达格列净调节TLR-4/Notch1/NF-κB通路:肝性脑病神经保护的新机制

IF 3.5 3区 医学 Q2 ENDOCRINOLOGY & METABOLISM
Hossam H Abouzaid, Muhammed F El-Yamany, Yasser O Mosaad, Mohamed M Sayed-Ahmed, Riham M Karkeet, Ayman E El-Sahar
{"title":"达格列净调节TLR-4/Notch1/NF-κB通路:肝性脑病神经保护的新机制","authors":"Hossam H Abouzaid, Muhammed F El-Yamany, Yasser O Mosaad, Mohamed M Sayed-Ahmed, Riham M Karkeet, Ayman E El-Sahar","doi":"10.1007/s11011-025-01681-z","DOIUrl":null,"url":null,"abstract":"<p><p>Acute or chronic liver damage can result in Hepatic Encephalopathy (HE), a potentially fatal neuropsychiatric condition that leads to cerebral and neurological alterations. Dapagliflozin (DAPA), an orally active Sodium/Glucose cotransporter 2 inhibitor with long duration of action. The study aim was to evaluate the potential protective impact of DAPA against HE caused by Thioacetamide (TAA) in rats. HE was achieved via a single intraperitoneal TAA dosage of (300 mg/kg). DAPA was administered orally as (1 mg/kg) for 28 days. A total of forty rats were distributed randomly into 4 equal groups: Control (CTRL), Dapagliflozin (DAPA + CTRL), Thioacetamide (TAA), and Dapagliflozin plus Thioacetamide (DAPA + TAA). TAA induced cognitive impairment was alleviated by DAPA, as evidenced by reduction by 63% in escape latency of Morris water maze (MWM) test, elevation in fall off period of Rotarod test, and reduced serum ammonia, Liver enzymes, and restore normal serum albumin levels. DAPA improved the antioxidant capacity and activity of Glutathione by 87.53%; reduced apoptosis, liver necrosis, and astrocyte inflammation. Moreover, DAPA administration reduced gene expression of both Notch1 by 50% and TLR-4 by 55.65% suppressing release of inflammatory cytokines. In conclusion, DAPA possesses a neuroprotective effect, as confirmed by the enhancement of motor incoordination, cognitive deficits, and histopathological alterations. This neuroprotective impact can be justified by lowering hyperammonemia, improving liver functions, in addition to its antioxidant effect, and suppression of TLR-4/Notch1/NF-κB inflammatory pathway.</p>","PeriodicalId":18685,"journal":{"name":"Metabolic brain disease","volume":"40 7","pages":"260"},"PeriodicalIF":3.5000,"publicationDate":"2025-09-08","publicationTypes":"Journal Article","fieldsOfStudy":null,"isOpenAccess":false,"openAccessPdf":"https://www.ncbi.nlm.nih.gov/pmc/articles/PMC12417255/pdf/","citationCount":"0","resultStr":"{\"title\":\"TLR-4/Notch1/NF-κB pathway modulation by dapagliflozin: a novel mechanism for neuroprotection in hepatic encephalopathy.\",\"authors\":\"Hossam H Abouzaid, Muhammed F El-Yamany, Yasser O Mosaad, Mohamed M Sayed-Ahmed, Riham M Karkeet, Ayman E El-Sahar\",\"doi\":\"10.1007/s11011-025-01681-z\",\"DOIUrl\":null,\"url\":null,\"abstract\":\"<p><p>Acute or chronic liver damage can result in Hepatic Encephalopathy (HE), a potentially fatal neuropsychiatric condition that leads to cerebral and neurological alterations. Dapagliflozin (DAPA), an orally active Sodium/Glucose cotransporter 2 inhibitor with long duration of action. The study aim was to evaluate the potential protective impact of DAPA against HE caused by Thioacetamide (TAA) in rats. HE was achieved via a single intraperitoneal TAA dosage of (300 mg/kg). DAPA was administered orally as (1 mg/kg) for 28 days. A total of forty rats were distributed randomly into 4 equal groups: Control (CTRL), Dapagliflozin (DAPA + CTRL), Thioacetamide (TAA), and Dapagliflozin plus Thioacetamide (DAPA + TAA). TAA induced cognitive impairment was alleviated by DAPA, as evidenced by reduction by 63% in escape latency of Morris water maze (MWM) test, elevation in fall off period of Rotarod test, and reduced serum ammonia, Liver enzymes, and restore normal serum albumin levels. DAPA improved the antioxidant capacity and activity of Glutathione by 87.53%; reduced apoptosis, liver necrosis, and astrocyte inflammation. Moreover, DAPA administration reduced gene expression of both Notch1 by 50% and TLR-4 by 55.65% suppressing release of inflammatory cytokines. In conclusion, DAPA possesses a neuroprotective effect, as confirmed by the enhancement of motor incoordination, cognitive deficits, and histopathological alterations. This neuroprotective impact can be justified by lowering hyperammonemia, improving liver functions, in addition to its antioxidant effect, and suppression of TLR-4/Notch1/NF-κB inflammatory pathway.</p>\",\"PeriodicalId\":18685,\"journal\":{\"name\":\"Metabolic brain disease\",\"volume\":\"40 7\",\"pages\":\"260\"},\"PeriodicalIF\":3.5000,\"publicationDate\":\"2025-09-08\",\"publicationTypes\":\"Journal Article\",\"fieldsOfStudy\":null,\"isOpenAccess\":false,\"openAccessPdf\":\"https://www.ncbi.nlm.nih.gov/pmc/articles/PMC12417255/pdf/\",\"citationCount\":\"0\",\"resultStr\":null,\"platform\":\"Semanticscholar\",\"paperid\":null,\"PeriodicalName\":\"Metabolic brain disease\",\"FirstCategoryId\":\"3\",\"ListUrlMain\":\"https://doi.org/10.1007/s11011-025-01681-z\",\"RegionNum\":3,\"RegionCategory\":\"医学\",\"ArticlePicture\":[],\"TitleCN\":null,\"AbstractTextCN\":null,\"PMCID\":null,\"EPubDate\":\"\",\"PubModel\":\"\",\"JCR\":\"Q2\",\"JCRName\":\"ENDOCRINOLOGY & METABOLISM\",\"Score\":null,\"Total\":0}","platform":"Semanticscholar","paperid":null,"PeriodicalName":"Metabolic brain disease","FirstCategoryId":"3","ListUrlMain":"https://doi.org/10.1007/s11011-025-01681-z","RegionNum":3,"RegionCategory":"医学","ArticlePicture":[],"TitleCN":null,"AbstractTextCN":null,"PMCID":null,"EPubDate":"","PubModel":"","JCR":"Q2","JCRName":"ENDOCRINOLOGY & METABOLISM","Score":null,"Total":0}
引用次数: 0

