可能的脑淀粉样血管病相关炎症表现为游离性出血和炎性病变的中年患者:1例报告。

Surgical neurology international Pub Date : 2025-07-25 eCollection Date: 2025-01-01 DOI:10.25259/SNI_589_2025
Toshihide Takahashi, Kiyoyuki Yanaka, Hitoshi Aiyama, Minami Saura, Hayato Takeda, Nobuyuki Takahashi, Aiki Marushima, Eiichi Ishikawa
{"title":"可能的脑淀粉样血管病相关炎症表现为游离性出血和炎性病变的中年患者:1例报告。","authors":"Toshihide Takahashi, Kiyoyuki Yanaka, Hitoshi Aiyama, Minami Saura, Hayato Takeda, Nobuyuki Takahashi, Aiki Marushima, Eiichi Ishikawa","doi":"10.25259/SNI_589_2025","DOIUrl":null,"url":null,"abstract":"<p><strong>Background: </strong>Cerebral amyloid angiopathy-related inflammation (CAA-ri) is a rare inflammatory encephalopathy associated with amyloid-β deposition in cerebral vessels, typically presenting in older adults with subacute cognitive decline, seizures, and lobar hemorrhages. It affects approximately 5% of patients with CAA, often showing asymmetric white matter hyperintensities, microbleeds, and leptomeningeal enhancement on magnetic resonance imaging (MRI). Vascular fragility in patients with CAA-ri increases rebleeding risk compared with those without CAA-ri, such as those with hypertensive intracerebral hemorrhage. This report describes a rare probable CAA-ri case in a middle-aged patient with an atypical presentation: younger age, absence of typical inflammatory symptoms, and spatially dissociated hemorrhagic and inflammatory lesions.</p><p><strong>Case description: </strong>A 50-year-old man with a history of childhood right frontal hemorrhage and epilepsy presented with right upper-limb numbness. Computed tomography revealed a left parietal subcortical hemorrhage, and MRI showed bilateral occipital white matter hyperintensities, microbleeds, and right occipital leptomeningeal enhancement. Biopsy of the right occipital lesion confirmed amyloid-β deposition with mild perivascular lymphocytic infiltration, indicating probable CAA-ri. He was managed conservatively owing to the minimal mass effect and received corticosteroids as outpatients. MRI at 19 months revealed resolution of occipital hyperintensities, without neurological deficits.</p><p><strong>Conclusion: </strong>This case highlights probable CAA-ri in a middle-aged adult, presenting with subcortical hemorrhage and spatially dissociated inflammatory lesions. Despite the subtle inflammatory findings, clinical, imaging, and histological evaluations supported the diagnosis. Early recognition and immunosuppressive therapy can achieve favorable outcomes, emphasizing CAA-ri's inclusion in the differential diagnosis of lobar hemorrhage in relatively younger patients without hypertension or vascular risk factors.</p>","PeriodicalId":94217,"journal":{"name":"Surgical neurology international","volume":"16 ","pages":"302"},"PeriodicalIF":0.0000,"publicationDate":"2025-07-25","publicationTypes":"Journal Article","fieldsOfStudy":null,"isOpenAccess":false,"openAccessPdf":"https://www.ncbi.nlm.nih.gov/pmc/articles/PMC12361660/pdf/","citationCount":"0","resultStr":"{\"title\":\"Probable cerebral amyloid angiopathy-related inflammation presenting with dissociated hemorrhagic and inflammatory lesions in a middle-aged patient: A case report.\",\"authors\":\"Toshihide Takahashi, Kiyoyuki Yanaka, Hitoshi Aiyama, Minami Saura, Hayato Takeda, Nobuyuki Takahashi, Aiki Marushima, Eiichi Ishikawa\",\"doi\":\"10.25259/SNI_589_2025\",\"DOIUrl\":null,\"url\":null,\"abstract\":\"<p><strong>Background: </strong>Cerebral amyloid angiopathy-related inflammation (CAA-ri) is a rare inflammatory encephalopathy associated with amyloid-β deposition in cerebral vessels, typically presenting in older adults with subacute cognitive decline, seizures, and lobar hemorrhages. It affects approximately 5% of patients with CAA, often showing asymmetric white matter hyperintensities, microbleeds, and leptomeningeal enhancement on magnetic resonance imaging (MRI). Vascular fragility in patients with CAA-ri increases rebleeding risk compared with those without CAA-ri, such as those with hypertensive intracerebral hemorrhage. This report describes a rare probable CAA-ri case in a middle-aged patient with an atypical presentation: younger age, absence of typical inflammatory symptoms, and spatially dissociated hemorrhagic and inflammatory lesions.</p><p><strong>Case description: </strong>A 50-year-old man with a history of childhood right frontal hemorrhage and epilepsy presented with right upper-limb numbness. Computed tomography revealed a left parietal subcortical hemorrhage, and MRI showed bilateral occipital white matter hyperintensities, microbleeds, and right occipital leptomeningeal enhancement. Biopsy of the right occipital lesion confirmed amyloid-β deposition with mild perivascular lymphocytic infiltration, indicating probable CAA-ri. He was managed conservatively owing to the minimal mass effect and received corticosteroids as outpatients. MRI at 19 months revealed resolution of occipital hyperintensities, without neurological deficits.</p><p><strong>Conclusion: </strong>This case highlights probable CAA-ri in a middle-aged adult, presenting with subcortical hemorrhage and spatially dissociated inflammatory lesions. Despite the subtle inflammatory findings, clinical, imaging, and histological evaluations supported the diagnosis. Early recognition and immunosuppressive therapy can achieve favorable outcomes, emphasizing CAA-ri's inclusion in the differential diagnosis of lobar hemorrhage in relatively younger patients without hypertension or vascular risk factors.</p>\",\"PeriodicalId\":94217,\"journal\":{\"name\":\"Surgical neurology international\",\"volume\":\"16 \",\"pages\":\"302\"},\"PeriodicalIF\":0.0000,\"publicationDate\":\"2025-07-25\",\"publicationTypes\":\"Journal Article\",\"fieldsOfStudy\":null,\"isOpenAccess\":false,\"openAccessPdf\":\"https://www.ncbi.nlm.nih.gov/pmc/articles/PMC12361660/pdf/\",\"citationCount\":\"0\",\"resultStr\":null,\"platform\":\"Semanticscholar\",\"paperid\":null,\"PeriodicalName\":\"Surgical neurology international\",\"FirstCategoryId\":\"1085\",\"ListUrlMain\":\"https://doi.org/10.25259/SNI_589_2025\",\"RegionNum\":0,\"RegionCategory\":null,\"ArticlePicture\":[],\"TitleCN\":null,\"AbstractTextCN\":null,\"PMCID\":null,\"EPubDate\":\"2025/1/1 0:00:00\",\"PubModel\":\"eCollection\",\"JCR\":\"\",\"JCRName\":\"\",\"Score\":null,\"Total\":0}","platform":"Semanticscholar","paperid":null,"PeriodicalName":"Surgical neurology international","FirstCategoryId":"1085","ListUrlMain":"https://doi.org/10.25259/SNI_589_2025","RegionNum":0,"RegionCategory":null,"ArticlePicture":[],"TitleCN":null,"AbstractTextCN":null,"PMCID":null,"EPubDate":"2025/1/1 0:00:00","PubModel":"eCollection","JCR":"","JCRName":"","Score":null,"Total":0}
引用次数: 0

