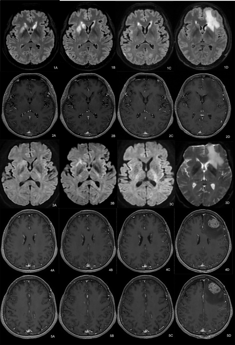
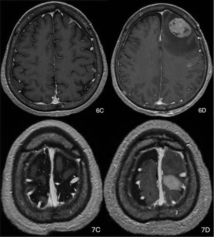
原发性中枢神经系统b细胞淋巴瘤表现为基底神经节波动和皮质病变。

IF 1.3 4区 医学 Q4 RADIOLOGY, NUCLEAR MEDICINE & MEDICAL IMAGING
Journal of the Belgian Society of Radiology Pub Date : 2025-08-18 eCollection Date: 2025-01-01 DOI:10.5334/jbsr.4044
Christophe Sonck, Jef Huyskens
{"title":"原发性中枢神经系统b细胞淋巴瘤表现为基底神经节波动和皮质病变。","authors":"Christophe Sonck, Jef Huyskens","doi":"10.5334/jbsr.4044","DOIUrl":null,"url":null,"abstract":"<p><p>A 68-year-old woman presented with progressive hemiparesis and dysphagia, initially presumed to have subacute stroke. Serial MRI revealed fluctuating FLAIR hyperintensities and enhancing lesions in the basal ganglia and cortex, ultimately leading to the diagnosis of high-grade primary CNS B-cell lymphoma. The case highlights the importance of integrating clinical evolution with imaging features in atypical neurological presentations. <i>Teaching point:</i> In cases of fluctuating FLAIR hyperintensity and contrast-enhancing brain lesions, primary CNS lymphoma should be considered, even in the absence of typical imaging features.</p>","PeriodicalId":55987,"journal":{"name":"Journal of the Belgian Society of Radiology","volume":"109 1","pages":"33"},"PeriodicalIF":1.3000,"publicationDate":"2025-08-18","publicationTypes":"Journal Article","fieldsOfStudy":null,"isOpenAccess":false,"openAccessPdf":"https://www.ncbi.nlm.nih.gov/pmc/articles/PMC12372652/pdf/","citationCount":"0","resultStr":"{\"title\":\"Primary Central Nervous System B-Cell Lymphoma Presenting with Fluctuating Basal Ganglia and Cortical Lesions.\",\"authors\":\"Christophe Sonck, Jef Huyskens\",\"doi\":\"10.5334/jbsr.4044\",\"DOIUrl\":null,\"url\":null,\"abstract\":\"<p><p>A 68-year-old woman presented with progressive hemiparesis and dysphagia, initially presumed to have subacute stroke. Serial MRI revealed fluctuating FLAIR hyperintensities and enhancing lesions in the basal ganglia and cortex, ultimately leading to the diagnosis of high-grade primary CNS B-cell lymphoma. The case highlights the importance of integrating clinical evolution with imaging features in atypical neurological presentations. <i>Teaching point:</i> In cases of fluctuating FLAIR hyperintensity and contrast-enhancing brain lesions, primary CNS lymphoma should be considered, even in the absence of typical imaging features.</p>\",\"PeriodicalId\":55987,\"journal\":{\"name\":\"Journal of the Belgian Society of Radiology\",\"volume\":\"109 1\",\"pages\":\"33\"},\"PeriodicalIF\":1.3000,\"publicationDate\":\"2025-08-18\",\"publicationTypes\":\"Journal Article\",\"fieldsOfStudy\":null,\"isOpenAccess\":false,\"openAccessPdf\":\"https://www.ncbi.nlm.nih.gov/pmc/articles/PMC12372652/pdf/\",\"citationCount\":\"0\",\"resultStr\":null,\"platform\":\"Semanticscholar\",\"paperid\":null,\"PeriodicalName\":\"Journal of the Belgian Society of Radiology\",\"FirstCategoryId\":\"3\",\"ListUrlMain\":\"https://doi.org/10.5334/jbsr.4044\",\"RegionNum\":4,\"RegionCategory\":\"医学\",\"ArticlePicture\":[],\"TitleCN\":null,\"AbstractTextCN\":null,\"PMCID\":null,\"EPubDate\":\"2025/1/1 0:00:00\",\"PubModel\":\"eCollection\",\"JCR\":\"Q4\",\"JCRName\":\"RADIOLOGY, NUCLEAR MEDICINE & MEDICAL IMAGING\",\"Score\":null,\"Total\":0}","platform":"Semanticscholar","paperid":null,"PeriodicalName":"Journal of the Belgian Society of Radiology","FirstCategoryId":"3","ListUrlMain":"https://doi.org/10.5334/jbsr.4044","RegionNum":4,"RegionCategory":"医学","ArticlePicture":[],"TitleCN":null,"AbstractTextCN":null,"PMCID":null,"EPubDate":"2025/1/1 0:00:00","PubModel":"eCollection","JCR":"Q4","JCRName":"RADIOLOGY, NUCLEAR MEDICINE & MEDICAL IMAGING","Score":null,"Total":0}
引用次数: 0

