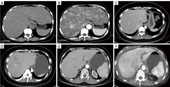
药物性肝损伤不同类型及严重程度的ct表现。

IF 2.3 2区 医学 Q2 RADIOLOGY, NUCLEAR MEDICINE & MEDICAL IMAGING
Quantitative Imaging in Medicine and Surgery Pub Date : 2025-09-01 Epub Date: 2025-08-11 DOI:10.21037/qims-24-2110
Yao Chen, Yuzhen Xi, Fanfan Zhao, Huanhuan Li, Min Zhou, Yue Xu, Shufeng Fan, Miao Liu
{"title":"药物性肝损伤不同类型及严重程度的ct表现。","authors":"Yao Chen, Yuzhen Xi, Fanfan Zhao, Huanhuan Li, Min Zhou, Yue Xu, Shufeng Fan, Miao Liu","doi":"10.21037/qims-24-2110","DOIUrl":null,"url":null,"abstract":"<p><strong>Background: </strong>Drug-induced liver injury (DILI) has become a major cause of acute liver failure, and its incidence has been increasing steadily in recent years. This study aimed to compare the clinical and computed tomography (CT) imaging features of the variable biochemical damage and severity of DILI to establish a radiological model for predicting high-risk DILI based on CT image features.</p><p><strong>Methods: </strong>The eligible patients with DILI (January 2016 to March 2024) who underwent serum laboratory examination and contrast abdominal CT within 3 months of onset were retrospectively analyzed at Affiliated Xihu Hospital of Hangzhou Medical College (Institution I) and The Second Affiliated Hospital of Zhejiang Chinese Medical University (Institution II). The severity-associated CT features were determined via binomial logistic regression analysis, and the efficacy of the different models were compared. The odds ratios (ORs) and corresponding 95% confidence intervals (CIs) provided were not adjusted.</p><p><strong>Results: </strong>The injury types included hepatocellular (n=68, 45.64%), mixed (n=28, 18.79%), and cholestatic (n=53, 35.57%). The proportion of splenomegaly in patients with cholestatic injury (56.60%) was significantly higher than that in those with hepatocellular (35.71%) and mixed injury (22.06%) (P<0.001). Regarding severity, 127 (85.23%) patients had mild-to-moderate injury, and 22 (14.77%) had severe-to-fatal injury or required liver transplantation (LT). Injury severity was independently associated with quantitative liver-spleen contrast (Q-LSC) (OR =0.002; 95% CI: 0.00-0.13), and ascites (OR =70.83; 95% CI: 16.34-306.99). The prediction of the new model employing Q-LSC and ascites for high-risk DILI demonstrated excellent performance [area under the receiver operating characteristic (ROC) curve (AUC) =0.929; sensitivity=0.818; specificity =0.953].</p><p><strong>Conclusions: </strong>Statistical differences are observed in the serum biomarkers of DILI according to varying biochemical damage and degree of severity. Q-LSC and ascites were associated with the severity of DILI, and a combined model incorporating Q-LSC and ascites can effectively predict high-risk DILI.</p>","PeriodicalId":54267,"journal":{"name":"Quantitative Imaging in Medicine and Surgery","volume":"15 9","pages":"8553-8566"},"PeriodicalIF":2.3000,"publicationDate":"2025-09-01","publicationTypes":"Journal Article","fieldsOfStudy":null,"isOpenAccess":false,"openAccessPdf":"https://www.ncbi.nlm.nih.gov/pmc/articles/PMC12397697/pdf/","citationCount":"0","resultStr":"{\"title\":\"Computed tomography manifestations of drug-induced liver injury according to type and severity of injury.