肺腺癌中双EGFR L858R和KRAS G12A突变:罕见病例报告和文献复习。

IF 1.8 4区 医学 Q3 PHARMACOLOGY & PHARMACY
Pharmacogenomics & Personalized Medicine Pub Date : 2025-08-22 eCollection Date: 2025-01-01 DOI:10.2147/PGPM.S531038
Gang Wei, Jun Tang, Huaiwen Wang, Dongdong Zhang
{"title":"肺腺癌中双EGFR L858R和KRAS G12A突变:罕见病例报告和文献复习。","authors":"Gang Wei, Jun Tang, Huaiwen Wang, Dongdong Zhang","doi":"10.2147/PGPM.S531038","DOIUrl":null,"url":null,"abstract":"<p><strong>Background: </strong>KRAS mutations are typically mutually exclusive in non-small cell lung cancer (NSCLC), with the G12C mutation being the most common subtype. The coexistence of KRAS and EGFR mutations is exceedingly rare and is typically emerges as a secondary event following acquired resistance to EGFR-targeted therapies. We presented a case of a newly diagnosed NSCLC patient harboring concurrent EGFR L858R and KRAS G12A mutations.</p><p><strong>Case presentation: </strong>A 64-year-old male with a 30-pack-year smoking history presented with a 3-month history of progressive shortness of breath and chest tightness. Contrast-enhanced chest CT revealed a 5 cm spiculated mass in the right upper lobe, abutting the mediastinum, along with bronchial obstruction, right middle lobe atelectasis, and pleural effusion. A CT-guided transthoracic needle biopsy confirmed lung adenocarcinoma. Next-generation sequencing (NGS) identified a c.2573T>G (p.L858R) mutation in exon 21 of the EGFR gene and a c.35G>C (p.G12A) mutation in exon 2 of the KRAS gene. The patient started first-line therapy with osimertinib combined with pemetrexed/nedaplatin, resulting in a transient partial response, significant resolution of pleural effusion, and partial regression of the primary tumor. However, disease progression occurred within 6 months, marked by the appearance of a new cerebellar metastasis, confirmed by MRI. The patient continued osimertinib maintenance therapy and underwent stereotactic radiotherapy for the brain lesion. Despite initial stabilization, pulmonary progression was observed 11 months after the start of treatment. Due to declining performance status and personal preferences, the patient declined further treatment and was lost to follow-up.</p><p><strong>Conclusion: </strong>We report a rare case of treatment-naïve lung adenocarcinoma harboring concurrent KRAS G12A and EGFR L858R mutations. The patient achieved only transient disease control following treatment with a third-generation EGFR TKI combined with chemoradiotherapy. Further research to explore optimal therapeutic strategies for such complex molecular profiles is needed.</p>","PeriodicalId":56015,"journal":{"name":"Pharmacogenomics & Personalized Medicine","volume":"18 ","pages":"189-196"},"PeriodicalIF":1.8000,"publicationDate":"2025-08-22","publicationTypes":"Journal Article","fieldsOfStudy":null,"isOpenAccess":false,"openAccessPdf":"https://www.ncbi.nlm.nih.gov/pmc/articles/PMC12380001/pdf/","citationCount":"0","resultStr":"{\"title\":\"Dual EGFR L858R and KRAS G12A Mutations in Lung Adenocarcinoma: A Rare Case Report and Literature Review.\",\"authors\":\"Gang Wei, Jun Tang, Huaiwen Wang, Dongdong Zhang\",\"doi\":\"10.2147/PGPM.S531038\",\"DOIUrl\":null,\"url\":null,\"abstract\":\"<p><strong>Background: </strong>KRAS mutations are typically mutually exclusive in non-small cell lung cancer (NSCLC), with the G12C mutation being the most common subtype. The coexistence of KRAS and EGFR mutations is exceedingly rare and is typically emerges as a secondary event following acquired resistance to EGFR-targeted therapies. We presented a case of a newly diagnosed NSCLC patient harboring concurrent EGFR L858R and KRAS G12A mutations.</p><p><strong>Case presentation: </strong>A 64-year-old male with a 30-pack-year smoking history presented with a 3-month history of progressive shortness of breath and chest tightness. Contrast-enhanced chest CT revealed a 5 cm spiculated mass in the right upper lobe, abutting the mediastinum, along with bronchial obstruction, right middle lobe atelectasis, and pleural effusion. A CT-guided transthoracic needle biopsy confirmed lung adenocarcinoma. Next-generation sequencing (NGS) identified a c.2573T>G (p.L858R) mutation in exon 21 of the EGFR gene and a c.35G>C (p.G12A) mutation in exon 2 of the KRAS gene. The patient started first-line therapy with osimertinib combined with pemetrexed/nedaplatin, resulting in a transient partial response, significant resolution of pleural effusion, and partial regression of the primary tumor. However, disease progression occurred within 6 months, marked by the appearance of a new cerebellar metastasis, confirmed by MRI. The patient continued osimertinib maintenance therapy and underwent stereotactic radiotherapy for the brain lesion. Despite initial stabilization, pulmonary progression was observed 11 months after the start of treatment. Due to declining performance status and personal preferences, the patient declined further treatment and was lost to follow-up.</p><p><strong>Conclusion: </strong>We report a rare case of treatment-naïve lung adenocarcinoma harboring concurrent KRAS G12A and EGFR L858R mutations. The patient achieved only transient disease control following treatment with a third-generation EGFR TKI combined with chemoradiotherapy. Further research to explore optimal therapeutic strategies for such complex molecular profiles is needed.</p>\",\"PeriodicalId\":56015,\"journal\":{\"name\":\"Pharmacogenomics & Personalized Medicine\",\"volume\":\"18 \",\"pages\":\"189-196\"},\"PeriodicalIF\":1.8000,\"publicationDate\":\"2025-08-22\",\"publicationTypes\":\"Journal Article\",\"fieldsOfStudy\":null,\"isOpenAccess\":false,\"openAccessPdf\":\"https://www.ncbi.nlm.nih.gov/pmc/articles/PMC12380001/pdf/\",\"citationCount\":\"0\",\"resultStr\":null,\"platform\":\"Semanticscholar\",\"paperid\":null,\"PeriodicalName\":\"Pharmacogenomics & Personalized Medicine\",\"FirstCategoryId\":\"3\",\"ListUrlMain\":\"https://doi.org/10.2147/PGPM.S531038\",\"RegionNum\":4,\"RegionCategory\":\"医学\",\"ArticlePicture\":[],\"TitleCN\":null,\"AbstractTextCN\":null,\"PMCID\":null,\"EPubDate\":\"2025/1/1 0:00:00\",\"PubModel\":\"eCollection\",\"JCR\":\"Q3\",\"JCRName\":\"PHARMACOLOGY & PHARMACY\",\"Score\":null,\"Total\":0}","platform":"Semanticscholar","paperid":null,"PeriodicalName":"Pharmacogenomics & Personalized Medicine","FirstCategoryId":"3","ListUrlMain":"https://doi.org/10.2147/PGPM.S531038","RegionNum":4,"RegionCategory":"医学","ArticlePicture":[],"TitleCN":null,"AbstractTextCN":null,"PMCID":null,"EPubDate":"2025/1/1 0:00:00","PubModel":"eCollection","JCR":"Q3","JCRName":"PHARMACOLOGY & PHARMACY","Score":null,"Total":0}
引用次数: 0

