儿童创伤性脑损伤的临床特点:两期临床病程和晚期弥散减弱。

Surgical neurology international Pub Date : 2025-07-11 eCollection Date: 2025-01-01 DOI:10.25259/SNI_194_2025
Akiko Kawano, Yoshio Sakurai, Kuniya Ishii, Hiroya Yokohari, Michiaki Nagura, Yuta Uchida, Wataru Sakamoto, Shingo Kobayashi, Makoto Murase, Soichi Oya, Kohei Osada
{"title":"儿童创伤性脑损伤的临床特点:两期临床病程和晚期弥散减弱。","authors":"Akiko Kawano, Yoshio Sakurai, Kuniya Ishii, Hiroya Yokohari, Michiaki Nagura, Yuta Uchida, Wataru Sakamoto, Shingo Kobayashi, Makoto Murase, Soichi Oya, Kohei Osada","doi":"10.25259/SNI_194_2025","DOIUrl":null,"url":null,"abstract":"<p><strong>Background: </strong>Infantile traumatic brain injury with a biphasic clinical course and late reduced diffusion (TBIRD) is a condition resembling acute encephalopathy with biphasic seizures and late reduced diffusion, marked by a bright tree appearance and potential sequelae. Although seizures are common in pediatric traumatic brain injury (TBI), distinguishing TBIRD from other seizure etiologies is crucial. This study compared the clinical characteristics of patients with traumatic brain injury (TBI), including those with and without seizures, identified TBIRD cases, and examined their distinguishing features.</p><p><strong>Methods: </strong>Data from pediatric patients with traumatic brain injury (TBI) admitted to our pediatric intensive care unit between March 2016 and July 2023 were analyzed. Patients were divided into two groups: seizure and non-seizure. Clinical features were compared, and TBIRD cases were identified within the seizure group for analysis.</p><p><strong>Results: </strong>Among the 104 patients, 28 experienced seizures, while 76 did not. The seizure group was significantly younger and had a higher prevalence of subdural hematomas (SDHs), which were strongly associated with seizures (dds ratio OR = 6.73, 95%: 1.99-22.8, <i>P</i> = 0.00216). Of the 28 seizure patients, five were diagnosed with TBIRD, all of whom presented with SDH and status epilepticus. TBIRD was absent in the patients without SDH. Status epilepticus was significantly more common in TBIRD cases than in non-TBIRD cases.</p><p><strong>Conclusion: </strong>This study suggests that seizures, a hallmark of TBIRD, are strongly associated with subdural hematoma (SDH). All TBIRD cases involved SDH and status epilepticus, whereas none of the TBIRD cases occurred without SDH. TBI patients with SDH and status epilepticus require careful management because of the risk of developing TBIRD.</p>","PeriodicalId":94217,"journal":{"name":"Surgical neurology international","volume":"16 ","pages":"287"},"PeriodicalIF":0.0000,"publicationDate":"2025-07-11","publicationTypes":"Journal Article","fieldsOfStudy":null,"isOpenAccess":false,"openAccessPdf":"https://www.ncbi.nlm.nih.gov/pmc/articles/PMC12361708/pdf/","citationCount":"0","resultStr":"{\"title\":\"Clinical characteristics of infantile traumatic brain injury with a biphasic clinical course and late reduced diffusion among pediatric patients with traumatic brain injury.\",\"authors\":\"Akiko Kawano, Yoshio Sakurai, Kuniya Ishii, Hiroya Yokohari, Michiaki Nagura, Yuta Uchida, Wataru Sakamoto, Shingo Kobayashi, Makoto Murase, Soichi Oya, Kohei Osada\",\"doi\":\"10.25259/SNI_194_2025\",\"DOIUrl\":null,\"url\":null,\"abstract\":\"<p><strong>Background: </strong>Infantile traumatic brain injury with a biphasic clinical course and late reduced diffusion (TBIRD) is a condition resembling acute encephalopathy with biphasic seizures and late reduced diffusion, marked by a bright tree appearance and potential sequelae. Although seizures are common in pediatric traumatic brain injury (TBI), distinguishing TBIRD from other seizure etiologies is crucial. This study compared the clinical characteristics of patients with traumatic brain injury (TBI), including those with and without seizures, identified TBIRD cases, and examined their distinguishing features.</p><p><strong>Methods: </strong>Data from pediatric patients with traumatic brain injury (TBI) admitted to our pediatric intensive care unit between March 2016 and July 2023 were analyzed. Patients were divided into two groups: seizure and non-seizure. Clinical features were compared, and TBIRD cases were identified within the seizure group for analysis.</p><p><strong>Results: </strong>Among the 104 patients, 28 experienced seizures, while 76 did not. The seizure group was significantly younger and had a higher prevalence of subdural hematomas (SDHs), which were strongly associated with seizures (dds ratio OR = 6.73, 95%: 1.99-22.8, <i>P</i> = 0.00216). Of the 28 seizure patients, five were diagnosed with TBIRD, all of whom presented with SDH and status epilepticus. TBIRD was absent in the patients without SDH. Status epilepticus was significantly more common in TBIRD cases than in non-TBIRD cases.</p><p><strong>Conclusion: </strong>This study suggests that seizures, a hallmark of TBIRD, are strongly associated with subdural hematoma (SDH). All TBIRD cases involved SDH and status epilepticus, whereas none of the TBIRD cases occurred without SDH. TBI patients with SDH and status epilepticus require careful management because of the risk of developing TBIRD.</p>\",\"PeriodicalId\":94217,\"journal\":{\"name\":\"Surgical neurology international\",\"volume\":\"16 \",\"pages\":\"287\"},\"PeriodicalIF\":0.0000,\"publicationDate\":\"2025-07-11\",\"publicationTypes\":\"Journal Article\",\"fieldsOfStudy\":null,\"isOpenAccess\":false,\"openAccessPdf\":\"https://www.ncbi.nlm.nih.gov/pmc/articles/PMC12361708/pdf/\",\"citationCount\":\"0\",\"resultStr\":null,\"platform\":\"Semanticscholar\",\"paperid\":null,\"PeriodicalName\":\"Surgical neurology international\",\"FirstCategoryId\":\"1085\",\"ListUrlMain\":\"https://doi.org/10.25259/SNI_194_2025\",\"RegionNum\":0,\"RegionCategory\":null,\"ArticlePicture\":[],\"TitleCN\":null,\"AbstractTextCN\":null,\"PMCID\":null,\"EPubDate\":\"2025/1/1 0:00:00\",\"PubModel\":\"eCollection\",\"JCR\":\"\",\"JCRName\":\"\",\"Score\":null,\"Total\":0}","platform":"Semanticscholar","paperid":null,"PeriodicalName":"Surgical neurology international","FirstCategoryId":"1085","ListUrlMain":"https://doi.org/10.25259/SNI_194_2025","RegionNum":0,"RegionCategory":null,"ArticlePicture":[],"TitleCN":null,"AbstractTextCN":null,"PMCID":null,"EPubDate":"2025/1/1 0:00:00","PubModel":"eCollection","JCR":"","JCRName":"","Score":null,"Total":0}
引用次数: 0

