维生素A毒性和肝脏病理:综合综述。

IF 2.5 Q2 GASTROENTEROLOGY & HEPATOLOGY
María L Pestalardo, Cecilia S Bevilacqua, Marcelo Fabián Amante
{"title":"维生素A毒性和肝脏病理:综合综述。","authors":"María L Pestalardo, Cecilia S Bevilacqua, Marcelo Fabián Amante","doi":"10.4254/wjh.v17.i8.107738","DOIUrl":null,"url":null,"abstract":"<p><p>Vitamin A is essential for vision, immunity, and cellular function, but excessive intake, known as hypervitaminosis A, leads to liver toxicity. Toxicity can be acute (from high single doses) or chronic (from prolonged overconsumption), causing symptoms like nausea, bone pain, and liver damage. The normal values of vitamin A in adults, measured as serum retinol, can range from 0.3 mg/L to 1.2 mg/L. The liver, which stores vitamin A in hepatic stellate cells, becomes overwhelmed, leading to retinoid accumulation, oxidative stress, and inflammation. Pathologically, vitamin A toxicity progresses from hepatic steatosis (fatty liver) to fibrosis and cirrhosis. Histological changes include hepatocellular ballooning, stellate cell activation, and perisinusoidal fibrosis. Molecular mechanisms involve oxidative stress from reactive oxygen species, apoptosis, and dysregulated pathways (tumor growth factor-beta, nuclear factor-kappa B), which drive fibrogenesis. Chronic toxicity also disrupts lipid metabolism, worsening liver injury. Clinically, management includes limiting vitamin A intake and exploring antioxidants (<i>e.g</i>., N-acetylcysteine) or anti-fibrotic therapies. Research gaps include the need for better biomarkers, personalized risk assessment, and refined dietary guidelines. Future studies should focus on therapeutic interventions and experimental models to improve outcomes. In conclusion, while vitamin A is vital, its toxicity poses serious hepatic risks. Understanding its mechanisms and developing targeted treatments are crucial for preventing liver damage and ensuring safe consumption.</p>","PeriodicalId":23687,"journal":{"name":"World Journal of Hepatology","volume":"17 8","pages":"107738"},"PeriodicalIF":2.5000,"publicationDate":"2025-08-27","publicationTypes":"Journal Article","fieldsOfStudy":null,"isOpenAccess":false,"openAccessPdf":"https://www.ncbi.nlm.nih.gov/pmc/articles/PMC12400428/pdf/","citationCount":"0","resultStr":"{\"title\":\"Vitamin A toxicity and hepatic pathology: A comprehensive review.\",\"authors\":\"María L Pestalardo, Cecilia S Bevilacqua, Marcelo Fabián Amante\",\"doi\":\"10.4254/wjh.v17.i8.107738\",\"DOIUrl\":null,\"url\":null,\"abstract\":\"<p><p>Vitamin A is essential for vision, immunity, and cellular function, but excessive intake, known as hypervitaminosis A, leads to liver toxicity. Toxicity can be acute (from high single doses) or chronic (from prolonged overconsumption), causing symptoms like nausea, bone pain, and liver damage. The normal values of vitamin A in adults, measured as serum retinol, can range from 0.3 mg/L to 1.2 mg/L. The liver, which stores vitamin A in hepatic stellate cells, becomes overwhelmed, leading to retinoid accumulation, oxidative stress, and inflammation. Pathologically, vitamin A toxicity progresses from hepatic steatosis (fatty liver) to fibrosis and cirrhosis. Histological changes include hepatocellular ballooning, stellate cell activation, and perisinusoidal fibrosis. Molecular mechanisms involve oxidative stress from reactive oxygen species, apoptosis, and dysregulated pathways (tumor growth factor-beta, nuclear factor-kappa B), which drive fibrogenesis. Chronic toxicity also disrupts lipid metabolism, worsening liver injury. Clinically, management includes limiting vitamin A intake and exploring antioxidants (<i>e.g</i>., N-acetylcysteine) or anti-fibrotic therapies. Research gaps include the need for better biomarkers, personalized risk assessment, and refined dietary guidelines. Future studies should focus on therapeutic interventions and experimental models to improve outcomes. In conclusion, while vitamin A is vital, its toxicity poses serious hepatic risks. Understanding its mechanisms and developing targeted treatments are crucial for preventing liver damage and ensuring safe consumption.</p>\",\"PeriodicalId\":23687,\"journal\":{\"name\":\"World Journal of Hepatology\",\"volume\":\"17 8\",\"pages\":\"107738\"},\"PeriodicalIF\":2.5000,\"publicationDate\":\"2025-08-27\",\"publicationTypes\":\"Journal Article\",\"fieldsOfStudy\":null,\"isOpenAccess\":false,\"openAccessPdf\":\"https://www.ncbi.nlm.nih.gov/pmc/articles/PMC12400428/pdf/\",\"citationCount\":\"0\",\"resultStr\":null,\"platform\":\"Semanticscholar\",\"paperid\":null,\"PeriodicalName\":\"World Journal of Hepatology\",\"FirstCategoryId\":\"1085\",\"ListUrlMain\":\"https://doi.org/10.4254/wjh.v17.i8.107738\",\"RegionNum\":0,\"RegionCategory\":null,\"ArticlePicture\":[],\"TitleCN\":null,\"AbstractTextCN\":null,\"PMCID\":null,\"EPubDate\":\"\",\"PubModel\":\"\",\"JCR\":\"Q2\",\"JCRName\":\"GASTROENTEROLOGY & HEPATOLOGY\",\"Score\":null,\"Total\":0}","platform":"Semanticscholar","paperid":null,"PeriodicalName":"World Journal of Hepatology","FirstCategoryId":"1085","ListUrlMain":"https://doi.org/10.4254/wjh.v17.i8.107738","RegionNum":0,"RegionCategory":null,"ArticlePicture":[],"TitleCN":null,"AbstractTextCN":null,"PMCID":null,"EPubDate":"","PubModel":"","JCR":"Q2","JCRName":"GASTROENTEROLOGY & HEPATOLOGY","Score":null,"Total":0}
引用次数: 0

