XXX/XY嵌合与日本黑犊牛泌尿生殖畸形的关系。

IF 3.1 2区 农林科学 Q1 VETERINARY SCIENCES
Chihiro Kanno, Makoto Sugiyama, Hiroshi Miura, Sayori Ozawa, Shogo Sato, Chiharu Kudo, Hiroaki Kawaguchi
{"title":"XXX/XY嵌合与日本黑犊牛泌尿生殖畸形的关系。","authors":"Chihiro Kanno, Makoto Sugiyama, Hiroshi Miura, Sayori Ozawa, Shogo Sato, Chiharu Kudo, Hiroaki Kawaguchi","doi":"10.1186/s13620-025-00301-7","DOIUrl":null,"url":null,"abstract":"<p><strong>Background: </strong>Sex chromosome abnormalities in cattle are rare, and manifestations of genital anomalies due to such abnormalities are even less frequently reported. Among these, XXX/XY chimerism is particularly uncommon. This report presents a Japanese black calf with complex urogenital malformations linked to XXX/XY chimerism, contributing valuable insights into bovine sex determination and reproductive development.</p><p><strong>Case presentation: </strong>A Japanese black calf of phenotypic indeterminate sex, born co-twin to a phenotypically normal male, presented with hypospadias-like features and ambiguous genitalia. Clinical examination revealed a scrotum-like structure without palpable testes or vulva. An hCG stimulation test indicated a lack of functional testicular tissue. Chromosomal analysis of leukocytes revealed the presence of two distinct cells with 60, XY and 61, XXX, revealing XXX/XY chimerism. The ratio of male to trisomic cells was 63:37 (95% confidence intervals; XY: 54-72%, XXX: 28-46%) in the affected calf. Necropsy revealed both male (testis, epididymis, ductus deferens) and female (uterus-like) reproductive structures, with uterus-like organs embedded within the perineal tissue. Histological and immunohistochemical analyses confirmed the presence of the uterine remnant and revealed Sertoli cell-only testicular tissue, indicating spermatogenic failure. PCR-based sex determination performed on multiple tissues revealed three distinct genotypic patterns, with evidence of tissue-specific variation in the distribution of the X and Y chromosomes. Some tissues lacked detectable Y-linked AMEL-Y, despite the presence of SRY, suggesting a complex chimeric constitution with potential deletion of the AMEL-Y region in some XY cell populations.</p><p><strong>Conclusions: </strong>This case highlights a rare instance of systemic XXX/XY chimerism associated with ambiguous genitalia and mixed internal reproductive structures, which is distinct from typical freemartinism or isolated X-trisomy syndromes. The differential chromosomal mosaicism across tissues likely influences the phenotypic outcome. These findings emphasize the complexity and plasticity of bovine sex differentiation, particularly in twin pregnancies, and underscore the importance of integrating clinical, cytogenetic, and molecular diagnostics to accurately identify and manage congenital reproductive anomalies in livestock.</p>","PeriodicalId":54916,"journal":{"name":"Irish Veterinary Journal","volume":"78 1","pages":"19"},"PeriodicalIF":3.1000,"publicationDate":"2025-08-27","publicationTypes":"Journal Article","fieldsOfStudy":null,"isOpenAccess":false,"openAccessPdf":"https://www.ncbi.nlm.nih.gov/pmc/articles/PMC12382070/pdf/","citationCount":"0","resultStr":"{\"title\":\"XXX/XY chimerism with urogenital malformations in a Japanese black calf.\",\"authors\":\"Chihiro Kanno, Makoto Sugiyama, Hiroshi Miura, Sayori Ozawa, Shogo Sato, Chiharu Kudo, Hiroaki Kawaguchi\",\"doi\":\"10.1186/s13620-025-00301-7\",\"DOIUrl\":null,\"url\":null,\"abstract\":\"<p><strong>Background: </strong>Sex chromosome abnormalities in cattle are rare, and manifestations of genital anomalies due to such abnormalities are even less frequently reported. Among these, XXX/XY chimerism is particularly uncommon. This report presents a Japanese black calf with complex urogenital malformations linked to XXX/XY chimerism, contributing valuable insights into bovine sex determination and reproductive development.</p><p><strong>Case presentation: </strong>A Japanese black calf of phenotypic indeterminate sex, born co-twin to a phenotypically normal male, presented with hypospadias-like features and ambiguous genitalia. Clinical examination revealed a scrotum-like structure without palpable testes or vulva. An hCG stimulation test indicated a lack of functional testicular tissue. Chromosomal analysis of leukocytes revealed the presence of two distinct cells with 60, XY and 61, XXX, revealing XXX/XY chimerism. The ratio of male to trisomic cells was 63:37 (95% confidence intervals; XY: 54-72%, XXX: 28-46%) in the affected calf. Necropsy revealed both male (testis, epididymis, ductus deferens) and female (uterus-like) reproductive structures, with uterus-like organs embedded within the perineal tissue. Histological and immunohistochemical analyses confirmed the presence of the uterine remnant and revealed Sertoli cell-only testicular tissue, indicating spermatogenic failure. PCR-based sex determination performed on multiple tissues revealed three distinct genotypic patterns, with evidence of tissue-specific variation in the distribution of the X and Y chromosomes. Some tissues lacked detectable Y-linked AMEL-Y, despite the presence of SRY, suggesting a complex chimeric constitution with potential deletion of the AMEL-Y region in some XY cell populations.</p><p><strong>Conclusions: </strong>This case highlights a rare instance of systemic XXX/XY chimerism associated with ambiguous genitalia and mixed internal reproductive structures, which is distinct from typical freemartinism or isolated X-trisomy syndromes. The differential chromosomal mosaicism across tissues likely influences the phenotypic outcome. These findings emphasize the complexity and plasticity of bovine sex differentiation, particularly in twin pregnancies, and underscore the importance of integrating clinical, cytogenetic, and molecular diagnostics to accurately identify and manage congenital reproductive anomalies in livestock.</p>\",\"PeriodicalId\":54916,\"journal\":{\"name\":\"Irish Veterinary Journal\",\"volume\":\"78 1\",\"pages\":\"19\"},\"PeriodicalIF\":3.1000,\"publicationDate\":\"2025-08-27\",\"publicationTypes\":\"Journal Article\",\"fieldsOfStudy\":null,\"isOpenAccess\":false,\"openAccessPdf\":\"https://www.ncbi.nlm.nih.gov/pmc/articles/PMC12382070/pdf/\",\"citationCount\":\"0\",\"resultStr\":null,\"platform\":\"Semanticscholar\",\"paperid\":null,\"PeriodicalName\":\"Irish Veterinary Journal\",\"FirstCategoryId\":\"97\",\"ListUrlMain\":\"https://doi.org/10.1186/s13620-025-00301-7\",\"RegionNum\":2,\"RegionCategory\":\"农林科学\",\"ArticlePicture\":[],\"TitleCN\":null,\"AbstractTextCN\":null,\"PMCID\":null,\"EPubDate\":\"\",\"PubModel\":\"\",\"JCR\":\"Q1\",\"JCRName\":\"VETERINARY SCIENCES\",\"Score\":null,\"Total\":0}","platform":"Semanticscholar","paperid":null,"PeriodicalName":"Irish Veterinary Journal","FirstCategoryId":"97","ListUrlMain":"https://doi.org/10.1186/s13620-025-00301-7","RegionNum":2,"RegionCategory":"农林科学","ArticlePicture":[],"TitleCN":null,"AbstractTextCN":null,"PMCID":null,"EPubDate":"","PubModel":"","JCR":"Q1","JCRName":"VETERINARY SCIENCES","Score":null,"Total":0}
引用次数: 0

