儿童内源性脑干表皮样囊肿。

Surgical neurology international Pub Date : 2025-07-18 eCollection Date: 2025-01-01 DOI:10.25259/SNI_198_2025
Tybault Hollanders, Sarah Hendrickx, Edward Baert
{"title":"儿童内源性脑干表皮样囊肿。","authors":"Tybault Hollanders, Sarah Hendrickx, Edward Baert","doi":"10.25259/SNI_198_2025","DOIUrl":null,"url":null,"abstract":"<p><strong>Background: </strong>Epidermoid cysts are slow-growing, rare congenital lesions. They are most seen in the cerebellopontine angle, fourth ventricle, or parasellar regions. Patients typically become symptomatic between 20- and 40 years of age. We present a rare case of a symptomatic intrinsic brainstem epidermoid cyst in a 12-year-old girl with atypical radiological features.</p><p><strong>Case description: </strong>A 12-year-old girl presented with progressive gait disturbances, disequilibrium, diplopia due to right-sided abducens paresis, left-sided facial paresis (HB grade II), headaches, nausea, and vomiting over the past 6 months. Magnetic resonance imaging (MRI) revealed an intrinsic lesion of the brainstem not present on MRI 4 years prior. A microsurgical gross total resection, including resection of cyst wall, was performed. The pathology report diagnosed the lesion as an epidermoid cyst. The patient improved significantly after resection.</p><p><strong>Conclusion: </strong>This pathology represents <1% of all intracranial tumors, and with only 21 documented pediatric intrinsic brainstem cases in medical literature, very rarely has an intrinsic brainstem location. We detail the medical history, work-up, surgical management, and postoperative outcomes, contributing to the limited body of knowledge regarding this exceptional entity.</p>","PeriodicalId":94217,"journal":{"name":"Surgical neurology international","volume":"16 ","pages":"290"},"PeriodicalIF":0.0000,"publicationDate":"2025-07-18","publicationTypes":"Journal Article","fieldsOfStudy":null,"isOpenAccess":false,"openAccessPdf":"https://www.ncbi.nlm.nih.gov/pmc/articles/PMC12361696/pdf/","citationCount":"0","resultStr":"{\"title\":\"Intrinsic brainstem epidermoid cyst in childhood.\",\"authors\":\"Tybault Hollanders, Sarah Hendrickx, Edward Baert\",\"doi\":\"10.25259/SNI_198_2025\",\"DOIUrl\":null,\"url\":null,\"abstract\":\"<p><strong>Background: </strong>Epidermoid cysts are slow-growing, rare congenital lesions. They are most seen in the cerebellopontine angle, fourth ventricle, or parasellar regions. Patients typically become symptomatic between 20- and 40 years of age. We present a rare case of a symptomatic intrinsic brainstem epidermoid cyst in a 12-year-old girl with atypical radiological features.</p><p><strong>Case description: </strong>A 12-year-old girl presented with progressive gait disturbances, disequilibrium, diplopia due to right-sided abducens paresis, left-sided facial paresis (HB grade II), headaches, nausea, and vomiting over the past 6 months. Magnetic resonance imaging (MRI) revealed an intrinsic lesion of the brainstem not present on MRI 4 years prior. A microsurgical gross total resection, including resection of cyst wall, was performed. The pathology report diagnosed the lesion as an epidermoid cyst. The patient improved significantly after resection.</p><p><strong>Conclusion: </strong>This pathology represents <1% of all intracranial tumors, and with only 21 documented pediatric intrinsic brainstem cases in medical literature, very rarely has an intrinsic brainstem location. We detail the medical history, work-up, surgical management, and postoperative outcomes, contributing to the limited body of knowledge regarding this exceptional entity.</p>\",\"PeriodicalId\":94217,\"journal\":{\"name\":\"Surgical neurology international\",\"volume\":\"16 \",\"pages\":\"290\"},\"PeriodicalIF\":0.0000,\"publicationDate\":\"2025-07-18\",\"publicationTypes\":\"Journal Article\",\"fieldsOfStudy\":null,\"isOpenAccess\":false,\"openAccessPdf\":\"https://www.ncbi.nlm.nih.gov/pmc/articles/PMC12361696/pdf/\",\"citationCount\":\"0\",\"resultStr\":null,\"platform\":\"Semanticscholar\",\"paperid\":null,\"PeriodicalName\":\"Surgical neurology international\",\"FirstCategoryId\":\"1085\",\"ListUrlMain\":\"https://doi.org/10.25259/SNI_198_2025\",\"RegionNum\":0,\"RegionCategory\":null,\"ArticlePicture\":[],\"TitleCN\":null,\"AbstractTextCN\":null,\"PMCID\":null,\"EPubDate\":\"2025/1/1 0:00:00\",\"PubModel\":\"eCollection\",\"JCR\":\"\",\"JCRName\":\"\",\"Score\":null,\"Total\":0}","platform":"Semanticscholar","paperid":null,"PeriodicalName":"Surgical neurology international","FirstCategoryId":"1085","ListUrlMain":"https://doi.org/10.25259/SNI_198_2025","RegionNum":0,"RegionCategory":null,"ArticlePicture":[],"TitleCN":null,"AbstractTextCN":null,"PMCID":null,"EPubDate":"2025/1/1 0:00:00","PubModel":"eCollection","JCR":"","JCRName":"","Score":null,"Total":0}
引用次数: 0

