包括胫骨和腓骨的骨纤维结构不良:一种罕见的坎帕纳奇型表现。

IF 1.3 4区 医学 Q4 RADIOLOGY, NUCLEAR MEDICINE & MEDICAL IMAGING
Journal of the Belgian Society of Radiology Pub Date : 2025-08-28 eCollection Date: 2025-01-01 DOI:10.5334/jbsr.4060
Caroline Chabot, Daniel Janssens
{"title":"包括胫骨和腓骨的骨纤维结构不良:一种罕见的坎帕纳奇型表现。","authors":"Caroline Chabot, Daniel Janssens","doi":"10.5334/jbsr.4060","DOIUrl":null,"url":null,"abstract":"<p><p><i>Teaching point:</i> Osteofibrous dysplasia (OFD) is a rare benign fibro‑osseous lesion primarily affecting the tibial cortex in children and adolescents; simultaneous involvement of the fibula is exceptional and may mimic more aggressive tumors such as adamantinoma.</p>","PeriodicalId":55987,"journal":{"name":"Journal of the Belgian Society of Radiology","volume":"109 1","pages":"36"},"PeriodicalIF":1.3000,"publicationDate":"2025-08-28","publicationTypes":"Journal Article","fieldsOfStudy":null,"isOpenAccess":false,"openAccessPdf":"https://www.ncbi.nlm.nih.gov/pmc/articles/PMC12396180/pdf/","citationCount":"0","resultStr":"{\"title\":\"Osteofibrous Dysplasia Involving Both Tibia and Fibula: A Rare Campanacci‑Type Presentation.\",\"authors\":\"Caroline Chabot, Daniel Janssens\",\"doi\":\"10.5334/jbsr.4060\",\"DOIUrl\":null,\"url\":null,\"abstract\":\"<p><p><i>Teaching point:</i> Osteofibrous dysplasia (OFD) is a rare benign fibro‑osseous lesion primarily affecting the tibial cortex in children and adolescents; simultaneous involvement of the fibula is exceptional and may mimic more aggressive tumors such as adamantinoma.</p>\",\"PeriodicalId\":55987,\"journal\":{\"name\":\"Journal of the Belgian Society of Radiology\",\"volume\":\"109 1\",\"pages\":\"36\"},\"PeriodicalIF\":1.3000,\"publicationDate\":\"2025-08-28\",\"publicationTypes\":\"Journal Article\",\"fieldsOfStudy\":null,\"isOpenAccess\":false,\"openAccessPdf\":\"https://www.ncbi.nlm.nih.gov/pmc/articles/PMC12396180/pdf/\",\"citationCount\":\"0\",\"resultStr\":null,\"platform\":\"Semanticscholar\",\"paperid\":null,\"PeriodicalName\":\"Journal of the Belgian Society of Radiology\",\"FirstCategoryId\":\"3\",\"ListUrlMain\":\"https://doi.org/10.5334/jbsr.4060\",\"RegionNum\":4,\"RegionCategory\":\"医学\",\"ArticlePicture\":[],\"TitleCN\":null,\"AbstractTextCN\":null,\"PMCID\":null,\"EPubDate\":\"2025/1/1 0:00:00\",\"PubModel\":\"eCollection\",\"JCR\":\"Q4\",\"JCRName\":\"RADIOLOGY, NUCLEAR MEDICINE & MEDICAL IMAGING\",\"Score\":null,\"Total\":0}","platform":"Semanticscholar","paperid":null,"PeriodicalName":"Journal of the Belgian Society of Radiology","FirstCategoryId":"3","ListUrlMain":"https://doi.org/10.5334/jbsr.4060","RegionNum":4,"RegionCategory":"医学","ArticlePicture":[],"TitleCN":null,"AbstractTextCN":null,"PMCID":null,"EPubDate":"2025/1/1 0:00:00","PubModel":"eCollection","JCR":"Q4","JCRName":"RADIOLOGY, NUCLEAR MEDICINE & MEDICAL IMAGING","Score":null,"Total":0}
引用次数: 0