摘要

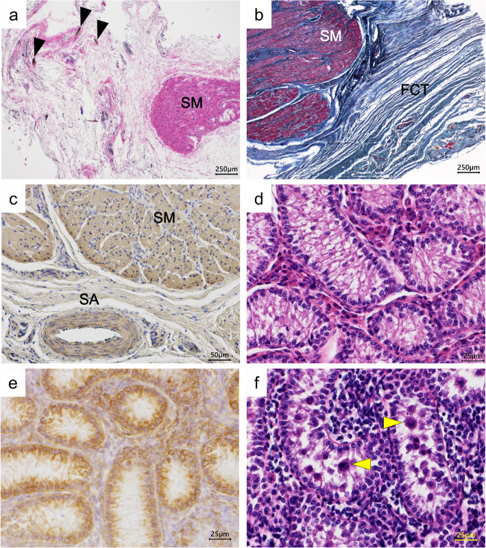
背景:牛的性染色体异常是罕见的,由性染色体异常引起的生殖器异常的表现更是少见报道。其中,XXX/XY嵌合尤为罕见。本报告介绍了一头与XXX/XY嵌合有关的复杂泌尿生殖畸形的日本黑小牛,为牛的性别决定和生殖发育提供了有价值的见解。病例介绍:一只日本黑小牛,性别表型不确定,与一只表型正常的雄性同卵双生,表现为尿道下裂样特征和生殖器模糊。临床检查发现阴囊样结构,未触及睾丸或外阴。hCG刺激试验显示缺乏功能性睾丸组织。白细胞的染色体分析显示存在两个不同的60,XY和61,XXX细胞,显示XXX/XY嵌合。在患病小牛中,雄性与三体细胞的比例为63:37(95%置信区间;XY: 54-72%, XXX: 28-46%)。尸检显示男性(睾丸,附睾,输精管)和女性(子宫样)生殖结构,子宫样器官嵌入会阴组织。组织学和免疫组织化学分析证实了子宫残余的存在,并显示只有支持细胞的睾丸组织,表明生精失败。在多个组织中进行的基于pcr的性别测定揭示了三种不同的基因型模式,并有证据表明X和Y染色体的分布存在组织特异性差异。尽管存在SRY,但一些组织缺乏可检测到的y连锁AMEL-Y,这表明在一些XY细胞群中存在复杂的嵌合结构,可能缺失AMEL-Y区域。结论:该病例突出了一个罕见的系统性XXX/XY嵌合,伴有模糊的生殖器和混合的内部生殖结构,这与典型的自由马丁病或孤立的x三体综合征不同。不同组织间的染色体嵌合差异可能影响表型结果。这些发现强调了牛性别分化的复杂性和可塑性,特别是在双胎妊娠中,并强调了整合临床、细胞遗传学和分子诊断以准确识别和管理牲畜先天性生殖异常的重要性。
本文章由计算机程序翻译,如有差异,请以英文原文为准。

