无饮食限制的长时间血液透析可降低血管钙化风险。

IF 0.9
Journal of medical cases Pub Date : 2025-08-22 eCollection Date: 2025-08-01 DOI:10.14740/jmc5146
Hiroshi Kaneda, Toshiro Nishiyama, Kazunori Owada, Koichi Katayose, Yutaka Takagi, Katsuhiko Suzuki, Fumika Kaneda
{"title":"无饮食限制的长时间血液透析可降低血管钙化风险。","authors":"Hiroshi Kaneda, Toshiro Nishiyama, Kazunori Owada, Koichi Katayose, Yutaka Takagi, Katsuhiko Suzuki, Fumika Kaneda","doi":"10.14740/jmc5146","DOIUrl":null,"url":null,"abstract":"<p><p>Vascular calcification is common in dialysis patients and is severely associated with cardiovascular morbidity and mortality. They have mineral metabolism disorders, which are considered to promote vascular calcification. In addition, hypertension and malnutrition, both prevalent in dialysis patients, are also considered risk factors contributing to vascular calcification. Our clinic has implemented extended-hours hemodialysis without dietary restrictions to solve the problems of hypertension and malnutrition in dialysis patients. We report a case where aortic calcification was slight despite 34 years of long-term dialysis. He underwent his first computed tomography (CT) scan of the chest and abdomen 29 years after initiating hemodialysis to evaluate his kidney transplant. The abdominal aortic calcification index 29 years after initiating dialysis was low at 5.8%, and even after 5 years, it was only 6.7%. The coronary artery calcification score was moderate at 214.0, but the degree of vascular calcification appeared milder than in conventional dialysis patients. His dialysis modality is unique. He began extended-hours hemodialysis without dietary restrictions 1.5 years after his transfer to our clinic, extending his dialysis time to 6 h. He gradually increased it to 10 h, and the dietary restriction was significantly relaxed. Moreover, he has been undergoing this treatment for about 26 years. His muscle mass increased, and his nutritional status remained adequate. The mean serum phosphorus and calcium levels were within the normal range (5.4 ± 0.5 mg/dL and 8.8 ± 0.3 mg/dL), and the calcium-based phosphate binder was successfully reduced and eventually discontinued. Furthermore, the blood pressure normalized without the use of antihypertensive medications. These may have removed some of the risk factors for vascular calcification. Recent studies suggest that extended-hours hemodialysis without dietary restrictions significantly lowers calciprotein particle levels, a risk factor for vascular calcification, compared to conventional dialysis. In conclusion, extended-hours hemodialysis without dietary restrictions may reduce the risk of vascular calcification by improving control of malnutrition, hypertension, and mineral metabolism.</p>","PeriodicalId":101328,"journal":{"name":"Journal of medical cases","volume":"16 8","pages":"300-308"},"PeriodicalIF":0.9000,"publicationDate":"2025-08-22","publicationTypes":"Journal Article","fieldsOfStudy":null,"isOpenAccess":false,"openAccessPdf":"https://www.ncbi.nlm.nih.gov/pmc/articles/PMC12404123/pdf/","citationCount":"0","resultStr":"{\"title\":\"Extended-Hours Hemodialysis Without Dietary Restrictions Reduces Risk of Vascular Calcification.