甲氨甲环酸在A型夹层中的自发性主动脉密封:一种新的挽救生命的发现。

Q3 Medicine
European journal of case reports in internal medicine Pub Date : 2025-08-18 eCollection Date: 2025-01-01 DOI:10.12890/2025_005650
Antonio Al Hazzouri, Philippe Attieh, Karam Karam, Elias Fiani
{"title":"甲氨甲环酸在A型夹层中的自发性主动脉密封:一种新的挽救生命的发现。","authors":"Antonio Al Hazzouri, Philippe Attieh, Karam Karam, Elias Fiani","doi":"10.12890/2025_005650","DOIUrl":null,"url":null,"abstract":"<p><p>Aortic dissection is a life-threatening cardiovascular emergency, particularly Stanford type A, which typically necessitates urgent surgical intervention. Despite advances in surgical techniques and perioperative care, preoperative bleeding and coagulopathy remain significant challenges. Tranexamic acid, an antifibrinolytic agent, is widely used to minimize perioperative bleeding in cardiovascular surgeries; however, its role in the non-surgical, preoperative stabilization of aortic dissection has not been well established. We present the case of a 56-year-old woman with a history of hypertension and dyslipidaemia who presented with sudden-onset, severe interscapular chest pain. Computed tomography angiography revealed an ascending aortic dissection. Initial management included intravenous labetalol for blood pressure and heart rate control, along with the administration of 1 gram of tranexamic acid. She was subsequently transferred for emergent surgical repair. Intraoperatively, however, no active aortic bleeding was identified. Instead, a clot was found sealing the dissected segment of the ascending aorta, effectively halting further propagation and haemorrhage. This unexpected finding led to the cancellation of surgical repair. We hypothesize that tranexamic acid contributed significantly to the formation of this stabilizing clot through its antifibrinolytic effects. The patient's clinical outcome was favourable, with no complications observed. This case highlights a novel potential application of tranexamic acid in the emergency management of aortic dissection. To our knowledge, this is the first reported case in which tranexamic acid contributed to spontaneous thrombus formation within a dissected aortic segment, preventing catastrophic haemorrhage and obviating the need for surgery.</p><p><strong>Learning points: </strong>This case highlights a potentially important role for tranexamic acid (TXA) in the management of aortic dissection. To our knowledge, this is the first reported case of its kind.While its established use in reducing postoperative bleeding and transfusion requirements is well documented, our case demonstrates a preoperative benefit, with TXA contributing to the formation of a stabilizing thrombus within the dissected aortic segment.This life-saving clot prevented further dissection and haemorrhage, ultimately deferring the need for surgical repair and reducing the risk of perioperative complications.We aim to underscore the need for further investigation into the potential role of tranexamic acid in the acute management of aortic dissection.</p>","PeriodicalId":11908,"journal":{"name":"European journal of case reports in internal medicine","volume":"12 9","pages":"005650"},"PeriodicalIF":0.0000,"publicationDate":"2025-08-18","publicationTypes":"Journal Article","fieldsOfStudy":null,"isOpenAccess":false,"openAccessPdf":"https://www.ncbi.nlm.nih.gov/pmc/articles/PMC12416795/pdf/","citationCount":"0","resultStr":"{\"title\":\"Spontaneous Aortic Sealing with Tranexamic Acid in Type A Dissection: A Novel Life-Saving Finding.\",\"authors\":\"Antonio Al Hazzouri, Philippe Attieh, Karam Karam, Elias Fiani\",\"doi\":\"10.12890/2025_005650\",\"DOIUrl\":null,\"url\":null,\"abstract\":\"<p><p>Aortic dissection is a life-threatening cardiovascular emergency, particularly Stanford type A, which typically necessitates urgent surgical intervention. Despite advances in surgical techniques and perioperative care, preoperative bleeding and coagulopathy remain significant challenges. Tranexamic acid, an antifibrinolytic agent, is widely used to minimize perioperative bleeding in cardiovascular surgeries; however, its role in the non-surgical, preoperative stabilization of aortic dissection has not been well established. We present the case of a 56-year-old woman with a history of hypertension and dyslipidaemia who presented with sudden-onset, severe interscapular chest pain. Computed tomography angiography revealed an ascending aortic dissection. Initial management included intravenous labetalol for blood pressure and heart rate control, along with the administration of 1 gram of tranexamic acid. She was subsequently transferred for emergent surgical repair. Intraoperatively, however, no active aortic bleeding was identified. Instead, a clot was found sealing the dissected segment of the ascending aorta, effectively halting further propagation and haemorrhage. This unexpected finding led to the cancellation of surgical repair. We hypothesize that tranexamic acid contributed significantly to the formation of this stabilizing clot through its antifibrinolytic effects. The patient's clinical outcome was favourable, with no complications observed. This case highlights a novel potential application of tranexamic acid in the emergency management of aortic dissection. To our knowledge, this is the first reported case in which tranexamic acid contributed to spontaneous thrombus formation within a dissected aortic segment, preventing catastrophic haemorrhage and obviating the need for surgery.</p><p><strong>Learning points: </strong>This case highlights a potentially important role for tranexamic acid (TXA) in the management of aortic dissection. To our knowledge, this is the first reported case of its kind.While its established use in reducing postoperative bleeding and transfusion requirements is well documented, our case demonstrates a preoperative benefit, with TXA contributing to the formation of a stabilizing thrombus within the dissected aortic segment.This life-saving clot prevented further dissection and haemorrhage, ultimately deferring the need for surgical repair and reducing the risk of perioperative complications.We aim to underscore the need for further investigation into the potential role of tranexamic acid in the acute management of aortic dissection.</p>\",\"PeriodicalId\":11908,\"journal\":{\"name\":\"European journal of case reports in internal medicine\",\"volume\":\"12 9\",\"pages\":\"005650\"},\"PeriodicalIF\":0.0000,\"publicationDate\":\"2025-08-18\",\"publicationTypes\":\"Journal Article\",\"fieldsOfStudy\":null,\"isOpenAccess\":false,\"openAccessPdf\":\"https://www.ncbi.nlm.nih.gov/pmc/articles/PMC12416795/pdf/\",\"citationCount\":\"0\",\"resultStr\":null,\"platform\":\"Semanticscholar\",\"paperid\":null,\"PeriodicalName\":\"European journal of case reports in internal medicine\",\"FirstCategoryId\":\"1085\",\"ListUrlMain\":\"https://doi.org/10.12890/2025_005650\",\"RegionNum\":0,\"RegionCategory\":null,\"ArticlePicture\":[],\"TitleCN\":null,\"AbstractTextCN\":null,\"PMCID\":null,\"EPubDate\":\"2025/1/1 0:00:00\",\"PubModel\":\"eCollection\",\"JCR\":\"Q3\",\"JCRName\":\"Medicine\",\"Score\":null,\"Total\":0}","platform":"Semanticscholar","paperid":null,"PeriodicalName":"European journal of case reports in internal medicine","FirstCategoryId":"1085","ListUrlMain":"https://doi.org/10.12890/2025_005650","RegionNum":0,"RegionCategory":null,"ArticlePicture":[],"TitleCN":null,"AbstractTextCN":null,"PMCID":null,"EPubDate":"2025/1/1 0:00:00","PubModel":"eCollection","JCR":"Q3","JCRName":"Medicine","Score":null,"Total":0}
引用次数: 0