XXX/XY chimerism with urogenital malformations in a Japanese black calf.

XXX/XY chimerism with urogenital malformations in a Japanese black calf.

XXX/XY chimerism with urogenital malformations in a Japanese black calf.

XXX/XY chimerism with urogenital malformations in a Japanese black calf.

Background: Sex chromosome abnormalities in cattle are rare, and manifestations of genital anomalies due to such abnormalities are even less frequently reported. Among these, XXX/XY chimerism is particularly uncommon. This report presents a Japanese black calf with complex urogenital malformations linked to XXX/XY chimerism, contributing valuable insights into bovine sex determination and reproductive development.

Case presentation: A Japanese black calf of phenotypic indeterminate sex, born co-twin to a phenotypically normal male, presented with hypospadias-like features and ambiguous genitalia. Clinical examination revealed a scrotum-like structure without palpable testes or vulva. An hCG stimulation test indicated a lack of functional testicular tissue. Chromosomal analysis of leukocytes revealed the presence of two distinct cells with 60, XY and 61, XXX, revealing XXX/XY chimerism. The ratio of male to trisomic cells was 63:37 (95% confidence intervals; XY: 54-72%, XXX: 28-46%) in the affected calf. Necropsy revealed both male (testis, epididymis, ductus deferens) and female (uterus-like) reproductive structures, with uterus-like organs embedded within the perineal tissue. Histological and immunohistochemical analyses confirmed the presence of the uterine remnant and revealed Sertoli cell-only testicular tissue, indicating spermatogenic failure. PCR-based sex determination performed on multiple tissues revealed three distinct genotypic patterns, with evidence of tissue-specific variation in the distribution of the X and Y chromosomes. Some tissues lacked detectable Y-linked AMEL-Y, despite the presence of SRY, suggesting a complex chimeric constitution with potential deletion of the AMEL-Y region in some XY cell populations.

Conclusions: This case highlights a rare instance of systemic XXX/XY chimerism associated with ambiguous genitalia and mixed internal reproductive structures, which is distinct from typical freemartinism or isolated X-trisomy syndromes. The differential chromosomal mosaicism across tissues likely influences the phenotypic outcome. These findings emphasize the complexity and plasticity of bovine sex differentiation, particularly in twin pregnancies, and underscore the importance of integrating clinical, cytogenetic, and molecular diagnostics to accurately identify and manage congenital reproductive anomalies in livestock.

求助全文
通过发布文献求助,成功后即可免费获取论文全文。 去求助
来源期刊
Irish Veterinary Journal
Irish Veterinary Journal 农林科学-兽医学
CiteScore
4.80
自引率
3.40%
发文量
1
审稿时长
>36 weeks
期刊介绍: Irish Veterinary Journal is an open access journal with a vision to make a substantial contribution to the dissemination of evidence-based knowledge that will promote optimal health and welfare of both domestic and wild species of animals. Irish Veterinary Journal has a clinical research focus with an emphasis on the effective management of health in both individual and populations of animals. Published studies will be relevant to both the international veterinary profession and veterinary scientists. Papers relating to veterinary education, veterinary ethics, veterinary public health, or relevant studies in the area of social science (participatory research) are also within the scope of Irish Veterinary Journal.
×
引用
GB/T 7714-2015
复制
MLA
复制
APA
复制
导出至
BibTeX EndNote RefMan NoteFirst NoteExpress
×
提示
您的信息不完整,为了账户安全,请先补充。
现在去补充
×
提示
您因"违规操作"
具体请查看互助需知
我知道了
×
提示
确定
请完成安全验证×
copy
已复制链接
快去分享给好友吧!
我知道了
右上角分享
点击右上角分享
0
联系我们:info@booksci.cn Book学术提供免费学术资源搜索服务,方便国内外学者检索中英文文献。致力于提供最便捷和优质的服务体验。 Copyright © 2023 布克学术 All rights reserved.
京ICP备2023020795号-1
ghs 京公网安备 11010802042870号
Book学术文献互助
Book学术文献互助群
群 号:604180095
Book学术官方微信