有大麻使用史的成人肠套叠机器人肠切除术。

CRSLS : MIS case reports from SLS Pub Date : 2025-09-04 eCollection Date: 2025-07-01 DOI:10.4293/CRSLS.2025.00036
Alexandra L Kuck, Mark Smith, Nour Y Atassi, Sean Putman
{"title":"有大麻使用史的成人肠套叠机器人肠切除术。","authors":"Alexandra L Kuck, Mark Smith, Nour Y Atassi, Sean Putman","doi":"10.4293/CRSLS.2025.00036","DOIUrl":null,"url":null,"abstract":"<p><strong>Introduction: </strong>Intussusception occurs when one segment of bowel invaginates into an adjacent segment of bowel from a lead point. Literature suggests a nonpathological lead point attributed to adult intussusception: marijuana. This report describes a unique presentation of intussusception in a patient with a history of previous surgical intervention and marijuana use.</p><p><strong>Case presentation: </strong>We report a 33-year-old male with a history of surgically treated intussusception and 12 years of marijuana use, who presented to the emergency department (ED) twice with nausea, vomiting, and abdominal pain. After imaging revealed intussusception, the patient underwent multiport-robot-assisted small bowel resection. The patient had no complications and was discharged after 6 days.</p><p><strong>Conclusion: </strong>Intussusception can be deadly if not caught early. The use of marijuana can mislead clinicians due to similar appearing presentations. This case highlights the importance of a comprehensive patient history for abdominal pain. Additionally, it suggests placing intussusception higher in the differential for marijuana users.</p>","PeriodicalId":72723,"journal":{"name":"CRSLS : MIS case reports from SLS","volume":"12 3","pages":""},"PeriodicalIF":0.0000,"publicationDate":"2025-09-04","publicationTypes":"Journal Article","fieldsOfStudy":null,"isOpenAccess":false,"openAccessPdf":"https://www.ncbi.nlm.nih.gov/pmc/articles/PMC12410831/pdf/","citationCount":"0","resultStr":"{\"title\":\"Robotic Bowel Resection for Adult Intussusception with History of Marijuana Use.\",\"authors\":\"Alexandra L Kuck, Mark Smith, Nour Y Atassi, Sean Putman\",\"doi\":\"10.4293/CRSLS.2025.00036\",\"DOIUrl\":null,\"url\":null,\"abstract\":\"<p><strong>Introduction: </strong>Intussusception occurs when one segment of bowel invaginates into an adjacent segment of bowel from a lead point. Literature suggests a nonpathological lead point attributed to adult intussusception: marijuana. This report describes a unique presentation of intussusception in a patient with a history of previous surgical intervention and marijuana use.</p><p><strong>Case presentation: </strong>We report a 33-year-old male with a history of surgically treated intussusception and 12 years of marijuana use, who presented to the emergency department (ED) twice with nausea, vomiting, and abdominal pain. After imaging revealed intussusception, the patient underwent multiport-robot-assisted small bowel resection. The patient had no complications and was discharged after 6 days.</p><p><strong>Conclusion: </strong>Intussusception can be deadly if not caught early. The use of marijuana can mislead clinicians due to similar appearing presentations. This case highlights the importance of a comprehensive patient history for abdominal pain. Additionally, it suggests placing intussusception higher in the differential for marijuana users.</p>\",\"PeriodicalId\":72723,\"journal\":{\"name\":\"CRSLS : MIS case reports from SLS\",\"volume\":\"12 3\",\"pages\":\"\"},\"PeriodicalIF\":0.0000,\"publicationDate\":\"2025-09-04\",\"publicationTypes\":\"Journal Article\",\"fieldsOfStudy\":null,\"isOpenAccess\":false,\"openAccessPdf\":\"https://www.ncbi.nlm.nih.gov/pmc/articles/PMC12410831/pdf/\",\"citationCount\":\"0\",\"resultStr\":null,\"platform\":\"Semanticscholar\",\"paperid\":null,\"PeriodicalName\":\"CRSLS : MIS case reports from SLS\",\"FirstCategoryId\":\"1085\",\"ListUrlMain\":\"https://doi.org/10.4293/CRSLS.2025.00036\",\"RegionNum\":0,\"RegionCategory\":null,\"ArticlePicture\":[],\"TitleCN\":null,\"AbstractTextCN\":null,\"PMCID\":null,\"EPubDate\":\"2025/7/1 0:00:00\",\"PubModel\":\"eCollection\",\"JCR\":\"\",\"JCRName\":\"\",\"Score\":null,\"Total\":0}","platform":"Semanticscholar","paperid":null,"PeriodicalName":"CRSLS : MIS case reports from SLS","FirstCategoryId":"1085","ListUrlMain":"https://doi.org/10.4293/CRSLS.2025.00036","RegionNum":0,"RegionCategory":null,"ArticlePicture":[],"TitleCN":null,"AbstractTextCN":null,"PMCID":null,"EPubDate":"2025/7/1 0:00:00","PubModel":"eCollection","JCR":"","JCRName":"","Score":null,"Total":0}
引用次数: 0

