切除囊性部分后,梅克尔洞神经轴复发性钙化假瘤并囊肿延伸至桥小脑池1例。

Asian journal of neurosurgery Pub Date : 2025-03-25 eCollection Date: 2025-09-01 DOI:10.1055/s-0045-1806859
Ryuta Yamada, Hiroki Kobayashi, Yuichi Nomura, Naoki Oka, Jouji Kokuzawa, Yasuhiko Kaku
{"title":"切除囊性部分后,梅克尔洞神经轴复发性钙化假瘤并囊肿延伸至桥小脑池1例。","authors":"Ryuta Yamada, Hiroki Kobayashi, Yuichi Nomura, Naoki Oka, Jouji Kokuzawa, Yasuhiko Kaku","doi":"10.1055/s-0045-1806859","DOIUrl":null,"url":null,"abstract":"<p><p>Calcifying pseudoneoplasms of the neuraxis (CAPNON) are rare non-neoplastic calcified lesions that can occur throughout the entire neuraxis. Cranial nerves may be involved in skull base lesions. Surgical resection usually has a good prognosis, with only a few cases of recurrence reported in the relevant literature. We experienced a recurrent case of CAPNON in Meckel's cave extending to the cerebellopontine cistern with involvement of the trigeminal nerve after initial resection of the cystic part of the lesion. A 48-year-old man presented with a 4-year history of right-sided ptosis. Magnetic resonance imaging revealed a calcified lesion arising in Meckel's cave, with a cystic lesion extending to the cerebellopontine cistern. The cystic part of the lesion was excised during the initial surgery using the right lateral suboccipital approach. However, the cystic lesion regrew to its preoperative size within 23 months. The right extradural subtemporal approach was used to successfully remove both the calcified mass in the right Meckel cave and the cystic lesion extending to the right cerebellopontine cistern during the resection of the lesion. The patient's neurological symptoms resolved postoperatively. CAPNON was identified during the histopathological examination. This report describes a rare case of CAPNON in Meckel's cave with a unique clinical course. After the first operation, cystic lesions recurred in the cerebellopontine cistern, but they were successfully treated by a second operation.</p>","PeriodicalId":94300,"journal":{"name":"Asian journal of neurosurgery","volume":"20 3","pages":"605-609"},"PeriodicalIF":0.0000,"publicationDate":"2025-03-25","publicationTypes":"Journal Article","fieldsOfStudy":null,"isOpenAccess":false,"openAccessPdf":"https://www.ncbi.nlm.nih.gov/pmc/articles/PMC12370357/pdf/","citationCount":"0","resultStr":"{\"title\":\"Recurrent Calcifying Pseudoneoplasm of the Neuraxis in Meckel's Cave with Cyst Extending into the Cerebellopontine Cistern after Resection of the Cystic Component: A Case Report.\",\"authors\":\"Ryuta Yamada, Hiroki Kobayashi, Yuichi Nomura, Naoki Oka, Jouji Kokuzawa, Yasuhiko Kaku\",\"doi\":\"10.1055/s-0045-1806859\",\"DOIUrl\":null,\"url\":null,\"abstract\":\"<p><p>Calcifying pseudoneoplasms of the neuraxis (CAPNON) are rare non-neoplastic calcified lesions that can occur throughout the entire neuraxis. Cranial nerves may be involved in skull base lesions. Surgical resection usually has a good prognosis, with only a few cases of recurrence reported in the relevant literature. We experienced a recurrent case of CAPNON in Meckel's cave extending to the cerebellopontine cistern with involvement of the trigeminal nerve after initial resection of the cystic part of the lesion. A 48-year-old man presented with a 4-year history of right-sided ptosis. Magnetic resonance imaging revealed a calcified lesion arising in Meckel's cave, with a cystic lesion extending to the cerebellopontine cistern. The cystic part of the lesion was excised during the initial surgery using the right lateral suboccipital approach. However, the cystic lesion regrew to its preoperative size within 23 months. The right extradural subtemporal approach was used to successfully remove both the calcified mass in the right Meckel cave and the cystic lesion extending to the right cerebellopontine cistern during the resection of the lesion. The patient's neurological symptoms resolved postoperatively. CAPNON was identified during the histopathological examination. This report describes a rare case of CAPNON in Meckel's cave with a unique clinical course. After the first operation, cystic lesions recurred in the cerebellopontine cistern, but they were successfully treated by a second operation.</p>\",\"PeriodicalId\":94300,\"journal\":{\"name\":\"Asian journal of neurosurgery\",\"volume\":\"20 3\",\"pages\":\"605-609\"},\"PeriodicalIF\":0.0000,\"publicationDate\":\"2025-03-25\",\"publicationTypes\":\"Journal Article\",\"fieldsOfStudy\":null,\"isOpenAccess\":false,\"openAccessPdf\":\"https://www.ncbi.nlm.nih.gov/pmc/articles/PMC12370357/pdf/\",\"citationCount\":\"0\",\"resultStr\":null,\"platform\":\"Semanticscholar\",\"paperid\":null,\"PeriodicalName\":\"Asian journal of neurosurgery\",\"FirstCategoryId\":\"1085\",\"ListUrlMain\":\"https://doi.org/10.1055/s-0045-1806859\",\"RegionNum\":0,\"RegionCategory\":null,\"ArticlePicture\":[],\"TitleCN\":null,\"AbstractTextCN\":null,\"PMCID\":null,\"EPubDate\":\"2025/9/1 0:00:00\",\"PubModel\":\"eCollection\",\"JCR\":\"\",\"JCRName\":\"\",\"Score\":null,\"Total\":0}","platform":"Semanticscholar","paperid":null,"PeriodicalName":"Asian journal of neurosurgery","FirstCategoryId":"1085","ListUrlMain":"https://doi.org/10.1055/s-0045-1806859","RegionNum":0,"RegionCategory":null,"ArticlePicture":[],"TitleCN":null,"AbstractTextCN":null,"PMCID":null,"EPubDate":"2025/9/1 0:00:00","PubModel":"eCollection","JCR":"","JCRName":"","Score":null,"Total":0}
引用次数: 0