摘要

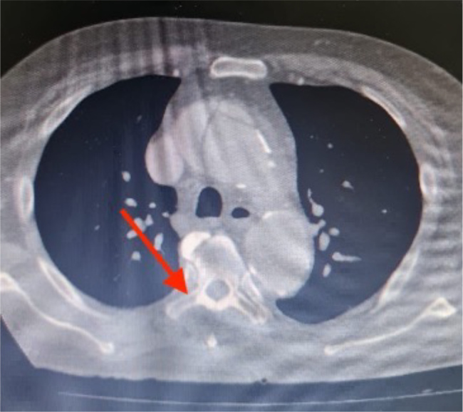
主动脉夹层是一种危及生命的心血管急症,尤其是斯坦福a型,通常需要紧急手术干预。尽管手术技术和围手术期护理有所进步,但术前出血和凝血病仍然是一个重大挑战。氨甲环酸是一种抗纤溶药物,广泛用于减少心血管手术围手术期出血;然而,其在主动脉夹层非手术术前稳定中的作用尚未得到很好的证实。我们提出的情况下,56岁的妇女与高血压和血脂异常的历史谁提出了突然发作,严重肩胛间胸痛。计算机断层血管造影显示升主动脉夹层。最初的治疗包括静脉注射拉贝他洛尔控制血压和心率,同时给予1克氨甲环酸。随后,她被转移到紧急手术修复。术中未发现活动性主动脉出血。相反,发现一个凝块封闭了剥离的升主动脉段,有效地阻止了进一步的扩散和出血。这一意想不到的发现导致手术修复的取消。我们假设氨甲环酸通过其抗纤溶作用显著促进了这种稳定凝块的形成。患者临床结果良好,无并发症。本病例强调了氨甲环酸在主动脉夹层急诊治疗中的潜在应用。据我们所知,这是第一例报道的氨甲环酸导致夹层主动脉段自发血栓形成的病例,防止了灾难性出血,避免了手术的需要。学习要点:本病例强调了氨甲环酸(TXA)在主动脉夹层治疗中的潜在重要作用。据我们所知,这是首次报道的此类病例。虽然其在减少术后出血和输血需求方面的既定用途有充分的文献记载,但我们的病例显示了术前的益处,TXA有助于在夹层主动脉段内形成稳定的血栓。这个挽救生命的凝块阻止了进一步的剥离和出血,最终推迟了手术修复的需要,降低了围手术期并发症的风险。我们的目的是强调需要进一步研究氨甲环酸在主动脉夹层急性治疗中的潜在作用。
本文章由计算机程序翻译,如有差异,请以英文原文为准。

Spontaneous Aortic Sealing with Tranexamic Acid in Type A Dissection: A Novel Life-Saving Finding.

