阵发性心房颤动左房力学和重构:引入EASE评分用于消融前风险预测。

IF 4.4 Q1 Medicine
Fulvio Cacciapuoti, Ilaria Caso, Rossella Gottilla, Fabio Minicucci, Mario Volpicelli, Pio Caso
{"title":"阵发性心房颤动左房力学和重构:引入EASE评分用于消融前风险预测。","authors":"Fulvio Cacciapuoti, Ilaria Caso, Rossella Gottilla, Fabio Minicucci, Mario Volpicelli, Pio Caso","doi":"10.3390/medsci13030131","DOIUrl":null,"url":null,"abstract":"<p><p><b>Background:</b> Paroxysmal atrial fibrillation (PAF) is a common arrhythmia often treated with catheter ablation, particularly pulmonary vein isolation (PVI). However, recurrence remains frequent and is often linked to unrecognized structural and functional remodeling of the left atrium. <b>Methods:</b> We introduce the Echocardiographic Atrial Strain and conduction Evaluation (EASE) score as a theoretical, noninvasive model to stratify recurrence risk in patients undergoing catheter ablation for PAF. The score is based on the hypothesis that integrated echocardiographic parameters can reflect the extent of atrial remodeling relevant to ablation outcomes. <b>Results:</b> The EASE score combines six echocardiographic metrics-left atrial reservoir strain (LASr), atrial conduction time (PA-TDI), left atrial volume index (LAVI), stiffness index (E/e'/LASr), E/e' ratio, and contractile strain (LASct)-each representing structural, electrical, or mechanical remodeling. The total score ranges from 0 to 12, stratifying patients into low, intermediate, and high-risk categories for arrhythmia recurrence. Preliminary retrospective data suggest a significant association between higher EASE scores and increased recurrence rates following ablation. <b>Conclusions:</b> The EASE score offers a biologically plausible, multidimensional framework for noninvasive risk prediction in PAF ablation. Prospective studies are warranted to validate its clinical utility and refine its structure.</p>","PeriodicalId":74152,"journal":{"name":"Medical sciences (Basel, Switzerland)","volume":"13 3","pages":""},"PeriodicalIF":4.4000,"publicationDate":"2025-08-14","publicationTypes":"Journal Article","fieldsOfStudy":null,"isOpenAccess":false,"openAccessPdf":"https://www.ncbi.nlm.nih.gov/pmc/articles/PMC12372132/pdf/","citationCount":"0","resultStr":"{\"title\":\"Left Atrial Mechanics and Remodeling in Paroxysmal Atrial Fibrillation: Introducing the EASE Score for Pre-Ablation Risk Prediction.\",\"authors\":\"Fulvio Cacciapuoti, Ilaria Caso, Rossella Gottilla, Fabio Minicucci, Mario Volpicelli, Pio Caso\",\"doi\":\"10.3390/medsci13030131\",\"DOIUrl\":null,\"url\":null,\"abstract\":\"<p><p><b>Background:</b> Paroxysmal atrial fibrillation (PAF) is a common arrhythmia often treated with catheter ablation, particularly pulmonary vein isolation (PVI). However, recurrence remains frequent and is often linked to unrecognized structural and functional remodeling of the left atrium. <b>Methods:</b> We introduce the Echocardiographic Atrial Strain and conduction Evaluation (EASE) score as a theoretical, noninvasive model to stratify recurrence risk in patients undergoing catheter ablation for PAF. The score is based on the hypothesis that integrated echocardiographic parameters can reflect the extent of atrial remodeling relevant to ablation outcomes. <b>Results:</b> The EASE score combines six echocardiographic metrics-left atrial reservoir strain (LASr), atrial conduction time (PA-TDI), left atrial volume index (LAVI), stiffness index (E/e'/LASr), E/e' ratio, and contractile strain (LASct)-each representing structural, electrical, or mechanical remodeling. The total score ranges from 0 to 12, stratifying patients into low, intermediate, and high-risk categories for arrhythmia recurrence. Preliminary retrospective data suggest a significant association between higher EASE scores and increased recurrence rates following ablation. <b>Conclusions:</b> The EASE score offers a biologically plausible, multidimensional framework for noninvasive risk prediction in PAF ablation. Prospective studies are warranted to validate its clinical utility and refine its structure.</p>\",\"PeriodicalId\":74152,\"journal\":{\"name\":\"Medical sciences (Basel, Switzerland)\",\"volume\":\"13 3\",\"pages\":\"\"},\"PeriodicalIF\":4.4000,\"publicationDate\":\"2025-08-14\",\"publicationTypes\":\"Journal Article\",\"fieldsOfStudy\":null,\"isOpenAccess\":false,\"openAccessPdf\":\"https://www.ncbi.nlm.nih.gov/pmc/articles/PMC12372132/pdf/\",\"citationCount\":\"0\",\"resultStr\":null,\"platform\":\"Semanticscholar\",\"paperid\":null,\"PeriodicalName\":\"Medical sciences (Basel, Switzerland)\",\"FirstCategoryId\":\"1085\",\"ListUrlMain\":\"https://doi.org/10.3390/medsci13030131\",\"RegionNum\":0,\"RegionCategory\":null,\"ArticlePicture\":[],\"TitleCN\":null,\"AbstractTextCN\":null,\"PMCID\":null,\"EPubDate\":\"\",\"PubModel\":\"\",\"JCR\":\"Q1\",\"JCRName\":\"Medicine\",\"Score\":null,\"Total\":0}","platform":"Semanticscholar","paperid":null,"PeriodicalName":"Medical sciences (Basel, Switzerland)","FirstCategoryId":"1085","ListUrlMain":"https://doi.org/10.3390/medsci13030131","RegionNum":0,"RegionCategory":null,"ArticlePicture":[],"TitleCN":null,"AbstractTextCN":null,"PMCID":null,"EPubDate":"","PubModel":"","JCR":"Q1","JCRName":"Medicine","Score":null,"Total":0}
引用次数: 0