摘要

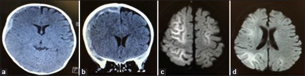
背景:具有两期临床病程和晚期弥散减弱(TBIRD)的婴儿创伤性脑损伤是一种类似于急性脑病的两期癫痫发作和晚期弥散减弱,其特征是明亮的树状外观和潜在的后遗症。虽然癫痫在儿童创伤性脑损伤(TBI)中很常见,但将TBIRD与其他癫痫病因区分开来是至关重要的。本研究比较了创伤性脑损伤(TBI)患者的临床特征,包括有和没有癫痫发作的患者,确定了TBIRD病例,并检查了他们的特征。方法:对2016年3月至2023年7月儿科重症监护病房收治的创伤性脑损伤(TBI)患儿数据进行分析。患者分为癫痫和非癫痫两组。比较临床特征,并在癫痫组中确定TBIRD病例进行分析。结果:104例患者中28例发生癫痫发作,76例未发生癫痫发作。癫痫发作组明显年轻化,硬膜下血肿(SDHs)患病率较高,且与癫痫发作密切相关(dds比OR = 6.73, 95%: 1.99 ~ 22.8, P = 0.00216)。在28例癫痫患者中,5例被诊断为TBIRD,所有患者均表现为SDH和癫痫持续状态。非SDH患者无TBIRD。癫痫持续状态在TBIRD病例中比在非TBIRD病例中更为常见。结论:本研究提示癫痫发作是TBIRD的一个标志,与硬膜下血肿(SDH)密切相关。所有TBIRD病例均涉及SDH和癫痫持续状态,而未发生SDH的TBIRD病例均未发生。伴有SDH和癫痫持续状态的TBI患者需要谨慎管理,因为有发展为TBIRD的风险。
本文章由计算机程序翻译,如有差异,请以英文原文为准。

