Meckel穴症状性假瘤模拟三叉神经鞘瘤。

Surgical neurology international Pub Date : 2025-07-11 eCollection Date: 2025-01-01 DOI:10.25259/SNI_447_2025
Tomoya Sofue, Megumi Chatani, Yoshihiro Kuga, Hiroyuki Ohnishi
{"title":"Meckel穴症状性假瘤模拟三叉神经鞘瘤。","authors":"Tomoya Sofue, Megumi Chatani, Yoshihiro Kuga, Hiroyuki Ohnishi","doi":"10.25259/SNI_447_2025","DOIUrl":null,"url":null,"abstract":"<p><strong>Background: </strong>Inflammatory pseudotumor is non-neoplastic lesions that form tumor-like masses, typically occurring in the lungs and orbits, with rare involvement of intracranial regions such as the Meckel cave. While neuroimaging can assist in differential diagnosis, definitive diagnosis may remain challenging. Some cases are associated with immunoglobulin G4 (IgG4)-related disease, highlighting the importance of histopathological confirmation to guide appropriate management.</p><p><strong>Case description: </strong>A case of a 42-year-old woman presented with facial numbness and headache. Magnetic resonance imaging revealed a 25-mm enhancing mass in the left Meckel cave, initially suspected to be a trigeminal schwannoma. Craniotomy and tumor resection were performed. Intraoperative findings and rapid pathology indicated marked inflammatory cell infiltration without features of schwannoma. The final diagnosis was inflammatory pseudotumor, with no evidence of IgG4-related disease or malignancy. Postoperative symptoms improved, and only a short course of steroids was administered.</p><p><strong>Conclusion: </strong>This case underscores the diagnostic difficulty of distinguishing inflammatory pseudotumor from neoplastic lesions in skull base regions. Surgical biopsy or resection is critical for definitive diagnosis, especially in cases with progressive symptoms. Individualized treatment planning based on disease activity and neurological impact remains essential due to the absence of standardized treatment guidelines.</p>","PeriodicalId":94217,"journal":{"name":"Surgical neurology international","volume":"16 ","pages":"280"},"PeriodicalIF":0.0000,"publicationDate":"2025-07-11","publicationTypes":"Journal Article","fieldsOfStudy":null,"isOpenAccess":false,"openAccessPdf":"https://www.ncbi.nlm.nih.gov/pmc/articles/PMC12361671/pdf/","citationCount":"0","resultStr":"{\"title\":\"Symptomatic pseudotumor in Meckel cave mimics trigeminal schwannoma.\",\"authors\":\"Tomoya Sofue, Megumi Chatani, Yoshihiro Kuga, Hiroyuki Ohnishi\",\"doi\":\"10.25259/SNI_447_2025\",\"DOIUrl\":null,\"url\":null,\"abstract\":\"<p><strong>Background: </strong>Inflammatory pseudotumor is non-neoplastic lesions that form tumor-like masses, typically occurring in the lungs and orbits, with rare involvement of intracranial regions such as the Meckel cave. While neuroimaging can assist in differential diagnosis, definitive diagnosis may remain challenging. Some cases are associated with immunoglobulin G4 (IgG4)-related disease, highlighting the importance of histopathological confirmation to guide appropriate management.</p><p><strong>Case description: </strong>A case of a 42-year-old woman presented with facial numbness and headache. Magnetic resonance imaging revealed a 25-mm enhancing mass in the left Meckel cave, initially suspected to be a trigeminal schwannoma. Craniotomy and tumor resection were performed. Intraoperative findings and rapid pathology indicated marked inflammatory cell infiltration without features of schwannoma. The final diagnosis was inflammatory pseudotumor, with no evidence of IgG4-related disease or malignancy. Postoperative symptoms improved, and only a short course of steroids was administered.</p><p><strong>Conclusion: </strong>This case underscores the diagnostic difficulty of distinguishing inflammatory pseudotumor from neoplastic lesions in skull base regions. Surgical biopsy or resection is critical for definitive diagnosis, especially in cases with progressive symptoms. Individualized treatment planning based on disease activity and neurological impact remains essential due to the absence of standardized treatment guidelines.</p>\",\"PeriodicalId\":94217,\"journal\":{\"name\":\"Surgical neurology international\",\"volume\":\"16 \",\"pages\":\"280\"},\"PeriodicalIF\":0.0000,\"publicationDate\":\"2025-07-11\",\"publicationTypes\":\"Journal Article\",\"fieldsOfStudy\":null,\"isOpenAccess\":false,\"openAccessPdf\":\"https://www.ncbi.nlm.nih.gov/pmc/articles/PMC12361671/pdf/\",\"citationCount\":\"0\",\"resultStr\":null,\"platform\":\"Semanticscholar\",\"paperid\":null,\"PeriodicalName\":\"Surgical neurology international\",\"FirstCategoryId\":\"1085\",\"ListUrlMain\":\"https://doi.org/10.25259/SNI_447_2025\",\"RegionNum\":0,\"RegionCategory\":null,\"ArticlePicture\":[],\"TitleCN\":null,\"AbstractTextCN\":null,\"PMCID\":null,\"EPubDate\":\"2025/1/1 0:00:00\",\"PubModel\":\"eCollection\",\"JCR\":\"\",\"JCRName\":\"\",\"Score\":null,\"Total\":0}","platform":"Semanticscholar","paperid":null,"PeriodicalName":"Surgical neurology international","FirstCategoryId":"1085","ListUrlMain":"https://doi.org/10.25259/SNI_447_2025","RegionNum":0,"RegionCategory":null,"ArticlePicture":[],"TitleCN":null,"AbstractTextCN":null,"PMCID":null,"EPubDate":"2025/1/1 0:00:00","PubModel":"eCollection","JCR":"","JCRName":"","Score":null,"Total":0}
引用次数: 0