摘要

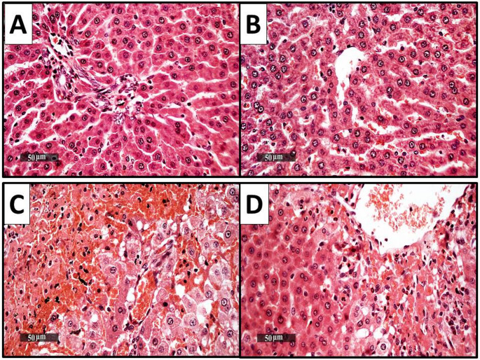
急性或慢性肝损伤可导致肝性脑病(HE),这是一种潜在致命的神经精神疾病,可导致大脑和神经系统的改变。Dapagliflozin (DAPA)是一种口服活性钠/葡萄糖共转运蛋白2抑制剂,作用时间长。本研究旨在评价DAPA对大鼠硫乙酰胺(TAA)致HE的潜在保护作用。通过单次腹腔注射TAA剂量(300 mg/kg)达到HE。口服DAPA (1 mg/kg) 28天。将40只大鼠随机分为4组:对照组(CTRL)、达格列净(DAPA + CTRL)、硫代乙酰胺(TAA)、达格列净+硫代乙酰胺(DAPA + TAA)。DAPA可减轻TAA诱导的认知功能障碍,Morris水迷宫(MWM)逃避潜伏期降低63%,Rotarod试验脱落期升高,血清氨、肝酶降低,血清白蛋白水平恢复正常。DAPA可使谷胱甘肽抗氧化能力和抗氧化活性提高87.53%;减少细胞凋亡、肝坏死和星形胶质细胞炎症。此外,DAPA可使Notch1基因表达降低50%,TLR-4基因表达降低55.65%,抑制炎症细胞因子的释放。综上所述,DAPA具有神经保护作用,可以通过增强运动不协调、认知缺陷和组织病理学改变来证实。这种神经保护作用可以通过降低高氨血症,改善肝功能,以及其抗氧化作用和抑制TLR-4/Notch1/NF-κB炎症途径来证明。
本文章由计算机程序翻译,如有差异,请以英文原文为准。

TLR-4/Notch1/NF-κB pathway modulation by dapagliflozin: a novel mechanism for neuroprotection in hepatic encephalopathy.