摘要

一名68岁女性,表现为进行性偏瘫和吞咽困难,最初推测为亚急性中风。连续MRI显示波动的FLAIR高强度和基底节区和皮层的强化病变,最终诊断为原发性中枢神经系统b细胞淋巴瘤。该病例强调了将临床演变与非典型神经学表现的影像学特征相结合的重要性。教学点:在FLAIR高强度波动和增强脑病变的情况下,即使没有典型的影像学特征,也应考虑原发性中枢神经系统淋巴瘤。
本文章由计算机程序翻译,如有差异,请以英文原文为准。

Primary Central Nervous System B-Cell Lymphoma Presenting with Fluctuating Basal Ganglia and Cortical Lesions.

Primary Central Nervous System B-Cell Lymphoma Presenting with Fluctuating Basal Ganglia and Cortical Lesions.

Primary Central Nervous System B-Cell Lymphoma Presenting with Fluctuating Basal Ganglia and Cortical Lesions.

A 68-year-old woman presented with progressive hemiparesis and dysphagia, initially presumed to have subacute stroke. Serial MRI revealed fluctuating FLAIR hyperintensities and enhancing lesions in the basal ganglia and cortex, ultimately leading to the diagnosis of high-grade primary CNS B-cell lymphoma. The case highlights the importance of integrating clinical evolution with imaging features in atypical neurological presentations. Teaching point: In cases of fluctuating FLAIR hyperintensity and contrast-enhancing brain lesions, primary CNS lymphoma should be considered, even in the absence of typical imaging features.

求助全文
通过发布文献求助,成功后即可免费获取论文全文。 去求助
来源期刊
Journal of the Belgian Society of Radiology
Journal of the Belgian Society of Radiology Medicine-Radiology, Nuclear Medicine and Imaging
CiteScore
0.70
自引率
5.00%
发文量
96
期刊介绍: The purpose of the Journal of the Belgian Society of Radiology is the publication of articles dealing with diagnostic and interventional radiology, related imaging techniques, allied sciences, and continuing education.
×
引用
GB/T 7714-2015
复制
MLA
复制
APA
复制
导出至
BibTeX EndNote RefMan NoteFirst NoteExpress
×
提示
您的信息不完整,为了账户安全,请先补充。
现在去补充
×
提示
您因"违规操作"
具体请查看互助需知
我知道了
×
提示
确定
请完成安全验证×
copy
已复制链接
快去分享给好友吧!
我知道了
右上角分享
点击右上角分享
0
联系我们:info@booksci.cn Book学术提供免费学术资源搜索服务,方便国内外学者检索中英文文献。致力于提供最便捷和优质的服务体验。 Copyright © 2023 布克学术 All rights reserved.
京ICP备2023020795号-1
ghs 京公网安备 11010802042870号
Book学术文献互助
Book学术文献互助群
群 号:604180095
Book学术官方微信