\",\"authors\":\"Hiroshi Kaneda, Toshiro Nishiyama, Kazunori Owada, Koichi Katayose, Yutaka Takagi, Katsuhiko Suzuki, Fumika Kaneda\",\"doi\":\"10.14740/jmc5146\",\"DOIUrl\":null,\"url\":null,\"abstract\":\"<p><p>Vascular calcification is common in dialysis patients and is severely associated with cardiovascular morbidity and mortality. They have mineral metabolism disorders, which are considered to promote vascular calcification. In addition, hypertension and malnutrition, both prevalent in dialysis patients, are also considered risk factors contributing to vascular calcification. Our clinic has implemented extended-hours hemodialysis without dietary restrictions to solve the problems of hypertension and malnutrition in dialysis patients. We report a case where aortic calcification was slight despite 34 years of long-term dialysis. He underwent his first computed tomography (CT) scan of the chest and abdomen 29 years after initiating hemodialysis to evaluate his kidney transplant. The abdominal aortic calcification index 29 years after initiating dialysis was low at 5.8%, and even after 5 years, it was only 6.7%. The coronary artery calcification score was moderate at 214.0, but the degree of vascular calcification appeared milder than in conventional dialysis patients. His dialysis modality is unique. He began extended-hours hemodialysis without dietary restrictions 1.5 years after his transfer to our clinic, extending his dialysis time to 6 h. He gradually increased it to 10 h, and the dietary restriction was significantly relaxed. Moreover, he has been undergoing this treatment for about 26 years. His muscle mass increased, and his nutritional status remained adequate. The mean serum phosphorus and calcium levels were within the normal range (5.4 ± 0.5 mg/dL and 8.8 ± 0.3 mg/dL), and the calcium-based phosphate binder was successfully reduced and eventually discontinued. Furthermore, the blood pressure normalized without the use of antihypertensive medications. These may have removed some of the risk factors for vascular calcification. Recent studies suggest that extended-hours hemodialysis without dietary restrictions significantly lowers calciprotein particle levels, a risk factor for vascular calcification, compared to conventional dialysis. In conclusion, extended-hours hemodialysis without dietary restrictions may reduce the risk of vascular calcification by improving control of malnutrition, hypertension, and mineral metabolism.</p>\",\"PeriodicalId\":101328,\"journal\":{\"name\":\"Journal of medical cases\",\"volume\":\"16 8\",\"pages\":\"300-308\"},\"PeriodicalIF\":0.9000,\"publicationDate\":\"2025-08-22\",\"publicationTypes\":\"Journal Article\",\"fieldsOfStudy\":null,\"isOpenAccess\":false,\"openAccessPdf\":\"https://www.ncbi.nlm.nih.gov/pmc/articles/PMC12404123/pdf/\",\"citationCount\":\"0\",\"resultStr\":null,\"platform\":\"Semanticscholar\",\"paperid\":null,\"PeriodicalName\":\"Journal of medical cases\",\"FirstCategoryId\":\"1085\",\"ListUrlMain\":\"https://doi.org/10.14740/jmc5146\",\"RegionNum\":0,\"RegionCategory\":null,\"ArticlePicture\":[],\"TitleCN\":null,\"AbstractTextCN\":null,\"PMCID\":null,\"EPubDate\":\"2025/8/1 0:00:00\",\"PubModel\":\"eCollection\",\"JCR\":\"\",\"JCRName\":\"\",\"Score\":null,\"Total\":0}","platform":"Semanticscholar","paperid":null,"PeriodicalName":"Journal of medical cases","FirstCategoryId":"1085","ListUrlMain":"https://doi.org/10.14740/jmc5146","RegionNum":0,"RegionCategory":null,"ArticlePicture":[],"TitleCN":null,"AbstractTextCN":null,"PMCID":null,"EPubDate":"2025/8/1 0:00:00","PubModel":"eCollection","JCR":"","JCRName":"","Score":null,"Total":0}
引用次数: 0