摘要

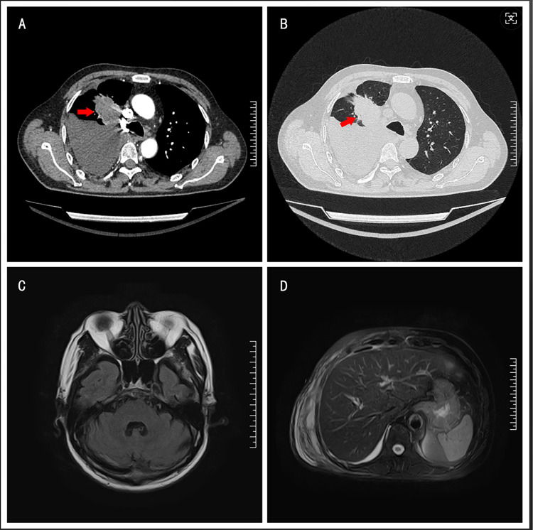
背景:KRAS突变在非小细胞肺癌(NSCLC)中通常是互斥的,其中G12C突变是最常见的亚型。KRAS和EGFR突变的共存极为罕见,通常作为对EGFR靶向治疗获得性耐药后的次要事件出现。我们报告了一例新诊断的非小细胞肺癌患者同时携带EGFR L858R和KRAS G12A突变。病例介绍:64岁男性,吸烟史30包年,3个月进行性呼吸短促和胸闷。胸部增强CT示右上肺叶5公分棘状肿块,邻近纵隔,伴支气管梗阻,右中肺叶不张,胸腔积液。ct引导下经胸穿刺活检证实肺腺癌。下一代测序(NGS)鉴定出EGFR基因21外显子C . 2573t >C (p.L858R)突变和KRAS基因2外显子C . 35g >C (p.G12A)突变。患者开始使用奥希替尼联合培美曲塞/奈达铂的一线治疗,导致短暂的部分缓解,胸腔积液明显消退,原发肿瘤部分消退。然而,疾病在6个月内发生进展,以MRI证实的小脑转移的出现为标志。患者继续奥西替尼维持治疗,并对脑病变进行立体定向放疗。尽管最初稳定,但在治疗开始后11个月观察到肺部进展。由于表现状况和个人喜好的下降,患者拒绝进一步治疗,失去随访。结论:我们报告了一例罕见的treatment-naïve肺腺癌同时存在KRAS G12A和EGFR L858R突变。在第三代EGFR TKI联合放化疗治疗后,患者仅实现了短暂的疾病控制。需要进一步的研究来探索这种复杂分子谱的最佳治疗策略。
本文章由计算机程序翻译,如有差异,请以英文原文为准。

Dual EGFR L858R and KRAS G12A Mutations in Lung Adenocarcinoma: A Rare Case Report and Literature Review.

