1例复发性严重头痛患者继发于Chiari 1型畸形的蛛网膜下腔出血:1例报告、影像学和解剖学考虑。

Surgical neurology international Pub Date : 2025-07-18 eCollection Date: 2025-01-01 DOI:10.25259/SNI_374_2025
Alireza Habibi, Michael Anthony Rizzuto, Michael K Tso
{"title":"1例复发性严重头痛患者继发于Chiari 1型畸形的蛛网膜下腔出血:1例报告、影像学和解剖学考虑。","authors":"Alireza Habibi, Michael Anthony Rizzuto, Michael K Tso","doi":"10.25259/SNI_374_2025","DOIUrl":null,"url":null,"abstract":"<p><strong>Background: </strong>Chiari 1 malformation (CM1) is a structural anomaly characterized by cerebellar tonsillar herniation through the foramen magnum. While typically associated with syringomyelia or hydrocephalus, its potential relationship with subarachnoid hemorrhage (SAH) remains poorly reported in the literature.</p><p><strong>Case description: </strong>We present the case of a 77-year-old woman who experienced recurrent episodes of thunderclap headache, which eventually progressed to altered consciousness following admission. Neuroimaging revealed a SAH involving the fourth ventricle and basal cisterns, alongside cerebellar tonsillar herniation and obstructive hydrocephalus, with no arterial source identified on serial angiography. Magnetic resonance imaging confirmed CM1, with tonsillar descent to the C1 level. The patient underwent suboccipital decompression for refractory intracranial hypertension that prevented weaning from the external ventricular drain. Intraoperative exploration revealed an abnormal posterior spinal vein traversing the arachnoid membrane, which was suspected to be the source of the hemorrhage and was successfully coagulated.</p><p><strong>Conclusion: </strong>To the best of our knowledge, this is the first documented case of CM1 presenting with recurrent SAH in the absence of aneurysmal or arteriovenous pathology. Our findings suggest a possible venous etiology related to anomalous posterior spinal venous drainage, which may have contributed to the hemorrhage and obstructive hydrocephalus. The patient's clinical improvement following Chiari decompression supports the role of surgical intervention in relieving cerebrospinal fluid outflow obstruction and elevated intracranial pressure in such cases. This case highlights the importance of considering venous anomalies in the differential diagnosis of non-aneurysmal SAH and underscores the need for heightened awareness of vascular variations in CM1 patients presenting with acute neurological symptoms.</p>","PeriodicalId":94217,"journal":{"name":"Surgical neurology international","volume":"16 ","pages":"292"},"PeriodicalIF":0.0000,"publicationDate":"2025-07-18","publicationTypes":"Journal Article","fieldsOfStudy":null,"isOpenAccess":false,"openAccessPdf":"https://www.ncbi.nlm.nih.gov/pmc/articles/PMC12361651/pdf/","citationCount":"0","resultStr":"{\"title\":\"Subarachnoid hemorrhage secondary to Chiari 1 malformation in a patient presenting with recurrent severe headache: A case report, imaging, and anatomic considerations.\",\"authors\":\"Alireza Habibi, Michael Anthony Rizzuto, Michael K Tso\",\"doi\":\"10.25259/SNI_374_2025\",\"DOIUrl\":null,\"url\":null,\"abstract\":\"<p><strong>Background: </strong>Chiari 1 malformation (CM1) is a structural anomaly characterized by cerebellar tonsillar herniation through the foramen magnum. While typically associated with syringomyelia or hydrocephalus, its potential relationship with subarachnoid hemorrhage (SAH) remains poorly reported in the literature.</p><p><strong>Case description: </strong>We present the case of a 77-year-old woman who experienced recurrent episodes of thunderclap headache, which eventually progressed to altered consciousness following admission. Neuroimaging revealed a SAH involving the fourth ventricle and basal cisterns, alongside cerebellar tonsillar herniation and obstructive hydrocephalus, with no arterial source identified on serial angiography. Magnetic resonance imaging confirmed CM1, with tonsillar descent to the C1 level. The patient underwent suboccipital decompression for refractory intracranial hypertension that prevented weaning from the external ventricular drain. Intraoperative exploration revealed an abnormal posterior spinal vein traversing the arachnoid membrane, which was suspected to be the source of the hemorrhage and was successfully coagulated.</p><p><strong>Conclusion: </strong>To the best of our knowledge, this is the first documented case of CM1 presenting with recurrent SAH in the absence of aneurysmal or arteriovenous pathology. Our findings suggest a possible venous etiology related to anomalous posterior spinal venous drainage, which may have contributed to the hemorrhage and obstructive hydrocephalus. The patient's clinical improvement following Chiari decompression supports the role of surgical intervention in relieving cerebrospinal fluid outflow obstruction and elevated intracranial pressure in such cases. This case highlights the importance of considering venous anomalies in the differential diagnosis of non-aneurysmal SAH and underscores the need for heightened awareness of vascular variations in CM1 patients presenting with acute neurological symptoms.</p>\",\"PeriodicalId\":94217,\"journal\":{\"name\":\"Surgical neurology international\",\"volume\":\"16 \",\"pages\":\"292\"},\"PeriodicalIF\":0.0000,\"publicationDate\":\"2025-07-18\",\"publicationTypes\":\"Journal Article\",\"fieldsOfStudy\":null,\"isOpenAccess\":false,\"openAccessPdf\":\"https://www.ncbi.nlm.nih.gov/pmc/articles/PMC12361651/pdf/\",\"citationCount\":\"0\",\"resultStr\":null,\"platform\":\"Semanticscholar\",\"paperid\":null,\"PeriodicalName\":\"Surgical neurology international\",\"FirstCategoryId\":\"1085\",\"ListUrlMain\":\"https://doi.org/10.25259/SNI_374_2025\",\"RegionNum\":0,\"RegionCategory\":null,\"ArticlePicture\":[],\"TitleCN\":null,\"AbstractTextCN\":null,\"PMCID\":null,\"EPubDate\":\"2025/1/1 0:00:00\",\"PubModel\":\"eCollection\",\"JCR\":\"\",\"JCRName\":\"\",\"Score\":null,\"Total\":0}","platform":"Semanticscholar","paperid":null,"PeriodicalName":"Surgical neurology international","FirstCategoryId":"1085","ListUrlMain":"https://doi.org/10.25259/SNI_374_2025","RegionNum":0,"RegionCategory":null,"ArticlePicture":[],"TitleCN":null,"AbstractTextCN":null,"PMCID":null,"EPubDate":"2025/1/1 0:00:00","PubModel":"eCollection","JCR":"","JCRName":"","Score":null,"Total":0}
引用次数: 0

