可卡因引起的中线破坏性病变——脑膜炎和脑积水的先兆。

Asian journal of neurosurgery Pub Date : 2025-04-21 eCollection Date: 2025-09-01 DOI:10.1055/s-0045-1808235
Siddharth Srinivasan, Anna Craig-McQuaide, Mustafa Elsheikh, Dhanwanth Chigurupati, Rishikesh Ravindran, Shivani Rajkumar, Saif Khan, Christopher Pollard, Calan Mathieson
{"title":"可卡因引起的中线破坏性病变——脑膜炎和脑积水的先兆。","authors":"Siddharth Srinivasan, Anna Craig-McQuaide, Mustafa Elsheikh, Dhanwanth Chigurupati, Rishikesh Ravindran, Shivani Rajkumar, Saif Khan, Christopher Pollard, Calan Mathieson","doi":"10.1055/s-0045-1808235","DOIUrl":null,"url":null,"abstract":"<p><p>Cocaine is among the most commonly used recreational drugs in Scotland, contributing to significant socioeconomic and severe health challenges. The prevalence of cocaine-induced midline destructive lesions (CIMDL) is rising due to increased cocaine insufflation. Here, we report a case of a patient who developed acute hydrocephalus and meningitis as complications of CIMDL due to long-term cocaine abuse. A 39-year-old woman with a history of chronic nasal cocaine abuse presented with fever, malaise, and gait imbalance. On arrival at accident and emergency department, she had altered sensorium, Glasgow coma scale (GCS) of 10, and left-sided hemiparesis, requiring emergency intubation. Imaging revealed acute hydrocephalus and brain edema. She underwent an emergency external ventricular drain (EVD) to temporize her raised intracranial pressure. Her constellation of problems and biochemical parameters directed toward a diagnosis of acute bacterial meningitis. Her blood cultures grew methicillin-sensitive <i>Staphylococcus aureus</i> , and she was started on broad-spectrum antibiotics. Her computed tomography scans showed air in the sphenoid sinus, clival erosion, and partial erosion of the anterior arch of C1, consistent with CIMDL. She developed posterior circulation ischemic strokes, which were attributed to her endocarditis and tricuspid valve vegetations that were detected on her transthoracic echocardiogram. Eventually, she underwent a ventriculoperitoneal shunt for permanent cerebrospinal fluid diversion. Neurologically, she was E4V5M6 with residual left hemiparesis at the time of discharge. She is on aggressive rehabilitation under the care of oral maxillofacial surgery, otorhinolaryngology, and a skull base team for her CIMDL. This case highlights the importance of multidisciplinary care and support in managing such cases, especially aiming to prevent the recurrence of infection leading to significant morbidity or even mortality.</p>","PeriodicalId":94300,"journal":{"name":"Asian journal of neurosurgery","volume":"20 3","pages":"627-630"},"PeriodicalIF":0.0000,"publicationDate":"2025-04-21","publicationTypes":"Journal Article","fieldsOfStudy":null,"isOpenAccess":false,"openAccessPdf":"https://www.ncbi.nlm.nih.gov/pmc/articles/PMC12370344/pdf/","citationCount":"0","resultStr":"{\"title\":\"Cocaine-Induced Midline Destructive Lesions-A Harbinger of Meningitis and Hydrocephalus.\",\"authors\":\"Siddharth Srinivasan, Anna Craig-McQuaide, Mustafa Elsheikh, Dhanwanth Chigurupati, Rishikesh Ravindran, Shivani Rajkumar, Saif Khan, Christopher Pollard, Calan Mathieson\",\"doi\":\"10.1055/s-0045-1808235\",\"DOIUrl\":null,\"url\":null,\"abstract\":\"<p><p>Cocaine is among the most commonly used recreational drugs in Scotland, contributing to significant socioeconomic and severe health challenges. The prevalence of cocaine-induced midline destructive lesions (CIMDL) is rising due to increased cocaine insufflation. Here, we report a case of a patient who developed acute hydrocephalus and meningitis as complications of CIMDL due to long-term cocaine abuse. A 39-year-old woman with a history of chronic nasal cocaine abuse presented with fever, malaise, and gait imbalance. On arrival at accident and emergency department, she had altered sensorium, Glasgow coma scale (GCS) of 10, and left-sided hemiparesis, requiring emergency intubation. Imaging revealed acute hydrocephalus and brain edema. She underwent an emergency external ventricular drain (EVD) to temporize her raised intracranial pressure. Her constellation of problems and biochemical parameters directed toward a diagnosis of acute bacterial meningitis. Her blood cultures grew methicillin-sensitive <i>Staphylococcus aureus</i> , and she was started on broad-spectrum antibiotics. Her computed tomography scans showed air in the sphenoid sinus, clival erosion, and partial erosion of the anterior arch of C1, consistent with CIMDL. She developed posterior circulation ischemic strokes, which were attributed to her endocarditis and tricuspid valve vegetations that were detected on her transthoracic echocardiogram. Eventually, she underwent a ventriculoperitoneal shunt for permanent cerebrospinal fluid diversion. Neurologically, she was E4V5M6 with residual left hemiparesis at the time of discharge. She is on aggressive rehabilitation under the care of oral maxillofacial surgery, otorhinolaryngology, and a skull base team for her CIMDL. This case highlights the importance of multidisciplinary care and support in managing such cases, especially aiming to prevent the recurrence of infection leading to significant morbidity or even mortality.</p>\",\"PeriodicalId\":94300,\"journal\":{\"name\":\"Asian journal of neurosurgery\",\"volume\":\"20 3\",\"pages\":\"627-630\"},\"PeriodicalIF\":0.0000,\"publicationDate\":\"2025-04-21\",\"publicationTypes\":\"Journal Article\",\"fieldsOfStudy\":null,\"isOpenAccess\":false,\"openAccessPdf\":\"https://www.ncbi.nlm.nih.gov/pmc/articles/PMC12370344/pdf/\",\"citationCount\":\"0\",\"resultStr\":null,\"platform\":\"Semanticscholar\",\"paperid\":null,\"PeriodicalName\":\"Asian journal of neurosurgery\",\"FirstCategoryId\":\"1085\",\"ListUrlMain\":\"https://doi.org/10.1055/s-0045-1808235\",\"RegionNum\":0,\"RegionCategory\":null,\"ArticlePicture\":[],\"TitleCN\":null,\"AbstractTextCN\":null,\"PMCID\":null,\"EPubDate\":\"2025/9/1 0:00:00\",\"PubModel\":\"eCollection\",\"JCR\":\"\",\"JCRName\":\"\",\"Score\":null,\"Total\":0}","platform":"Semanticscholar","paperid":null,"PeriodicalName":"Asian journal of neurosurgery","FirstCategoryId":"1085","ListUrlMain":"https://doi.org/10.1055/s-0045-1808235","RegionNum":0,"RegionCategory":null,"ArticlePicture":[],"TitleCN":null,"AbstractTextCN":null,"PMCID":null,"EPubDate":"2025/9/1 0:00:00","PubModel":"eCollection","JCR":"","JCRName":"","Score":null,"Total":0}
引用次数: 0

