超声内镜引导下使用腔内金属支架引流结肠腔外黏液囊肿:一种新方法。

Q3 Medicine
European journal of case reports in internal medicine Pub Date : 2025-08-19 eCollection Date: 2025-01-01 DOI:10.12890/2025_005703
Ryan Njeim, Elie Moussa, Toni Habib, Omar Abureesh, Saif Yasin, Daniel Kalta, Youssef El Douaihy
{"title":"超声内镜引导下使用腔内金属支架引流结肠腔外黏液囊肿:一种新方法。","authors":"Ryan Njeim, Elie Moussa, Toni Habib, Omar Abureesh, Saif Yasin, Daniel Kalta, Youssef El Douaihy","doi":"10.12890/2025_005703","DOIUrl":null,"url":null,"abstract":"<p><p>Colorectal mucoceles are rare mucinous cysts arising in the gastrointestinal tract and presenting diagnostic and therapeutic challenges. We report the first successful treatment of an extraluminal colorectal mucocele using a lumen-apposing metal stent (LAMS). A 65-year-old male with a known medical history of diverticulitis treated with a partial colectomy presented with constipation and low back pain. Computed tomography scan (CT) revealed a 5.4 cm cystic structure adjacent to the rectal anastomosis. Endoscopic ultrasound (EUS) found a subepithelial lesion with an \"onion peel\" appearance, and aspiration cytology confirmed a colo-colonic mucocele. Management consisted of EUS-guided placement of an 8 × 8 mm LAMS, allowing for drainage, irrigation, and suctioning of the cavity. Complete resolution was achieved without recurrence over a 2-year follow-up period. This case demonstrates the potential of advanced endoscopic techniques, particularly LAMS, in managing extraluminal colorectal mucoceles. While further research is needed to compare the efficacy of LAMS with other treatment modalities, this procedure offers a minimally invasive alternative to surgery for certain patients.</p><p><strong>Learning points: </strong>Novel approach to treat a rare case of colorectal mucocele using a lumen-apposing metal stent.</p>","PeriodicalId":11908,"journal":{"name":"European journal of case reports in internal medicine","volume":"12 9","pages":"005703"},"PeriodicalIF":0.0000,"publicationDate":"2025-08-19","publicationTypes":"Journal Article","fieldsOfStudy":null,"isOpenAccess":false,"openAccessPdf":"https://www.ncbi.nlm.nih.gov/pmc/articles/PMC12416772/pdf/","citationCount":"0","resultStr":"{\"title\":\"Endoscopic Ultrasound-Guided Drainage of Extraluminal Colorectal Mucocele Using A Lumen-Apposing Metal Stent: A Novel Approach.\",\"authors\":\"Ryan Njeim, Elie Moussa, Toni Habib, Omar Abureesh, Saif Yasin, Daniel Kalta, Youssef El Douaihy\",\"doi\":\"10.12890/2025_005703\",\"DOIUrl\":null,\"url\":null,\"abstract\":\"<p><p>Colorectal mucoceles are rare mucinous cysts arising in the gastrointestinal tract and presenting diagnostic and therapeutic challenges. We report the first successful treatment of an extraluminal colorectal mucocele using a lumen-apposing metal stent (LAMS). A 65-year-old male with a known medical history of diverticulitis treated with a partial colectomy presented with constipation and low back pain. Computed tomography scan (CT) revealed a 5.4 cm cystic structure adjacent to the rectal anastomosis. Endoscopic ultrasound (EUS) found a subepithelial lesion with an \\\"onion peel\\\" appearance, and aspiration cytology confirmed a colo-colonic mucocele. Management consisted of EUS-guided placement of an 8 × 8 mm LAMS, allowing for drainage, irrigation, and suctioning of the cavity. Complete resolution was achieved without recurrence over a 2-year follow-up period. This case demonstrates the potential of advanced endoscopic techniques, particularly LAMS, in managing extraluminal colorectal mucoceles. While further research is needed to compare the efficacy of LAMS with other treatment modalities, this procedure offers a minimally invasive alternative to surgery for certain patients.</p><p><strong>Learning points: </strong>Novel approach to treat a rare case of colorectal mucocele using a lumen-apposing metal stent.</p>\",\"PeriodicalId\":11908,\"journal\":{\"name\":\"European journal of case reports in internal medicine\",\"volume\":\"12 9\",\"pages\":\"005703\"},\"PeriodicalIF\":0.0000,\"publicationDate\":\"2025-08-19\",\"publicationTypes\":\"Journal Article\",\"fieldsOfStudy\":null,\"isOpenAccess\":false,\"openAccessPdf\":\"https://www.ncbi.nlm.nih.gov/pmc/articles/PMC12416772/pdf/\",\"citationCount\":\"0\",\"resultStr\":null,\"platform\":\"Semanticscholar\",\"paperid\":null,\"PeriodicalName\":\"European journal of case reports in internal medicine\",\"FirstCategoryId\":\"1085\",\"ListUrlMain\":\"https://doi.org/10.12890/2025_005703\",\"RegionNum\":0,\"RegionCategory\":null,\"ArticlePicture\":[],\"TitleCN\":null,\"AbstractTextCN\":null,\"PMCID\":null,\"EPubDate\":\"2025/1/1 0:00:00\",\"PubModel\":\"eCollection\",\"JCR\":\"Q3\",\"JCRName\":\"Medicine\",\"Score\":null,\"Total\":0}","platform":"Semanticscholar","paperid":null,"PeriodicalName":"European journal of case reports in internal medicine","FirstCategoryId":"1085","ListUrlMain":"https://doi.org/10.12890/2025_005703","RegionNum":0,"RegionCategory":null,"ArticlePicture":[],"TitleCN":null,"AbstractTextCN":null,"PMCID":null,"EPubDate":"2025/1/1 0:00:00","PubModel":"eCollection","JCR":"Q3","JCRName":"Medicine","Score":null,"Total":0}
引用次数: 0