摘要

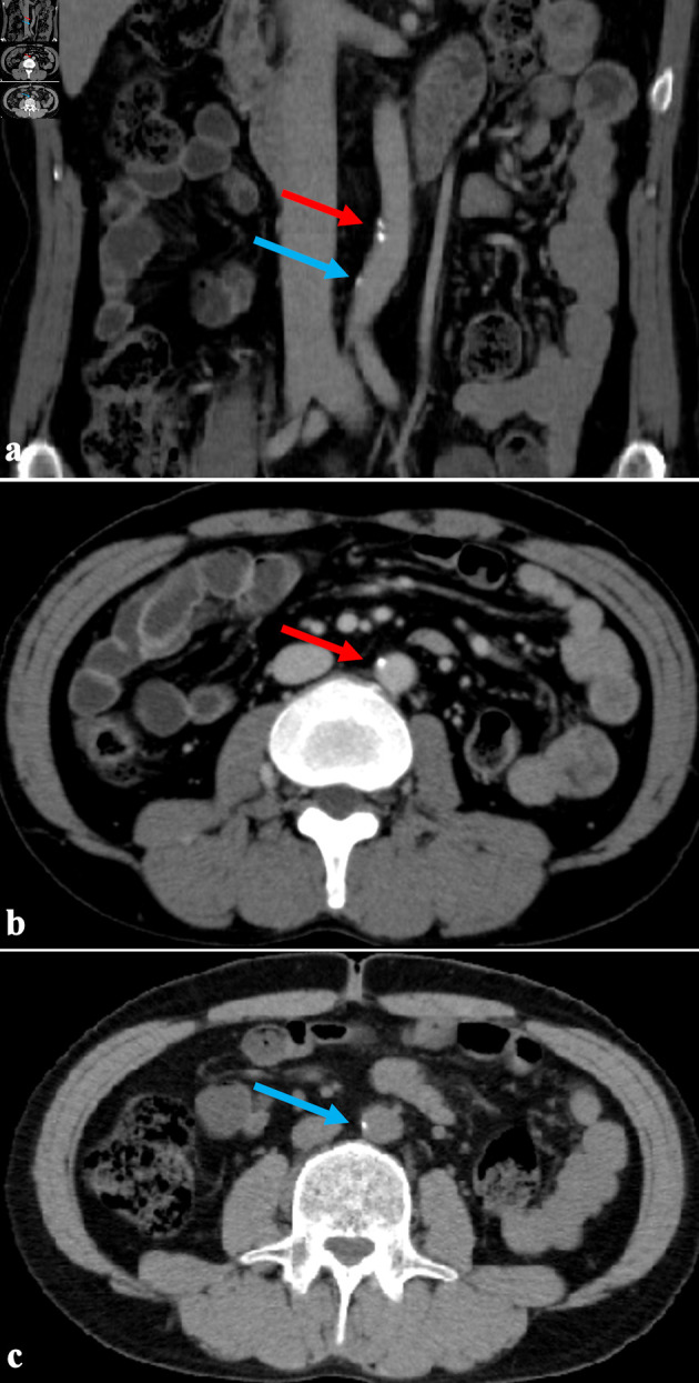
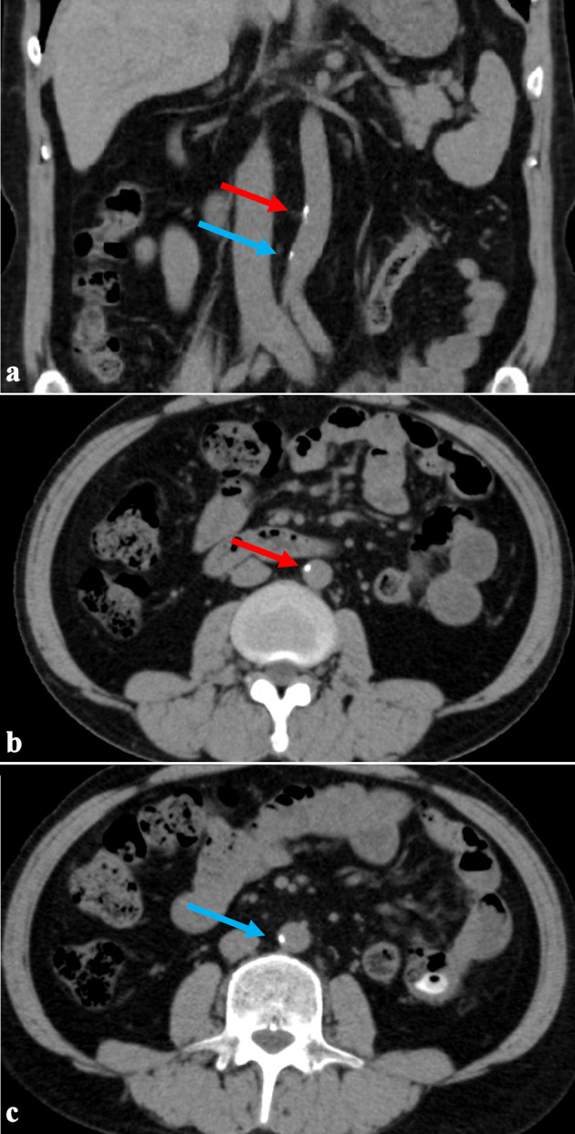
血管钙化在透析患者中很常见,并与心血管疾病发病率和死亡率严重相关。他们有矿物质代谢障碍,这被认为会促进血管钙化。此外,高血压和营养不良,在透析患者中普遍存在,也被认为是导致血管钙化的危险因素。我诊所实行无饮食限制的延长时间血液透析,解决透析患者的高血压和营养不良问题。我们报告一个病例,主动脉钙化轻微,尽管34年的长期透析。在开始血液透析29年后,他第一次接受了胸部和腹部的计算机断层扫描(CT),以评估他的肾移植。开始透析后29年腹主动脉钙化指数较低,为5.8%,甚至5年后也只有6.7%。冠状动脉钙化评分为214.0分,为中度,但血管钙化程度较常规透析患者轻。他的透析方式是独一无二的。转到我诊所后1.5年开始无饮食限制的延长时间血液透析,透析时间延长至6小时,逐渐增加至10小时,饮食限制明显放宽。此外,他已经接受了大约26年的这种治疗。他的肌肉量增加了,营养状况仍然良好。平均血清磷和钙水平在正常范围内(5.4±0.5 mg/dL和8.8±0.3 mg/dL),钙基磷酸盐结合剂成功减少并最终停止使用。此外,在不使用降压药的情况下,血压恢复正常。这些可能已经消除了一些血管钙化的危险因素。最近的研究表明,与传统透析相比,无饮食限制的长时间血液透析可显著降低钙蛋白颗粒水平,钙蛋白颗粒是血管钙化的危险因素。总之,无饮食限制的长时间血液透析可以通过改善对营养不良、高血压和矿物质代谢的控制来降低血管钙化的风险。
本文章由计算机程序翻译,如有差异,请以英文原文为准。