\",\"authors\":\"Yao Chen, Yuzhen Xi, Fanfan Zhao, Huanhuan Li, Min Zhou, Yue Xu, Shufeng Fan, Miao Liu\",\"doi\":\"10.21037/qims-24-2110\",\"DOIUrl\":null,\"url\":null,\"abstract\":\"<p><strong>Background: </strong>Drug-induced liver injury (DILI) has become a major cause of acute liver failure, and its incidence has been increasing steadily in recent years. This study aimed to compare the clinical and computed tomography (CT) imaging features of the variable biochemical damage and severity of DILI to establish a radiological model for predicting high-risk DILI based on CT image features.</p><p><strong>Methods: </strong>The eligible patients with DILI (January 2016 to March 2024) who underwent serum laboratory examination and contrast abdominal CT within 3 months of onset were retrospectively analyzed at Affiliated Xihu Hospital of Hangzhou Medical College (Institution I) and The Second Affiliated Hospital of Zhejiang Chinese Medical University (Institution II). The severity-associated CT features were determined via binomial logistic regression analysis, and the efficacy of the different models were compared. The odds ratios (ORs) and corresponding 95% confidence intervals (CIs) provided were not adjusted.</p><p><strong>Results: </strong>The injury types included hepatocellular (n=68, 45.64%), mixed (n=28, 18.79%), and cholestatic (n=53, 35.57%). The proportion of splenomegaly in patients with cholestatic injury (56.60%) was significantly higher than that in those with hepatocellular (35.71%) and mixed injury (22.06%) (P<0.001). Regarding severity, 127 (85.23%) patients had mild-to-moderate injury, and 22 (14.77%) had severe-to-fatal injury or required liver transplantation (LT). Injury severity was independently associated with quantitative liver-spleen contrast (Q-LSC) (OR =0.002; 95% CI: 0.00-0.13), and ascites (OR =70.83; 95% CI: 16.34-306.99). The prediction of the new model employing Q-LSC and ascites for high-risk DILI demonstrated excellent performance [area under the receiver operating characteristic (ROC) curve (AUC) =0.929; sensitivity=0.818; specificity =0.953].</p><p><strong>Conclusions: </strong>Statistical differences are observed in the serum biomarkers of DILI according to varying biochemical damage and degree of severity. Q-LSC and ascites were associated with the severity of DILI, and a combined model incorporating Q-LSC and ascites can effectively predict high-risk DILI.</p>\",\"PeriodicalId\":54267,\"journal\":{\"name\":\"Quantitative Imaging in Medicine and Surgery\",\"volume\":\"15 9\",\"pages\":\"8553-8566\"},\"PeriodicalIF\":2.3000,\"publicationDate\":\"2025-09-01\",\"publicationTypes\":\"Journal Article\",\"fieldsOfStudy\":null,\"isOpenAccess\":false,\"openAccessPdf\":\"https://www.ncbi.nlm.nih.gov/pmc/articles/PMC12397697/pdf/\",\"citationCount\":\"0\",\"resultStr\":null,\"platform\":\"Semanticscholar\",\"paperid\":null,\"PeriodicalName\":\"Quantitative Imaging in Medicine and Surgery\",\"FirstCategoryId\":\"3\",\"ListUrlMain\":\"https://doi.org/10.21037/qims-24-2110\",\"RegionNum\":2,\"RegionCategory\":\"医学\",\"ArticlePicture\":[],\"TitleCN\":null,\"AbstractTextCN\":null,\"PMCID\":null,\"EPubDate\":\"2025/8/11 0:00:00\",\"PubModel\":\"Epub\",\"JCR\":\"Q2\",\"JCRName\":\"RADIOLOGY, NUCLEAR MEDICINE & MEDICAL IMAGING\",\"Score\":null,\"Total\":0}","platform":"Semanticscholar","paperid":null,"PeriodicalName":"Quantitative Imaging in Medicine and Surgery","FirstCategoryId":"3","ListUrlMain":"https://doi.org/10.21037/qims-24-2110","RegionNum":2,"RegionCategory":"医学","ArticlePicture":[],"TitleCN":null,"AbstractTextCN":null,"PMCID":null,"EPubDate":"2025/8/11 0:00:00","PubModel":"Epub","JCR":"Q2","JCRName":"RADIOLOGY, NUCLEAR MEDICINE & MEDICAL IMAGING","Score":null,"Total":0}
引用次数: 0

