无明显损伤的轻微后脑损伤后的浣熊形伤征象:无症状老年男性的诊断挑战。

Surgical neurology international Pub Date : 2025-07-11 eCollection Date: 2025-01-01 DOI:10.25259/SNI_229_2025
Shintaro Tsuboguchi, Kouichirou Okamoto, Susumu Tokiguchi
{"title":"无明显损伤的轻微后脑损伤后的浣熊形伤征象:无症状老年男性的诊断挑战。","authors":"Shintaro Tsuboguchi, Kouichirou Okamoto, Susumu Tokiguchi","doi":"10.25259/SNI_229_2025","DOIUrl":null,"url":null,"abstract":"<p><strong>Background: </strong>Traumatic raccoon sign (periorbital ecchymosis) typically results from facial or severe head trauma involving anterior skull base fractures. In contrast, contrecoup raccoon signs arising from minor posterior head injuries are extremely rare, particularly in older adults. In addition, spontaneous, nontraumatic raccoon signs may be associated with focal or systemic conditions, including malignancies, necessitating extensive diagnostic evaluation. Distinguishing between traumatic and nontraumatic causes is crucial in older patients presenting with raccoon sign following minor head trauma, especially when neurological deficits and visible external injuries are absent.</p><p><strong>Case description: </strong>An 85-year-old male with a 30-year history of insulin-treated type 2 diabetes presented with raccoon sign one morning, without additional symptoms. A comprehensive physical examination, including a detailed head assessment, revealed no abnormalities. However, computed tomography (CT) imaging identified a minor subarachnoid hemorrhage, and high-resolution CT imaging (1-mm bone slice thickness) detected a thin orbital roof fracture, confirming a traumatic contrecoup injury. This finding rendered the differential diagnosis for nontraumatic causes irrelevant. The patient's longstanding diabetes was considered a relevant factor in the development of the raccoon sign.</p><p><strong>Conclusion: </strong>In older adult patients presenting with raccoon sign but lacking overt symptoms, obtaining a thorough history of head trauma and diabetes is essential, even in cases of minor injury without visible external signs. High-resolution thin-slice bone CT imaging is vital for detecting subtle orbital roof fractures, which may otherwise go unnoticed. Early identification facilitates accurate diagnosis and prevents unnecessary evaluations for nontraumatic causes.</p>","PeriodicalId":94217,"journal":{"name":"Surgical neurology international","volume":"16 ","pages":"286"},"PeriodicalIF":0.0000,"publicationDate":"2025-07-11","publicationTypes":"Journal Article","fieldsOfStudy":null,"isOpenAccess":false,"openAccessPdf":"https://www.ncbi.nlm.nih.gov/pmc/articles/PMC12361661/pdf/","citationCount":"0","resultStr":"{\"title\":\"Contrecoup raccoon sign following minor posterior head injury without visible injury: Diagnostic challenge in an asymptomatic older adult man.\",\"authors\":\"Shintaro Tsuboguchi, Kouichirou Okamoto, Susumu Tokiguchi\",\"doi\":\"10.25259/SNI_229_2025\",\"DOIUrl\":null,\"url\":null,\"abstract\":\"<p><strong>Background: </strong>Traumatic raccoon sign (periorbital ecchymosis) typically results from facial or severe head trauma involving anterior skull base fractures. In contrast, contrecoup raccoon signs arising from minor posterior head injuries are extremely rare, particularly in older adults. In addition, spontaneous, nontraumatic raccoon signs may be associated with focal or systemic conditions, including malignancies, necessitating extensive diagnostic evaluation. Distinguishing between traumatic and nontraumatic causes is crucial in older patients presenting with raccoon sign following minor head trauma, especially when neurological deficits and visible external injuries are absent.</p><p><strong>Case description: </strong>An 85-year-old male with a 30-year history of insulin-treated type 2 diabetes presented with raccoon sign one morning, without additional symptoms. A comprehensive physical examination, including a detailed head assessment, revealed no abnormalities. However, computed tomography (CT) imaging identified a minor subarachnoid hemorrhage, and high-resolution CT imaging (1-mm bone slice thickness) detected a thin orbital roof fracture, confirming a traumatic contrecoup injury. This finding rendered the differential diagnosis for nontraumatic causes irrelevant. The patient's longstanding diabetes was considered a relevant factor in the development of the raccoon sign.</p><p><strong>Conclusion: </strong>In older adult patients presenting with raccoon sign but lacking overt symptoms, obtaining a thorough history of head trauma and diabetes is essential, even in cases of minor injury without visible external signs. High-resolution thin-slice bone CT imaging is vital for detecting subtle orbital roof fractures, which may otherwise go unnoticed. Early identification facilitates accurate diagnosis and prevents unnecessary evaluations for nontraumatic causes.</p>\",\"PeriodicalId\":94217,\"journal\":{\"name\":\"Surgical neurology international\",\"volume\":\"16 \",\"pages\":\"286\"},\"PeriodicalIF\":0.0000,\"publicationDate\":\"2025-07-11\",\"publicationTypes\":\"Journal Article\",\"fieldsOfStudy\":null,\"isOpenAccess\":false,\"openAccessPdf\":\"https://www.ncbi.nlm.nih.gov/pmc/articles/PMC12361661/pdf/\",\"citationCount\":\"0\",\"resultStr\":null,\"platform\":\"Semanticscholar\",\"paperid\":null,\"PeriodicalName\":\"Surgical neurology international\",\"FirstCategoryId\":\"1085\",\"ListUrlMain\":\"https://doi.org/10.25259/SNI_229_2025\",\"RegionNum\":0,\"RegionCategory\":null,\"ArticlePicture\":[],\"TitleCN\":null,\"AbstractTextCN\":null,\"PMCID\":null,\"EPubDate\":\"2025/1/1 0:00:00\",\"PubModel\":\"eCollection\",\"JCR\":\"\",\"JCRName\":\"\",\"Score\":null,\"Total\":0}","platform":"Semanticscholar","paperid":null,"PeriodicalName":"Surgical neurology international","FirstCategoryId":"1085","ListUrlMain":"https://doi.org/10.25259/SNI_229_2025","RegionNum":0,"RegionCategory":null,"ArticlePicture":[],"TitleCN":null,"AbstractTextCN":null,"PMCID":null,"EPubDate":"2025/1/1 0:00:00","PubModel":"eCollection","JCR":"","JCRName":"","Score":null,"Total":0}
引用次数: 0