Extended-Hours Hemodialysis Without Dietary Restrictions Reduces Risk of Vascular Calcification.

Extended-Hours Hemodialysis Without Dietary Restrictions Reduces Risk of Vascular Calcification.

Extended-Hours Hemodialysis Without Dietary Restrictions Reduces Risk of Vascular Calcification.

Extended-Hours Hemodialysis Without Dietary Restrictions Reduces Risk of Vascular Calcification.

Vascular calcification is common in dialysis patients and is severely associated with cardiovascular morbidity and mortality. They have mineral metabolism disorders, which are considered to promote vascular calcification. In addition, hypertension and malnutrition, both prevalent in dialysis patients, are also considered risk factors contributing to vascular calcification. Our clinic has implemented extended-hours hemodialysis without dietary restrictions to solve the problems of hypertension and malnutrition in dialysis patients. We report a case where aortic calcification was slight despite 34 years of long-term dialysis. He underwent his first computed tomography (CT) scan of the chest and abdomen 29 years after initiating hemodialysis to evaluate his kidney transplant. The abdominal aortic calcification index 29 years after initiating dialysis was low at 5.8%, and even after 5 years, it was only 6.7%. The coronary artery calcification score was moderate at 214.0, but the degree of vascular calcification appeared milder than in conventional dialysis patients. His dialysis modality is unique. He began extended-hours hemodialysis without dietary restrictions 1.5 years after his transfer to our clinic, extending his dialysis time to 6 h. He gradually increased it to 10 h, and the dietary restriction was significantly relaxed. Moreover, he has been undergoing this treatment for about 26 years. His muscle mass increased, and his nutritional status remained adequate. The mean serum phosphorus and calcium levels were within the normal range (5.4 ± 0.5 mg/dL and 8.8 ± 0.3 mg/dL), and the calcium-based phosphate binder was successfully reduced and eventually discontinued. Furthermore, the blood pressure normalized without the use of antihypertensive medications. These may have removed some of the risk factors for vascular calcification. Recent studies suggest that extended-hours hemodialysis without dietary restrictions significantly lowers calciprotein particle levels, a risk factor for vascular calcification, compared to conventional dialysis. In conclusion, extended-hours hemodialysis without dietary restrictions may reduce the risk of vascular calcification by improving control of malnutrition, hypertension, and mineral metabolism.

求助全文
通过发布文献求助,成功后即可免费获取论文全文。 去求助
来源期刊
CiteScore
1.10
自引率
0.00%
发文量
0
×
引用
GB/T 7714-2015
复制
MLA
复制
APA
复制
导出至
BibTeX EndNote RefMan NoteFirst NoteExpress
×
提示
您的信息不完整,为了账户安全,请先补充。
现在去补充
×
提示
您因"违规操作"
具体请查看互助需知
我知道了
×
提示
确定
请完成安全验证×
copy
已复制链接
快去分享给好友吧!
我知道了
右上角分享
点击右上角分享
0
联系我们:info@booksci.cn Book学术提供免费学术资源搜索服务,方便国内外学者检索中英文文献。致力于提供最便捷和优质的服务体验。 Copyright © 2023 布克学术 All rights reserved.
京ICP备2023020795号-1
ghs 京公网安备 11010802042870号
Book学术文献互助
Book学术文献互助群
群 号:604180095
Book学术官方微信