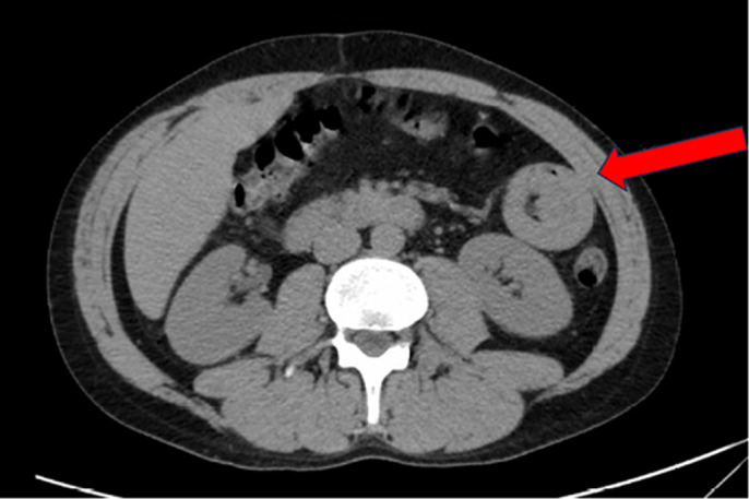
摘要

导读:肠套叠发生时,肠的一段内陷到邻近的肠段从引出点。文献表明,成人肠套叠的非病理性先导点是:大麻。本报告描述了一个独特的表现肠套叠的患者既往手术干预和大麻使用的历史。病例介绍:我们报告一名33岁男性,有手术治疗的肠套叠病史和12年的大麻使用,因恶心、呕吐和腹痛两次就诊于急诊科(ED)。在影像学显示肠套叠后,患者接受了多端口机器人辅助的小肠切除术。患者无并发症,6天后出院。结论:如不及早发现,肠套叠可致命。大麻的使用可以误导临床医生,因为类似的表面表现。本病例强调了全面的腹痛病史的重要性。此外,它建议将肠套叠放在大麻使用者的差异中。
本文章由计算机程序翻译,如有差异,请以英文原文为准。

Robotic Bowel Resection for Adult Intussusception with History of Marijuana Use.

Robotic Bowel Resection for Adult Intussusception with History of Marijuana Use.

Introduction: Intussusception occurs when one segment of bowel invaginates into an adjacent segment of bowel from a lead point. Literature suggests a nonpathological lead point attributed to adult intussusception: marijuana. This report describes a unique presentation of intussusception in a patient with a history of previous surgical intervention and marijuana use.

Case presentation: We report a 33-year-old male with a history of surgically treated intussusception and 12 years of marijuana use, who presented to the emergency department (ED) twice with nausea, vomiting, and abdominal pain. After imaging revealed intussusception, the patient underwent multiport-robot-assisted small bowel resection. The patient had no complications and was discharged after 6 days.

Conclusion: Intussusception can be deadly if not caught early. The use of marijuana can mislead clinicians due to similar appearing presentations. This case highlights the importance of a comprehensive patient history for abdominal pain. Additionally, it suggests placing intussusception higher in the differential for marijuana users.

求助全文
通过发布文献求助,成功后即可免费获取论文全文。 去求助
来源期刊
自引率
0.00%
发文量
0
×
引用
GB/T 7714-2015
复制
MLA
复制
APA
复制
导出至
BibTeX EndNote RefMan NoteFirst NoteExpress
×
提示
您的信息不完整,为了账户安全,请先补充。
现在去补充
×
提示
您因"违规操作"
具体请查看互助需知
我知道了
×
提示
确定
请完成安全验证×
copy
已复制链接
快去分享给好友吧!
我知道了
右上角分享
点击右上角分享
0
联系我们:info@booksci.cn Book学术提供免费学术资源搜索服务,方便国内外学者检索中英文文献。致力于提供最便捷和优质的服务体验。 Copyright © 2023 布克学术 All rights reserved.
京ICP备2023020795号-1
ghs 京公网安备 11010802042870号
Book学术文献互助
Book学术文献互助群
群 号:604180095
Book学术官方微信