摘要

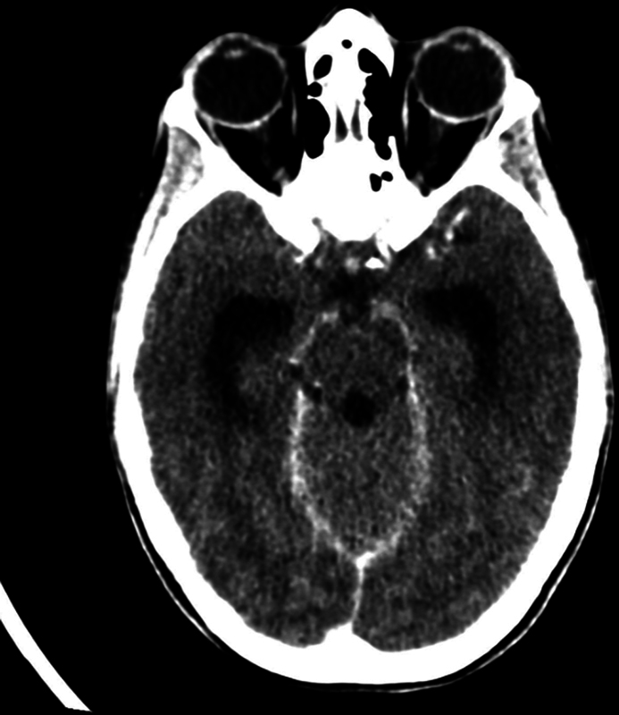
可卡因是苏格兰最常用的消遣性毒品之一,造成重大的社会经济和严重的健康挑战。可卡因引起的中线破坏性病变(CIMDL)的流行率正在上升,由于可卡因的增加。在这里,我们报告一例患者谁发展急性脑积水和脑膜炎作为CIMDL由于长期滥用可卡因的并发症。39岁女性,有慢性鼻用可卡因滥用史,表现为发热、不适和步态不平衡。到达急诊科时,她感觉改变,格拉斯哥昏迷评分(GCS)为10分,左侧偏瘫,需要紧急插管。影像显示急性脑积水及脑水肿。她接受了紧急脑室外引流术(EVD)以缓解颅内压升高。她的一系列问题和生化参数指向急性细菌性脑膜炎的诊断。她的血液培养培养出对甲氧西林敏感的金黄色葡萄球菌,她开始使用广谱抗生素。她的计算机断层扫描显示蝶窦内有空气,斜坡侵蚀,C1前弓部分侵蚀,符合CIMDL。她发展为后循环缺血性中风,这是由于她的心内膜炎和经胸超声心动图检测到的三尖瓣赘生物。最终,她接受了脑室腹腔分流术以永久转移脑脊液。神经学评分为E4V5M6,出院时伴有左侧偏瘫。她正在口腔颌面外科、耳鼻喉科和颅底小组的护理下积极康复。该病例强调了多学科护理和支持在管理此类病例中的重要性,特别是旨在防止感染复发导致显著发病率甚至死亡率。
本文章由计算机程序翻译,如有差异,请以英文原文为准。

