同侧颈内动脉囊性动脉瘤分流支架置入术后面肌痉挛的成功治疗。

IF 0.9
Journal of medical cases Pub Date : 2025-08-22 eCollection Date: 2025-08-01 DOI:10.14740/jmc5165
Ferda Selcuk Muhtaroglu, Belin Kamiloglu, Musa Muhtaroglu
{"title":"同侧颈内动脉囊性动脉瘤分流支架置入术后面肌痉挛的成功治疗。","authors":"Ferda Selcuk Muhtaroglu, Belin Kamiloglu, Musa Muhtaroglu","doi":"10.14740/jmc5165","DOIUrl":null,"url":null,"abstract":"<p><p>Hemifacial spasm (HFS) is a neurological disorder characterized by involuntary, paroxysmal contractions of the muscles innervated by the facial nerve on one side of the face. While primary HFS is most often caused by vascular compression at the root exit zone (REZ) of the facial nerve, secondary causes such as tumors, arteriovenous malformations, and intracranial aneurysms are rare. The management of HFS due to aneurysmal compression remains challenging, and the literature on endovascular treatment, particularly with flow diverter stents, is limited. We report the case of a 56-year-old woman with a history of diabetes mellitus type 2, hypertension, and hypercholesterolemia, who presented with progressive right-sided HFS. Imaging revealed a saccular aneurysm of the right internal carotid artery (ICA) at the cavernous-ophthalmic segment. The patient underwent successful endovascular treatment with a Derivo embolization device (DED) flow diverter stent. Her HFS resolved completely post-procedure, with no neurological deficits or recurrence at 6-month follow-up. This case highlights the efficacy of flow diverter stent placement for HFS caused by ICA saccular aneurysm and represents the first such report from Northern Cyprus. The case underscores the importance of considering secondary etiologies in atypical HFS and demonstrates the therapeutic potential of endovascular flow diversion in this context.</p>","PeriodicalId":101328,"journal":{"name":"Journal of medical cases","volume":"16 8","pages":"323-329"},"PeriodicalIF":0.9000,"publicationDate":"2025-08-22","publicationTypes":"Journal Article","fieldsOfStudy":null,"isOpenAccess":false,"openAccessPdf":"https://www.ncbi.nlm.nih.gov/pmc/articles/PMC12404114/pdf/","citationCount":"0","resultStr":"{\"title\":\"A Successful Treatment of Hemifacial Spasm After Flow Diverter Stent Placement for Ipsilateral Internal Carotid Artery Saccular Aneurysm.\",\"authors\":\"Ferda Selcuk Muhtaroglu, Belin Kamiloglu, Musa Muhtaroglu\",\"doi\":\"10.14740/jmc5165\",\"DOIUrl\":null,\"url\":null,\"abstract\":\"<p><p>Hemifacial spasm (HFS) is a neurological disorder characterized by involuntary, paroxysmal contractions of the muscles innervated by the facial nerve on one side of the face. While primary HFS is most often caused by vascular compression at the root exit zone (REZ) of the facial nerve, secondary causes such as tumors, arteriovenous malformations, and intracranial aneurysms are rare. The management of HFS due to aneurysmal compression remains challenging, and the literature on endovascular treatment, particularly with flow diverter stents, is limited. We report the case of a 56-year-old woman with a history of diabetes mellitus type 2, hypertension, and hypercholesterolemia, who presented with progressive right-sided HFS. Imaging revealed a saccular aneurysm of the right internal carotid artery (ICA) at the cavernous-ophthalmic segment. The patient underwent successful endovascular treatment with a Derivo embolization device (DED) flow diverter stent. Her HFS resolved completely post-procedure, with no neurological deficits or recurrence at 6-month follow-up. This case highlights the efficacy of flow diverter stent placement for HFS caused by ICA saccular aneurysm and represents the first such report from Northern Cyprus. The case underscores the importance of considering secondary etiologies in atypical HFS and demonstrates the therapeutic potential of endovascular flow diversion in this context.</p>\",\"PeriodicalId\":101328,\"journal\":{\"name\":\"Journal of medical cases\",\"volume\":\"16 8\",\"pages\":\"323-329\"},\"PeriodicalIF\":0.9000,\"publicationDate\":\"2025-08-22\",\"publicationTypes\":\"Journal Article\",\"fieldsOfStudy\":null,\"isOpenAccess\":false,\"openAccessPdf\":\"https://www.ncbi.nlm.nih.gov/pmc/articles/PMC12404114/pdf/\",\"citationCount\":\"0\",\"resultStr\":null,\"platform\":\"Semanticscholar\",\"paperid\":null,\"PeriodicalName\":\"Journal of medical cases\",\"FirstCategoryId\":\"1085\",\"ListUrlMain\":\"https://doi.org/10.14740/jmc5165\",\"RegionNum\":0,\"RegionCategory\":null,\"ArticlePicture\":[],\"TitleCN\":null,\"AbstractTextCN\":null,\"PMCID\":null,\"EPubDate\":\"2025/8/1 0:00:00\",\"PubModel\":\"eCollection\",\"JCR\":\"\",\"JCRName\":\"\",\"Score\":null,\"Total\":0}","platform":"Semanticscholar","paperid":null,"PeriodicalName":"Journal of medical cases","FirstCategoryId":"1085","ListUrlMain":"https://doi.org/10.14740/jmc5165","RegionNum":0,"RegionCategory":null,"ArticlePicture":[],"TitleCN":null,"AbstractTextCN":null,"PMCID":null,"EPubDate":"2025/8/1 0:00:00","PubModel":"eCollection","JCR":"","JCRName":"","Score":null,"Total":0}
引用次数: 0

