快速进展的原发性中枢神经系统血管炎:一例罕见的多灶性中小血管受累病例。

Q3 Medicine
European journal of case reports in internal medicine Pub Date : 2025-08-19 eCollection Date: 2025-01-01 DOI:10.12890/2025_005384
Sara Bashier, Syed Samiullah, Maitha Al Haj, Ishma Aijazi
{"title":"快速进展的原发性中枢神经系统血管炎:一例罕见的多灶性中小血管受累病例。","authors":"Sara Bashier, Syed Samiullah, Maitha Al Haj, Ishma Aijazi","doi":"10.12890/2025_005384","DOIUrl":null,"url":null,"abstract":"<p><strong>Introduction: </strong>Primary central nervous system vasculitis (primary CNS vasculitis) is a rare inflammatory disorder that affects small-to-medium-sized cerebral vessels, often leading to recurrent strokes. Diagnosis is vague due to non-specific neurological symptoms. Imaging findings, cerebrospinal fluid (CSF) analysis and exclusion of systemic vasculitis are essential for diagnosis. Early immunosuppressive therapy is crucial, but the prognosis remains unpredictable.</p><p><strong>Case description: </strong>A 45-year-old female with diabetes, hypertension and multiple ischaemic strokes presented with altered consciousness due to hypoglycaemia. Initial workup at a different hospital suggested cerebral vasculitis based on the findings of cerebral angiography. She had negative systemic vasculitis markers and was treated with corticosteroids and rituximab and discharged. On admission to our facility, an MRI of the brain revealed multiple infarcts of varying ages, and a CTA showed arterial beading, suggestive of primary CNS vasculitis. CSF analysis demonstrated elevated protein and IgG without pleocytosis. Despite high-dose corticosteroids and rituximab, she developed progressive neurological deterioration with new infarcts in the vertebrobasilar territory, leading to brainstem dysfunction and brain death.</p><p><strong>Conclusion: </strong>Primary CNS vasculitis remains a diagnostic and therapeutic challenge because of its diverse presentation and similarities with other vascular conditions. This case emphasises the importance of early recognition, comprehensive diagnostic evaluation and aggressive treatment to prevent irreversible neurological decline. Disease progression can be rapid even with treatment, highlighting the need for further research to enhance early detection and optimise management strategies.</p><p><strong>Learning points: </strong>Physicians should be alert in diagnosing primary CNS vasculitis in a young patient with recurrent strokes affecting multiple vascular territories, particularly when systemic vasculitis markers are negative.Imaging studies, such as MRI and computed tomography angiography (CTA), play an essential role in diagnosing primary CNS vasculitis, with findings such as arterial beading and a multi-infarct pattern helping differentiate it from atherosclerotic diseases.Early recognition and aggressive high-dose corticosteroid and immunosuppressive (rituximab) therapy are essential in primary CNS vasculitis, as delayed treatment can result in rapid neurological deterioration, as seen in this case.</p>","PeriodicalId":11908,"journal":{"name":"European journal of case reports in internal medicine","volume":"12 9","pages":"005384"},"PeriodicalIF":0.0000,"publicationDate":"2025-08-19","publicationTypes":"Journal Article","fieldsOfStudy":null,"isOpenAccess":false,"openAccessPdf":"https://www.ncbi.nlm.nih.gov/pmc/articles/PMC12416770/pdf/","citationCount":"0","resultStr":"{\"title\":\"Rapidly Progressive Primary Central Nervous System Vasculitis: A Rare Case with Multifocal Small and Medium Vessel Involvement.