TLR-4/Notch1/NF-κB pathway modulation by dapagliflozin: a novel mechanism for neuroprotection in hepatic encephalopathy.

TLR-4/Notch1/NF-κB pathway modulation by dapagliflozin: a novel mechanism for neuroprotection in hepatic encephalopathy.

TLR-4/Notch1/NF-κB pathway modulation by dapagliflozin: a novel mechanism for neuroprotection in hepatic encephalopathy.

Acute or chronic liver damage can result in Hepatic Encephalopathy (HE), a potentially fatal neuropsychiatric condition that leads to cerebral and neurological alterations. Dapagliflozin (DAPA), an orally active Sodium/Glucose cotransporter 2 inhibitor with long duration of action. The study aim was to evaluate the potential protective impact of DAPA against HE caused by Thioacetamide (TAA) in rats. HE was achieved via a single intraperitoneal TAA dosage of (300 mg/kg). DAPA was administered orally as (1 mg/kg) for 28 days. A total of forty rats were distributed randomly into 4 equal groups: Control (CTRL), Dapagliflozin (DAPA + CTRL), Thioacetamide (TAA), and Dapagliflozin plus Thioacetamide (DAPA + TAA). TAA induced cognitive impairment was alleviated by DAPA, as evidenced by reduction by 63% in escape latency of Morris water maze (MWM) test, elevation in fall off period of Rotarod test, and reduced serum ammonia, Liver enzymes, and restore normal serum albumin levels. DAPA improved the antioxidant capacity and activity of Glutathione by 87.53%; reduced apoptosis, liver necrosis, and astrocyte inflammation. Moreover, DAPA administration reduced gene expression of both Notch1 by 50% and TLR-4 by 55.65% suppressing release of inflammatory cytokines. In conclusion, DAPA possesses a neuroprotective effect, as confirmed by the enhancement of motor incoordination, cognitive deficits, and histopathological alterations. This neuroprotective impact can be justified by lowering hyperammonemia, improving liver functions, in addition to its antioxidant effect, and suppression of TLR-4/Notch1/NF-κB inflammatory pathway.

求助全文
通过发布文献求助,成功后即可免费获取论文全文。 去求助
来源期刊
Metabolic brain disease
Metabolic brain disease 医学-内分泌学与代谢
CiteScore
5.90
自引率
5.60%
发文量
248
审稿时长
6-12 weeks
期刊介绍: Metabolic Brain Disease serves as a forum for the publication of outstanding basic and clinical papers on all metabolic brain disease, including both human and animal studies. The journal publishes papers on the fundamental pathogenesis of these disorders and on related experimental and clinical techniques and methodologies. Metabolic Brain Disease is directed to physicians, neuroscientists, internists, psychiatrists, neurologists, pathologists, and others involved in the research and treatment of a broad range of metabolic brain disorders.
×
引用
GB/T 7714-2015
复制
MLA
复制
APA
复制
导出至
BibTeX EndNote RefMan NoteFirst NoteExpress
×
提示
您的信息不完整,为了账户安全,请先补充。
现在去补充
×
提示
您因"违规操作"
具体请查看互助需知
我知道了
×
提示
确定
请完成安全验证×
copy
已复制链接
快去分享给好友吧!
我知道了
右上角分享
点击右上角分享
0
联系我们:info@booksci.cn Book学术提供免费学术资源搜索服务,方便国内外学者检索中英文文献。致力于提供最便捷和优质的服务体验。 Copyright © 2023 布克学术 All rights reserved.
京ICP备2023020795号-1
ghs 京公网安备 11010802042870号
Book学术文献互助
Book学术文献互助群
群 号:604180095
Book学术官方微信