摘要

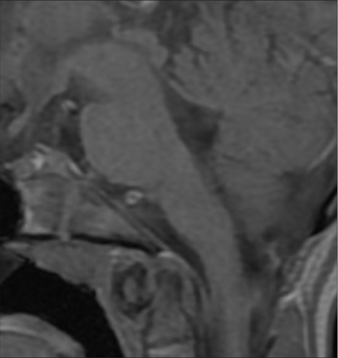
背景:表皮样囊肿是一种生长缓慢、罕见的先天性病变。最常见于桥小脑角、第四脑室或鞍旁区。患者通常在20至40岁之间出现症状。我们报告一例罕见的有症状的内源性脑干表皮样囊肿,发生于一名12岁的女孩,影像学表现不典型。病例描述:一名12岁女孩,在过去的6个月里表现为进行性步态障碍,不平衡,右侧外展肌轻瘫,左侧面部轻瘫(HB II级)导致的复视,头痛,恶心和呕吐。磁共振成像(MRI)显示脑干固有病变,4年前MRI未见。显微外科大体全切除,包括囊肿壁切除。病理报告诊断为表皮样囊肿。术后患者病情明显好转。结论:该病理表现为
本文章由计算机程序翻译,如有差异,请以英文原文为准。

Intrinsic brainstem epidermoid cyst in childhood.

Intrinsic brainstem epidermoid cyst in childhood.

Intrinsic brainstem epidermoid cyst in childhood.

Intrinsic brainstem epidermoid cyst in childhood.

Background: Epidermoid cysts are slow-growing, rare congenital lesions. They are most seen in the cerebellopontine angle, fourth ventricle, or parasellar regions. Patients typically become symptomatic between 20- and 40 years of age. We present a rare case of a symptomatic intrinsic brainstem epidermoid cyst in a 12-year-old girl with atypical radiological features.

Case description: A 12-year-old girl presented with progressive gait disturbances, disequilibrium, diplopia due to right-sided abducens paresis, left-sided facial paresis (HB grade II), headaches, nausea, and vomiting over the past 6 months. Magnetic resonance imaging (MRI) revealed an intrinsic lesion of the brainstem not present on MRI 4 years prior. A microsurgical gross total resection, including resection of cyst wall, was performed. The pathology report diagnosed the lesion as an epidermoid cyst. The patient improved significantly after resection.

Conclusion: This pathology represents <1% of all intracranial tumors, and with only 21 documented pediatric intrinsic brainstem cases in medical literature, very rarely has an intrinsic brainstem location. We detail the medical history, work-up, surgical management, and postoperative outcomes, contributing to the limited body of knowledge regarding this exceptional entity.

求助全文
通过发布文献求助,成功后即可免费获取论文全文。 去求助
来源期刊
自引率
0.00%
发文量
0
×
引用
GB/T 7714-2015
复制
MLA
复制
APA
复制
导出至
BibTeX EndNote RefMan NoteFirst NoteExpress
×
提示
您的信息不完整,为了账户安全,请先补充。
现在去补充
×
提示
您因"违规操作"
具体请查看互助需知
我知道了
×
提示
确定
请完成安全验证×
copy
已复制链接
快去分享给好友吧!
我知道了
右上角分享
点击右上角分享
0
联系我们:info@booksci.cn Book学术提供免费学术资源搜索服务,方便国内外学者检索中英文文献。致力于提供最便捷和优质的服务体验。 Copyright © 2023 布克学术 All rights reserved.
京ICP备2023020795号-1
ghs 京公网安备 11010802042870号
Book学术文献互助
Book学术文献互助群
群 号:604180095
Book学术官方微信