摘要

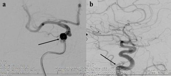
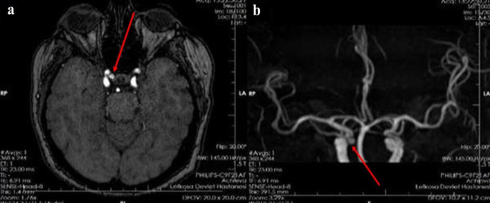
面肌痉挛(HFS)是一种神经系统疾病,其特征是面部一侧面神经支配的肌肉不自主、阵发性收缩。虽然原发性HFS最常由面神经根出口区(REZ)的血管压迫引起,但继发原因如肿瘤、动静脉畸形和颅内动脉瘤是罕见的。由于动脉瘤压迫导致的HFS的治疗仍然具有挑战性,并且关于血管内治疗的文献,特别是流分流支架的文献是有限的。我们报告一例56岁女性,有2型糖尿病、高血压和高胆固醇血症病史,表现为进行性右侧HFS。影像显示右侧颈内动脉(ICA)在海绵状眼段有囊状动脉瘤。患者成功接受了衍生栓塞装置(DED)血流分流支架的血管内治疗。她的HFS在手术后完全消失,在6个月的随访中没有神经功能缺损或复发。本病例强调了分流支架置入术治疗由ICA囊状动脉瘤引起的HFS的疗效,是北塞浦路斯第一例此类报道。该病例强调了考虑非典型HFS继发病因的重要性,并证明了在这种情况下血管内血流转移的治疗潜力。
本文章由计算机程序翻译,如有差异,请以英文原文为准。

A Successful Treatment of Hemifacial Spasm After Flow Diverter Stent Placement for Ipsilateral Internal Carotid Artery Saccular Aneurysm.

A Successful Treatment of Hemifacial Spasm After Flow Diverter Stent Placement for Ipsilateral Internal Carotid Artery Saccular Aneurysm.

A Successful Treatment of Hemifacial Spasm After Flow Diverter Stent Placement for Ipsilateral Internal Carotid Artery Saccular Aneurysm.

A Successful Treatment of Hemifacial Spasm After Flow Diverter Stent Placement for Ipsilateral Internal Carotid Artery Saccular Aneurysm.

Hemifacial spasm (HFS) is a neurological disorder characterized by involuntary, paroxysmal contractions of the muscles innervated by the facial nerve on one side of the face. While primary HFS is most often caused by vascular compression at the root exit zone (REZ) of the facial nerve, secondary causes such as tumors, arteriovenous malformations, and intracranial aneurysms are rare. The management of HFS due to aneurysmal compression remains challenging, and the literature on endovascular treatment, particularly with flow diverter stents, is limited. We report the case of a 56-year-old woman with a history of diabetes mellitus type 2, hypertension, and hypercholesterolemia, who presented with progressive right-sided HFS. Imaging revealed a saccular aneurysm of the right internal carotid artery (ICA) at the cavernous-ophthalmic segment. The patient underwent successful endovascular treatment with a Derivo embolization device (DED) flow diverter stent. Her HFS resolved completely post-procedure, with no neurological deficits or recurrence at 6-month follow-up. This case highlights the efficacy of flow diverter stent placement for HFS caused by ICA saccular aneurysm and represents the first such report from Northern Cyprus. The case underscores the importance of considering secondary etiologies in atypical HFS and demonstrates the therapeutic potential of endovascular flow diversion in this context.

求助全文
通过发布文献求助,成功后即可免费获取论文全文。 去求助
来源期刊
CiteScore
1.10
自引率
0.00%
发文量
0
×
引用
GB/T 7714-2015
复制
MLA
复制
APA
复制
导出至
BibTeX EndNote RefMan NoteFirst NoteExpress
×
提示
您的信息不完整,为了账户安全,请先补充。
现在去补充
×
提示
您因"违规操作"
具体请查看互助需知
我知道了
×
提示
确定
请完成安全验证×
copy
已复制链接
快去分享给好友吧!
我知道了
右上角分享
点击右上角分享
0
联系我们:info@booksci.cn Book学术提供免费学术资源搜索服务,方便国内外学者检索中英文文献。致力于提供最便捷和优质的服务体验。 Copyright © 2023 布克学术 All rights reserved.
京ICP备2023020795号-1
ghs 京公网安备 11010802042870号
Book学术文献互助
Book学术文献互助群
群 号:604180095
Book学术官方微信