\",\"authors\":\"Sara Bashier, Syed Samiullah, Maitha Al Haj, Ishma Aijazi\",\"doi\":\"10.12890/2025_005384\",\"DOIUrl\":null,\"url\":null,\"abstract\":\"<p><strong>Introduction: </strong>Primary central nervous system vasculitis (primary CNS vasculitis) is a rare inflammatory disorder that affects small-to-medium-sized cerebral vessels, often leading to recurrent strokes. Diagnosis is vague due to non-specific neurological symptoms. Imaging findings, cerebrospinal fluid (CSF) analysis and exclusion of systemic vasculitis are essential for diagnosis. Early immunosuppressive therapy is crucial, but the prognosis remains unpredictable.</p><p><strong>Case description: </strong>A 45-year-old female with diabetes, hypertension and multiple ischaemic strokes presented with altered consciousness due to hypoglycaemia. Initial workup at a different hospital suggested cerebral vasculitis based on the findings of cerebral angiography. She had negative systemic vasculitis markers and was treated with corticosteroids and rituximab and discharged. On admission to our facility, an MRI of the brain revealed multiple infarcts of varying ages, and a CTA showed arterial beading, suggestive of primary CNS vasculitis. CSF analysis demonstrated elevated protein and IgG without pleocytosis. Despite high-dose corticosteroids and rituximab, she developed progressive neurological deterioration with new infarcts in the vertebrobasilar territory, leading to brainstem dysfunction and brain death.</p><p><strong>Conclusion: </strong>Primary CNS vasculitis remains a diagnostic and therapeutic challenge because of its diverse presentation and similarities with other vascular conditions. This case emphasises the importance of early recognition, comprehensive diagnostic evaluation and aggressive treatment to prevent irreversible neurological decline. Disease progression can be rapid even with treatment, highlighting the need for further research to enhance early detection and optimise management strategies.</p><p><strong>Learning points: </strong>Physicians should be alert in diagnosing primary CNS vasculitis in a young patient with recurrent strokes affecting multiple vascular territories, particularly when systemic vasculitis markers are negative.Imaging studies, such as MRI and computed tomography angiography (CTA), play an essential role in diagnosing primary CNS vasculitis, with findings such as arterial beading and a multi-infarct pattern helping differentiate it from atherosclerotic diseases.Early recognition and aggressive high-dose corticosteroid and immunosuppressive (rituximab) therapy are essential in primary CNS vasculitis, as delayed treatment can result in rapid neurological deterioration, as seen in this case.</p>\",\"PeriodicalId\":11908,\"journal\":{\"name\":\"European journal of case reports in internal medicine\",\"volume\":\"12 9\",\"pages\":\"005384\"},\"PeriodicalIF\":0.0000,\"publicationDate\":\"2025-08-19\",\"publicationTypes\":\"Journal Article\",\"fieldsOfStudy\":null,\"isOpenAccess\":false,\"openAccessPdf\":\"https://www.ncbi.nlm.nih.gov/pmc/articles/PMC12416770/pdf/\",\"citationCount\":\"0\",\"resultStr\":null,\"platform\":\"Semanticscholar\",\"paperid\":null,\"PeriodicalName\":\"European journal of case reports in internal medicine\",\"FirstCategoryId\":\"1085\",\"ListUrlMain\":\"https://doi.org/10.12890/2025_005384\",\"RegionNum\":0,\"RegionCategory\":null,\"ArticlePicture\":[],\"TitleCN\":null,\"AbstractTextCN\":null,\"PMCID\":null,\"EPubDate\":\"2025/1/1 0:00:00\",\"PubModel\":\"eCollection\",\"JCR\":\"Q3\",\"JCRName\":\"Medicine\",\"Score\":null,\"Total\":0}","platform":"Semanticscholar","paperid":null,"PeriodicalName":"European journal of case reports in internal medicine","FirstCategoryId":"1085","ListUrlMain":"https://doi.org/10.12890/2025_005384","RegionNum":0,"RegionCategory":null,"ArticlePicture":[],"TitleCN":null,"AbstractTextCN":null,"PMCID":null,"EPubDate":"2025/1/1 0:00:00","PubModel":"eCollection","JCR":"Q3","JCRName":"Medicine","Score":null,"Total":0}
引用次数: 0

