泌尿外科中一种罕见的疾病:膀胱副神经节瘤。

IF 0.9
Journal of medical cases Pub Date : 2025-08-22 eCollection Date: 2025-08-01 DOI:10.14740/jmc5145
Ignacio Calleja Duran, Jose Emilio Hernandez Sanchez, Oana Beatrice Popescu
{"title":"泌尿外科中一种罕见的疾病:膀胱副神经节瘤。","authors":"Ignacio Calleja Duran, Jose Emilio Hernandez Sanchez, Oana Beatrice Popescu","doi":"10.14740/jmc5145","DOIUrl":null,"url":null,"abstract":"<p><p>Bladder paraganglioma accounts for < 0.05% of all bladder tumors, and very few cases have been reported to date. Because clinical and radiological findings are often nonspecific, many lesions are misdiagnosed until surgery, exposing patients to preventable perioperative catecholamine crises. We report an unusual case of a 77-year-old woman, in whom a 17-mm bladder paraganglioma was discovered incidentally during imaging for suspected Crohn's disease. The patient was entirely asymptomatic and had normal catecholamine levels. Transurethral resection of the bladder (TURB) achieved complete excision, and no recurrence was detected at 6-month follow-up. This case illustrates that bladder paraganglioma can occur outside the typical age range and without adrenergic symptoms, emphasizing the need to consider this entity in the differential diagnosis of any well-circumscribed, hypervascular bladder mass. Early recognition enables appropriate perioperative planning and long-term multidisciplinary surveillance. We discuss the tumor's characteristics, management, and the importance of long-term surveillance.</p>","PeriodicalId":101328,"journal":{"name":"Journal of medical cases","volume":"16 8","pages":"287-292"},"PeriodicalIF":0.9000,"publicationDate":"2025-08-22","publicationTypes":"Journal Article","fieldsOfStudy":null,"isOpenAccess":false,"openAccessPdf":"https://www.ncbi.nlm.nih.gov/pmc/articles/PMC12404112/pdf/","citationCount":"0","resultStr":"{\"title\":\"An Unusual Entity in Urology: Urinary Bladder Paraganglioma.\",\"authors\":\"Ignacio Calleja Duran, Jose Emilio Hernandez Sanchez, Oana Beatrice Popescu\",\"doi\":\"10.14740/jmc5145\",\"DOIUrl\":null,\"url\":null,\"abstract\":\"<p><p>Bladder paraganglioma accounts for < 0.05% of all bladder tumors, and very few cases have been reported to date. Because clinical and radiological findings are often nonspecific, many lesions are misdiagnosed until surgery, exposing patients to preventable perioperative catecholamine crises. We report an unusual case of a 77-year-old woman, in whom a 17-mm bladder paraganglioma was discovered incidentally during imaging for suspected Crohn's disease. The patient was entirely asymptomatic and had normal catecholamine levels. Transurethral resection of the bladder (TURB) achieved complete excision, and no recurrence was detected at 6-month follow-up. This case illustrates that bladder paraganglioma can occur outside the typical age range and without adrenergic symptoms, emphasizing the need to consider this entity in the differential diagnosis of any well-circumscribed, hypervascular bladder mass. Early recognition enables appropriate perioperative planning and long-term multidisciplinary surveillance. We discuss the tumor's characteristics, management, and the importance of long-term surveillance.</p>\",\"PeriodicalId\":101328,\"journal\":{\"name\":\"Journal of medical cases\",\"volume\":\"16 8\",\"pages\":\"287-292\"},\"PeriodicalIF\":0.9000,\"publicationDate\":\"2025-08-22\",\"publicationTypes\":\"Journal Article\",\"fieldsOfStudy\":null,\"isOpenAccess\":false,\"openAccessPdf\":\"https://www.ncbi.nlm.nih.gov/pmc/articles/PMC12404112/pdf/\",\"citationCount\":\"0\",\"resultStr\":null,\"platform\":\"Semanticscholar\",\"paperid\":null,\"PeriodicalName\":\"Journal of medical cases\",\"FirstCategoryId\":\"1085\",\"ListUrlMain\":\"https://doi.org/10.14740/jmc5145\",\"RegionNum\":0,\"RegionCategory\":null,\"ArticlePicture\":[],\"TitleCN\":null,\"AbstractTextCN\":null,\"PMCID\":null,\"EPubDate\":\"2025/8/1 0:00:00\",\"PubModel\":\"eCollection\",\"JCR\":\"\",\"JCRName\":\"\",\"Score\":null,\"Total\":0}","platform":"Semanticscholar","paperid":null,"PeriodicalName":"Journal of medical cases","FirstCategoryId":"1085","ListUrlMain":"https://doi.org/10.14740/jmc5145","RegionNum":0,"RegionCategory":null,"ArticlePicture":[],"TitleCN":null,"AbstractTextCN":null,"PMCID":null,"EPubDate":"2025/8/1 0:00:00","PubModel":"eCollection","JCR":"","JCRName":"","Score":null,"Total":0}
引用次数: 0