Spontaneous Aortic Sealing with Tranexamic Acid in Type A Dissection: A Novel Life-Saving Finding.

Spontaneous Aortic Sealing with Tranexamic Acid in Type A Dissection: A Novel Life-Saving Finding.

Aortic dissection is a life-threatening cardiovascular emergency, particularly Stanford type A, which typically necessitates urgent surgical intervention. Despite advances in surgical techniques and perioperative care, preoperative bleeding and coagulopathy remain significant challenges. Tranexamic acid, an antifibrinolytic agent, is widely used to minimize perioperative bleeding in cardiovascular surgeries; however, its role in the non-surgical, preoperative stabilization of aortic dissection has not been well established. We present the case of a 56-year-old woman with a history of hypertension and dyslipidaemia who presented with sudden-onset, severe interscapular chest pain. Computed tomography angiography revealed an ascending aortic dissection. Initial management included intravenous labetalol for blood pressure and heart rate control, along with the administration of 1 gram of tranexamic acid. She was subsequently transferred for emergent surgical repair. Intraoperatively, however, no active aortic bleeding was identified. Instead, a clot was found sealing the dissected segment of the ascending aorta, effectively halting further propagation and haemorrhage. This unexpected finding led to the cancellation of surgical repair. We hypothesize that tranexamic acid contributed significantly to the formation of this stabilizing clot through its antifibrinolytic effects. The patient's clinical outcome was favourable, with no complications observed. This case highlights a novel potential application of tranexamic acid in the emergency management of aortic dissection. To our knowledge, this is the first reported case in which tranexamic acid contributed to spontaneous thrombus formation within a dissected aortic segment, preventing catastrophic haemorrhage and obviating the need for surgery.

Learning points: This case highlights a potentially important role for tranexamic acid (TXA) in the management of aortic dissection. To our knowledge, this is the first reported case of its kind.While its established use in reducing postoperative bleeding and transfusion requirements is well documented, our case demonstrates a preoperative benefit, with TXA contributing to the formation of a stabilizing thrombus within the dissected aortic segment.This life-saving clot prevented further dissection and haemorrhage, ultimately deferring the need for surgical repair and reducing the risk of perioperative complications.We aim to underscore the need for further investigation into the potential role of tranexamic acid in the acute management of aortic dissection.

求助全文
通过发布文献求助,成功后即可免费获取论文全文。 去求助
来源期刊
CiteScore
2.10
自引率
0.00%
发文量
166
审稿时长
8 weeks
期刊介绍: The European Journal of Case Reports in Internal Medicine is an official journal of the European Federation of Internal Medicine (EFIM), representing 35 national societies from 33 European countries. The Journal''s mission is to promote the best medical practice and innovation in the field of acute and general medicine. It also provides a forum for internal medicine doctors where they can share new approaches with the aim of improving diagnostic and clinical skills in this field. EJCRIM welcomes high-quality case reports describing unusual or complex cases that an internist may encounter in everyday practice. The cases should either demonstrate the appropriateness of a diagnostic/therapeutic approach, describe a new procedure or maneuver, or show unusual manifestations of a disease or unexpected reactions. The Journal only accepts and publishes those case reports whose learning points provide new insight and/or contribute to advancing medical knowledge both in terms of diagnostics and therapeutic approaches. Case reports of medical errors, therefore, are also welcome as long as they provide innovative measures on how to prevent them in the current practice (Instructive Errors). The Journal may also consider brief and reasoned reports on issues relevant to the practice of Internal Medicine, as well as Abstracts submitted to the scientific meetings of acknowledged medical societies.
×
引用
GB/T 7714-2015
复制
MLA
复制
APA
复制
导出至
BibTeX EndNote RefMan NoteFirst NoteExpress
×
提示
您的信息不完整,为了账户安全,请先补充。
现在去补充
×
提示
您因"违规操作"
具体请查看互助需知
我知道了
×
提示
确定
请完成安全验证×
copy
已复制链接
快去分享给好友吧!
我知道了
右上角分享
点击右上角分享
0
联系我们:info@booksci.cn Book学术提供免费学术资源搜索服务,方便国内外学者检索中英文文献。致力于提供最便捷和优质的服务体验。 Copyright © 2023 布克学术 All rights reserved.
京ICP备2023020795号-1
ghs 京公网安备 11010802042870号
Book学术文献互助
Book学术文献互助群
群 号:604180095
Book学术官方微信