Cocaine-Induced Midline Destructive Lesions-A Harbinger of Meningitis and Hydrocephalus.

Cocaine-Induced Midline Destructive Lesions-A Harbinger of Meningitis and Hydrocephalus.

Cocaine-Induced Midline Destructive Lesions-A Harbinger of Meningitis and Hydrocephalus.

Cocaine-Induced Midline Destructive Lesions-A Harbinger of Meningitis and Hydrocephalus.

Cocaine is among the most commonly used recreational drugs in Scotland, contributing to significant socioeconomic and severe health challenges. The prevalence of cocaine-induced midline destructive lesions (CIMDL) is rising due to increased cocaine insufflation. Here, we report a case of a patient who developed acute hydrocephalus and meningitis as complications of CIMDL due to long-term cocaine abuse. A 39-year-old woman with a history of chronic nasal cocaine abuse presented with fever, malaise, and gait imbalance. On arrival at accident and emergency department, she had altered sensorium, Glasgow coma scale (GCS) of 10, and left-sided hemiparesis, requiring emergency intubation. Imaging revealed acute hydrocephalus and brain edema. She underwent an emergency external ventricular drain (EVD) to temporize her raised intracranial pressure. Her constellation of problems and biochemical parameters directed toward a diagnosis of acute bacterial meningitis. Her blood cultures grew methicillin-sensitive Staphylococcus aureus , and she was started on broad-spectrum antibiotics. Her computed tomography scans showed air in the sphenoid sinus, clival erosion, and partial erosion of the anterior arch of C1, consistent with CIMDL. She developed posterior circulation ischemic strokes, which were attributed to her endocarditis and tricuspid valve vegetations that were detected on her transthoracic echocardiogram. Eventually, she underwent a ventriculoperitoneal shunt for permanent cerebrospinal fluid diversion. Neurologically, she was E4V5M6 with residual left hemiparesis at the time of discharge. She is on aggressive rehabilitation under the care of oral maxillofacial surgery, otorhinolaryngology, and a skull base team for her CIMDL. This case highlights the importance of multidisciplinary care and support in managing such cases, especially aiming to prevent the recurrence of infection leading to significant morbidity or even mortality.

求助全文
通过发布文献求助,成功后即可免费获取论文全文。 去求助
来源期刊
自引率
0.00%
发文量
0
×
引用
GB/T 7714-2015
复制
MLA
复制
APA
复制
导出至
BibTeX EndNote RefMan NoteFirst NoteExpress
×
提示
您的信息不完整,为了账户安全,请先补充。
现在去补充
×
提示
您因"违规操作"
具体请查看互助需知
我知道了
×
提示
确定
请完成安全验证×
copy
已复制链接
快去分享给好友吧!
我知道了
右上角分享
点击右上角分享
0
联系我们:info@booksci.cn Book学术提供免费学术资源搜索服务,方便国内外学者检索中英文文献。致力于提供最便捷和优质的服务体验。 Copyright © 2023 布克学术 All rights reserved.
京ICP备2023020795号-1
ghs 京公网安备 11010802042870号
Book学术文献互助
Book学术文献互助群
群 号:604180095
Book学术官方微信