摘要

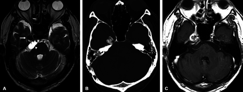
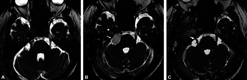
神经轴钙化假性肿瘤(CAPNON)是罕见的非肿瘤性钙化病变,可发生在整个神经轴。颅底病变可累及脑神经。手术切除通常预后良好,相关文献仅报道少数复发病例。我们经历了一例Meckel's cave的CAPNON复发病例,在最初切除病变的囊性部分后,CAPNON延伸到桥小脑池并累及三叉神经。48岁男性,右侧上睑下垂4年。磁共振成像显示在Meckel洞内出现钙化病变,伴囊性病变延伸至桥脑小脑池。病变的囊性部分在初始手术中使用右侧枕下外侧入路切除。然而,囊性病变在23个月内恢复到术前大小。在切除过程中,采用右侧硬膜外颞下入路成功切除右侧Meckel腔内钙化肿块和延伸至右侧桥小脑池的囊性病变。术后患者神经系统症状消失。组织病理学检查发现CAPNON。本报告描述一例罕见的Meckel洞穴CAPNON病例,具有独特的临床病程。第一次手术后,桥小脑池囊性病变复发,但第二次手术成功治疗。
本文章由计算机程序翻译,如有差异,请以英文原文为准。

Recurrent Calcifying Pseudoneoplasm of the Neuraxis in Meckel's Cave with Cyst Extending into the Cerebellopontine Cistern after Resection of the Cystic Component: A Case Report.

Recurrent Calcifying Pseudoneoplasm of the Neuraxis in Meckel's Cave with Cyst Extending into the Cerebellopontine Cistern after Resection of the Cystic Component: A Case Report.

Recurrent Calcifying Pseudoneoplasm of the Neuraxis in Meckel's Cave with Cyst Extending into the Cerebellopontine Cistern after Resection of the Cystic Component: A Case Report.

Recurrent Calcifying Pseudoneoplasm of the Neuraxis in Meckel's Cave with Cyst Extending into the Cerebellopontine Cistern after Resection of the Cystic Component: A Case Report.

Calcifying pseudoneoplasms of the neuraxis (CAPNON) are rare non-neoplastic calcified lesions that can occur throughout the entire neuraxis. Cranial nerves may be involved in skull base lesions. Surgical resection usually has a good prognosis, with only a few cases of recurrence reported in the relevant literature. We experienced a recurrent case of CAPNON in Meckel's cave extending to the cerebellopontine cistern with involvement of the trigeminal nerve after initial resection of the cystic part of the lesion. A 48-year-old man presented with a 4-year history of right-sided ptosis. Magnetic resonance imaging revealed a calcified lesion arising in Meckel's cave, with a cystic lesion extending to the cerebellopontine cistern. The cystic part of the lesion was excised during the initial surgery using the right lateral suboccipital approach. However, the cystic lesion regrew to its preoperative size within 23 months. The right extradural subtemporal approach was used to successfully remove both the calcified mass in the right Meckel cave and the cystic lesion extending to the right cerebellopontine cistern during the resection of the lesion. The patient's neurological symptoms resolved postoperatively. CAPNON was identified during the histopathological examination. This report describes a rare case of CAPNON in Meckel's cave with a unique clinical course. After the first operation, cystic lesions recurred in the cerebellopontine cistern, but they were successfully treated by a second operation.

求助全文
通过发布文献求助,成功后即可免费获取论文全文。 去求助
来源期刊
自引率
0.00%
发文量
0
×
引用
GB/T 7714-2015
复制
MLA
复制
APA
复制
导出至
BibTeX EndNote RefMan NoteFirst NoteExpress
×
提示
您的信息不完整,为了账户安全,请先补充。
现在去补充
×
提示
您因"违规操作"
具体请查看互助需知
我知道了
×
提示
确定
请完成安全验证×
copy
已复制链接
快去分享给好友吧!
我知道了
右上角分享
点击右上角分享
0
联系我们:info@booksci.cn Book学术提供免费学术资源搜索服务,方便国内外学者检索中英文文献。致力于提供最便捷和优质的服务体验。 Copyright © 2023 布克学术 All rights reserved.
京ICP备2023020795号-1
ghs 京公网安备 11010802042870号
Book学术文献互助
Book学术文献互助群
群 号:604180095
Book学术官方微信