跳出框框思考:罕见的四尖瓣主动脉瓣作为心力衰竭和心房颤动的未被充分认识的原因的病例报告。

IF 0.9
Journal of medical cases Pub Date : 2025-08-07 eCollection Date: 2025-08-01 DOI:10.14740/jmc5153
Klevis Mihali, Birgit Markus, Bernhard Schieffer, Marcus Bauer, Julian Kreutz
{"title":"跳出框框思考:罕见的四尖瓣主动脉瓣作为心力衰竭和心房颤动的未被充分认识的原因的病例报告。","authors":"Klevis Mihali, Birgit Markus, Bernhard Schieffer, Marcus Bauer, Julian Kreutz","doi":"10.14740/jmc5153","DOIUrl":null,"url":null,"abstract":"<p><p>Quadricuspid aortic valve (QAV) is a rare congenital anomaly with an estimated incidence of 0.008% to 0.043% based on autopsy and echocardiographic studies. Although often asymptomatic, it can lead to progressive aortic regurgitation (AR), left ventricular (LV) dysfunction, and arrhythmias such as atrial fibrillation (AF). Due to its rarity, QAV is often misdiagnosed or discovered incidentally, highlighting the need for advanced cardiac imaging in young patients presenting with unexplained heart failure symptoms and arrhythmias. We present the case of a 41-year-old female patient who was admitted with new-onset dyspnea classified as New York Heart Association (NYHA) class III and palpitations due to persistent AF with a European Heart Rhythm Association (EHRA) symptom class 2b. There was no family history of congenital or structural heart disease, with arterial hypertension being the only identified predisposing condition. Initial transthoracic echocardiography revealed moderate AR, but more detailed transesophageal echocardiography performed before pulmonary vein isolation incidentally revealed a QAV. Further cardiac magnetic resonance imaging confirmed normal aortic root dimensions with early LV remodeling. The patient was managed conservatively with rate control, anticoagulation, and regular follow-up to monitor disease progression. This case highlights the importance of advanced imaging techniques in the diagnosis of rare structural heart abnormalities in young patients presenting with unexplained heart failure symptoms and arrhythmias. Early identification of QAV allows for timely medical intervention, optimal patient monitoring, and prevention of long-term complications. Regular follow-up is essential to monitor disease progression and determine the need for surgical intervention.</p>","PeriodicalId":101328,"journal":{"name":"Journal of medical cases","volume":"16 8","pages":"277-281"},"PeriodicalIF":0.9000,"publicationDate":"2025-08-07","publicationTypes":"Journal Article","fieldsOfStudy":null,"isOpenAccess":false,"openAccessPdf":"https://www.ncbi.nlm.nih.gov/pmc/articles/PMC12404117/pdf/","citationCount":"0","resultStr":"{\"title\":\"Thinking Outside the Box: Case Report of a Rare Quadricuspid Aortic Valve as an Underrecognized Cause of Heart Failure and Atrial Fibrillation.\",\"authors\":\"Klevis Mihali, Birgit Markus, Bernhard Schieffer, Marcus Bauer, Julian Kreutz\",\"doi\":\"10.14740/jmc5153\",\"DOIUrl\":null,\"url\":null,\"abstract\":\"<p><p>Quadricuspid aortic valve (QAV) is a rare congenital anomaly with an estimated incidence of 0.008% to 0.043% based on autopsy and echocardiographic studies. Although often asymptomatic, it can lead to progressive aortic regurgitation (AR), left ventricular (LV) dysfunction, and arrhythmias such as atrial fibrillation (AF). Due to its rarity, QAV is often misdiagnosed or discovered incidentally, highlighting the need for advanced cardiac imaging in young patients presenting with unexplained heart failure symptoms and arrhythmias. We present the case of a 41-year-old female patient who was admitted with new-onset dyspnea classified as New York Heart Association (NYHA) class III and palpitations due to persistent AF with a European Heart Rhythm Association (EHRA) symptom class 2b. There was no family history of congenital or structural heart disease, with arterial hypertension being the only identified predisposing condition. Initial transthoracic echocardiography revealed moderate AR, but more detailed transesophageal echocardiography performed before pulmonary vein isolation incidentally revealed a QAV. Further cardiac magnetic resonance imaging confirmed normal aortic root dimensions with early LV remodeling. The patient was managed conservatively with rate control, anticoagulation, and regular follow-up to monitor disease progression. This case highlights the importance of advanced imaging techniques in the diagnosis of rare structural heart abnormalities in young patients presenting with unexplained heart failure symptoms and arrhythmias. Early identification of QAV allows for timely medical intervention, optimal patient monitoring, and prevention of long-term complications. Regular follow-up is essential to monitor disease progression and determine the need for surgical intervention.</p>\",\"PeriodicalId\":101328,\"journal\":{\"name\":\"Journal of medical cases\",\"volume\":\"16 8\",\"pages\":\"277-281\"},\"PeriodicalIF\":0.9000,\"publicationDate\":\"2025-08-07\",\"publicationTypes\":\"Journal Article\",\"fieldsOfStudy\":null,\"isOpenAccess\":false,\"openAccessPdf\":\"https://www.ncbi.nlm.nih.gov/pmc/articles/PMC12404117/pdf/\",\"citationCount\":\"0\",\"resultStr\":null,\"platform\":\"Semanticscholar\",\"paperid\":null,\"PeriodicalName\":\"Journal of medical cases\",\"FirstCategoryId\":\"1085\",\"ListUrlMain\":\"https://doi.org/10.14740/jmc5153\",\"RegionNum\":0,\"RegionCategory\":null,\"ArticlePicture\":[],\"TitleCN\":null,\"AbstractTextCN\":null,\"PMCID\":null,\"EPubDate\":\"2025/8/1 0:00:00\",\"PubModel\":\"eCollection\",\"JCR\":\"\",\"JCRName\":\"\",\"Score\":null,\"Total\":0}","platform":"Semanticscholar","paperid":null,"PeriodicalName":"Journal of medical cases","FirstCategoryId":"1085","ListUrlMain":"https://doi.org/10.14740/jmc5153","RegionNum":0,"RegionCategory":null,"ArticlePicture":[],"TitleCN":null,"AbstractTextCN":null,"PMCID":null,"EPubDate":"2025/8/1 0:00:00","PubModel":"eCollection","JCR":"","JCRName":"","Score":null,"Total":0}
引用次数: 0