摘要

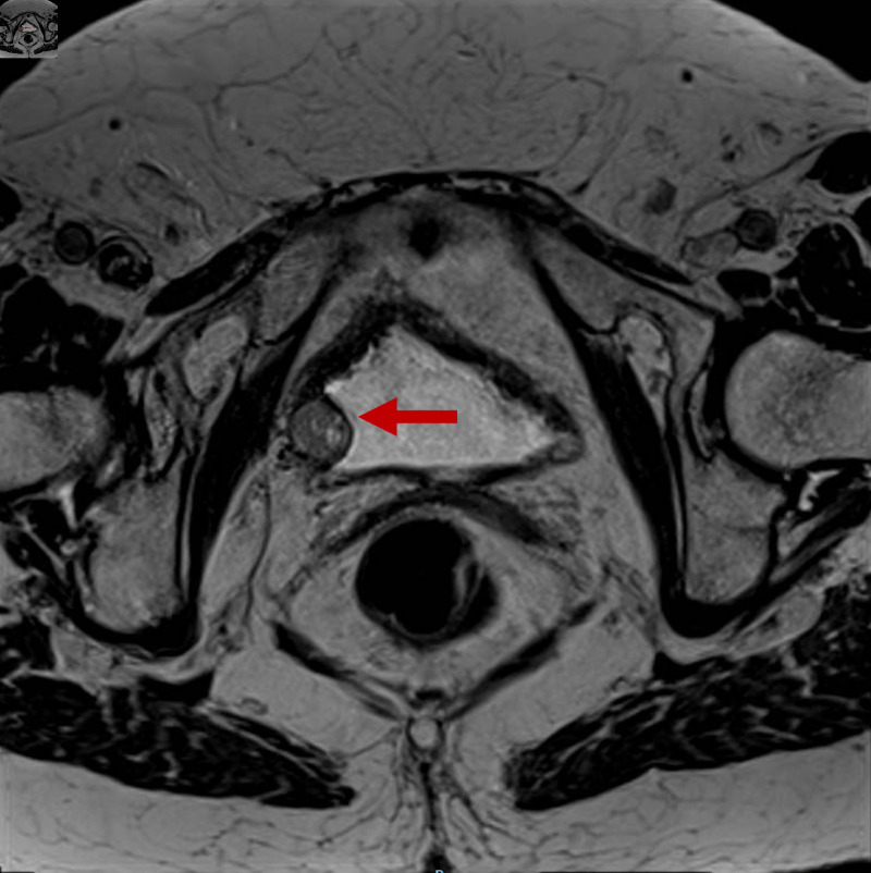
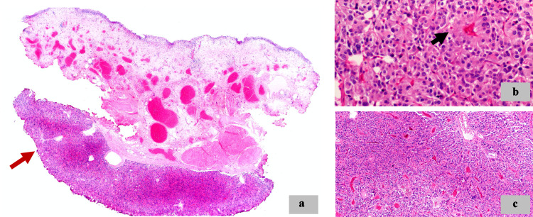
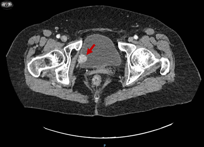
膀胱副神经节瘤占膀胱肿瘤的比例< 0.05%,目前报道的病例很少。由于临床和放射学的发现往往是非特异性的,许多病变被误诊直到手术,使患者暴露于可预防的围手术期儿茶酚胺危机。我们报告一个不寻常的情况下,77岁的妇女,其中17毫米膀胱副神经节瘤偶然发现影像学怀疑克罗恩病。患者完全无症状,儿茶酚胺水平正常。经尿道膀胱切除术(TURB)完全切除,6个月随访未发现复发。本病例说明膀胱副神经节瘤可发生在典型年龄范围之外,且无肾上腺素能症状,强调在鉴别诊断任何界限明确的高血管性膀胱肿块时需要考虑这一实体。早期识别有助于适当的围手术期计划和长期的多学科监测。我们讨论肿瘤的特点,管理和长期监测的重要性。
本文章由计算机程序翻译,如有差异,请以英文原文为准。

An Unusual Entity in Urology: Urinary Bladder Paraganglioma.

An Unusual Entity in Urology: Urinary Bladder Paraganglioma.

An Unusual Entity in Urology: Urinary Bladder Paraganglioma.

An Unusual Entity in Urology: Urinary Bladder Paraganglioma.

Bladder paraganglioma accounts for < 0.05% of all bladder tumors, and very few cases have been reported to date. Because clinical and radiological findings are often nonspecific, many lesions are misdiagnosed until surgery, exposing patients to preventable perioperative catecholamine crises. We report an unusual case of a 77-year-old woman, in whom a 17-mm bladder paraganglioma was discovered incidentally during imaging for suspected Crohn's disease. The patient was entirely asymptomatic and had normal catecholamine levels. Transurethral resection of the bladder (TURB) achieved complete excision, and no recurrence was detected at 6-month follow-up. This case illustrates that bladder paraganglioma can occur outside the typical age range and without adrenergic symptoms, emphasizing the need to consider this entity in the differential diagnosis of any well-circumscribed, hypervascular bladder mass. Early recognition enables appropriate perioperative planning and long-term multidisciplinary surveillance. We discuss the tumor's characteristics, management, and the importance of long-term surveillance.

求助全文
通过发布文献求助,成功后即可免费获取论文全文。 去求助
来源期刊
CiteScore
1.10
自引率
0.00%
发文量
0
×
引用
GB/T 7714-2015
复制
MLA
复制
APA
复制
导出至
BibTeX EndNote RefMan NoteFirst NoteExpress
×
提示
您的信息不完整,为了账户安全,请先补充。
现在去补充
×
提示
您因"违规操作"
具体请查看互助需知
我知道了
×
提示
确定
请完成安全验证×
copy
已复制链接
快去分享给好友吧!
我知道了
右上角分享
点击右上角分享
0
联系我们:info@booksci.cn Book学术提供免费学术资源搜索服务,方便国内外学者检索中英文文献。致力于提供最便捷和优质的服务体验。 Copyright © 2023 布克学术 All rights reserved.
京ICP备2023020795号-1
ghs 京公网安备 11010802042870号
Book学术文献互助
Book学术文献互助群
群 号:604180095
Book学术官方微信