高血糖对猪肩袖肌腱中EGR1表达的调节

Journal of orthopaedics and sports medicine Pub Date : 2025-01-01 Epub Date: 2025-07-17 DOI:10.26502/josm.511500212
Joey Day, Resmi Rajalekshmi, Devendra K Agrawal
{"title":"高血糖对猪肩袖肌腱中EGR1表达的调节","authors":"Joey Day, Resmi Rajalekshmi, Devendra K Agrawal","doi":"10.26502/josm.511500212","DOIUrl":null,"url":null,"abstract":"<p><p>Diabetes mellitus is known to impair tendon structure and function, yet the molecular mechanisms linking hyperglycemia to tendon degeneration remain poorly understood. This study investigated the expression of early growth response-1 (EGR1) and its association with toll-like receptor 4 (TLR4) and nuclear factor kappa B (NF-κB) signaling pathways in the rotator cuff tendons of hyperglycemic swine, a model chosen for its anatomical similarity to humans. Rotator cuff tendon tissues were collected from normal and hyperglycemic swine and analyzed using histology, qRT-PCR, Western blotting, and immunohistochemistry. Histological evaluation revealed altered tenocyte morphology and increased cellularity in hyperglycemic tendons. qRT-PCR results showed significant transcriptional upregulation of EGR1, TLR4, and NF-κB in hyperglycemic samples, suggesting activation of inflammatory and stress-response pathways. However, protein analysis revealed a non-significant decrease in EGR1 levels and modest increases in TLR4 and NF-κB, indicating possible post-transcriptional regulation. This discrepancy between mRNA and protein levels of EGR1 may be attributed to altered stress granule dynamics under hyperglycemic conditions. These findings elucidate a novel interplay among metabolic stress, innate immune signaling, and translational regulation in tendon tissue, proposing that targeting TLR4 signaling or stress granule formation may offer therapeutic potential for preserving tendon integrity in diabetic patients.</p>","PeriodicalId":73881,"journal":{"name":"Journal of orthopaedics and sports medicine","volume":"7 3","pages":"337-344"},"PeriodicalIF":0.0000,"publicationDate":"2025-01-01","publicationTypes":"Journal Article","fieldsOfStudy":null,"isOpenAccess":false,"openAccessPdf":"https://www.ncbi.nlm.nih.gov/pmc/articles/PMC12373146/pdf/","citationCount":"0","resultStr":"{\"title\":\"Modulation of EGR1 Expression by Hyperglycemia in Swine Rotator Cuff Tendons.\",\"authors\":\"Joey Day, Resmi Rajalekshmi, Devendra K Agrawal\",\"doi\":\"10.26502/josm.511500212\",\"DOIUrl\":null,\"url\":null,\"abstract\":\"<p><p>Diabetes mellitus is known to impair tendon structure and function, yet the molecular mechanisms linking hyperglycemia to tendon degeneration remain poorly understood. This study investigated the expression of early growth response-1 (EGR1) and its association with toll-like receptor 4 (TLR4) and nuclear factor kappa B (NF-κB) signaling pathways in the rotator cuff tendons of hyperglycemic swine, a model chosen for its anatomical similarity to humans. Rotator cuff tendon tissues were collected from normal and hyperglycemic swine and analyzed using histology, qRT-PCR, Western blotting, and immunohistochemistry. Histological evaluation revealed altered tenocyte morphology and increased cellularity in hyperglycemic tendons. qRT-PCR results showed significant transcriptional upregulation of EGR1, TLR4, and NF-κB in hyperglycemic samples, suggesting activation of inflammatory and stress-response pathways. However, protein analysis revealed a non-significant decrease in EGR1 levels and modest increases in TLR4 and NF-κB, indicating possible post-transcriptional regulation. This discrepancy between mRNA and protein levels of EGR1 may be attributed to altered stress granule dynamics under hyperglycemic conditions. These findings elucidate a novel interplay among metabolic stress, innate immune signaling, and translational regulation in tendon tissue, proposing that targeting TLR4 signaling or stress granule formation may offer therapeutic potential for preserving tendon integrity in diabetic patients.</p>\",\"PeriodicalId\":73881,\"journal\":{\"name\":\"Journal of orthopaedics and sports medicine\",\"volume\":\"7 3\",\"pages\":\"337-344\"},\"PeriodicalIF\":0.0000,\"publicationDate\":\"2025-01-01\",\"publicationTypes\":\"Journal Article\",\"fieldsOfStudy\":null,\"isOpenAccess\":false,\"openAccessPdf\":\"https://www.ncbi.nlm.nih.gov/pmc/articles/PMC12373146/pdf/\",\"citationCount\":\"0\",\"resultStr\":null,\"platform\":\"Semanticscholar\",\"paperid\":null,\"PeriodicalName\":\"Journal of orthopaedics and sports medicine\",\"FirstCategoryId\":\"1085\",\"ListUrlMain\":\"https://doi.org/10.26502/josm.511500212\",\"RegionNum\":0,\"RegionCategory\":null,\"ArticlePicture\":[],\"TitleCN\":null,\"AbstractTextCN\":null,\"PMCID\":null,\"EPubDate\":\"2025/7/17 0:00:00\",\"PubModel\":\"Epub\",\"JCR\":\"\",\"JCRName\":\"\",\"Score\":null,\"Total\":0}","platform":"Semanticscholar","paperid":null,"PeriodicalName":"Journal of orthopaedics and sports medicine","FirstCategoryId":"1085","ListUrlMain":"https://doi.org/10.26502/josm.511500212","RegionNum":0,"RegionCategory":null,"ArticlePicture":[],"TitleCN":null,"AbstractTextCN":null,"PMCID":null,"EPubDate":"2025/7/17 0:00:00","PubModel":"Epub","JCR":"","JCRName":"","Score":null,"Total":0}
引用次数: 0

