尺动脉动静脉畸形血管瘤:一例报告,强调诊断和手术治疗的挑战。

Surgical neurology international Pub Date : 2025-07-11 eCollection Date: 2025-01-01 DOI:10.25259/SNI_437_2025
Carlo Mandelli, Cinzia Mura, Andrea Bisoglio, Francesca Sanvito, Pietro Mortini
{"title":"尺动脉动静脉畸形血管瘤:一例报告,强调诊断和手术治疗的挑战。","authors":"Carlo Mandelli, Cinzia Mura, Andrea Bisoglio, Francesca Sanvito, Pietro Mortini","doi":"10.25259/SNI_437_2025","DOIUrl":null,"url":null,"abstract":"<p><strong>Background: </strong>Arteriovenous malformation hemangioma (AVMH) is a rare, benign vascular lesion, often located in the head and neck and less frequently in the limbs. Early symptoms are typically nonspecific, making the clinical differential diagnosis with other benign lesions, such as schwannomas, particularly challenging.</p><p><strong>Case description: </strong>We report the case of a 25-year-old male presenting with a lesion in the forearm. Initially, the clinical and imaging features suggested a schwannoma, due to its location along a peripheral nerve and the absence of distinctive vascular signs. The lesion was surgically excised. Histopathological examination revealed features consistent with AVMH, confirming the diagnosis.</p><p><strong>Conclusion: </strong>This case underscores the importance of including AVMH in the differential diagnosis of soft tissue lesions, especially when located along the course of a peripheral nerve and mimicking other benign tumors such as schwannomas.</p>","PeriodicalId":94217,"journal":{"name":"Surgical neurology international","volume":"16 ","pages":"281"},"PeriodicalIF":0.0000,"publicationDate":"2025-07-11","publicationTypes":"Journal Article","fieldsOfStudy":null,"isOpenAccess":false,"openAccessPdf":"https://www.ncbi.nlm.nih.gov/pmc/articles/PMC12361706/pdf/","citationCount":"0","resultStr":"{\"title\":\"Arteriovenous malformation hemangioma of the ulnar artery: A case report highlighting challenges in diagnosis and surgical management.\",\"authors\":\"Carlo Mandelli, Cinzia Mura, Andrea Bisoglio, Francesca Sanvito, Pietro Mortini\",\"doi\":\"10.25259/SNI_437_2025\",\"DOIUrl\":null,\"url\":null,\"abstract\":\"<p><strong>Background: </strong>Arteriovenous malformation hemangioma (AVMH) is a rare, benign vascular lesion, often located in the head and neck and less frequently in the limbs. Early symptoms are typically nonspecific, making the clinical differential diagnosis with other benign lesions, such as schwannomas, particularly challenging.</p><p><strong>Case description: </strong>We report the case of a 25-year-old male presenting with a lesion in the forearm. Initially, the clinical and imaging features suggested a schwannoma, due to its location along a peripheral nerve and the absence of distinctive vascular signs. The lesion was surgically excised. Histopathological examination revealed features consistent with AVMH, confirming the diagnosis.</p><p><strong>Conclusion: </strong>This case underscores the importance of including AVMH in the differential diagnosis of soft tissue lesions, especially when located along the course of a peripheral nerve and mimicking other benign tumors such as schwannomas.</p>\",\"PeriodicalId\":94217,\"journal\":{\"name\":\"Surgical neurology international\",\"volume\":\"16 \",\"pages\":\"281\"},\"PeriodicalIF\":0.0000,\"publicationDate\":\"2025-07-11\",\"publicationTypes\":\"Journal Article\",\"fieldsOfStudy\":null,\"isOpenAccess\":false,\"openAccessPdf\":\"https://www.ncbi.nlm.nih.gov/pmc/articles/PMC12361706/pdf/\",\"citationCount\":\"0\",\"resultStr\":null,\"platform\":\"Semanticscholar\",\"paperid\":null,\"PeriodicalName\":\"Surgical neurology international\",\"FirstCategoryId\":\"1085\",\"ListUrlMain\":\"https://doi.org/10.25259/SNI_437_2025\",\"RegionNum\":0,\"RegionCategory\":null,\"ArticlePicture\":[],\"TitleCN\":null,\"AbstractTextCN\":null,\"PMCID\":null,\"EPubDate\":\"2025/1/1 0:00:00\",\"PubModel\":\"eCollection\",\"JCR\":\"\",\"JCRName\":\"\",\"Score\":null,\"Total\":0}","platform":"Semanticscholar","paperid":null,"PeriodicalName":"Surgical neurology international","FirstCategoryId":"1085","ListUrlMain":"https://doi.org/10.25259/SNI_437_2025","RegionNum":0,"RegionCategory":null,"ArticlePicture":[],"TitleCN":null,"AbstractTextCN":null,"PMCID":null,"EPubDate":"2025/1/1 0:00:00","PubModel":"eCollection","JCR":"","JCRName":"","Score":null,"Total":0}
引用次数: 0