Dual EGFR L858R and KRAS G12A Mutations in Lung Adenocarcinoma: A Rare Case Report and Literature Review.

Dual EGFR L858R and KRAS G12A Mutations in Lung Adenocarcinoma: A Rare Case Report and Literature Review.

Dual EGFR L858R and KRAS G12A Mutations in Lung Adenocarcinoma: A Rare Case Report and Literature Review.

Background: KRAS mutations are typically mutually exclusive in non-small cell lung cancer (NSCLC), with the G12C mutation being the most common subtype. The coexistence of KRAS and EGFR mutations is exceedingly rare and is typically emerges as a secondary event following acquired resistance to EGFR-targeted therapies. We presented a case of a newly diagnosed NSCLC patient harboring concurrent EGFR L858R and KRAS G12A mutations.

Case presentation: A 64-year-old male with a 30-pack-year smoking history presented with a 3-month history of progressive shortness of breath and chest tightness. Contrast-enhanced chest CT revealed a 5 cm spiculated mass in the right upper lobe, abutting the mediastinum, along with bronchial obstruction, right middle lobe atelectasis, and pleural effusion. A CT-guided transthoracic needle biopsy confirmed lung adenocarcinoma. Next-generation sequencing (NGS) identified a c.2573T>G (p.L858R) mutation in exon 21 of the EGFR gene and a c.35G>C (p.G12A) mutation in exon 2 of the KRAS gene. The patient started first-line therapy with osimertinib combined with pemetrexed/nedaplatin, resulting in a transient partial response, significant resolution of pleural effusion, and partial regression of the primary tumor. However, disease progression occurred within 6 months, marked by the appearance of a new cerebellar metastasis, confirmed by MRI. The patient continued osimertinib maintenance therapy and underwent stereotactic radiotherapy for the brain lesion. Despite initial stabilization, pulmonary progression was observed 11 months after the start of treatment. Due to declining performance status and personal preferences, the patient declined further treatment and was lost to follow-up.

Conclusion: We report a rare case of treatment-naïve lung adenocarcinoma harboring concurrent KRAS G12A and EGFR L858R mutations. The patient achieved only transient disease control following treatment with a third-generation EGFR TKI combined with chemoradiotherapy. Further research to explore optimal therapeutic strategies for such complex molecular profiles is needed.

求助全文
通过发布文献求助,成功后即可免费获取论文全文。 去求助
来源期刊
Pharmacogenomics & Personalized Medicine
Pharmacogenomics & Personalized Medicine Biochemistry, Genetics and Molecular Biology-Molecular Medicine
CiteScore
3.30
自引率
5.30%
发文量
110
审稿时长
16 weeks
期刊介绍: Pharmacogenomics and Personalized Medicine is an international, peer-reviewed, open-access journal characterizing the influence of genotype on pharmacology leading to the development of personalized treatment programs and individualized drug selection for improved safety, efficacy and sustainability. In particular, emphasis will be given to: Genomic and proteomic profiling Genetics and drug metabolism Targeted drug identification and discovery Optimizing drug selection & dosage based on patient''s genetic profile Drug related morbidity & mortality intervention Advanced disease screening and targeted therapeutic intervention Genetic based vaccine development Patient satisfaction and preference Health economic evaluations Practical and organizational issues in the development and implementation of personalized medicine programs.
×
引用
GB/T 7714-2015
复制
MLA
复制
APA
复制
导出至
BibTeX EndNote RefMan NoteFirst NoteExpress
×
提示
您的信息不完整,为了账户安全,请先补充。
现在去补充
×
提示
您因"违规操作"
具体请查看互助需知
我知道了
×
提示
确定
请完成安全验证×
copy
已复制链接
快去分享给好友吧!
我知道了
右上角分享
点击右上角分享
0
联系我们:info@booksci.cn Book学术提供免费学术资源搜索服务,方便国内外学者检索中英文文献。致力于提供最便捷和优质的服务体验。 Copyright © 2023 布克学术 All rights reserved.
京ICP备2023020795号-1
ghs 京公网安备 11010802042870号
Book学术文献互助
Book学术文献互助群
群 号:604180095
Book学术官方微信