丹迪静脉减压治疗三叉神经痛:一种罕见的静脉冲突导致难治性面部疼痛。

Surgical neurology international Pub Date : 2025-07-18 eCollection Date: 2025-01-01 DOI:10.25259/SNI_372_2025
Md Moshiur Rahman, Robert Ahmed Khan, Muhtamim Chowdhury, Riad Habib, Md Mahbub Hasan, Md Ruhul Kuddus
{"title":"丹迪静脉减压治疗三叉神经痛:一种罕见的静脉冲突导致难治性面部疼痛。","authors":"Md Moshiur Rahman, Robert Ahmed Khan, Muhtamim Chowdhury, Riad Habib, Md Mahbub Hasan, Md Ruhul Kuddus","doi":"10.25259/SNI_372_2025","DOIUrl":null,"url":null,"abstract":"<p><strong>Background: </strong>Trigeminal neuralgia (TN) is predominantly caused by arterial compression of the trigeminal nerve; however, venous conflicts, particularly involving Dandy's vein and the superior petrosal sinus (SPS), represent an uncommon but significant etiology.</p><p><strong>Case description: </strong>We report a case of a 40-year-old female suffering from debilitating right-sided facial pain due to a rare \"scissor effect\" produced by the superior petrosal sinus and Dandy's vein (vein of the cerebellomesencephalic fissure) compressing the trigeminal nerve. Surgical decompression was performed by interposing autologous skeletal muscle wrapped with Surgicel between the conflicting venous structures and the nerve. The patient achieved complete pain relief without neurological deficits.</p><p><strong>Conclusion: </strong>This case underscores the importance of recognizing venous causes of TN and highlights the effectiveness of Dandy's vein decompression.</p>","PeriodicalId":94217,"journal":{"name":"Surgical neurology international","volume":"16 ","pages":"289"},"PeriodicalIF":0.0000,"publicationDate":"2025-07-18","publicationTypes":"Journal Article","fieldsOfStudy":null,"isOpenAccess":false,"openAccessPdf":"https://www.ncbi.nlm.nih.gov/pmc/articles/PMC12361714/pdf/","citationCount":"0","resultStr":"{\"title\":\"Dandy's vein decompression for trigeminal neuralgia: A rare venous conflict causing intractable facial pain.\",\"authors\":\"Md Moshiur Rahman, Robert Ahmed Khan, Muhtamim Chowdhury, Riad Habib, Md Mahbub Hasan, Md Ruhul Kuddus\",\"doi\":\"10.25259/SNI_372_2025\",\"DOIUrl\":null,\"url\":null,\"abstract\":\"<p><strong>Background: </strong>Trigeminal neuralgia (TN) is predominantly caused by arterial compression of the trigeminal nerve; however, venous conflicts, particularly involving Dandy's vein and the superior petrosal sinus (SPS), represent an uncommon but significant etiology.</p><p><strong>Case description: </strong>We report a case of a 40-year-old female suffering from debilitating right-sided facial pain due to a rare \\\"scissor effect\\\" produced by the superior petrosal sinus and Dandy's vein (vein of the cerebellomesencephalic fissure) compressing the trigeminal nerve. Surgical decompression was performed by interposing autologous skeletal muscle wrapped with Surgicel between the conflicting venous structures and the nerve. The patient achieved complete pain relief without neurological deficits.</p><p><strong>Conclusion: </strong>This case underscores the importance of recognizing venous causes of TN and highlights the effectiveness of Dandy's vein decompression.</p>\",\"PeriodicalId\":94217,\"journal\":{\"name\":\"Surgical neurology international\",\"volume\":\"16 \",\"pages\":\"289\"},\"PeriodicalIF\":0.0000,\"publicationDate\":\"2025-07-18\",\"publicationTypes\":\"Journal Article\",\"fieldsOfStudy\":null,\"isOpenAccess\":false,\"openAccessPdf\":\"https://www.ncbi.nlm.nih.gov/pmc/articles/PMC12361714/pdf/\",\"citationCount\":\"0\",\"resultStr\":null,\"platform\":\"Semanticscholar\",\"paperid\":null,\"PeriodicalName\":\"Surgical neurology international\",\"FirstCategoryId\":\"1085\",\"ListUrlMain\":\"https://doi.org/10.25259/SNI_372_2025\",\"RegionNum\":0,\"RegionCategory\":null,\"ArticlePicture\":[],\"TitleCN\":null,\"AbstractTextCN\":null,\"PMCID\":null,\"EPubDate\":\"2025/1/1 0:00:00\",\"PubModel\":\"eCollection\",\"JCR\":\"\",\"JCRName\":\"\",\"Score\":null,\"Total\":0}","platform":"Semanticscholar","paperid":null,"PeriodicalName":"Surgical neurology international","FirstCategoryId":"1085","ListUrlMain":"https://doi.org/10.25259/SNI_372_2025","RegionNum":0,"RegionCategory":null,"ArticlePicture":[],"TitleCN":null,"AbstractTextCN":null,"PMCID":null,"EPubDate":"2025/1/1 0:00:00","PubModel":"eCollection","JCR":"","JCRName":"","Score":null,"Total":0}
引用次数: 0

