有机磷中毒致麻痹性肠梗阻1例。

Felix Pius Omullo, Nick Mutisya, Elisha Kinas, Thomas Kitheghe, Zamzam Hassan, Rynah Muhonja
{"title":"有机磷中毒致麻痹性肠梗阻1例。","authors":"Felix Pius Omullo, Nick Mutisya, Elisha Kinas, Thomas Kitheghe, Zamzam Hassan, Rynah Muhonja","doi":"10.5409/wjcp.v14.i3.106463","DOIUrl":null,"url":null,"abstract":"<p><strong>Background: </strong>Organophosphate (OP) poisoning is common in sub-Saharan Africa. It is associated with high mortality and morbidity. Affected individuals often exhibit cholinergic symptoms and respiratory distress. Moreover, other complications, such as pancreatitis, arrhythmias, and hepatic dysfunction, have been reported. However, paralytic ileus is an exceedingly rare complication.</p><p><strong>Case summary: </strong>We report a case of a 5-year-old boy who presented with altered sensorium and abdominal distension following suspected OP exposure. Physical examination and imaging revealed features of intestinal obstruction and neurological deficits. He was managed with atropine, pralidoxime, and other supportive measures and had a successful recovery. Paralytic ileus is an atypical complication of acute OP poisoning. The resultant intestinal obstruction manifests as cholinergic overactivity, leading to bowel dysmotility. This case emphasizes the need for awareness and prompt management of such atypical presentations, especially in the pediatric population.</p><p><strong>Conclusion: </strong>Timely recognition and multidisciplinary management of atypical presentations, such as paralytic ileus, are crucial in improving outcomes in pediatric OP poisoning.</p>","PeriodicalId":75338,"journal":{"name":"World journal of clinical pediatrics","volume":"14 3","pages":"106463"},"PeriodicalIF":0.0000,"publicationDate":"2025-09-09","publicationTypes":"Journal Article","fieldsOfStudy":null,"isOpenAccess":false,"openAccessPdf":"https://www.ncbi.nlm.nih.gov/pmc/articles/PMC12305092/pdf/","citationCount":"0","resultStr":"{\"title\":\"Organophosphate poisoning presenting with paralytic ileus: A case report.\",\"authors\":\"Felix Pius Omullo, Nick Mutisya, Elisha Kinas, Thomas Kitheghe, Zamzam Hassan, Rynah Muhonja\",\"doi\":\"10.5409/wjcp.v14.i3.106463\",\"DOIUrl\":null,\"url\":null,\"abstract\":\"<p><strong>Background: </strong>Organophosphate (OP) poisoning is common in sub-Saharan Africa. It is associated with high mortality and morbidity. Affected individuals often exhibit cholinergic symptoms and respiratory distress. Moreover, other complications, such as pancreatitis, arrhythmias, and hepatic dysfunction, have been reported. However, paralytic ileus is an exceedingly rare complication.</p><p><strong>Case summary: </strong>We report a case of a 5-year-old boy who presented with altered sensorium and abdominal distension following suspected OP exposure. Physical examination and imaging revealed features of intestinal obstruction and neurological deficits. He was managed with atropine, pralidoxime, and other supportive measures and had a successful recovery. Paralytic ileus is an atypical complication of acute OP poisoning. The resultant intestinal obstruction manifests as cholinergic overactivity, leading to bowel dysmotility. This case emphasizes the need for awareness and prompt management of such atypical presentations, especially in the pediatric population.</p><p><strong>Conclusion: </strong>Timely recognition and multidisciplinary management of atypical presentations, such as paralytic ileus, are crucial in improving outcomes in pediatric OP poisoning.</p>\",\"PeriodicalId\":75338,\"journal\":{\"name\":\"World journal of clinical pediatrics\",\"volume\":\"14 3\",\"pages\":\"106463\"},\"PeriodicalIF\":0.0000,\"publicationDate\":\"2025-09-09\",\"publicationTypes\":\"Journal Article\",\"fieldsOfStudy\":null,\"isOpenAccess\":false,\"openAccessPdf\":\"https://www.ncbi.nlm.nih.gov/pmc/articles/PMC12305092/pdf/\",\"citationCount\":\"0\",\"resultStr\":null,\"platform\":\"Semanticscholar\",\"paperid\":null,\"PeriodicalName\":\"World journal of clinical pediatrics\",\"FirstCategoryId\":\"1085\",\"ListUrlMain\":\"https://doi.org/10.5409/wjcp.v14.i3.106463\",\"RegionNum\":0,\"RegionCategory\":null,\"ArticlePicture\":[],\"TitleCN\":null,\"AbstractTextCN\":null,\"PMCID\":null,\"EPubDate\":\"\",\"PubModel\":\"\",\"JCR\":\"\",\"JCRName\":\"\",\"Score\":null,\"Total\":0}","platform":"Semanticscholar","paperid":null,"PeriodicalName":"World journal of clinical pediatrics","FirstCategoryId":"1085","ListUrlMain":"https://doi.org/10.5409/wjcp.v14.i3.106463","RegionNum":0,"RegionCategory":null,"ArticlePicture":[],"TitleCN":null,"AbstractTextCN":null,"PMCID":null,"EPubDate":"","PubModel":"","JCR":"","JCRName":"","Score":null,"Total":0}
引用次数: 0