摘要

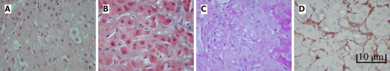
维生素A对视力、免疫力和细胞功能至关重要,但过量摄入,即维生素A过多症,会导致肝脏中毒。毒性可以是急性的(由于单次高剂量)或慢性的(由于长期过量食用),引起恶心、骨痛和肝损伤等症状。成年人体内维生素A的正常值,以血清视黄醇来衡量,范围在0.3毫克/升到1.2毫克/升之间。在肝星状细胞中储存维生素A的肝脏变得不堪重负,导致类维生素A积累、氧化应激和炎症。病理上,维生素A毒性从肝脂肪变性(脂肪肝)发展到纤维化和肝硬化。组织学改变包括肝细胞球囊化、星状细胞活化和肝窦周围纤维化。分子机制包括来自活性氧的氧化应激、细胞凋亡和失调通路(肿瘤生长因子- β、核因子- κ B),它们驱动纤维形成。慢性毒性还会破坏脂质代谢,加重肝损伤。临床上,治疗包括限制维生素A的摄入和探索抗氧化剂(如n -乙酰半胱氨酸)或抗纤维化治疗。研究缺口包括需要更好的生物标志物、个性化风险评估和完善的饮食指南。未来的研究应侧重于治疗干预和实验模型,以改善结果。总之,虽然维生素A是至关重要的,但它的毒性会造成严重的肝脏风险。了解其机制并开发有针对性的治疗方法对于预防肝损伤和确保安全食用至关重要。
本文章由计算机程序翻译,如有差异,请以英文原文为准。

Vitamin A toxicity and hepatic pathology: A comprehensive review.

Vitamin A toxicity and hepatic pathology: A comprehensive review.

Vitamin A is essential for vision, immunity, and cellular function, but excessive intake, known as hypervitaminosis A, leads to liver toxicity. Toxicity can be acute (from high single doses) or chronic (from prolonged overconsumption), causing symptoms like nausea, bone pain, and liver damage. The normal values of vitamin A in adults, measured as serum retinol, can range from 0.3 mg/L to 1.2 mg/L. The liver, which stores vitamin A in hepatic stellate cells, becomes overwhelmed, leading to retinoid accumulation, oxidative stress, and inflammation. Pathologically, vitamin A toxicity progresses from hepatic steatosis (fatty liver) to fibrosis and cirrhosis. Histological changes include hepatocellular ballooning, stellate cell activation, and perisinusoidal fibrosis. Molecular mechanisms involve oxidative stress from reactive oxygen species, apoptosis, and dysregulated pathways (tumor growth factor-beta, nuclear factor-kappa B), which drive fibrogenesis. Chronic toxicity also disrupts lipid metabolism, worsening liver injury. Clinically, management includes limiting vitamin A intake and exploring antioxidants (e.g., N-acetylcysteine) or anti-fibrotic therapies. Research gaps include the need for better biomarkers, personalized risk assessment, and refined dietary guidelines. Future studies should focus on therapeutic interventions and experimental models to improve outcomes. In conclusion, while vitamin A is vital, its toxicity poses serious hepatic risks. Understanding its mechanisms and developing targeted treatments are crucial for preventing liver damage and ensuring safe consumption.

求助全文
通过发布文献求助,成功后即可免费获取论文全文。 去求助
来源期刊
World Journal of Hepatology
World Journal of Hepatology GASTROENTEROLOGY & HEPATOLOGY-
CiteScore
4.10
自引率
4.20%
发文量
172
×
引用
GB/T 7714-2015
复制
MLA
复制
APA
复制
导出至
BibTeX EndNote RefMan NoteFirst NoteExpress
×
提示
您的信息不完整,为了账户安全,请先补充。
现在去补充
×
提示
您因"违规操作"
具体请查看互助需知
我知道了
×
提示
确定
请完成安全验证×
copy
已复制链接
快去分享给好友吧!
我知道了
右上角分享
点击右上角分享
0
联系我们:info@booksci.cn Book学术提供免费学术资源搜索服务,方便国内外学者检索中英文文献。致力于提供最便捷和优质的服务体验。 Copyright © 2023 布克学术 All rights reserved.
京ICP备2023020795号-1
ghs 京公网安备 11010802042870号
Book学术文献互助
Book学术文献互助群
群 号:604180095
Book学术官方微信