摘要

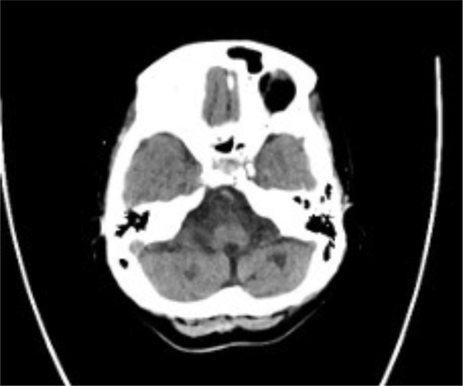
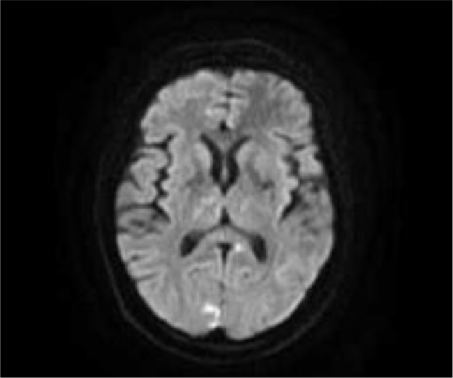
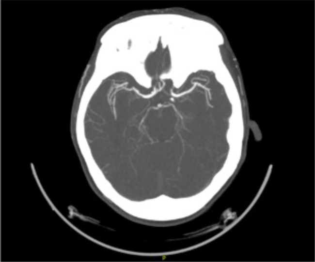
原发性中枢神经系统血管炎(Primary CNS vasculitis)是一种罕见的影响中小脑血管的炎症性疾病,常导致复发性中风。由于非特异性神经症状,诊断不明确。影像学表现、脑脊液(CSF)分析和排除全身性血管炎是诊断的基础。早期免疫抑制治疗至关重要,但预后仍不可预测。病例描述:一名45岁女性,患有糖尿病、高血压和多发性缺血性中风,因低血糖而出现意识改变。在另一家医院的初步检查显示脑血管炎是基于脑血管造影的结果。全身性血管炎标志物阴性,给予皮质类固醇和利妥昔单抗治疗后出院。入院时,脑MRI显示不同年龄的多发梗死,CTA显示动脉栓塞,提示原发性中枢神经系统血管炎。脑脊液分析显示蛋白和IgG升高,但无增多症。尽管使用了大剂量皮质类固醇和利妥昔单抗,她仍出现进行性神经功能恶化,椎基底区出现新的梗死,导致脑干功能障碍和脑死亡。结论:原发性中枢神经系统血管炎由于其不同的表现和与其他血管疾病的相似性,仍然是诊断和治疗的挑战。这个病例强调了早期识别、综合诊断评估和积极治疗的重要性,以防止不可逆转的神经衰退。即使有治疗,疾病进展也可能很快,这突出表明需要进一步研究以加强早期发现和优化管理策略。学习要点:医生在诊断多血管区域复发性卒中的年轻患者的原发性中枢神经系统血管炎时应保持警惕,特别是当全身性血管炎标志物呈阴性时。影像学检查,如MRI和计算机断层血管造影(CTA),在诊断原发性中枢神经系统血管炎中起着至关重要的作用,其发现如动脉栓塞和多发梗死模式有助于将其与动脉粥样硬化性疾病区分开来。早期识别和积极的高剂量皮质类固醇和免疫抑制(利妥昔单抗)治疗对于原发性中枢神经系统血管炎至关重要,因为延迟治疗可导致神经系统迅速恶化,正如本病例所见。
本文章由计算机程序翻译,如有差异,请以英文原文为准。

Rapidly Progressive Primary Central Nervous System Vasculitis: A Rare Case with Multifocal Small and Medium Vessel Involvement.

Rapidly Progressive Primary Central Nervous System Vasculitis: A Rare Case with Multifocal Small and Medium Vessel Involvement.

Rapidly Progressive Primary Central Nervous System Vasculitis: A Rare Case with Multifocal Small and Medium Vessel Involvement.

Rapidly Progressive Primary Central Nervous System Vasculitis: A Rare Case with Multifocal Small and Medium Vessel Involvement.