摘要

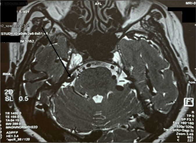
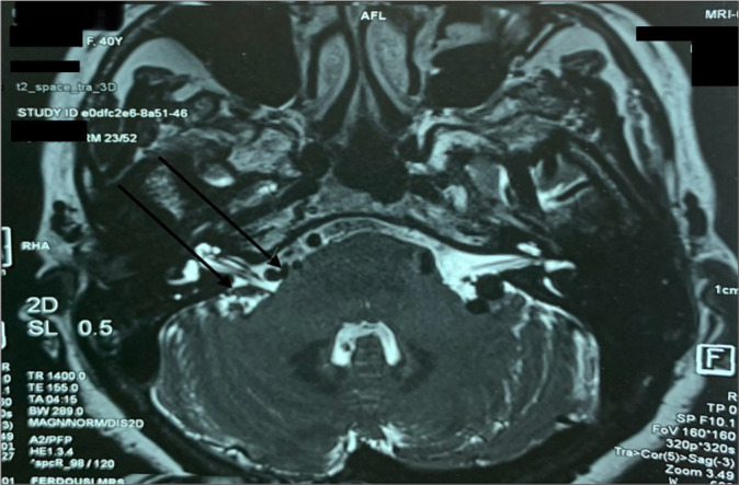
背景:三叉神经痛(TN)主要由动脉压迫三叉神经引起;然而,静脉冲突,特别是涉及丹迪静脉和岩上窦(SPS),是一种罕见但重要的病因。病例描述:我们报告一位40岁的女性,由于岩上窦和丹迪静脉(小脑内脑裂静脉)压迫三叉神经而产生罕见的“剪刀效应”,导致右侧面部疼痛。手术减压是通过将自体骨骼肌包裹在冲突的静脉结构和神经之间进行的。患者疼痛完全缓解,无神经功能缺损。结论:本病例强调了认识静脉原因的重要性,并强调了Dandy静脉减压术的有效性。
本文章由计算机程序翻译,如有差异,请以英文原文为准。

Dandy's vein decompression for trigeminal neuralgia: A rare venous conflict causing intractable facial pain.

Dandy's vein decompression for trigeminal neuralgia: A rare venous conflict causing intractable facial pain.

Dandy's vein decompression for trigeminal neuralgia: A rare venous conflict causing intractable facial pain.

Dandy's vein decompression for trigeminal neuralgia: A rare venous conflict causing intractable facial pain.

Background: Trigeminal neuralgia (TN) is predominantly caused by arterial compression of the trigeminal nerve; however, venous conflicts, particularly involving Dandy's vein and the superior petrosal sinus (SPS), represent an uncommon but significant etiology.

Case description: We report a case of a 40-year-old female suffering from debilitating right-sided facial pain due to a rare "scissor effect" produced by the superior petrosal sinus and Dandy's vein (vein of the cerebellomesencephalic fissure) compressing the trigeminal nerve. Surgical decompression was performed by interposing autologous skeletal muscle wrapped with Surgicel between the conflicting venous structures and the nerve. The patient achieved complete pain relief without neurological deficits.

Conclusion: This case underscores the importance of recognizing venous causes of TN and highlights the effectiveness of Dandy's vein decompression.

求助全文
通过发布文献求助,成功后即可免费获取论文全文。 去求助
来源期刊
自引率
0.00%
发文量
0
×
引用
GB/T 7714-2015
复制
MLA
复制
APA
复制
导出至
BibTeX EndNote RefMan NoteFirst NoteExpress
×
提示
您的信息不完整,为了账户安全,请先补充。
现在去补充
×
提示
您因"违规操作"
具体请查看互助需知
我知道了
×
提示
确定
请完成安全验证×
copy
已复制链接
快去分享给好友吧!
我知道了
右上角分享
点击右上角分享
0
联系我们:info@booksci.cn Book学术提供免费学术资源搜索服务,方便国内外学者检索中英文文献。致力于提供最便捷和优质的服务体验。 Copyright © 2023 布克学术 All rights reserved.
京ICP备2023020795号-1
ghs 京公网安备 11010802042870号
Book学术文献互助
Book学术文献互助群
群 号:604180095
Book学术官方微信