Clinical characteristics of infantile traumatic brain injury with a biphasic clinical course and late reduced diffusion among pediatric patients with traumatic brain injury.

Clinical characteristics of infantile traumatic brain injury with a biphasic clinical course and late reduced diffusion among pediatric patients with traumatic brain injury.

Clinical characteristics of infantile traumatic brain injury with a biphasic clinical course and late reduced diffusion among pediatric patients with traumatic brain injury.

Clinical characteristics of infantile traumatic brain injury with a biphasic clinical course and late reduced diffusion among pediatric patients with traumatic brain injury.

Background: Infantile traumatic brain injury with a biphasic clinical course and late reduced diffusion (TBIRD) is a condition resembling acute encephalopathy with biphasic seizures and late reduced diffusion, marked by a bright tree appearance and potential sequelae. Although seizures are common in pediatric traumatic brain injury (TBI), distinguishing TBIRD from other seizure etiologies is crucial. This study compared the clinical characteristics of patients with traumatic brain injury (TBI), including those with and without seizures, identified TBIRD cases, and examined their distinguishing features.

Methods: Data from pediatric patients with traumatic brain injury (TBI) admitted to our pediatric intensive care unit between March 2016 and July 2023 were analyzed. Patients were divided into two groups: seizure and non-seizure. Clinical features were compared, and TBIRD cases were identified within the seizure group for analysis.

Results: Among the 104 patients, 28 experienced seizures, while 76 did not. The seizure group was significantly younger and had a higher prevalence of subdural hematomas (SDHs), which were strongly associated with seizures (dds ratio OR = 6.73, 95%: 1.99-22.8, P = 0.00216). Of the 28 seizure patients, five were diagnosed with TBIRD, all of whom presented with SDH and status epilepticus. TBIRD was absent in the patients without SDH. Status epilepticus was significantly more common in TBIRD cases than in non-TBIRD cases.

Conclusion: This study suggests that seizures, a hallmark of TBIRD, are strongly associated with subdural hematoma (SDH). All TBIRD cases involved SDH and status epilepticus, whereas none of the TBIRD cases occurred without SDH. TBI patients with SDH and status epilepticus require careful management because of the risk of developing TBIRD.

求助全文
通过发布文献求助,成功后即可免费获取论文全文。 去求助
来源期刊
自引率
0.00%
发文量
0
×
引用
GB/T 7714-2015
复制
MLA
复制
APA
复制
导出至
BibTeX EndNote RefMan NoteFirst NoteExpress
×
提示
您的信息不完整,为了账户安全,请先补充。
现在去补充
×
提示
您因"违规操作"
具体请查看互助需知
我知道了
×
提示
确定
请完成安全验证×
copy
已复制链接
快去分享给好友吧!
我知道了
右上角分享
点击右上角分享
0
联系我们:info@booksci.cn Book学术提供免费学术资源搜索服务,方便国内外学者检索中英文文献。致力于提供最便捷和优质的服务体验。 Copyright © 2023 布克学术 All rights reserved.
京ICP备2023020795号-1
ghs 京公网安备 11010802042870号
Book学术文献互助
Book学术文献互助群
群 号:604180095
Book学术官方微信