摘要

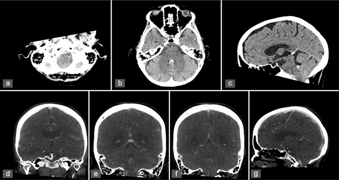
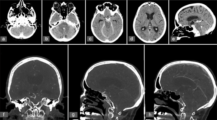
背景:Chiari 1型畸形(CM1)是一种结构异常,其特征为通过枕骨大孔的小脑扁桃体突出。虽然通常与脊髓空洞或脑积水有关,但其与蛛网膜下腔出血(SAH)的潜在关系在文献中报道较少。病例描述:我们报告了一位77岁的女性,她经历了反复发作的雷击性头痛,最终在入院后进展为意识改变。神经影像学显示SAH累及第四脑室和基底池,伴小脑扁桃体疝和阻塞性脑积水,系列血管造影未发现动脉来源。磁共振成像证实CM1,扁桃体下降至C1水平。患者接受枕下减压治疗顽固性颅内高压,阻止从外脑室引流中脱机。术中探查发现异常脊髓后静脉穿过蛛网膜,怀疑为出血源,成功止血。结论:据我们所知,这是首例记录在案的CM1在没有动脉瘤或动静脉病理的情况下表现为复发性SAH。我们的研究结果提示可能的静脉病因与脊髓后静脉引流异常有关,这可能导致出血和梗阻性脑积水。术后患者的临床改善支持手术干预在缓解此类病例脑脊液流出梗阻和颅内压升高中的作用。本病例强调了在鉴别诊断非动脉瘤性SAH时考虑静脉异常的重要性,并强调了在出现急性神经系统症状的CM1患者中需要提高对血管变异的认识。
本文章由计算机程序翻译,如有差异,请以英文原文为准。

