi.nlm.nih.gov/pmc/articles/PMC12416775/pdf/\",\"citationCount\":\"0\",\"resultStr\":null,\"platform\":\"Semanticscholar\",\"paperid\":null,\"PeriodicalName\":\"European journal of case reports in internal medicine\",\"FirstCategoryId\":\"1085\",\"ListUrlMain\":\"https://doi.org/10.12890/2025_005705\",\"RegionNum\":0,\"RegionCategory\":null,\"ArticlePicture\":[],\"TitleCN\":null,\"AbstractTextCN\":null,\"PMCID\":null,\"EPubDate\":\"2025/1/1 0:00:00\",\"PubModel\":\"eCollection\",\"JCR\":\"Q3\",\"JCRName\":\"Medicine\",\"Score\":null,\"Total\":0}","platform":"Semanticscholar","paperid":null,"PeriodicalName":"European journal of case reports in internal medicine","FirstCategoryId":"1085","ListUrlMain":"https://doi.org/10.12890/2025_005705","RegionNum":0,"RegionCategory":null,"ArticlePicture":[],"TitleCN":null,"AbstractTextCN":null,"PMCID":null,"EPubDate":"2025/1/1 0:00:00","PubModel":"eCollection","JCR":"Q3","JCRName":"Medicine","Score":null,"Total":0}
引用次数: 0

摘要

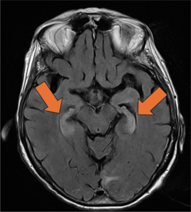
脑炎是一种具有传染性或自身免疫性的潜在威胁生命的疾病。自身免疫性脑炎包括与特异性肿瘤神经抗体(如抗- hu)相关的副肿瘤变异,通常与恶性肿瘤有关。1型单纯疱疹病毒(HSV-1)是导致成人感染的主要原因。区分这些病因是很有挑战性的。我们报告的情况下,一个88岁的妇女入院与混乱后跌倒。初步评估显示临床症状符合脑炎。在住院期间,目睹了癫痫发作。脑脊液(CSF)分析显示轻度多细胞症,但未检测到感染因子,脑成像未显示明显异常。在抗癫痫治疗的初步改善后,患者的认知功能障碍恶化。首次症状出现4周后再次进行脑脊液检查,结果显示细胞增多症更轻,但HSV-1阳性,磁共振成像显示双侧海马高信号。首次脑脊液样本回顾性分析显示高滴度抗hu抗体。正电子发射断层扫描-计算机断层扫描发现高代谢肺病变和主动脉旁淋巴结,活检证实小细胞肺癌的诊断。免疫抑制和肿瘤治疗导致短暂的改善,随后是进行性神经退化。支持性护理最终被优先考虑。该病例强调了脑炎的诊断挑战,特别是当自身免疫和感染性特征重叠时,诊断结果具有误导性。在没有典型的单纯疱疹病毒相关特征的情况下,检测到1型单纯疱疹病毒不应延误对脑炎其他病因的调查。副肿瘤脑炎的早期识别是至关重要的,因为神经系统症状可能先于潜在恶性肿瘤的诊断。学习要点:神经抗体,如抗hu抗体,是脑炎的一种未被充分认识的病因,当临床怀疑是自身免疫性脑炎时,应专门进行检测。检测抗hu抗体需要进行全面的恶性检查。脑脊液中单纯疱疹病毒1型聚合酶链反应阳性不能明确证实活动性感染,必须结合患者的临床表现进行解释。
本文章由计算机程序翻译,如有差异,请以英文原文为准。

Misleading Detection of Herpes Simplex Virus Type 1 In A Patient with Paraneoplastic Encephalitis.

Misleading Detection of Herpes Simplex Virus Type 1 In A Patient with Paraneoplastic Encephalitis.

Misleading Detection of Herpes Simplex Virus Type 1 In A Patient with Paraneoplastic Encephalitis.