摘要

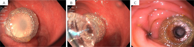
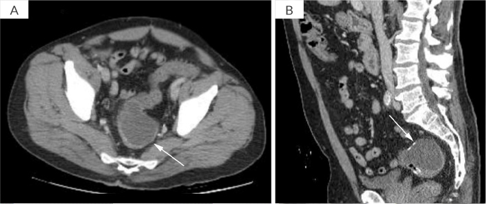
结直肠黏液囊肿是一种罕见的发生在胃肠道的黏液囊肿,对诊断和治疗提出了挑战。我们报告了首例使用腔内金属支架(LAMS)成功治疗腔外结直肠黏液囊肿的病例。65岁男性,既往有憩室炎病史,行部分结肠切除术后出现便秘和腰痛。计算机断层扫描(CT)显示直肠吻合口附近有一个5.4厘米的囊性结构。超声内镜(EUS)发现上皮下病变呈“洋葱皮”状,吸痰细胞学证实为结肠-结肠粘液囊肿。处理包括eus引导放置8 × 8 mm LAMS,允许引流,冲洗和吸痰腔。在2年的随访期间,完全解决,无复发。本病例证明了先进的内镜技术,特别是LAMS在治疗腔外结直肠粘液囊肿方面的潜力。虽然需要进一步的研究来比较LAMS与其他治疗方式的疗效,但该程序为某些患者提供了手术的微创替代方案。学习要点:一种治疗罕见的结肠黏液囊肿的新方法,使用顺腔金属支架。
本文章由计算机程序翻译,如有差异,请以英文原文为准。

Endoscopic Ultrasound-Guided Drainage of Extraluminal Colorectal Mucocele Using A Lumen-Apposing Metal Stent: A Novel Approach.

Endoscopic Ultrasound-Guided Drainage of Extraluminal Colorectal Mucocele Using A Lumen-Apposing Metal Stent: A Novel Approach.

Endoscopic Ultrasound-Guided Drainage of Extraluminal Colorectal Mucocele Using A Lumen-Apposing Metal Stent: A Novel Approach.

Endoscopic Ultrasound-Guided Drainage of Extraluminal Colorectal Mucocele Using A Lumen-Apposing Metal Stent: A Novel Approach.

Colorectal mucoceles are rare mucinous cysts arising in the gastrointestinal tract and presenting diagnostic and therapeutic challenges. We report the first successful treatment of an extraluminal colorectal mucocele using a lumen-apposing metal stent (LAMS). A 65-year-old male with a known medical history of diverticulitis treated with a partial colectomy presented with constipation and low back pain. Computed tomography scan (CT) revealed a 5.4 cm cystic structure adjacent to the rectal anastomosis. Endoscopic ultrasound (EUS) found a subepithelial lesion with an "onion peel" appearance, and aspiration cytology confirmed a colo-colonic mucocele. Management consisted of EUS-guided placement of an 8 × 8 mm LAMS, allowing for drainage, irrigation, and suctioning of the cavity. Complete resolution was achieved without recurrence over a 2-year follow-up period. This case demonstrates the potential of advanced endoscopic techniques, particularly LAMS, in managing extraluminal colorectal mucoceles. While further research is needed to compare the efficacy of LAMS with other treatment modalities, this procedure offers a minimally invasive alternative to surgery for certain patients.

Learning points: Novel approach to treat a rare case of colorectal mucocele using a lumen-apposing metal stent.

求助全文
通过发布文献求助,成功后即可免费获取论文全文。 去求助
来源期刊
CiteScore
2.10
自引率
0.00%
发文量
166
审稿时长
8 weeks
期刊介绍: The European Journal of Case Reports in Internal Medicine is an official journal of the European Federation of Internal Medicine (EFIM), representing 35 national societies from 33 European countries. The Journal''s mission is to promote the best medical practice and innovation in the field of acute and general medicine. It also provides a forum for internal medicine doctors where they can share new approaches with the aim of improving diagnostic and clinical skills in this field. EJCRIM welcomes high-quality case reports describing unusual or complex cases that an internist may encounter in everyday practice. The cases should either demonstrate the appropriateness of a diagnostic/therapeutic approach, describe a new procedure or maneuver, or show unusual manifestations of a disease or unexpected reactions. The Journal only accepts and publishes those case reports whose learning points provide new insight and/or contribute to advancing medical knowledge both in terms of diagnostics and therapeutic approaches. Case reports of medical errors, therefore, are also welcome as long as they provide innovative measures on how to prevent them in the current practice (Instructive Errors). The Journal may also consider brief and reasoned reports on issues relevant to the practice of Internal Medicine, as well as Abstracts submitted to the scientific meetings of acknowledged medical societies.
×
引用
GB/T 7714-2015
复制
MLA
复制
APA
复制
导出至
BibTeX EndNote RefMan NoteFirst NoteExpress
×
提示
您的信息不完整,为了账户安全,请先补充。
现在去补充
×
提示
您因"违规操作"
具体请查看互助需知
我知道了
×
提示
确定
请完成安全验证×
copy
已复制链接
快去分享给好友吧!
我知道了
右上角分享
点击右上角分享
0
联系我们:info@booksci.cn Book学术提供免费学术资源搜索服务,方便国内外学者检索中英文文献。致力于提供最便捷和优质的服务体验。 Copyright © 2023 布克学术 All rights reserved.
京ICP备2023020795号-1
ghs 京公网安备 11010802042870号
Book学术文献互助
Book学术文献互助群
群 号:604180095
Book学术官方微信