摘要

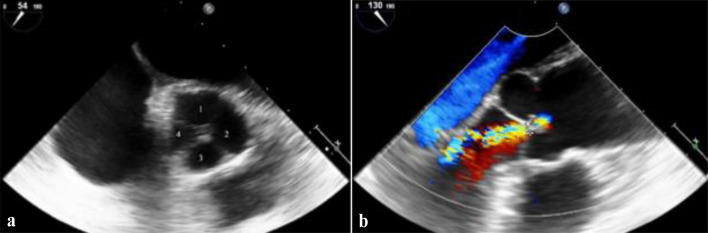
四尖瓣主动脉瓣(QAV)是一种罕见的先天性异常,根据尸检和超声心动图研究估计发病率为0.008%至0.043%。虽然通常无症状,但它可导致进行性主动脉反流(AR),左心室(LV)功能障碍和心律失常,如心房颤动(AF)。由于其罕见性,QAV经常被误诊或偶然发现,强调了对出现不明原因心力衰竭症状和心律失常的年轻患者进行先进心脏成像的必要性。我们报告一例41岁女性患者,因新发呼吸困难入院,纽约心脏协会(NYHA)分类为III级,欧洲心律协会(EHRA)症状分类为2b级的持续性房颤引起心悸。没有先天性或结构性心脏病的家族史,动脉高血压是唯一确定的易感条件。最初的经胸超声心动图显示中度AR,但在肺静脉隔离前进行的更详细的经食管超声心动图偶然发现QAV。进一步的心脏磁共振成像证实主动脉根部尺寸正常,早期左室重构。对患者进行保守治疗,控制心率,抗凝,并定期随访以监测疾病进展。本病例强调了先进的成像技术在诊断以不明原因心衰症状和心律失常为表现的罕见结构性心脏异常的年轻患者中的重要性。QAV的早期识别允许及时的医疗干预,最佳的患者监测和预防长期并发症。定期随访对于监测疾病进展和确定是否需要手术干预至关重要。
本文章由计算机程序翻译,如有差异,请以英文原文为准。

Thinking Outside the Box: Case Report of a Rare Quadricuspid Aortic Valve as an Underrecognized Cause of Heart Failure and Atrial Fibrillation.

Thinking Outside the Box: Case Report of a Rare Quadricuspid Aortic Valve as an Underrecognized Cause of Heart Failure and Atrial Fibrillation.

Thinking Outside the Box: Case Report of a Rare Quadricuspid Aortic Valve as an Underrecognized Cause of Heart Failure and Atrial Fibrillation.

Quadricuspid aortic valve (QAV) is a rare congenital anomaly with an estimated incidence of 0.008% to 0.043% based on autopsy and echocardiographic studies. Although often asymptomatic, it can lead to progressive aortic regurgitation (AR), left ventricular (LV) dysfunction, and arrhythmias such as atrial fibrillation (AF). Due to its rarity, QAV is often misdiagnosed or discovered incidentally, highlighting the need for advanced cardiac imaging in young patients presenting with unexplained heart failure symptoms and arrhythmias. We present the case of a 41-year-old female patient who was admitted with new-onset dyspnea classified as New York Heart Association (NYHA) class III and palpitations due to persistent AF with a European Heart Rhythm Association (EHRA) symptom class 2b. There was no family history of congenital or structural heart disease, with arterial hypertension being the only identified predisposing condition. Initial transthoracic echocardiography revealed moderate AR, but more detailed transesophageal echocardiography performed before pulmonary vein isolation incidentally revealed a QAV. Further cardiac magnetic resonance imaging confirmed normal aortic root dimensions with early LV remodeling. The patient was managed conservatively with rate control, anticoagulation, and regular follow-up to monitor disease progression. This case highlights the importance of advanced imaging techniques in the diagnosis of rare structural heart abnormalities in young patients presenting with unexplained heart failure symptoms and arrhythmias. Early identification of QAV allows for timely medical intervention, optimal patient monitoring, and prevention of long-term complications. Regular follow-up is essential to monitor disease progression and determine the need for surgical intervention.

求助全文
通过发布文献求助,成功后即可免费获取论文全文。 去求助
来源期刊
CiteScore
1.10
自引率
0.00%
发文量
0
×
引用
GB/T 7714-2015
复制
MLA
复制
APA
复制
导出至
BibTeX EndNote RefMan NoteFirst NoteExpress
×
提示
您的信息不完整,为了账户安全,请先补充。
现在去补充
×
提示
您因"违规操作"
具体请查看互助需知
我知道了
×
提示
确定
请完成安全验证×
copy
已复制链接
快去分享给好友吧!
我知道了
右上角分享
点击右上角分享
0
联系我们:info@booksci.cn Book学术提供免费学术资源搜索服务,方便国内外学者检索中英文文献。致力于提供最便捷和优质的服务体验。 Copyright © 2023 布克学术 All rights reserved.
京ICP备2023020795号-1
ghs 京公网安备 11010802042870号
Book学术文献互助
Book学术文献互助群
群 号:604180095
Book学术官方微信