颈内动脉夹层并舌咽神经功能障碍1例。

Surgical neurology international Pub Date : 2025-07-25 eCollection Date: 2025-01-01 DOI:10.25259/SNI_528_2025
Tomoya Sofue, Megumi Chatani, Hiroyuki Ohnishi
{"title":"颈内动脉夹层并舌咽神经功能障碍1例。","authors":"Tomoya Sofue, Megumi Chatani, Hiroyuki Ohnishi","doi":"10.25259/SNI_528_2025","DOIUrl":null,"url":null,"abstract":"<p><strong>Background: </strong>Internal carotid artery dissection (ICAD) is an uncommon but important cause of ischemic stroke in young adults, particularly in Asian populations where its incidence is relatively low. While ICAD typically presents with headache, neck pain, or ischemic symptoms, it can also lead to isolated cranial nerve involvement, complicating the diagnostic process.</p><p><strong>Case description: </strong>We report the case of a 45-year-old woman who presented with isolated right-sided glossopharyngeal nerve symptoms - specifically, ageusia and pharyngeal discomfort - along with mild posterior neck pain. Initial evaluation by otolaryngology failed to identify the etiology. Subsequent imaging at our hospital revealed a spontaneous dissection of the right internal carotid artery extending from the third cervical spinal cord level to the proximal petrous segment. Magnetic resonance angiography and digital subtraction angiography confirmed the diagnosis of ICAD. Conservative management with antiplatelet therapy (aspirin 100 mg/day) led to symptom improvement, and follow-up imaging after 180 days demonstrated near-complete resolution of the dissection.</p><p><strong>Conclusion: </strong>This case is noteworthy due to the absence of cerebral ischemic findings and the isolated involvement of the glossopharyngeal nerve, likely due to localized anterolateral expansion of the dissection cavity compressing the pharyngeal branch of the nerve. Although mild styloid process elongation was observed, there was no radiological evidence suggesting Eagle syndrome. This case emphasizes the importance of considering ICAD in the differential diagnosis of lower cranial nerve palsies, even in the absence of stroke or typical neurological signs.</p>","PeriodicalId":94217,"journal":{"name":"Surgical neurology international","volume":"16 ","pages":"304"},"PeriodicalIF":0.0000,"publicationDate":"2025-07-25","publicationTypes":"Journal Article","fieldsOfStudy":null,"isOpenAccess":false,"openAccessPdf":"https://www.ncbi.nlm.nih.gov/pmc/articles/PMC12361664/pdf/","citationCount":"0","resultStr":"{\"title\":\"Internal carotid artery dissection presenting with glossopharyngeal nerve dysfunction: A case report.\",\"authors\":\"Tomoya Sofue, Megumi Chatani, Hiroyuki Ohnishi\",\"doi\":\"10.25259/SNI_528_2025\",\"DOIUrl\":null,\"url\":null,\"abstract\":\"<p><strong>Background: </strong>Internal carotid artery dissection (ICAD) is an uncommon but important cause of ischemic stroke in young adults, particularly in Asian populations where its incidence is relatively low. While ICAD typically presents with headache, neck pain, or ischemic symptoms, it can also lead to isolated cranial nerve involvement, complicating the diagnostic process.</p><p><strong>Case description: </strong>We report the case of a 45-year-old woman who presented with isolated right-sided glossopharyngeal nerve symptoms - specifically, ageusia and pharyngeal discomfort - along with mild posterior neck pain. Initial evaluation by otolaryngology failed to identify the etiology. Subsequent imaging at our hospital revealed a spontaneous dissection of the right internal carotid artery extending from the third cervical spinal cord level to the proximal petrous segment. Magnetic resonance angiography and digital subtraction angiography confirmed the diagnosis of ICAD. Conservative management with antiplatelet therapy (aspirin 100 mg/day) led to symptom improvement, and follow-up imaging after 180 days demonstrated near-complete resolution of the dissection.</p><p><strong>Conclusion: </strong>This case is noteworthy due to the absence of cerebral ischemic findings and the isolated involvement of the glossopharyngeal nerve, likely due to localized anterolateral expansion of the dissection cavity compressing the pharyngeal branch of the nerve. Although mild styloid process elongation was observed, there was no radiological evidence suggesting Eagle syndrome. This case emphasizes the importance of considering ICAD in the differential diagnosis of lower cranial nerve palsies, even in the absence of stroke or typical neurological signs.</p>\",\"PeriodicalId\":94217,\"journal\":{\"name\":\"Surgical neurology international\",\"volume\":\"16 \",\"pages\":\"304\"},\"PeriodicalIF\":0.0000,\"publicationDate\":\"2025-07-25\",\"publicationTypes\":\"Journal Article\",\"fieldsOfStudy\":null,\"isOpenAccess\":false,\"openAccessPdf\":\"https://www.ncbi.nlm.nih.gov/pmc/articles/PMC12361664/pdf/\",\"citationCount\":\"0\",\"resultStr\":null,\"platform\":\"Semanticscholar\",\"paperid\":null,\"PeriodicalName\":\"Surgical neurology international\",\"FirstCategoryId\":\"1085\",\"ListUrlMain\":\"https://doi.org/10.25259/SNI_528_2025\",\"RegionNum\":0,\"RegionCategory\":null,\"ArticlePicture\":[],\"TitleCN\":null,\"AbstractTextCN\":null,\"PMCID\":null,\"EPubDate\":\"2025/1/1 0:00:00\",\"PubModel\":\"eCollection\",\"JCR\":\"\",\"JCRName\":\"\",\"Score\":null,\"Total\":0}","platform":"Semanticscholar","paperid":null,"PeriodicalName":"Surgical neurology international","FirstCategoryId":"1085","ListUrlMain":"https://doi.org/10.25259/SNI_528_2025","RegionNum":0,"RegionCategory":null,"ArticlePicture":[],"TitleCN":null,"AbstractTextCN":null,"PMCID":null,"EPubDate":"2025/1/1 0:00:00","PubModel":"eCollection","JCR":"","JCRName":"","Score":null,"Total":0}
引用次数: 0

