由腺病毒引发的急性坏死性脑病:一种罕见的破坏性神经系统综合征的病因。

IF 2 Q2 EMERGENCY MEDICINE
Sarah AlMuammar
{"title":"由腺病毒引发的急性坏死性脑病:一种罕见的破坏性神经系统综合征的病因。","authors":"Sarah AlMuammar","doi":"10.1186/s12245-025-00988-z","DOIUrl":null,"url":null,"abstract":"<p><strong>Background: </strong>Acute necrotizing encephalopathy is a rare but severe neurological disorder characterized by rapid onset of fever, altered mental status, seizures, and multifocal brain lesions, particularly involving the thalami and brainstem. Often triggered by viral infections, its pathogenesis involves a hyperinflammatory response, resulting in blood-brain barrier disruption and necrosis of neural tissue. While influenza and herpesviruses are common etiological agents, adenovirus is a less frequently reported cause.</p><p><strong>Case presentation: </strong>A 19-year-old previously healthy male presented with a two-day history of fever, headache, altered mental status, and seizures. On admission, he was febrile, with impaired consciousness. Initial investigations showed leukocytosis, elevated C-reactive protein, and cerebrospinal fluid analysis indicative of inflammation without bacterial or fungal pathogens. Brain MRI revealed bilateral symmetrical lesions in the thalami, putamen, and brainstem, consistent with acute necrotizing encephalopathy. Polymerase chain reaction testing of cerebrospinal fluid and nasopharyngeal swabs confirmed adenovirus as the causative agent. The patient was managed with seizure control, corticosteroids for cerebral edema, and supportive care, including mechanical ventilation and physiotherapy. Follow-up imaging demonstrated regression of thalamic and pontine lesions. The patient showed partial neurological recovery but required transfer to a long-term care facility for rehabilitation, with persistent functional disability.</p><p><strong>Conclusion: </strong>This case highlights adenovirus as a rare etiological agent of acute necrotizing encephalopathy, emphasizing the importance of molecular diagnostics in identifying atypical pathogens in severe neurological conditions.</p>","PeriodicalId":13967,"journal":{"name":"International Journal of Emergency Medicine","volume":"18 1","pages":"165"},"PeriodicalIF":2.0000,"publicationDate":"2025-09-08","publicationTypes":"Journal Article","fieldsOfStudy":null,"isOpenAccess":false,"openAccessPdf":"https://www.ncbi.nlm.nih.gov/pmc/articles/PMC12418643/pdf/","citationCount":"0","resultStr":"{\"title\":\"Acute necrotizing encephalopathy in a young adult triggered by adenovirus: a rare etiology of a devastating neurological syndrome.\",\"authors\":\"Sarah AlMuammar\",\"doi\":\"10.1186/s12245-025-00988-z\",\"DOIUrl\":null,\"url\":null,\"abstract\":\"<p><strong>Background: </strong>Acute necrotizing encephalopathy is a rare but severe neurological disorder characterized by rapid onset of fever, altered mental status, seizures, and multifocal brain lesions, particularly involving the thalami and brainstem. Often triggered by viral infections, its pathogenesis involves a hyperinflammatory response, resulting in blood-brain barrier disruption and necrosis of neural tissue. While influenza and herpesviruses are common etiological agents, adenovirus is a less frequently reported cause.</p><p><strong>Case presentation: </strong>A 19-year-old previously healthy male presented with a two-day history of fever, headache, altered mental status, and seizures. On admission, he was febrile, with impaired consciousness. Initial investigations showed leukocytosis, elevated C-reactive protein, and cerebrospinal fluid analysis indicative of inflammation without bacterial or fungal pathogens. Brain MRI revealed bilateral symmetrical lesions in the thalami, putamen, and brainstem, consistent with acute necrotizing encephalopathy. Polymerase chain reaction testing of cerebrospinal fluid and nasopharyngeal swabs confirmed adenovirus as the causative agent. The patient was managed with seizure control, corticosteroids for cerebral edema, and supportive care, including mechanical ventilation and physiotherapy. Follow-up imaging demonstrated regression of thalamic and pontine lesions. The patient showed partial neurological recovery but required transfer to a long-term care facility for rehabilitation, with persistent functional disability.</p><p><strong>Conclusion: </strong>This case highlights adenovirus as a rare etiological agent of acute necrotizing encephalopathy, emphasizing the importance of molecular diagnostics in identifying atypical pathogens in severe neurological conditions.</p>\",\"PeriodicalId\":13967,\"journal\":{\"name\":\"International Journal of Emergency Medicine\",\"volume\":\"18 1\",\"pages\":\"165\"},\"PeriodicalIF\":2.0000,\"publicationDate\":\"2025-09-08\",\"publicationTypes\":\"Journal Article\",\"fieldsOfStudy\":null,\"isOpenAccess\":false,\"openAccessPdf\":\"https://www.ncbi.nlm.nih.gov/pmc/articles/PMC12418643/pdf/\",\"citationCount\":\"0\",\"resultStr\":null,\"platform\":\"Semanticscholar\",\"paperid\":null,\"PeriodicalName\":\"International Journal of Emergency Medicine\",\"FirstCategoryId\":\"1085\",\"ListUrlMain\":\"https://doi.org/10.1186/s12245-025-00988-z\",\"RegionNum\":0,\"RegionCategory\":null,\"ArticlePicture\":[],\"TitleCN\":null,\"AbstractTextCN\":null,\"PMCID\":null,\"EPubDate\":\"\",\"PubModel\":\"\",\"JCR\":\"Q2\",\"JCRName\":\"EMERGENCY MEDICINE\",\"Score\":null,\"Total\":0}","platform":"Semanticscholar","paperid":null,"PeriodicalName":"International Journal of Emergency Medicine","FirstCategoryId":"1085","ListUrlMain":"https://doi.org/10.1186/s12245-025-00988-z","RegionNum":0,"RegionCategory":null,"ArticlePicture":[],"TitleCN":null,"AbstractTextCN":null,"PMCID":null,"EPubDate":"","PubModel":"","JCR":"Q2","JCRName":"EMERGENCY MEDICINE","Score":null,"Total":0}
引用次数: 0