摘要

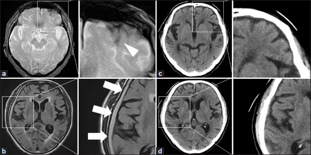
背景:创伤性浣熊征(眶周瘀斑)通常是由于面部或严重的头部外伤合并前颅底骨折所致。相比之下,由轻微后脑损伤引起的浣熊伤症状极为罕见,特别是在老年人中。此外,自发的、非创伤性的浣熊症状可能与局灶性或全身性疾病有关,包括恶性肿瘤,需要广泛的诊断评估。区分创伤性和非创伤性原因对于轻微头部创伤后出现浣熊症状的老年患者至关重要,特别是当神经功能缺损和明显的外部损伤不存在时。病例描述:一名85岁男性,有30年胰岛素治疗2型糖尿病史,一天早上出现浣熊体征,无其他症状。全面的身体检查,包括详细的头部评估,没有发现异常。然而,计算机断层扫描(CT)成像发现轻度蛛网膜下腔出血,高分辨率CT成像(1毫米骨片厚度)发现薄眶顶骨折,确认创伤性撞伤。这一发现使得非创伤性病因的鉴别诊断无关紧要。患者长期的糖尿病被认为是浣熊征发生的一个相关因素。结论:对于出现浣熊症状但没有明显症状的老年成人患者,即使是没有明显外部症状的轻微损伤,也必须获得完整的头部创伤和糖尿病史。高分辨率薄层骨CT成像对于检测细微的眶顶骨折至关重要,否则可能会被忽视。早期识别有助于准确诊断,并防止对非创伤性原因进行不必要的评估。
本文章由计算机程序翻译,如有差异,请以英文原文为准。

Contrecoup raccoon sign following minor posterior head injury without visible injury: Diagnostic challenge in an asymptomatic older adult man.

Contrecoup raccoon sign following minor posterior head injury without visible injury: Diagnostic challenge in an asymptomatic older adult man.

Contrecoup raccoon sign following minor posterior head injury without visible injury: Diagnostic challenge in an asymptomatic older adult man.

Contrecoup raccoon sign following minor posterior head injury without visible injury: Diagnostic challenge in an asymptomatic older adult man.

Background: Traumatic raccoon sign (periorbital ecchymosis) typically results from facial or severe head trauma involving anterior skull base fractures. In contrast, contrecoup raccoon signs arising from minor posterior head injuries are extremely rare, particularly in older adults. In addition, spontaneous, nontraumatic raccoon signs may be associated with focal or systemic conditions, including malignancies, necessitating extensive diagnostic evaluation. Distinguishing between traumatic and nontraumatic causes is crucial in older patients presenting with raccoon sign following minor head trauma, especially when neurological deficits and visible external injuries are absent.

Case description: An 85-year-old male with a 30-year history of insulin-treated type 2 diabetes presented with raccoon sign one morning, without additional symptoms. A comprehensive physical examination, including a detailed head assessment, revealed no abnormalities. However, computed tomography (CT) imaging identified a minor subarachnoid hemorrhage, and high-resolution CT imaging (1-mm bone slice thickness) detected a thin orbital roof fracture, confirming a traumatic contrecoup injury. This finding rendered the differential diagnosis for nontraumatic causes irrelevant. The patient's longstanding diabetes was considered a relevant factor in the development of the raccoon sign.

Conclusion: In older adult patients presenting with raccoon sign but lacking overt symptoms, obtaining a thorough history of head trauma and diabetes is essential, even in cases of minor injury without visible external signs. High-resolution thin-slice bone CT imaging is vital for detecting subtle orbital roof fractures, which may otherwise go unnoticed. Early identification facilitates accurate diagnosis and prevents unnecessary evaluations for nontraumatic causes.

求助全文
通过发布文献求助,成功后即可免费获取论文全文。 去求助
来源期刊
自引率
0.00%
发文量
0
×
引用
GB/T 7714-2015
复制
MLA
复制
APA
复制
导出至
BibTeX EndNote RefMan NoteFirst NoteExpress
×
提示
您的信息不完整,为了账户安全,请先补充。
现在去补充
×
提示
您因"违规操作"
具体请查看互助需知
我知道了
×
提示
确定
请完成安全验证×
copy
已复制链接
快去分享给好友吧!
我知道了
右上角分享
点击右上角分享
0
联系我们:info@booksci.cn Book学术提供免费学术资源搜索服务,方便国内外学者检索中英文文献。致力于提供最便捷和优质的服务体验。 Copyright © 2023 布克学术 All rights reserved.
京ICP备2023020795号-1
ghs 京公网安备 11010802042870号
Book学术文献互助
Book学术文献互助群
群 号:604180095
Book学术官方微信