摘要

背景:药物性肝损伤(Drug-induced liver injury, DILI)已成为急性肝衰竭的主要原因,近年来其发病率稳步上升。本研究旨在比较DILI不同生化损伤及严重程度的临床与CT影像特征,建立基于CT影像特征预测高危DILI的放射学模型。方法:回顾性分析杭州医学院附属西湖医院(第一机构)和浙江中医药大学附属第二医院(第二机构)2016年1月至2024年3月发病3个月内行血清实验室检查和腹部造影CT检查的符合条件的DILI患者。通过二项logistic回归分析确定严重程度相关的CT特征,并比较不同模型的疗效。提供的优势比(ORs)和相应的95%置信区间(CIs)未进行调整。结果:损伤类型包括肝细胞型(68例,45.64%)、混合型(28例,18.79%)和胆汁淤积型(53例,35.57%)。胆汁淤积性损伤患者脾肿大比例(56.60%)明显高于肝细胞性损伤(35.71%)和混合性损伤(22.06%)。(p)结论:不同生化损伤及严重程度的DILI血清生物标志物有统计学差异。Q-LSC和腹水与DILI的严重程度相关,结合Q-LSC和腹水的联合模型可以有效预测高危DILI。
本文章由计算机程序翻译,如有差异,请以英文原文为准。

Computed tomography manifestations of drug-induced liver injury according to type and severity of injury.

Computed tomography manifestations of drug-induced liver injury according to type and severity of injury.

Computed tomography manifestations of drug-induced liver injury according to type and severity of injury.

Computed tomography manifestations of drug-induced liver injury according to type and severity of injury.

Background: Drug-induced liver injury (DILI) has become a major cause of acute liver failure, and its incidence has been increasing steadily in recent years. This study aimed to compare the clinical and computed tomography (CT) imaging features of the variable biochemical damage and severity of DILI to establish a radiological model for predicting high-risk DILI based on CT image features.

Methods: The eligible patients with DILI (January 2016 to March 2024) who underwent serum laboratory examination and contrast abdominal CT within 3 months of onset were retrospectively analyzed at Affiliated Xihu Hospital of Hangzhou Medical College (Institution I) and The Second Affiliated Hospital of Zhejiang Chinese Medical University (Institution II). The severity-associated CT features were determined via binomial logistic regression analysis, and the efficacy of the different models were compared. The odds ratios (ORs) and corresponding 95% confidence intervals (CIs) provided were not adjusted.

Results: The injury types included hepatocellular (n=68, 45.64%), mixed (n=28, 18.79%), and cholestatic (n=53, 35.57%). The proportion of splenomegaly in patients with cholestatic injury (56.60%) was significantly higher than that in those with hepatocellular (35.71%) and mixed injury (22.06%) (P<0.001). Regarding severity, 127 (85.23%) patients had mild-to-moderate injury, and 22 (14.77%) had severe-to-fatal injury or required liver transplantation (LT). Injury severity was independently associated with quantitative liver-spleen contrast (Q-LSC) (OR =0.002; 95% CI: 0.00-0.13), and ascites (OR =70.83; 95% CI: 16.34-306.99). The prediction of the new model employing Q-LSC and ascites for high-risk DILI demonstrated excellent performance [area under the receiver operating characteristic (ROC) curve (AUC) =0.929; sensitivity=0.818; specificity =0.953].

Conclusions: Statistical differences are observed in the serum biomarkers of DILI according to varying biochemical damage and degree of severity. Q-LSC and ascites were associated with the severity of DILI, and a combined model incorporating Q-LSC and ascites can effectively predict high-risk DILI.

求助全文
通过发布文献求助,成功后即可免费获取论文全文。 去求助
来源期刊
Quantitative Imaging in Medicine and Surgery
Quantitative Imaging in Medicine and Surgery Medicine-Radiology, Nuclear Medicine and Imaging
CiteScore
4.20
自引率
17.90%
发文量
252
期刊介绍: Information not localized
×
引用
GB/T 7714-2015
复制
MLA
复制
APA
复制
导出至
BibTeX EndNote RefMan NoteFirst NoteExpress
×
提示
您的信息不完整,为了账户安全,请先补充。
现在去补充
×
提示
您因"违规操作"
具体请查看互助需知
我知道了
×
提示
确定
请完成安全验证×
copy
已复制链接
快去分享给好友吧!
我知道了
右上角分享
点击右上角分享
0
联系我们:info@booksci.cn Book学术提供免费学术资源搜索服务,方便国内外学者检索中英文文献。致力于提供最便捷和优质的服务体验。 Copyright © 2023 布克学术 All rights reserved.
京ICP备2023020795号-1
ghs 京公网安备 11010802042870号
Book学术文献互助
Book学术文献互助群
群 号:604180095
Book学术官方微信