摘要

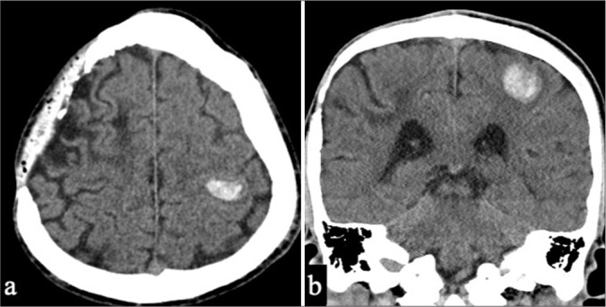
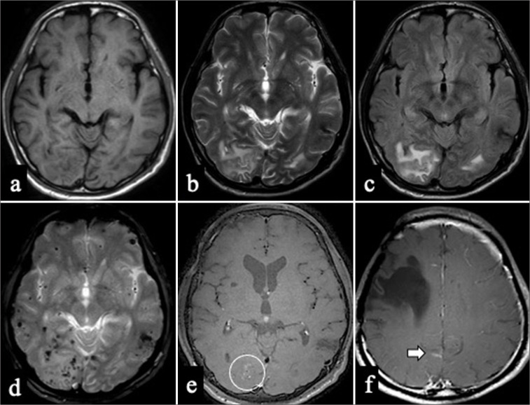
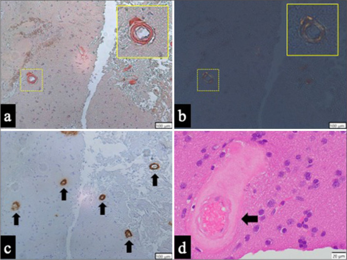
背景:脑淀粉样血管病相关炎症(CAA-ri)是一种罕见的炎症性脑病,与脑血管中淀粉样蛋白β沉积有关,通常出现在伴有亚急性认知能力下降、癫痫发作和大叶出血的老年人中。约5%的CAA患者受其影响,通常在磁共振成像(MRI)上表现为不对称的白质高信号、微出血和脑轻脑膜增强。与没有CAA-ri的患者相比,CAA-ri患者的血管脆性增加了再出血风险,例如高血压脑出血患者。本报告报告了一例罕见的中年CAA-ri病例,其表现不典型:年龄较小,无典型炎症症状,有空间分离的出血和炎症灶。病例描述:50岁男性,儿童期有右额叶出血和癫痫史,表现为右上肢麻木。计算机断层扫描显示左侧顶叶皮质下出血,MRI显示双侧枕部白质高,微出血,右侧枕部轻脑膜增强。右侧枕部病变活检证实淀粉样蛋白-β沉积伴轻度血管周围淋巴细胞浸润,提示可能为CAA-ri。由于肿块效应很小,他接受保守治疗,并作为门诊患者接受皮质类固醇治疗。19个月时的MRI显示枕部高信号消退,无神经功能缺损。结论:该病例突出了中年成人可能的CAA-ri,表现为皮质下出血和空间游离性炎性病变。尽管有轻微的炎症表现,临床、影像学和组织学评估支持诊断。早期识别和免疫抑制治疗可以获得良好的结果,强调CAA-ri在相对年轻的无高血压或血管危险因素的患者的大叶出血鉴别诊断中的作用。
本文章由计算机程序翻译,如有差异,请以英文原文为准。