Encephalitis is a potentially life-threatening condition with infectious or autoimmune aetiologies. Autoimmune encephalitis includes paraneoplastic variants associated with specific onconeural antibodies such as anti-Hu, frequently linked to malignancies. Herpes simplex virus type 1 (HSV-1) is the leading infectious cause in adults. Differentiating between these aetiologies can be challenging. We report the case of an 88-year-old woman admitted with confusion following a fall. Initial evaluation showed clinical signs consistent with encephalitis. During hospitalisation, a seizure was witnessed. Cerebrospinal fluid (CSF) analysis revealed mild pleocytosis, but no infectious agent was detected, and brain imaging revealed no significant abnormalities. After initial improvement under antiepileptic therapy, the patient experienced worsening cognitive dysfunction. Repeat CSF testing 4 weeks after initial symptom onset showed even milder pleocytosis but was positive for HSV-1 and magnetic resonance imaging showed bilateral hippocampal hyperintensities. Analysis of the first CSF sample retrospectively revealed high-titer anti-Hu antibodies. Positron emission tomography-computed tomography scan identified a hypermetabolic lung lesion and para-aortic lymph node, with biopsy confirming the diagnosis of small cell lung cancer. Immunosuppressive and oncologic treatment led to transient improvement, followed by progressive neurological deterioration. Supportive care was ultimately prioritized. This case underscores the diagnostic challenges of encephalitis, especially when autoimmune and infectious features overlap, and diagnostic findings are misleading. Detection of HSV-1 should not delay the investigation of alternative causes of encephalitis in the absence of typical HSV-related features. Early recognition of paraneoplastic encephalitis is critical, as neurologic symptoms may precede the diagnosis of underlying malignancy.

Learning points: Onconeural antibodies, such as anti-Hu antibodies, are an under-recognized cause of encephalitis and should be specifically tested for when an autoimmune encephalitis is clinically suspected.Detection of anti-Hu antibodies mandates a comprehensive malignancy workup.A positive herpes simplex virus type 1 polymerase chain reaction in cerebrospinal fluid does not definitively confirm active infection and must always be interpreted in conjunction with the patient's clinical presentation.

求助全文
通过发布文献求助,成功后即可免费获取论文全文。 去求助
来源期刊
CiteScore
2.10
自引率
0.00%
发文量
166
审稿时长
8 weeks
期刊介绍: The European Journal of Case Reports in Internal Medicine is an official journal of the European Federation of Internal Medicine (EFIM), representing 35 national societies from 33 European countries. The Journal''s mission is to promote the best medical practice and innovation in the field of acute and general medicine. It also provides a forum for internal medicine doctors where they can share new approaches with the aim of improving diagnostic and clinical skills in this field. EJCRIM welcomes high-quality case reports describing unusual or complex cases that an internist may encounter in everyday practice. The cases should either demonstrate the appropriateness of a diagnostic/therapeutic approach, describe a new procedure or maneuver, or show unusual manifestations of a disease or unexpected reactions. The Journal only accepts and publishes those case reports whose learning points provide new insight and/or contribute to advancing medical knowledge both in terms of diagnostics and therapeutic approaches. Case reports of medical errors, therefore, are also welcome as long as they provide innovative measures on how to prevent them in the current practice (Instructive Errors). The Journal may also consider brief and reasoned reports on issues relevant to the practice of Internal Medicine, as well as Abstracts submitted to the scientific meetings of acknowledged medical societies.
×
引用
GB/T 7714-2015
复制
MLA
复制
APA
复制
导出至
BibTeX EndNote RefMan NoteFirst NoteExpress
×
提示
您的信息不完整,为了账户安全,请先补充。
现在去补充
×
提示
您因"违规操作"
具体请查看互助需知
我知道了
×
提示
确定
请完成安全验证×
copy
已复制链接
快去分享给好友吧!
我知道了
右上角分享
点击右上角分享
0
联系我们:info@booksci.cn Book学术提供免费学术资源搜索服务,方便国内外学者检索中英文文献。致力于提供最便捷和优质的服务体验。 Copyright © 2023 布克学术 All rights reserved.
京ICP备2023020795号-1
ghs 京公网安备 11010802042870号
Book学术文献互助
Book学术文献互助群
群 号:604180095
Book学术官方微信