摘要

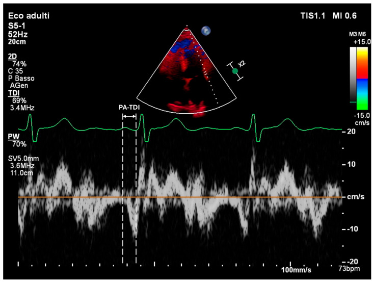
背景:阵发性心房颤动(PAF)是一种常见的心律失常,常采用导管消融治疗,尤其是肺静脉隔离(PVI)。然而,复发仍然很频繁,并且通常与未被识别的左心房结构和功能重塑有关。方法:我们引入超声心动图心房应变和传导评估(EASE)评分作为一种理论的、无创的模型,对导管消融治疗PAF患者的复发风险进行分层。该评分基于综合超声心动图参数能够反映与消融结果相关的心房重构程度的假设。结果:EASE评分结合了六项超声心动图指标——左心房储层应变(LASr)、心房传导时间(PA-TDI)、左心房容积指数(LAVI)、刚度指数(E/ E′/LASr)、E/ E′比和收缩应变(LASct)——每项指标都代表了结构、电或机械重构。总分从0到12分,将患者分为心律失常复发的低、中、高风险三类。初步回顾性数据显示,较高的EASE评分与消融后复发率增加之间存在显著关联。结论:EASE评分为PAF消融的无创风险预测提供了生物学上合理的多维框架。有必要进行前瞻性研究以验证其临床应用并完善其结构。
本文章由计算机程序翻译,如有差异,请以英文原文为准。

Left Atrial Mechanics and Remodeling in Paroxysmal Atrial Fibrillation: Introducing the EASE Score for Pre-Ablation Risk Prediction.

Left Atrial Mechanics and Remodeling in Paroxysmal Atrial Fibrillation: Introducing the EASE Score for Pre-Ablation Risk Prediction.

Left Atrial Mechanics and Remodeling in Paroxysmal Atrial Fibrillation: Introducing the EASE Score for Pre-Ablation Risk Prediction.

Left Atrial Mechanics and Remodeling in Paroxysmal Atrial Fibrillation: Introducing the EASE Score for Pre-Ablation Risk Prediction.

Background: Paroxysmal atrial fibrillation (PAF) is a common arrhythmia often treated with catheter ablation, particularly pulmonary vein isolation (PVI). However, recurrence remains frequent and is often linked to unrecognized structural and functional remodeling of the left atrium. Methods: We introduce the Echocardiographic Atrial Strain and conduction Evaluation (EASE) score as a theoretical, noninvasive model to stratify recurrence risk in patients undergoing catheter ablation for PAF. The score is based on the hypothesis that integrated echocardiographic parameters can reflect the extent of atrial remodeling relevant to ablation outcomes. Results: The EASE score combines six echocardiographic metrics-left atrial reservoir strain (LASr), atrial conduction time (PA-TDI), left atrial volume index (LAVI), stiffness index (E/e'/LASr), E/e' ratio, and contractile strain (LASct)-each representing structural, electrical, or mechanical remodeling. The total score ranges from 0 to 12, stratifying patients into low, intermediate, and high-risk categories for arrhythmia recurrence. Preliminary retrospective data suggest a significant association between higher EASE scores and increased recurrence rates following ablation. Conclusions: The EASE score offers a biologically plausible, multidimensional framework for noninvasive risk prediction in PAF ablation. Prospective studies are warranted to validate its clinical utility and refine its structure.

求助全文
通过发布文献求助,成功后即可免费获取论文全文。 去求助
来源期刊
CiteScore
9.00
自引率
0.00%
发文量
0
审稿时长
6 weeks
×
引用
GB/T 7714-2015
复制
MLA
复制
APA
复制
导出至
BibTeX EndNote RefMan NoteFirst NoteExpress
×
提示
您的信息不完整,为了账户安全,请先补充。
现在去补充
×
提示
您因"违规操作"
具体请查看互助需知
我知道了
×
提示
确定
请完成安全验证×
copy
已复制链接
快去分享给好友吧!
我知道了
右上角分享
点击右上角分享
0
联系我们:info@booksci.cn Book学术提供免费学术资源搜索服务,方便国内外学者检索中英文文献。致力于提供最便捷和优质的服务体验。 Copyright © 2023 布克学术 All rights reserved.
京ICP备2023020795号-1
ghs 京公网安备 11010802042870号
Book学术文献互助
Book学术文献互助群
群 号:604180095
Book学术官方微信