摘要

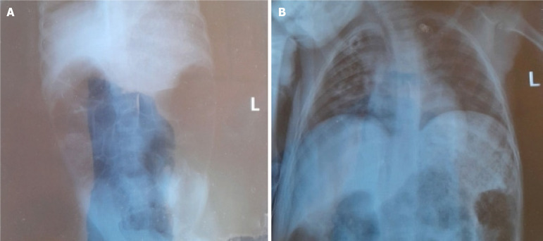
背景:有机磷(OP)中毒在撒哈拉以南非洲很常见。它与高死亡率和发病率有关。受影响的个体通常表现为胆碱能症状和呼吸窘迫。此外,其他并发症如胰腺炎、心律失常和肝功能障碍也有报道。然而,麻痹性肠梗阻是一种极为罕见的并发症。病例总结:我们报告一例5岁男孩,在怀疑OP暴露后出现感觉改变和腹胀。体格检查及影像学表现为肠梗阻及神经功能障碍。患者给予阿托品、哌拉西肟和其他支持性措施治疗,并成功恢复。麻痹性肠梗阻是急性OP中毒的非典型并发症。由此产生的肠梗阻表现为胆碱能过度活跃,导致肠蠕动障碍。本病例强调需要认识和及时管理这种非典型的表现,特别是在儿科人群。结论:及时识别和多学科管理非典型表现,如麻痹性肠梗阻,是改善儿童OP中毒结局的关键。
本文章由计算机程序翻译,如有差异,请以英文原文为准。

Organophosphate poisoning presenting with paralytic ileus: A case report.

Organophosphate poisoning presenting with paralytic ileus: A case report.

Background: Organophosphate (OP) poisoning is common in sub-Saharan Africa. It is associated with high mortality and morbidity. Affected individuals often exhibit cholinergic symptoms and respiratory distress. Moreover, other complications, such as pancreatitis, arrhythmias, and hepatic dysfunction, have been reported. However, paralytic ileus is an exceedingly rare complication.

Case summary: We report a case of a 5-year-old boy who presented with altered sensorium and abdominal distension following suspected OP exposure. Physical examination and imaging revealed features of intestinal obstruction and neurological deficits. He was managed with atropine, pralidoxime, and other supportive measures and had a successful recovery. Paralytic ileus is an atypical complication of acute OP poisoning. The resultant intestinal obstruction manifests as cholinergic overactivity, leading to bowel dysmotility. This case emphasizes the need for awareness and prompt management of such atypical presentations, especially in the pediatric population.

Conclusion: Timely recognition and multidisciplinary management of atypical presentations, such as paralytic ileus, are crucial in improving outcomes in pediatric OP poisoning.

求助全文
通过发布文献求助,成功后即可免费获取论文全文。 去求助
来源期刊
CiteScore
3.20
自引率
0.00%
发文量
0
×
引用
GB/T 7714-2015
复制
MLA
复制
APA
复制
导出至
BibTeX EndNote RefMan NoteFirst NoteExpress
×
提示
您的信息不完整,为了账户安全,请先补充。
现在去补充
×
提示
您因"违规操作"
具体请查看互助需知
我知道了
×
提示
确定
请完成安全验证×
copy
已复制链接
快去分享给好友吧!
我知道了
右上角分享
点击右上角分享
0
联系我们:info@booksci.cn Book学术提供免费学术资源搜索服务,方便国内外学者检索中英文文献。致力于提供最便捷和优质的服务体验。 Copyright © 2023 布克学术 All rights reserved.
京ICP备2023020795号-1
ghs 京公网安备 11010802042870号
Book学术文献互助
Book学术文献互助群
群 号:604180095
Book学术官方微信