Probable cerebral amyloid angiopathy-related inflammation presenting with dissociated hemorrhagic and inflammatory lesions in a middle-aged patient: A case report.

Probable cerebral amyloid angiopathy-related inflammation presenting with dissociated hemorrhagic and inflammatory lesions in a middle-aged patient: A case report.

Probable cerebral amyloid angiopathy-related inflammation presenting with dissociated hemorrhagic and inflammatory lesions in a middle-aged patient: A case report.

Probable cerebral amyloid angiopathy-related inflammation presenting with dissociated hemorrhagic and inflammatory lesions in a middle-aged patient: A case report.

Background: Cerebral amyloid angiopathy-related inflammation (CAA-ri) is a rare inflammatory encephalopathy associated with amyloid-β deposition in cerebral vessels, typically presenting in older adults with subacute cognitive decline, seizures, and lobar hemorrhages. It affects approximately 5% of patients with CAA, often showing asymmetric white matter hyperintensities, microbleeds, and leptomeningeal enhancement on magnetic resonance imaging (MRI). Vascular fragility in patients with CAA-ri increases rebleeding risk compared with those without CAA-ri, such as those with hypertensive intracerebral hemorrhage. This report describes a rare probable CAA-ri case in a middle-aged patient with an atypical presentation: younger age, absence of typical inflammatory symptoms, and spatially dissociated hemorrhagic and inflammatory lesions.

Case description: A 50-year-old man with a history of childhood right frontal hemorrhage and epilepsy presented with right upper-limb numbness. Computed tomography revealed a left parietal subcortical hemorrhage, and MRI showed bilateral occipital white matter hyperintensities, microbleeds, and right occipital leptomeningeal enhancement. Biopsy of the right occipital lesion confirmed amyloid-β deposition with mild perivascular lymphocytic infiltration, indicating probable CAA-ri. He was managed conservatively owing to the minimal mass effect and received corticosteroids as outpatients. MRI at 19 months revealed resolution of occipital hyperintensities, without neurological deficits.

Conclusion: This case highlights probable CAA-ri in a middle-aged adult, presenting with subcortical hemorrhage and spatially dissociated inflammatory lesions. Despite the subtle inflammatory findings, clinical, imaging, and histological evaluations supported the diagnosis. Early recognition and immunosuppressive therapy can achieve favorable outcomes, emphasizing CAA-ri's inclusion in the differential diagnosis of lobar hemorrhage in relatively younger patients without hypertension or vascular risk factors.

求助全文
通过发布文献求助,成功后即可免费获取论文全文。 去求助
来源期刊
自引率
0.00%
发文量
0
×
引用
GB/T 7714-2015
复制
MLA
复制
APA
复制
导出至
BibTeX EndNote RefMan NoteFirst NoteExpress
×
提示
您的信息不完整,为了账户安全,请先补充。
现在去补充
×
提示
您因"违规操作"
具体请查看互助需知
我知道了
×
提示
确定
请完成安全验证×
copy
已复制链接
快去分享给好友吧!
我知道了
右上角分享
点击右上角分享
0
联系我们:info@booksci.cn Book学术提供免费学术资源搜索服务,方便国内外学者检索中英文文献。致力于提供最便捷和优质的服务体验。 Copyright © 2023 布克学术 All rights reserved.
京ICP备2023020795号-1
ghs 京公网安备 11010802042870号
Book学术文献互助
Book学术文献互助群
群 号:604180095
Book学术官方微信