摘要

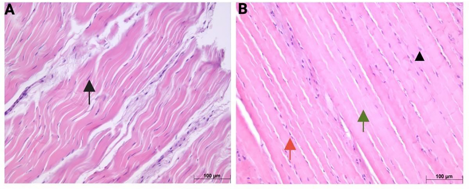
众所周知,糖尿病会损害肌腱的结构和功能,但高血糖与肌腱变性之间的分子机制尚不清楚。本研究研究了早期生长反应-1 (EGR1)的表达及其与toll样受体4 (TLR4)和核因子κB (NF-κB)信号通路在高血糖猪肩袖肌腱中的关系。高血糖猪是一种与人类解剖结构相似的模型。收集正常和高血糖猪的肌腱组织,采用组织学、qRT-PCR、Western blotting和免疫组织化学进行分析。组织学评估显示,高血糖肌腱的肌腱细胞形态改变,细胞增多。qRT-PCR结果显示,高血糖样品中EGR1、TLR4和NF-κB的转录显著上调,提示炎症和应激反应通路被激活。然而,蛋白分析显示EGR1水平不显著降低,TLR4和NF-κB水平适度升高,表明可能存在转录后调控。这种EGR1 mRNA和蛋白水平之间的差异可能归因于高血糖条件下应激颗粒动力学的改变。这些发现阐明了代谢应激、先天免疫信号和肌腱组织翻译调节之间的一种新的相互作用,表明靶向TLR4信号或应激颗粒形成可能为保护糖尿病患者肌腱完整性提供治疗潜力。
本文章由计算机程序翻译,如有差异,请以英文原文为准。

Modulation of EGR1 Expression by Hyperglycemia in Swine Rotator Cuff Tendons.

Modulation of EGR1 Expression by Hyperglycemia in Swine Rotator Cuff Tendons.

Modulation of EGR1 Expression by Hyperglycemia in Swine Rotator Cuff Tendons.

Modulation of EGR1 Expression by Hyperglycemia in Swine Rotator Cuff Tendons.

Diabetes mellitus is known to impair tendon structure and function, yet the molecular mechanisms linking hyperglycemia to tendon degeneration remain poorly understood. This study investigated the expression of early growth response-1 (EGR1) and its association with toll-like receptor 4 (TLR4) and nuclear factor kappa B (NF-κB) signaling pathways in the rotator cuff tendons of hyperglycemic swine, a model chosen for its anatomical similarity to humans. Rotator cuff tendon tissues were collected from normal and hyperglycemic swine and analyzed using histology, qRT-PCR, Western blotting, and immunohistochemistry. Histological evaluation revealed altered tenocyte morphology and increased cellularity in hyperglycemic tendons. qRT-PCR results showed significant transcriptional upregulation of EGR1, TLR4, and NF-κB in hyperglycemic samples, suggesting activation of inflammatory and stress-response pathways. However, protein analysis revealed a non-significant decrease in EGR1 levels and modest increases in TLR4 and NF-κB, indicating possible post-transcriptional regulation. This discrepancy between mRNA and protein levels of EGR1 may be attributed to altered stress granule dynamics under hyperglycemic conditions. These findings elucidate a novel interplay among metabolic stress, innate immune signaling, and translational regulation in tendon tissue, proposing that targeting TLR4 signaling or stress granule formation may offer therapeutic potential for preserving tendon integrity in diabetic patients.

求助全文
通过发布文献求助,成功后即可免费获取论文全文。 去求助
来源期刊
自引率
0.00%
发文量
0
×
引用
GB/T 7714-2015
复制
MLA
复制
APA
复制
导出至
BibTeX EndNote RefMan NoteFirst NoteExpress
×
提示
您的信息不完整,为了账户安全,请先补充。
现在去补充
×
提示
您因"违规操作"
具体请查看互助需知
我知道了
×
提示
确定
请完成安全验证×
copy
已复制链接
快去分享给好友吧!
我知道了
右上角分享
点击右上角分享
0
联系我们:info@booksci.cn Book学术提供免费学术资源搜索服务,方便国内外学者检索中英文文献。致力于提供最便捷和优质的服务体验。 Copyright © 2023 布克学术 All rights reserved.
京ICP备2023020795号-1
ghs 京公网安备 11010802042870号
Book学术文献互助
Book学术文献互助群
群 号:604180095
Book学术官方微信