静脉平滑肌瘤病伴心内扩张的手术治疗策略1例。

IF 0.6 Q4 PERIPHERAL VASCULAR DISEASE
Annals of vascular diseases Pub Date : 2025-01-01 Epub Date: 2025-08-28 DOI:10.3400/avd.cr.25-00062
Shun Sato, Kazuo Yamanaka, Yuri Hashimura, Michiyuki Ichikawa, Yuichi Tara, Daisuke Nakatsuka, Takeshi Nishina
{"title":"静脉平滑肌瘤病伴心内扩张的手术治疗策略1例。","authors":"Shun Sato, Kazuo Yamanaka, Yuri Hashimura, Michiyuki Ichikawa, Yuichi Tara, Daisuke Nakatsuka, Takeshi Nishina","doi":"10.3400/avd.cr.25-00062","DOIUrl":null,"url":null,"abstract":"<p><p>Intravenous leiomyomatosis with intracardiac extension is a rare benign tumor originating from uterine smooth muscle. A 50-year-old woman presented with a cardiac mass 3 years after hysterectomy. Imaging revealed a tumor extending from the right internal iliac vein to the right atrium. Complete resection was achieved via a 2-stage surgery. In the 1st stage, median sternotomy and a retroperitoneal approach were performed, and the intracardiac tumor was excised under deep hypothermic circulatory arrest with cardiopulmonary bypass. Postoperatively, gonadotropin-releasing hormone (GnRH) agonist therapy was administered, followed by a 2nd-stage resection of the residual pelvic tumor and right ovary. The patient remained recurrence-free for 15 months.</p>","PeriodicalId":7995,"journal":{"name":"Annals of vascular diseases","volume":"18 1","pages":""},"PeriodicalIF":0.6000,"publicationDate":"2025-01-01","publicationTypes":"Journal Article","fieldsOfStudy":null,"isOpenAccess":false,"openAccessPdf":"https://www.ncbi.nlm.nih.gov/pmc/articles/PMC12406148/pdf/","citationCount":"0","resultStr":"{\"title\":\"Surgical Strategy of Intravenous Leiomyomatosis with Intracardiac Extension: A Case Report.\",\"authors\":\"Shun Sato, Kazuo Yamanaka, Yuri Hashimura, Michiyuki Ichikawa, Yuichi Tara, Daisuke Nakatsuka, Takeshi Nishina\",\"doi\":\"10.3400/avd.cr.25-00062\",\"DOIUrl\":null,\"url\":null,\"abstract\":\"<p><p>Intravenous leiomyomatosis with intracardiac extension is a rare benign tumor originating from uterine smooth muscle. A 50-year-old woman presented with a cardiac mass 3 years after hysterectomy. Imaging revealed a tumor extending from the right internal iliac vein to the right atrium. Complete resection was achieved via a 2-stage surgery. In the 1st stage, median sternotomy and a retroperitoneal approach were performed, and the intracardiac tumor was excised under deep hypothermic circulatory arrest with cardiopulmonary bypass. Postoperatively, gonadotropin-releasing hormone (GnRH) agonist therapy was administered, followed by a 2nd-stage resection of the residual pelvic tumor and right ovary. The patient remained recurrence-free for 15 months.</p>\",\"PeriodicalId\":7995,\"journal\":{\"name\":\"Annals of vascular diseases\",\"volume\":\"18 1\",\"pages\":\"\"},\"PeriodicalIF\":0.6000,\"publicationDate\":\"2025-01-01\",\"publicationTypes\":\"Journal Article\",\"fieldsOfStudy\":null,\"isOpenAccess\":false,\"openAccessPdf\":\"https://www.ncbi.nlm.nih.gov/pmc/articles/PMC12406148/pdf/\",\"citationCount\":\"0\",\"resultStr\":null,\"platform\":\"Semanticscholar\",\"paperid\":null,\"PeriodicalName\":\"Annals of vascular diseases\",\"FirstCategoryId\":\"1085\",\"ListUrlMain\":\"https://doi.org/10.3400/avd.cr.25-00062\",\"RegionNum\":0,\"RegionCategory\":null,\"ArticlePicture\":[],\"TitleCN\":null,\"AbstractTextCN\":null,\"PMCID\":null,\"EPubDate\":\"2025/8/28 0:00:00\",\"PubModel\":\"Epub\",\"JCR\":\"Q4\",\"JCRName\":\"PERIPHERAL VASCULAR DISEASE\",\"Score\":null,\"Total\":0}","platform":"Semanticscholar","paperid":null,"PeriodicalName":"Annals of vascular diseases","FirstCategoryId":"1085","ListUrlMain":"https://doi.org/10.3400/avd.cr.25-00062","RegionNum":0,"RegionCategory":null,"ArticlePicture":[],"TitleCN":null,"AbstractTextCN":null,"PMCID":null,"EPubDate":"2025/8/28 0:00:00","PubModel":"Epub","JCR":"Q4","JCRName":"PERIPHERAL VASCULAR DISEASE","Score":null,"Total":0}
引用次数: 0

