青少年多形性低级别神经上皮肿瘤。

Surgical neurology international Pub Date : 2025-07-25 eCollection Date: 2025-01-01 DOI:10.25259/SNI_1061_2024
Ahoud Alharbi, Ali Alassiri, Ali Alkhaibary, Saad AlQahatani
{"title":"青少年多形性低级别神经上皮肿瘤。","authors":"Ahoud Alharbi, Ali Alassiri, Ali Alkhaibary, Saad AlQahatani","doi":"10.25259/SNI_1061_2024","DOIUrl":null,"url":null,"abstract":"<p><strong>Background: </strong>Polymorphous low-grade neuroepithelial tumor of the young (PLNTY) is a newly recognized entity first described in 2017. This article reports the clinical, radiological, histological, and molecular characteristics of PLNTY diagnosed in a young female.</p><p><strong>Case description: </strong>A 20-year-old female, not known to have any medical illness, presented to the emergency department with speech arrest that progressed to generalized tonic-clonic seizures. Brain magnetic resonance imaging showed a T2 hyperintense nonenhancing cortical-based heterogeneous mass in the left medial temporal lobe and adjacent inferior temporal gyrus measuring 2.7 × 2 × 2.5 cm with no susceptibility signal or diffusion restriction. Electroencephalogram (EEG) showed left temporal epileptiform discharges. She underwent left frontotemporal craniotomy and tumor resection. The light microscopic examination of the tumor revealed a low-grade infiltrative neoplasm. There was a classical appearance of round cells with perinuclear halo, immunopositive for olig-2, glial fibrillary acidic protein (<i>GFAP)</i>, and cluster of differentiation-34. There was B-Raf protooncogene, serine/threonine kinase (<i>BRA</i>F) c.1799T>A (p.V600E) point mutation and absence of isocitrate dehydrogenase (<i>IDH)</i> 1 and 2 hotspot mutations. The overall findings were diagnostic of PLNTY.</p><p><strong>Conclusion: </strong>This article reports an additional case of PLNTY, a newly defined central nervous system tumor entity, describing its clinical, radiological, histological, and molecular features.</p>","PeriodicalId":94217,"journal":{"name":"Surgical neurology international","volume":"16 ","pages":"300"},"PeriodicalIF":0.0000,"publicationDate":"2025-07-25","publicationTypes":"Journal Article","fieldsOfStudy":null,"isOpenAccess":false,"openAccessPdf":"https://www.ncbi.nlm.nih.gov/pmc/articles/PMC12361669/pdf/","citationCount":"0","resultStr":"{\"title\":\"Polymorphous low-grade neuroepithelial tumor of the young.\",\"authors\":\"Ahoud Alharbi, Ali Alassiri, Ali Alkhaibary, Saad AlQahatani\",\"doi\":\"10.25259/SNI_1061_2024\",\"DOIUrl\":null,\"url\":null,\"abstract\":\"<p><strong>Background: </strong>Polymorphous low-grade neuroepithelial tumor of the young (PLNTY) is a newly recognized entity first described in 2017. This article reports the clinical, radiological, histological, and molecular characteristics of PLNTY diagnosed in a young female.</p><p><strong>Case description: </strong>A 20-year-old female, not known to have any medical illness, presented to the emergency department with speech arrest that progressed to generalized tonic-clonic seizures. Brain magnetic resonance imaging showed a T2 hyperintense nonenhancing cortical-based heterogeneous mass in the left medial temporal lobe and adjacent inferior temporal gyrus measuring 2.7 × 2 × 2.5 cm with no susceptibility signal or diffusion restriction. Electroencephalogram (EEG) showed left temporal epileptiform discharges. She underwent left frontotemporal craniotomy and tumor resection. The light microscopic examination of the tumor revealed a low-grade infiltrative neoplasm. There was a classical appearance of round cells with perinuclear halo, immunopositive for olig-2, glial fibrillary acidic protein (<i>GFAP)</i>, and cluster of differentiation-34. There was B-Raf protooncogene, serine/threonine kinase (<i>BRA</i>F) c.1799T>A (p.V600E) point mutation and absence of isocitrate dehydrogenase (<i>IDH)</i> 1 and 2 hotspot mutations. The overall findings were diagnostic of PLNTY.</p><p><strong>Conclusion: </strong>This article reports an additional case of PLNTY, a newly defined central nervous system tumor entity, describing its clinical, radiological, histological, and molecular features.</p>\",\"PeriodicalId\":94217,\"journal\":{\"name\":\"Surgical neurology international\",\"volume\":\"16 \",\"pages\":\"300\"},\"PeriodicalIF\":0.0000,\"publicationDate\":\"2025-07-25\",\"publicationTypes\":\"Journal Article\",\"fieldsOfStudy\":null,\"isOpenAccess\":false,\"openAccessPdf\":\"https://www.ncbi.nlm.nih.gov/pmc/articles/PMC12361669/pdf/\",\"citationCount\":\"0\",\"resultStr\":null,\"platform\":\"Semanticscholar\",\"paperid\":null,\"PeriodicalName\":\"Surgical neurology international\",\"FirstCategoryId\":\"1085\",\"ListUrlMain\":\"https://doi.org/10.25259/SNI_1061_2024\",\"RegionNum\":0,\"RegionCategory\":null,\"ArticlePicture\":[],\"TitleCN\":null,\"AbstractTextCN\":null,\"PMCID\":null,\"EPubDate\":\"2025/1/1 0:00:00\",\"PubModel\":\"eCollection\",\"JCR\":\"\",\"JCRName\":\"\",\"Score\":null,\"Total\":0}","platform":"Semanticscholar","paperid":null,"PeriodicalName":"Surgical neurology international","FirstCategoryId":"1085","ListUrlMain":"https://doi.org/10.25259/SNI_1061_2024","RegionNum":0,"RegionCategory":null,"ArticlePicture":[],"TitleCN":null,"AbstractTextCN":null,"PMCID":null,"EPubDate":"2025/1/1 0:00:00","PubModel":"eCollection","JCR":"","JCRName":"","Score":null,"Total":0}
引用次数: 0