摘要

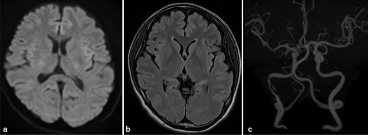
背景:颈内动脉夹层(ICAD)是年轻人缺血性卒中的一种罕见但重要的病因,特别是在发病率相对较低的亚洲人群中。虽然ICAD通常表现为头痛、颈部疼痛或缺血性症状,但它也可能导致孤立的颅神经受累,使诊断过程复杂化。病例描述:我们报告一位45岁的女性,她表现出孤立的右侧舌咽神经症状-特别是,衰老和咽不适-以及轻微的后颈部疼痛。耳鼻喉科的初步评估未能确定病因。随后在我院进行的影像学检查显示右侧颈内动脉自发剥离,从第三颈脊髓段延伸至近岩段。磁共振血管造影和数字减影血管造影证实了ICAD的诊断。保守治疗抗血小板治疗(阿司匹林100mg /天)导致症状改善,180天后的随访成像显示夹层几乎完全解决。结论:本病例未见脑缺血表现,且孤立受累舌咽神经,可能是由于夹层腔局部前外侧扩张压迫舌咽神经分支所致。虽然观察到轻微的茎突伸长,但没有影像学证据提示Eagle综合征。本病例强调了在下颅神经麻痹的鉴别诊断中考虑ICAD的重要性,即使在没有中风或典型神经症状的情况下。
本文章由计算机程序翻译,如有差异,请以英文原文为准。

Internal carotid artery dissection presenting with glossopharyngeal nerve dysfunction: A case report.

Internal carotid artery dissection presenting with glossopharyngeal nerve dysfunction: A case report.

Internal carotid artery dissection presenting with glossopharyngeal nerve dysfunction: A case report.

Internal carotid artery dissection presenting with glossopharyngeal nerve dysfunction: A case report.

Background: Internal carotid artery dissection (ICAD) is an uncommon but important cause of ischemic stroke in young adults, particularly in Asian populations where its incidence is relatively low. While ICAD typically presents with headache, neck pain, or ischemic symptoms, it can also lead to isolated cranial nerve involvement, complicating the diagnostic process.

Case description: We report the case of a 45-year-old woman who presented with isolated right-sided glossopharyngeal nerve symptoms - specifically, ageusia and pharyngeal discomfort - along with mild posterior neck pain. Initial evaluation by otolaryngology failed to identify the etiology. Subsequent imaging at our hospital revealed a spontaneous dissection of the right internal carotid artery extending from the third cervical spinal cord level to the proximal petrous segment. Magnetic resonance angiography and digital subtraction angiography confirmed the diagnosis of ICAD. Conservative management with antiplatelet therapy (aspirin 100 mg/day) led to symptom improvement, and follow-up imaging after 180 days demonstrated near-complete resolution of the dissection.

Conclusion: This case is noteworthy due to the absence of cerebral ischemic findings and the isolated involvement of the glossopharyngeal nerve, likely due to localized anterolateral expansion of the dissection cavity compressing the pharyngeal branch of the nerve. Although mild styloid process elongation was observed, there was no radiological evidence suggesting Eagle syndrome. This case emphasizes the importance of considering ICAD in the differential diagnosis of lower cranial nerve palsies, even in the absence of stroke or typical neurological signs.

求助全文
通过发布文献求助,成功后即可免费获取论文全文。 去求助
来源期刊
自引率
0.00%
发文量
0
×
引用
GB/T 7714-2015
复制
MLA
复制
APA
复制
导出至
BibTeX EndNote RefMan NoteFirst NoteExpress
×
提示
您的信息不完整,为了账户安全,请先补充。
现在去补充
×
提示
您因"违规操作"
具体请查看互助需知
我知道了
×
提示
确定
请完成安全验证×
copy
已复制链接
快去分享给好友吧!
我知道了
右上角分享
点击右上角分享
0
联系我们:info@booksci.cn Book学术提供免费学术资源搜索服务,方便国内外学者检索中英文文献。致力于提供最便捷和优质的服务体验。 Copyright © 2023 布克学术 All rights reserved.
京ICP备2023020795号-1
ghs 京公网安备 11010802042870号
Book学术文献互助
Book学术文献互助群
群 号:604180095
Book学术官方微信