实验性肝缺血再灌注模型大鼠肝脏和远端脏器损伤的评价及槲皮素对这种损伤的影响。

IF 1
Neziha Senem Arı, Esin Yuluğ, Bünyamin Arı, Cansu Kaya, Gökşen Derya Reis Köse, Tuğba Zengin, Oğuzhan Keskin, Tuğba Arıcı, Engin Yenilmez
{"title":"实验性肝缺血再灌注模型大鼠肝脏和远端脏器损伤的评价及槲皮素对这种损伤的影响。","authors":"Neziha Senem Arı, Esin Yuluğ, Bünyamin Arı, Cansu Kaya, Gökşen Derya Reis Köse, Tuğba Zengin, Oğuzhan Keskin, Tuğba Arıcı, Engin Yenilmez","doi":"10.14744/tjtes.2025.61423","DOIUrl":null,"url":null,"abstract":"<p><strong>Background: </strong>This study aims to show the changes in the liver, lung, kidney, and heart in the liver ischemia-reperfusion model in rats and the effect of quercetin on these changes histopathologically and immunohistochemically.</p><p><strong>Methods: </strong>Eighteen Sprague Dawley rats were classified into three groups: Group 1 sham, Group 2 ischemia-reperfusion (IR), Group 3 ischemia-reperfusion + quercetin (IR+Q). For three days, distilled water was given to Group 1, and quercetin was given to Group 3 via gavage. At the end of the third day, abdominal opening-closing was applied to Group 1, and 4 hours of reperfusion was applied to Groups 2 and 3 after 1 hour of ischemia by clamping the hepatoduodenal ligament, and all rats were euthanized. Liver, lung, kidney, and heart tissue samples were stained with Hematoxylin Eosin (HE), Masson Trichrome, Periodic Acid-Schiff (PAS), and TUNEL (Terminal deoxynucleotidyl transferase (TdT) deoxyuridine triphosphate nick end labeling assay) to assess apoptosis and examined histopathologically and immunohistochemically under a light microscope.</p><p><strong>Results: </strong>In the liver, the damage score was significantly higher in the IR group than in the sham group, while it was significantly lower in the IR+Q group than in the IR group. While there was no significant difference between the groups in semi-quantitative scoring parameters, the Apoptotic Index was significantly higher in the IR group than in the sham group and significantly lower in the IR+Q group than in the IR group. In the lung, no significant difference in lung damage scores between the groups was observed. While the Apoptotic Index was significantly higher in the IR group than in the sham group, it was significantly lower in the IR+Q group than in the IR group. In the kidneys, tubular cell degeneration and intertubular vascular congestion were significantly higher in the IR group than in the sham group. While the Apoptotic Index was higher in the IR group than in the sham and IR+Q groups, it was higher in the IR+Q group than in the sham group. In the heart, there was no difference between the groups in terms of myocardial cell degeneration and vascular damage. The apoptotic index was significantly higher in the IR group than in the sham and IR+Q groups.</p><p><strong>Conclusion: </strong>Our results indicate that histopathological damage occurs in the liver, lung, kidney, and heart in the experimentally created IR model, and quercetin application decreases IR-related damage and apoptosis in these organs.</p>","PeriodicalId":94263,"journal":{"name":"Ulusal travma ve acil cerrahi dergisi = Turkish journal of trauma & emergency surgery : TJTES","volume":"31 9","pages":"823-830"},"PeriodicalIF":1.0000,"publicationDate":"2025-09-01","publicationTypes":"Journal Article","fieldsOfStudy":null,"isOpenAccess":false,"openAccessPdf":"https://www.ncbi.nlm.nih.gov/pmc/articles/PMC12460636/pdf/","citationCount":"0","resultStr":"{\"title\":\"Evaluation of hepatic and remote organ injury in an experimental liver ischemia-reperfusion model in rats and the effects of quercetin on this damage.\",\"authors\":\"Neziha Senem Arı, Esin Yuluğ, Bünyamin Arı, Cansu Kaya, Gökşen Derya Reis Köse, Tuğba Zengin, Oğuzhan Keskin, Tuğba Arıcı, Engin Yenilmez\",\"doi\":\"10.14744/tjtes.2025.61423\",\"DOIUrl\":null,\"url\":null,\"abstract\":\"<p><strong>Background: </strong>This study aims to show the changes in the liver, lung, kidney, and heart in the liver ischemia-reperfusion model in rats and the effect of quercetin on these changes histopathologically and immunohistochemically.</p><p><strong>Methods: </strong>Eighteen Sprague Dawley rats were classified into three groups: Group 1 sham, Group 2 ischemia-reperfusion (IR), Group 3 ischemia-reperfusion + quercetin (IR+Q). For three days, distilled water was given to Group 1, and quercetin was given to Group 3 via gavage. At the end of the third day, abdominal opening-closing was applied to Group 1, and 4 hours of reperfusion was applied to Groups 2 and 3 after 1 hour of ischemia by clamping the hepatoduodenal ligament, and all rats were euthanized. Liver, lung, kidney, and heart tissue samples were stained with Hematoxylin Eosin (HE), Masson Trichrome, Periodic Acid-Schiff (PAS), and TUNEL (Terminal deoxynucleotidyl transferase (TdT) deoxyuridine triphosphate nick end labeling assay) to assess apoptosis and examined histopathologically and immunohistochemically under a light microscope.</p><p><strong>Results: </strong>In the liver, the damage score was significantly higher in the IR group than in the sham group, while it was significantly lower in the IR+Q group than in the IR group. While there was no significant difference between the groups in semi-quantitative scoring parameters, the Apoptotic Index was significantly higher in the IR group than in the sham group and significantly lower in the IR+Q group than in the IR group. In the lung, no significant difference in lung damage scores between the groups was observed. While the Apoptotic Index was significantly higher in the IR group than in the sham group, it was significantly lower in the IR+Q group than in the IR group. In the kidneys, tubular cell degeneration and intertubular vascular congestion were significantly higher in the IR group than in the sham group. While the Apoptotic Index was higher in the IR group than in the sham and IR+Q groups, it was higher in the IR+Q group than in the sham group. In the heart, there was no difference between the groups in terms of myocardial cell degeneration and vascular damage. The apoptotic index was significantly higher in the IR group than in the sham and IR+Q groups.</p><p><strong>Conclusion: </strong>Our results indicate that histopathological damage occurs in the liver, lung, kidney, and heart in the experimentally created IR model, and quercetin application decreases IR-related damage and apoptosis in these organs.</p>\",\"PeriodicalId\":94263,\"journal\":{\"name\":\"Ulusal travma ve acil cerrahi dergisi = Turkish journal of trauma & emergency surgery : TJTES\",\"volume\":\"31 9\",\"pages\":\"823-830\"},\"PeriodicalIF\":1.0000,\"publicationDate\":\"2025-09-01\",\"publicationTypes\":\"Journal Article\",\"fieldsOfStudy\":null,\"isOpenAccess\":false,\"openAccessPdf\":\"https://www.ncbi.nlm.nih.gov/pmc/articles/PMC12460636/pdf/\",\"citationCount\":\"0\",\"resultStr\":null,\"platform\":\"Semanticscholar\",\"paperid\":null,\"PeriodicalName\":\"Ulusal travma ve acil cerrahi dergisi = Turkish journal of trauma & emergency surgery : TJTES\",\"FirstCategoryId\":\"1085\",\"ListUrlMain\":\"https://doi.org/10.14744/tjtes.2025.61423\",\"RegionNum\":0,\"RegionCategory\":null,\"ArticlePicture\":[],\"TitleCN\":null,\"AbstractTextCN\":null,\"PMCID\":null,\"EPubDate\":\"\",\"PubModel\":\"\",\"JCR\":\"\",\"JCRName\":\"\",\"Score\":null,\"Total\":0}","platform":"Semanticscholar","paperid":null,"PeriodicalName":"Ulusal travma ve acil cerrahi dergisi = Turkish journal of trauma & emergency surgery : TJTES","FirstCategoryId":"1085","ListUrlMain":"https://doi.org/10.14744/tjtes.2025.61423","RegionNum":0,"RegionCategory":null,"ArticlePicture":[],"TitleCN":null,"AbstractTextCN":null,"PMCID":null,"EPubDate":"","PubModel":"","JCR":"","JCRName":"","Score":null,"Total":0}
引用次数: 0