摘要

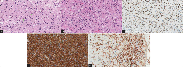
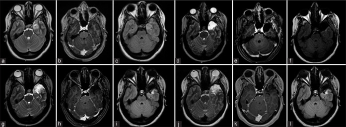
背景:多形性低级别神经上皮肿瘤(PLNTY)是2017年首次描述的新认识的实体。本文报告了一例年轻女性诊断的PLNTY的临床、放射学、组织学和分子特征。病例描述:一名20岁女性,没有任何内科疾病,因语言停止发展为全身性强直阵挛性癫痫而被送往急诊室。脑磁共振成像显示左侧内侧颞叶及邻近颞下回有一个2.7 × 2 × 2.5 cm的T2高强度非增强皮质异质性肿块,无敏感信号或扩散限制。脑电图显示左侧颞叶癫痫样放电。她接受了左额颞开颅和肿瘤切除术。肿瘤光镜检查为低级别浸润性肿瘤。典型的圆形细胞外观,核周晕,olig2,胶质纤维酸性蛋白(GFAP)免疫阳性,分化簇-34。存在B-Raf原癌基因、丝氨酸/苏氨酸激酶(BRAF) c.1799T>A (p.V600E)点突变,不存在异柠檬酸脱氢酶(IDH) 1和2个热点突变。总体结果可诊断为PLNTY。结论:本文报告了一例新定义的中枢神经系统肿瘤PLNTY,描述了其临床、放射学、组织学和分子特征。
本文章由计算机程序翻译,如有差异,请以英文原文为准。

Polymorphous low-grade neuroepithelial tumor of the young.

Polymorphous low-grade neuroepithelial tumor of the young.

Polymorphous low-grade neuroepithelial tumor of the young.

Polymorphous low-grade neuroepithelial tumor of the young.

Background: Polymorphous low-grade neuroepithelial tumor of the young (PLNTY) is a newly recognized entity first described in 2017. This article reports the clinical, radiological, histological, and molecular characteristics of PLNTY diagnosed in a young female.

Case description: A 20-year-old female, not known to have any medical illness, presented to the emergency department with speech arrest that progressed to generalized tonic-clonic seizures. Brain magnetic resonance imaging showed a T2 hyperintense nonenhancing cortical-based heterogeneous mass in the left medial temporal lobe and adjacent inferior temporal gyrus measuring 2.7 × 2 × 2.5 cm with no susceptibility signal or diffusion restriction. Electroencephalogram (EEG) showed left temporal epileptiform discharges. She underwent left frontotemporal craniotomy and tumor resection. The light microscopic examination of the tumor revealed a low-grade infiltrative neoplasm. There was a classical appearance of round cells with perinuclear halo, immunopositive for olig-2, glial fibrillary acidic protein (GFAP), and cluster of differentiation-34. There was B-Raf protooncogene, serine/threonine kinase (BRAF) c.1799T>A (p.V600E) point mutation and absence of isocitrate dehydrogenase (IDH) 1 and 2 hotspot mutations. The overall findings were diagnostic of PLNTY.

Conclusion: This article reports an additional case of PLNTY, a newly defined central nervous system tumor entity, describing its clinical, radiological, histological, and molecular features.

求助全文
通过发布文献求助,成功后即可免费获取论文全文。 去求助
来源期刊
自引率
0.00%
发文量
0
×
引用
GB/T 7714-2015
复制
MLA
复制
APA
复制
导出至
BibTeX EndNote RefMan NoteFirst NoteExpress
×
提示
您的信息不完整,为了账户安全,请先补充。
现在去补充
×
提示
您因"违规操作"
具体请查看互助需知
我知道了
×
提示
确定
请完成安全验证×
copy
已复制链接
快去分享给好友吧!
我知道了
右上角分享
点击右上角分享
0
联系我们:info@booksci.cn Book学术提供免费学术资源搜索服务,方便国内外学者检索中英文文献。致力于提供最便捷和优质的服务体验。 Copyright © 2023 布克学术 All rights reserved.
京ICP备2023020795号-1
ghs 京公网安备 11010802042870号
Book学术文献互助
Book学术文献互助群
群 号:604180095
Book学术官方微信