颅内真菌团块模仿高级别神经胶质病变-单独抗真菌药就足够了吗?

Surgical neurology international Pub Date : 2025-07-18 eCollection Date: 2025-01-01 DOI:10.25259/SNI_161_2025
Warda Ahmed, Syed Ather Enam, Hafiza Fatima Aziz
{"title":"颅内真菌团块模仿高级别神经胶质病变-单独抗真菌药就足够了吗?","authors":"Warda Ahmed, Syed Ather Enam, Hafiza Fatima Aziz","doi":"10.25259/SNI_161_2025","DOIUrl":null,"url":null,"abstract":"<p><strong>Background: </strong>Intracranial fungal mass is rare among immunocompetent individuals with variable presentation and management algorithms making it challenging to achieve optimal outcomes.</p><p><strong>Case description: </strong>Herein, we report the presentation of a 34-year-old immunocompetent Pashtun female with acute-onset rapidly progressing generalized weakness, altered cognition, and motor and speech deficits. Although the radiological findings resembled a glioblastoma, the strong clinical suspicion of a fungal infection and her improvement on voriconazole treatment led to the decision to avoid surgical resection, thereby minimizing the risk of potential dissemination.</p><p><strong>Conclusion: </strong>Our case emphasizes that any deviation from the typical presentation of high-grade tumors must be reviewed with the need for surgical resection being evaluated on a case-to-case basis while prioritizing patient outcomes.</p>","PeriodicalId":94217,"journal":{"name":"Surgical neurology international","volume":"16 ","pages":"297"},"PeriodicalIF":0.0000,"publicationDate":"2025-07-18","publicationTypes":"Journal Article","fieldsOfStudy":null,"isOpenAccess":false,"openAccessPdf":"https://www.ncbi.nlm.nih.gov/pmc/articles/PMC12361654/pdf/","citationCount":"0","resultStr":"{\"title\":\"Intracranial fungal mass imitating a high-grade glial lesion - is antifungal alone sufficient?\",\"authors\":\"Warda Ahmed, Syed Ather Enam, Hafiza Fatima Aziz\",\"doi\":\"10.25259/SNI_161_2025\",\"DOIUrl\":null,\"url\":null,\"abstract\":\"<p><strong>Background: </strong>Intracranial fungal mass is rare among immunocompetent individuals with variable presentation and management algorithms making it challenging to achieve optimal outcomes.</p><p><strong>Case description: </strong>Herein, we report the presentation of a 34-year-old immunocompetent Pashtun female with acute-onset rapidly progressing generalized weakness, altered cognition, and motor and speech deficits. Although the radiological findings resembled a glioblastoma, the strong clinical suspicion of a fungal infection and her improvement on voriconazole treatment led to the decision to avoid surgical resection, thereby minimizing the risk of potential dissemination.</p><p><strong>Conclusion: </strong>Our case emphasizes that any deviation from the typical presentation of high-grade tumors must be reviewed with the need for surgical resection being evaluated on a case-to-case basis while prioritizing patient outcomes.</p>\",\"PeriodicalId\":94217,\"journal\":{\"name\":\"Surgical neurology international\",\"volume\":\"16 \",\"pages\":\"297\"},\"PeriodicalIF\":0.0000,\"publicationDate\":\"2025-07-18\",\"publicationTypes\":\"Journal Article\",\"fieldsOfStudy\":null,\"isOpenAccess\":false,\"openAccessPdf\":\"https://www.ncbi.nlm.nih.gov/pmc/articles/PMC12361654/pdf/\",\"citationCount\":\"0\",\"resultStr\":null,\"platform\":\"Semanticscholar\",\"paperid\":null,\"PeriodicalName\":\"Surgical neurology international\",\"FirstCategoryId\":\"1085\",\"ListUrlMain\":\"https://doi.org/10.25259/SNI_161_2025\",\"RegionNum\":0,\"RegionCategory\":null,\"ArticlePicture\":[],\"TitleCN\":null,\"AbstractTextCN\":null,\"PMCID\":null,\"EPubDate\":\"2025/1/1 0:00:00\",\"PubModel\":\"eCollection\",\"JCR\":\"\",\"JCRName\":\"\",\"Score\":null,\"Total\":0}","platform":"Semanticscholar","paperid":null,"PeriodicalName":"Surgical neurology international","FirstCategoryId":"1085","ListUrlMain":"https://doi.org/10.25259/SNI_161_2025","RegionNum":0,"RegionCategory":null,"ArticlePicture":[],"TitleCN":null,"AbstractTextCN":null,"PMCID":null,"EPubDate":"2025/1/1 0:00:00","PubModel":"eCollection","JCR":"","JCRName":"","Score":null,"Total":0}
引用次数: 0