摘要

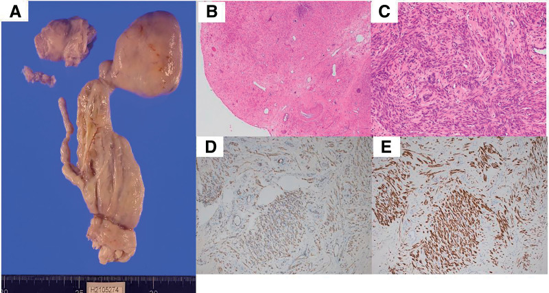
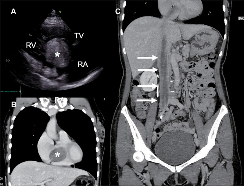
摘要静脉内平滑肌瘤病是一种罕见的良性肿瘤,起源于子宫平滑肌。一位50岁的女性在子宫切除术后3年出现心脏肿块。影像显示肿瘤从右髂内静脉延伸至右心房。通过两个阶段的手术实现了完全切除。第一阶段,行胸骨正中切口和腹膜后入路,在深低温循环停搏联合体外循环下切除心内肿瘤。术后给予促性腺激素释放激素(GnRH)激动剂治疗,第二阶段切除盆腔残余肿瘤和右侧卵巢。患者15个月无复发。
本文章由计算机程序翻译,如有差异,请以英文原文为准。

Surgical Strategy of Intravenous Leiomyomatosis with Intracardiac Extension: A Case Report.

Surgical Strategy of Intravenous Leiomyomatosis with Intracardiac Extension: A Case Report.

Surgical Strategy of Intravenous Leiomyomatosis with Intracardiac Extension: A Case Report.

Surgical Strategy of Intravenous Leiomyomatosis with Intracardiac Extension: A Case Report.

Intravenous leiomyomatosis with intracardiac extension is a rare benign tumor originating from uterine smooth muscle. A 50-year-old woman presented with a cardiac mass 3 years after hysterectomy. Imaging revealed a tumor extending from the right internal iliac vein to the right atrium. Complete resection was achieved via a 2-stage surgery. In the 1st stage, median sternotomy and a retroperitoneal approach were performed, and the intracardiac tumor was excised under deep hypothermic circulatory arrest with cardiopulmonary bypass. Postoperatively, gonadotropin-releasing hormone (GnRH) agonist therapy was administered, followed by a 2nd-stage resection of the residual pelvic tumor and right ovary. The patient remained recurrence-free for 15 months.

求助全文
通过发布文献求助,成功后即可免费获取论文全文。 去求助
来源期刊
Annals of vascular diseases
Annals of vascular diseases PERIPHERAL VASCULAR DISEASE-
自引率
0.00%
发文量
41
×
引用
GB/T 7714-2015
复制
MLA
复制
APA
复制
导出至
BibTeX EndNote RefMan NoteFirst NoteExpress
×
提示
您的信息不完整,为了账户安全,请先补充。
现在去补充
×
提示
您因"违规操作"
具体请查看互助需知
我知道了
×
提示
确定
请完成安全验证×
copy
已复制链接
快去分享给好友吧!
我知道了
右上角分享
点击右上角分享
0
联系我们:info@booksci.cn Book学术提供免费学术资源搜索服务,方便国内外学者检索中英文文献。致力于提供最便捷和优质的服务体验。 Copyright © 2023 布克学术 All rights reserved.
京ICP备2023020795号-1
ghs 京公网安备 11010802042870号
Book学术文献互助
Book学术文献互助群
群 号:604180095
Book学术官方微信