摘要

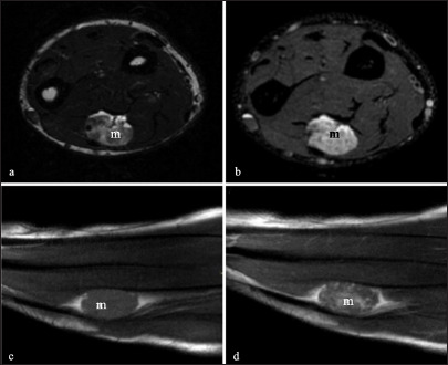
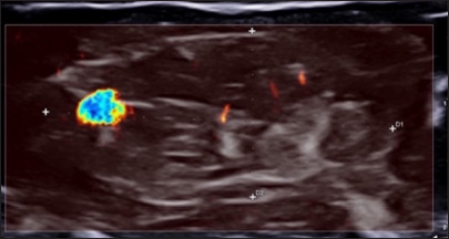
背景:动静脉畸形血管瘤(AVMH)是一种罕见的良性血管病变,常位于头部和颈部,很少发生在四肢。早期症状通常是非特异性的,这使得与其他良性病变(如神经鞘瘤)的临床鉴别诊断尤其具有挑战性。病例描述:我们报告一例25岁男性前臂病变。最初,临床和影像学特征提示神经鞘瘤,因为它位于周围神经,没有明显的血管征象。病变通过手术切除。组织病理学检查显示与AVMH相符的特征,证实了诊断。结论:该病例强调了包括AVMH在内的软组织病变鉴别诊断的重要性,特别是当位于周围神经的过程中,并模仿其他良性肿瘤,如神经鞘瘤。
本文章由计算机程序翻译,如有差异,请以英文原文为准。

Arteriovenous malformation hemangioma of the ulnar artery: A case report highlighting challenges in diagnosis and surgical management.

Arteriovenous malformation hemangioma of the ulnar artery: A case report highlighting challenges in diagnosis and surgical management.

Arteriovenous malformation hemangioma of the ulnar artery: A case report highlighting challenges in diagnosis and surgical management.

Arteriovenous malformation hemangioma of the ulnar artery: A case report highlighting challenges in diagnosis and surgical management.

Background: Arteriovenous malformation hemangioma (AVMH) is a rare, benign vascular lesion, often located in the head and neck and less frequently in the limbs. Early symptoms are typically nonspecific, making the clinical differential diagnosis with other benign lesions, such as schwannomas, particularly challenging.

Case description: We report the case of a 25-year-old male presenting with a lesion in the forearm. Initially, the clinical and imaging features suggested a schwannoma, due to its location along a peripheral nerve and the absence of distinctive vascular signs. The lesion was surgically excised. Histopathological examination revealed features consistent with AVMH, confirming the diagnosis.

Conclusion: This case underscores the importance of including AVMH in the differential diagnosis of soft tissue lesions, especially when located along the course of a peripheral nerve and mimicking other benign tumors such as schwannomas.

求助全文
通过发布文献求助,成功后即可免费获取论文全文。 去求助
来源期刊
自引率
0.00%
发文量
0
×
引用
GB/T 7714-2015
复制
MLA
复制
APA
复制
导出至
BibTeX EndNote RefMan NoteFirst NoteExpress
×
提示
您的信息不完整,为了账户安全,请先补充。
现在去补充
×
提示
您因"违规操作"
具体请查看互助需知
我知道了
×
提示
确定
请完成安全验证×
copy
已复制链接
快去分享给好友吧!
我知道了
右上角分享
点击右上角分享
0
联系我们:info@booksci.cn Book学术提供免费学术资源搜索服务,方便国内外学者检索中英文文献。致力于提供最便捷和优质的服务体验。 Copyright © 2023 布克学术 All rights reserved.
京ICP备2023020795号-1
ghs 京公网安备 11010802042870号
Book学术文献互助
Book学术文献互助群
群 号:604180095
Book学术官方微信