摘要

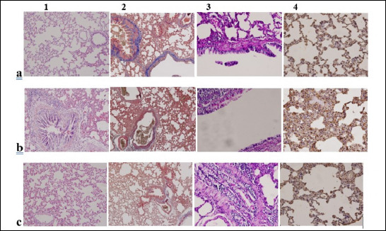
背景:本研究旨在观察大鼠肝缺血再灌注模型中肝、肺、肾、心组织的变化,以及槲皮素对这些变化的组织病理学和免疫组织化学影响。方法:18只Sprague Dawley大鼠分为3组:1组为假手术组,2组为缺血再灌注组,3组为缺血再灌注+槲皮素组。第1组给予蒸馏水,第3组灌胃给予槲皮素。第3天结束时,1组大鼠开腹合腹,2组、3组大鼠缺血1小时后,夹持肝十二指肠韧带再灌注4小时,均予安乐死。采用苏木精伊红(HE)、马松三色、周期性酸-希夫(PAS)和TUNEL(末端脱氧核苷酸转移酶(TdT)脱氧尿苷三磷酸nick末端标记法)对肝、肺、肾和心脏组织进行染色,以评估细胞凋亡,并在光镜下进行组织病理学和免疫组织化学检查。结果:肝脏损伤评分,IR组明显高于假手术组,IR+Q组明显低于IR组。虽然两组间半定量评分参数无显著差异,但IR组的凋亡指数明显高于sham组,IR+Q组的凋亡指数明显低于IR组。肺方面,两组间肺损伤评分无显著差异。IR组的凋亡指数明显高于sham组,而IR+Q组的凋亡指数明显低于IR组。在肾脏中,IR组肾小管细胞变性和肾小管间血管充血明显高于假手术组。IR组细胞凋亡指数高于假手术组和IR+Q组,IR+Q组细胞凋亡指数高于假手术组。在心脏方面,两组在心肌细胞变性和血管损伤方面没有差异。IR组细胞凋亡指数明显高于sham组和IR+Q组。结论:我们的研究结果表明,在实验建立的IR模型中,肝、肺、肾和心脏发生了组织病理学损伤,槲皮素的应用减少了这些器官的IR相关损伤和细胞凋亡。
本文章由计算机程序翻译,如有差异,请以英文原文为准。