摘要

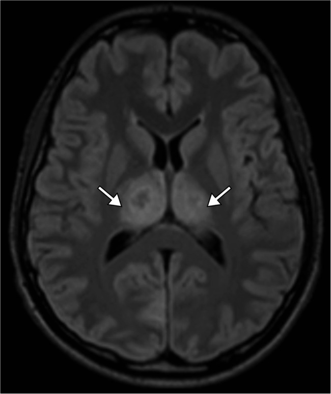
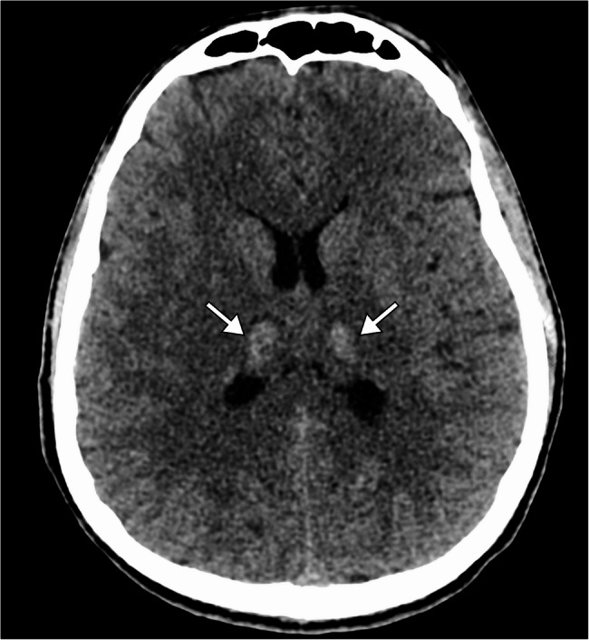
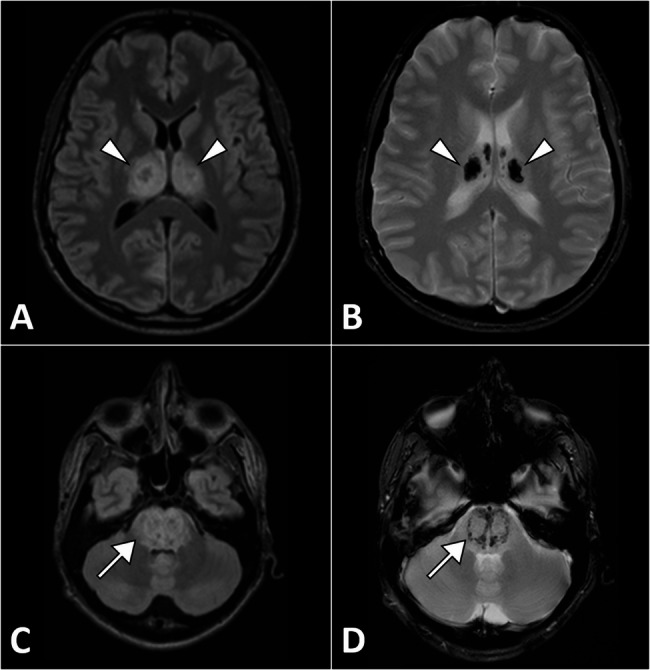
背景:急性坏死性脑病是一种罕见但严重的神经系统疾病,其特点是起病迅速、发热、精神状态改变、癫痫发作和多灶性脑病变,特别是累及丘脑和脑干。通常由病毒感染引发,其发病机制涉及高炎症反应,导致血脑屏障破坏和神经组织坏死。虽然流感病毒和疱疹病毒是常见的病原,但腺病毒是较少报道的病因。病例介绍:一名19岁的健康男性,有发热、头痛、精神状态改变和癫痫发作的两天病史。入院时,他有发热,意识受损。初步调查显示白细胞增多,c反应蛋白升高,脑脊液分析表明没有细菌或真菌病原体的炎症。脑MRI显示双侧丘脑、壳核和脑干对称性病变,符合急性坏死性脑病。脑脊液及鼻咽拭子聚合酶链反应证实腺病毒为病原体。患者接受癫痫控制、皮质类固醇治疗脑水肿和支持治疗,包括机械通气和物理治疗。随访影像显示丘脑和脑桥病变消退。患者表现出部分神经功能恢复,但需要转移到长期护理机构进行康复治疗,并伴有持续的功能障碍。结论:该病例突出了腺病毒作为急性坏死性脑病的罕见病因,强调了分子诊断在严重神经系统疾病中鉴定非典型病原体的重要性。
本文章由计算机程序翻译,如有差异,请以英文原文为准。