Introduction: Primary central nervous system vasculitis (primary CNS vasculitis) is a rare inflammatory disorder that affects small-to-medium-sized cerebral vessels, often leading to recurrent strokes. Diagnosis is vague due to non-specific neurological symptoms. Imaging findings, cerebrospinal fluid (CSF) analysis and exclusion of systemic vasculitis are essential for diagnosis. Early immunosuppressive therapy is crucial, but the prognosis remains unpredictable.

Case description: A 45-year-old female with diabetes, hypertension and multiple ischaemic strokes presented with altered consciousness due to hypoglycaemia. Initial workup at a different hospital suggested cerebral vasculitis based on the findings of cerebral angiography. She had negative systemic vasculitis markers and was treated with corticosteroids and rituximab and discharged. On admission to our facility, an MRI of the brain revealed multiple infarcts of varying ages, and a CTA showed arterial beading, suggestive of primary CNS vasculitis. CSF analysis demonstrated elevated protein and IgG without pleocytosis. Despite high-dose corticosteroids and rituximab, she developed progressive neurological deterioration with new infarcts in the vertebrobasilar territory, leading to brainstem dysfunction and brain death.

Conclusion: Primary CNS vasculitis remains a diagnostic and therapeutic challenge because of its diverse presentation and similarities with other vascular conditions. This case emphasises the importance of early recognition, comprehensive diagnostic evaluation and aggressive treatment to prevent irreversible neurological decline. Disease progression can be rapid even with treatment, highlighting the need for further research to enhance early detection and optimise management strategies.

Learning points: Physicians should be alert in diagnosing primary CNS vasculitis in a young patient with recurrent strokes affecting multiple vascular territories, particularly when systemic vasculitis markers are negative.Imaging studies, such as MRI and computed tomography angiography (CTA), play an essential role in diagnosing primary CNS vasculitis, with findings such as arterial beading and a multi-infarct pattern helping differentiate it from atherosclerotic diseases.Early recognition and aggressive high-dose corticosteroid and immunosuppressive (rituximab) therapy are essential in primary CNS vasculitis, as delayed treatment can result in rapid neurological deterioration, as seen in this case.

求助全文
通过发布文献求助,成功后即可免费获取论文全文。 去求助
来源期刊
CiteScore
2.10
自引率
0.00%
发文量
166
审稿时长
8 weeks
期刊介绍: The European Journal of Case Reports in Internal Medicine is an official journal of the European Federation of Internal Medicine (EFIM), representing 35 national societies from 33 European countries. The Journal''s mission is to promote the best medical practice and innovation in the field of acute and general medicine. It also provides a forum for internal medicine doctors where they can share new approaches with the aim of improving diagnostic and clinical skills in this field. EJCRIM welcomes high-quality case reports describing unusual or complex cases that an internist may encounter in everyday practice. The cases should either demonstrate the appropriateness of a diagnostic/therapeutic approach, describe a new procedure or maneuver, or show unusual manifestations of a disease or unexpected reactions. The Journal only accepts and publishes those case reports whose learning points provide new insight and/or contribute to advancing medical knowledge both in terms of diagnostics and therapeutic approaches. Case reports of medical errors, therefore, are also welcome as long as they provide innovative measures on how to prevent them in the current practice (Instructive Errors). The Journal may also consider brief and reasoned reports on issues relevant to the practice of Internal Medicine, as well as Abstracts submitted to the scientific meetings of acknowledged medical societies.
×
引用
GB/T 7714-2015
复制
MLA
复制
APA
复制
导出至
BibTeX EndNote RefMan NoteFirst NoteExpress
×
提示
您的信息不完整,为了账户安全,请先补充。
现在去补充
×
提示
您因"违规操作"
具体请查看互助需知
我知道了
×
提示
确定
请完成安全验证×
copy
已复制链接
快去分享给好友吧!
我知道了
右上角分享
点击右上角分享
0
联系我们:info@booksci.cn Book学术提供免费学术资源搜索服务,方便国内外学者检索中英文文献。致力于提供最便捷和优质的服务体验。 Copyright © 2023 布克学术 All rights reserved.
京ICP备2023020795号-1
ghs 京公网安备 11010802042870号
Book学术文献互助
Book学术文献互助群
群 号:604180095
Book学术官方微信