摘要

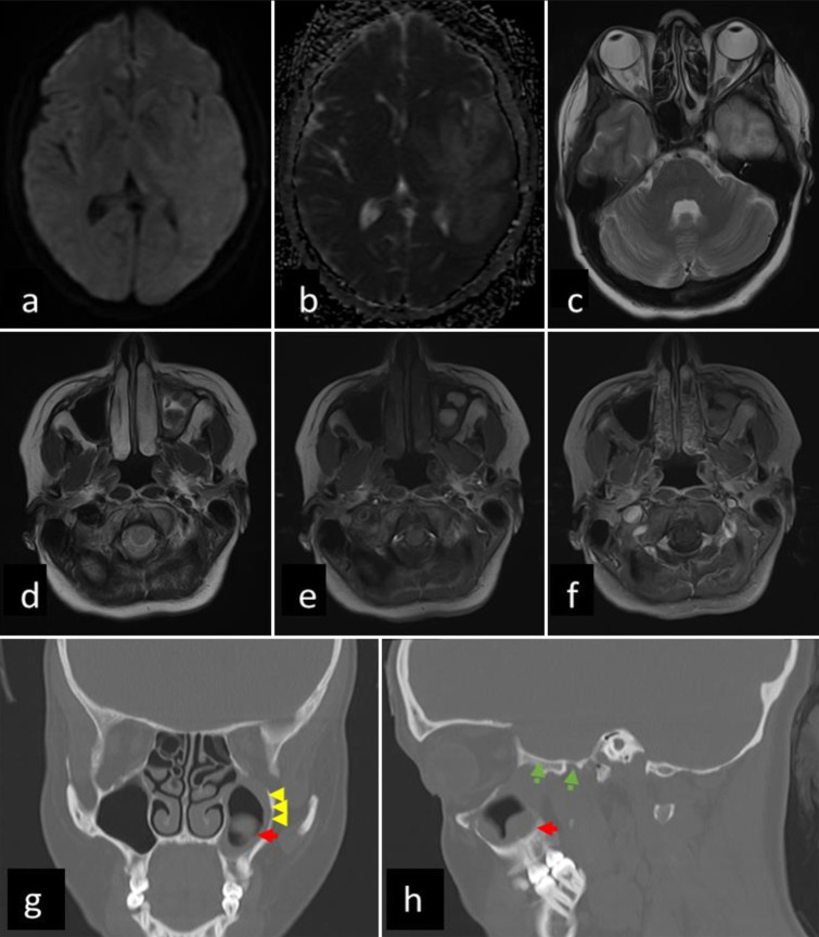
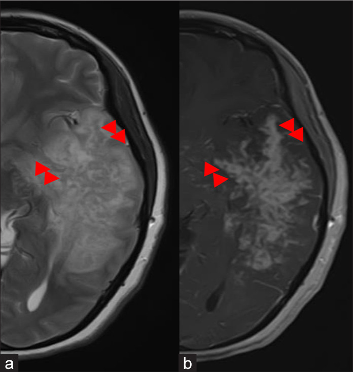
背景:颅内真菌肿块在免疫功能正常的个体中是罕见的,其表现和管理算法各不相同,使其难以达到最佳结果。病例描述:在此,我们报告一位34岁的普什图女性,急性发作,进展迅速的全身无力,认知改变,运动和语言缺陷。尽管放射学表现类似于胶质母细胞瘤,但临床强烈怀疑真菌感染,并经伏立康唑治疗后病情有所改善,因此决定避免手术切除,从而将潜在传播的风险降至最低。结论:我们的病例强调,任何偏离典型的高级别肿瘤的表现都必须在个案基础上评估手术切除的需要,同时优先考虑患者的结果。
本文章由计算机程序翻译,如有差异,请以英文原文为准。

Intracranial fungal mass imitating a high-grade glial lesion - is antifungal alone sufficient?

Intracranial fungal mass imitating a high-grade glial lesion - is antifungal alone sufficient?

Intracranial fungal mass imitating a high-grade glial lesion - is antifungal alone sufficient?

Intracranial fungal mass imitating a high-grade glial lesion - is antifungal alone sufficient?

Background: Intracranial fungal mass is rare among immunocompetent individuals with variable presentation and management algorithms making it challenging to achieve optimal outcomes.

Case description: Herein, we report the presentation of a 34-year-old immunocompetent Pashtun female with acute-onset rapidly progressing generalized weakness, altered cognition, and motor and speech deficits. Although the radiological findings resembled a glioblastoma, the strong clinical suspicion of a fungal infection and her improvement on voriconazole treatment led to the decision to avoid surgical resection, thereby minimizing the risk of potential dissemination.

Conclusion: Our case emphasizes that any deviation from the typical presentation of high-grade tumors must be reviewed with the need for surgical resection being evaluated on a case-to-case basis while prioritizing patient outcomes.

求助全文
通过发布文献求助,成功后即可免费获取论文全文。 去求助
来源期刊
自引率
0.00%
发文量
0
×
引用
GB/T 7714-2015
复制
MLA
复制
APA
复制
导出至
BibTeX EndNote RefMan NoteFirst NoteExpress
×
提示
您的信息不完整,为了账户安全,请先补充。
现在去补充
×
提示
您因"违规操作"
具体请查看互助需知
我知道了
×
提示
确定
请完成安全验证×
copy
已复制链接
快去分享给好友吧!
我知道了
右上角分享
点击右上角分享
0
联系我们:info@booksci.cn Book学术提供免费学术资源搜索服务,方便国内外学者检索中英文文献。致力于提供最便捷和优质的服务体验。 Copyright © 2023 布克学术 All rights reserved.
京ICP备2023020795号-1
ghs 京公网安备 11010802042870号
Book学术文献互助
Book学术文献互助群
群 号:604180095
Book学术官方微信