Subarachnoid hemorrhage secondary to Chiari 1 malformation in a patient presenting with recurrent severe headache: A case report, imaging, and anatomic considerations.

Subarachnoid hemorrhage secondary to Chiari 1 malformation in a patient presenting with recurrent severe headache: A case report, imaging, and anatomic considerations.

Subarachnoid hemorrhage secondary to Chiari 1 malformation in a patient presenting with recurrent severe headache: A case report, imaging, and anatomic considerations.

Subarachnoid hemorrhage secondary to Chiari 1 malformation in a patient presenting with recurrent severe headache: A case report, imaging, and anatomic considerations.

Background: Chiari 1 malformation (CM1) is a structural anomaly characterized by cerebellar tonsillar herniation through the foramen magnum. While typically associated with syringomyelia or hydrocephalus, its potential relationship with subarachnoid hemorrhage (SAH) remains poorly reported in the literature.

Case description: We present the case of a 77-year-old woman who experienced recurrent episodes of thunderclap headache, which eventually progressed to altered consciousness following admission. Neuroimaging revealed a SAH involving the fourth ventricle and basal cisterns, alongside cerebellar tonsillar herniation and obstructive hydrocephalus, with no arterial source identified on serial angiography. Magnetic resonance imaging confirmed CM1, with tonsillar descent to the C1 level. The patient underwent suboccipital decompression for refractory intracranial hypertension that prevented weaning from the external ventricular drain. Intraoperative exploration revealed an abnormal posterior spinal vein traversing the arachnoid membrane, which was suspected to be the source of the hemorrhage and was successfully coagulated.

Conclusion: To the best of our knowledge, this is the first documented case of CM1 presenting with recurrent SAH in the absence of aneurysmal or arteriovenous pathology. Our findings suggest a possible venous etiology related to anomalous posterior spinal venous drainage, which may have contributed to the hemorrhage and obstructive hydrocephalus. The patient's clinical improvement following Chiari decompression supports the role of surgical intervention in relieving cerebrospinal fluid outflow obstruction and elevated intracranial pressure in such cases. This case highlights the importance of considering venous anomalies in the differential diagnosis of non-aneurysmal SAH and underscores the need for heightened awareness of vascular variations in CM1 patients presenting with acute neurological symptoms.

求助全文
通过发布文献求助,成功后即可免费获取论文全文。 去求助
来源期刊
自引率
0.00%
发文量
0
×
引用
GB/T 7714-2015
复制
MLA
复制
APA
复制
导出至
BibTeX EndNote RefMan NoteFirst NoteExpress
×
提示
您的信息不完整,为了账户安全,请先补充。
现在去补充
×
提示
您因"违规操作"
具体请查看互助需知
我知道了
×
提示
确定
请完成安全验证×
copy
已复制链接
快去分享给好友吧!
我知道了
右上角分享
点击右上角分享
0
联系我们:info@booksci.cn Book学术提供免费学术资源搜索服务,方便国内外学者检索中英文文献。致力于提供最便捷和优质的服务体验。 Copyright © 2023 布克学术 All rights reserved.
京ICP备2023020795号-1
ghs 京公网安备 11010802042870号
Book学术文献互助
Book学术文献互助群
群 号:604180095
Book学术官方微信