Acute necrotizing encephalopathy in a young adult triggered by adenovirus: a rare etiology of a devastating neurological syndrome.

Acute necrotizing encephalopathy in a young adult triggered by adenovirus: a rare etiology of a devastating neurological syndrome.

Acute necrotizing encephalopathy in a young adult triggered by adenovirus: a rare etiology of a devastating neurological syndrome.

Acute necrotizing encephalopathy in a young adult triggered by adenovirus: a rare etiology of a devastating neurological syndrome.

Background: Acute necrotizing encephalopathy is a rare but severe neurological disorder characterized by rapid onset of fever, altered mental status, seizures, and multifocal brain lesions, particularly involving the thalami and brainstem. Often triggered by viral infections, its pathogenesis involves a hyperinflammatory response, resulting in blood-brain barrier disruption and necrosis of neural tissue. While influenza and herpesviruses are common etiological agents, adenovirus is a less frequently reported cause.

Case presentation: A 19-year-old previously healthy male presented with a two-day history of fever, headache, altered mental status, and seizures. On admission, he was febrile, with impaired consciousness. Initial investigations showed leukocytosis, elevated C-reactive protein, and cerebrospinal fluid analysis indicative of inflammation without bacterial or fungal pathogens. Brain MRI revealed bilateral symmetrical lesions in the thalami, putamen, and brainstem, consistent with acute necrotizing encephalopathy. Polymerase chain reaction testing of cerebrospinal fluid and nasopharyngeal swabs confirmed adenovirus as the causative agent. The patient was managed with seizure control, corticosteroids for cerebral edema, and supportive care, including mechanical ventilation and physiotherapy. Follow-up imaging demonstrated regression of thalamic and pontine lesions. The patient showed partial neurological recovery but required transfer to a long-term care facility for rehabilitation, with persistent functional disability.

Conclusion: This case highlights adenovirus as a rare etiological agent of acute necrotizing encephalopathy, emphasizing the importance of molecular diagnostics in identifying atypical pathogens in severe neurological conditions.

求助全文
通过发布文献求助,成功后即可免费获取论文全文。 去求助
来源期刊
CiteScore
4.60
自引率
0.00%
发文量
63
审稿时长
13 weeks
期刊介绍: The aim of the journal is to bring to light the various clinical advancements and research developments attained over the world and thus help the specialty forge ahead. It is directed towards physicians and medical personnel undergoing training or working within the field of Emergency Medicine. Medical students who are interested in pursuing a career in Emergency Medicine will also benefit from the journal. This is particularly useful for trainees in countries where the specialty is still in its infancy. Disciplines covered will include interesting clinical cases, the latest evidence-based practice and research developments in Emergency medicine including emergency pediatrics.
×
引用
GB/T 7714-2015
复制
MLA
复制
APA
复制
导出至
BibTeX EndNote RefMan NoteFirst NoteExpress
×
提示
您的信息不完整,为了账户安全,请先补充。
现在去补充
×
提示
您因"违规操作"
具体请查看互助需知
我知道了
×
提示
确定
请完成安全验证×
copy
已复制链接
快去分享给好友吧!
我知道了
右上角分享
点击右上角分享
0
联系我们:info@booksci.cn Book学术提供免费学术资源搜索服务,方便国内外学者检索中英文文献。致力于提供最便捷和优质的服务体验。 Copyright © 2023 布克学术 All rights reserved.
京ICP备2023020795号-1
ghs 京公网安备 11010802042870号
Book学术文献互助
Book学术文献互助群
群 号:604180095
Book学术官方微信