摘要

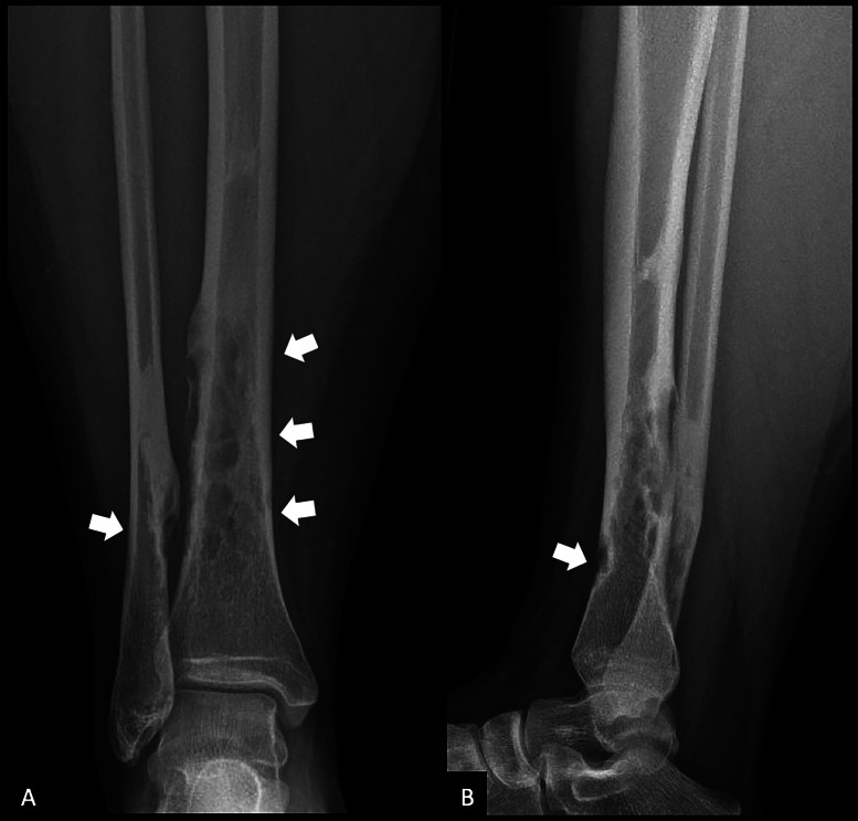
教学点:骨纤维结构不良(OFD)是一种罕见的良性纤维骨性病变,主要影响儿童和青少年的胫骨皮质;腓骨同时受累是罕见的,可能类似于更具侵袭性的肿瘤,如adamantinoma。
本文章由计算机程序翻译,如有差异,请以英文原文为准。

Osteofibrous Dysplasia Involving Both Tibia and Fibula: A Rare Campanacci‑Type Presentation.

Osteofibrous Dysplasia Involving Both Tibia and Fibula: A Rare Campanacci‑Type Presentation.

Osteofibrous Dysplasia Involving Both Tibia and Fibula: A Rare Campanacci‑Type Presentation.

Osteofibrous Dysplasia Involving Both Tibia and Fibula: A Rare Campanacci‑Type Presentation.

Teaching point: Osteofibrous dysplasia (OFD) is a rare benign fibro‑osseous lesion primarily affecting the tibial cortex in children and adolescents; simultaneous involvement of the fibula is exceptional and may mimic more aggressive tumors such as adamantinoma.

求助全文
通过发布文献求助,成功后即可免费获取论文全文。 去求助
来源期刊
Journal of the Belgian Society of Radiology
Journal of the Belgian Society of Radiology Medicine-Radiology, Nuclear Medicine and Imaging
CiteScore
0.70
自引率
5.00%
发文量
96
期刊介绍: The purpose of the Journal of the Belgian Society of Radiology is the publication of articles dealing with diagnostic and interventional radiology, related imaging techniques, allied sciences, and continuing education.
×
引用
GB/T 7714-2015
复制
MLA
复制
APA
复制
导出至
BibTeX EndNote RefMan NoteFirst NoteExpress
×
提示
您的信息不完整,为了账户安全,请先补充。
现在去补充
×
提示
您因"违规操作"
具体请查看互助需知
我知道了
×
提示
确定
请完成安全验证×
copy
已复制链接
快去分享给好友吧!
我知道了
右上角分享
点击右上角分享
0
联系我们:info@booksci.cn Book学术提供免费学术资源搜索服务,方便国内外学者检索中英文文献。致力于提供最便捷和优质的服务体验。 Copyright © 2023 布克学术 All rights reserved.
京ICP备2023020795号-1
ghs 京公网安备 11010802042870号
Book学术文献互助
Book学术文献互助群
群 号:604180095
Book学术官方微信