Evaluation of hepatic and remote organ injury in an experimental liver ischemia-reperfusion model in rats and the effects of quercetin on this damage.

Evaluation of hepatic and remote organ injury in an experimental liver ischemia-reperfusion model in rats and the effects of quercetin on this damage.

Evaluation of hepatic and remote organ injury in an experimental liver ischemia-reperfusion model in rats and the effects of quercetin on this damage.

Evaluation of hepatic and remote organ injury in an experimental liver ischemia-reperfusion model in rats and the effects of quercetin on this damage.

Background: This study aims to show the changes in the liver, lung, kidney, and heart in the liver ischemia-reperfusion model in rats and the effect of quercetin on these changes histopathologically and immunohistochemically.

Methods: Eighteen Sprague Dawley rats were classified into three groups: Group 1 sham, Group 2 ischemia-reperfusion (IR), Group 3 ischemia-reperfusion + quercetin (IR+Q). For three days, distilled water was given to Group 1, and quercetin was given to Group 3 via gavage. At the end of the third day, abdominal opening-closing was applied to Group 1, and 4 hours of reperfusion was applied to Groups 2 and 3 after 1 hour of ischemia by clamping the hepatoduodenal ligament, and all rats were euthanized. Liver, lung, kidney, and heart tissue samples were stained with Hematoxylin Eosin (HE), Masson Trichrome, Periodic Acid-Schiff (PAS), and TUNEL (Terminal deoxynucleotidyl transferase (TdT) deoxyuridine triphosphate nick end labeling assay) to assess apoptosis and examined histopathologically and immunohistochemically under a light microscope.

Results: In the liver, the damage score was significantly higher in the IR group than in the sham group, while it was significantly lower in the IR+Q group than in the IR group. While there was no significant difference between the groups in semi-quantitative scoring parameters, the Apoptotic Index was significantly higher in the IR group than in the sham group and significantly lower in the IR+Q group than in the IR group. In the lung, no significant difference in lung damage scores between the groups was observed. While the Apoptotic Index was significantly higher in the IR group than in the sham group, it was significantly lower in the IR+Q group than in the IR group. In the kidneys, tubular cell degeneration and intertubular vascular congestion were significantly higher in the IR group than in the sham group. While the Apoptotic Index was higher in the IR group than in the sham and IR+Q groups, it was higher in the IR+Q group than in the sham group. In the heart, there was no difference between the groups in terms of myocardial cell degeneration and vascular damage. The apoptotic index was significantly higher in the IR group than in the sham and IR+Q groups.

Conclusion: Our results indicate that histopathological damage occurs in the liver, lung, kidney, and heart in the experimentally created IR model, and quercetin application decreases IR-related damage and apoptosis in these organs.

求助全文
通过发布文献求助,成功后即可免费获取论文全文。 去求助
来源期刊
自引率
0.00%
发文量
0
×
引用
GB/T 7714-2015
复制
MLA
复制
APA
复制
导出至
BibTeX EndNote RefMan NoteFirst NoteExpress
×
提示
您的信息不完整,为了账户安全,请先补充。
现在去补充
×
提示
您因"违规操作"
具体请查看互助需知
我知道了
×
提示
确定
请完成安全验证×
copy
已复制链接
快去分享给好友吧!
我知道了
右上角分享
点击右上角分享
0
联系我们:info@booksci.cn Book学术提供免费学术资源搜索服务,方便国内外学者检索中英文文献。致力于提供最便捷和优质的服务体验。 Copyright © 2023 布克学术 All rights reserved.
京ICP备2023020795号-1
ghs 京公网安备 11010802042870号
Book学术文献互助
Book学术文献互助群
群 号:604180095
Book学术官方微信