摘要

背景:炎性假肿瘤是一种非肿瘤性病变,形成肿瘤样肿块,通常发生在肺部和眼眶,很少累及颅内区域,如Meckel穴。虽然神经影像学可以帮助鉴别诊断,但明确的诊断可能仍然具有挑战性。一些病例伴有免疫球蛋白G4 (IgG4)相关疾病,强调组织病理学确认对指导适当治疗的重要性。病例描述:一名42岁女性,表现为面部麻木和头痛。磁共振成像显示左侧Meckel洞有一个25mm的强化肿块,最初怀疑为三叉神经鞘瘤。行开颅和肿瘤切除术。术中表现和快速病理显示明显的炎症细胞浸润,无神经鞘瘤特征。最终诊断为炎性假瘤,没有igg4相关疾病或恶性肿瘤的证据。术后症状得到改善,仅使用了短疗程的类固醇。结论:本病例强调了区分颅底区炎性假瘤与肿瘤病变的诊断困难。手术活检或切除是明确诊断的关键,特别是在有进展症状的病例中。由于缺乏标准化的治疗指南,基于疾病活动和神经系统影响的个性化治疗计划仍然至关重要。
本文章由计算机程序翻译,如有差异,请以英文原文为准。

Symptomatic pseudotumor in Meckel cave mimics trigeminal schwannoma.

Symptomatic pseudotumor in Meckel cave mimics trigeminal schwannoma.

Symptomatic pseudotumor in Meckel cave mimics trigeminal schwannoma.

Symptomatic pseudotumor in Meckel cave mimics trigeminal schwannoma.

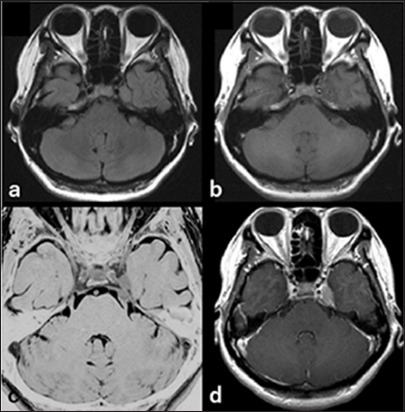
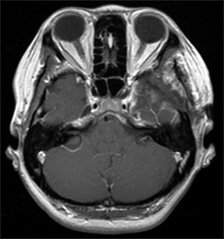
Background: Inflammatory pseudotumor is non-neoplastic lesions that form tumor-like masses, typically occurring in the lungs and orbits, with rare involvement of intracranial regions such as the Meckel cave. While neuroimaging can assist in differential diagnosis, definitive diagnosis may remain challenging. Some cases are associated with immunoglobulin G4 (IgG4)-related disease, highlighting the importance of histopathological confirmation to guide appropriate management.

Case description: A case of a 42-year-old woman presented with facial numbness and headache. Magnetic resonance imaging revealed a 25-mm enhancing mass in the left Meckel cave, initially suspected to be a trigeminal schwannoma. Craniotomy and tumor resection were performed. Intraoperative findings and rapid pathology indicated marked inflammatory cell infiltration without features of schwannoma. The final diagnosis was inflammatory pseudotumor, with no evidence of IgG4-related disease or malignancy. Postoperative symptoms improved, and only a short course of steroids was administered.

Conclusion: This case underscores the diagnostic difficulty of distinguishing inflammatory pseudotumor from neoplastic lesions in skull base regions. Surgical biopsy or resection is critical for definitive diagnosis, especially in cases with progressive symptoms. Individualized treatment planning based on disease activity and neurological impact remains essential due to the absence of standardized treatment guidelines.

求助全文
通过发布文献求助,成功后即可免费获取论文全文。 去求助
来源期刊
自引率
0.00%
发文量
0
×
引用
GB/T 7714-2015
复制
MLA
复制
APA
复制
导出至
BibTeX EndNote RefMan NoteFirst NoteExpress
×
提示
您的信息不完整,为了账户安全,请先补充。
现在去补充
×
提示
您因"违规操作"
具体请查看互助需知
我知道了
×
提示
确定
请完成安全验证×
copy
已复制链接
快去分享给好友吧!
我知道了
右上角分享
点击右上角分享
0
联系我们:info@booksci.cn Book学术提供免费学术资源搜索服务,方便国内外学者检索中英文文献。致力于提供最便捷和优质的服务体验。 Copyright © 2023 布克学术 All rights reserved.
京ICP备2023020795号-1
ghs 京公网安备 11010802042870号
Book学术文献互助
Book学术文献互助群
群 号:604180095
Book学术官方微信