肺动脉血管阻力的无创评估:肺动脉高压的计算机断层肺血管造影和超声心动图的协同方法。

IF 2.3 2区 医学 Q2 RADIOLOGY, NUCLEAR MEDICINE & MEDICAL IMAGING
Quantitative Imaging in Medicine and Surgery Pub Date : 2025-09-01 Epub Date: 2025-08-11 DOI:10.21037/qims-24-2152
Junqing Ma, Wenting Li, Sunan Xu, Ruichen Ren, Xiaopei Cui, Yongze Zheng, Yan Deng, Yongfeng Liang, Yang Zhang
{"title":"肺动脉血管阻力的无创评估:肺动脉高压的计算机断层肺血管造影和超声心动图的协同方法。","authors":"Junqing Ma, Wenting Li, Sunan Xu, Ruichen Ren, Xiaopei Cui, Yongze Zheng, Yan Deng, Yongfeng Liang, Yang Zhang","doi":"10.21037/qims-24-2152","DOIUrl":null,"url":null,"abstract":"<p><strong>Background: </strong>Pulmonary vascular resistance (PVR) is essential in managing pulmonary hypertension (PH) and has prompted the search for noninvasive assessment techniques. This study investigates the integration of morphological parameters from computed tomography pulmonary angiography (CTPA) and functional parameters from transthoracic echocardiography (TTE) to develop a noninvasive method for evaluating PVR in patients with PH.</p><p><strong>Methods: </strong>Data from PH patients who underwent CTPA, TTE, and right heart catheterization (RHC) were analyzed retrospectively. The Cobb angle, defined as the angle between the spine and interventricular septum, was calculated by CTPA. It is assumed that thorax geometry, pericardial morphology, and body surface area (BSA) are factors influencing the Cobb angle measurement, and these factors were adjusted for in the analysis. Multiple linear regression was performed to evaluate the multivariate ability to predict PVR. Multivariate Cox regression analysis assessed the prognostic value of parameters in predicting hospitalization for heart failure.</p><p><strong>Results: </strong>In total, 78 patients meeting the criteria were enrolled. Among the TTE parameters, the right ventricular outflow tract acceleration time (RVOT-AT) demonstrated the best goodness-of-fit to PVR (R<sup>2</sup>=0.433, P<0.001). Correcting the Cobb angle by BSA significantly improved its fit to PVR (R<sup>2</sup>=0.510, P<0.001), compared to the uncorrected angle (R<sup>2</sup>=0.450, P<0.001). The model combining Cobb angle/BSA and RVOT-AT strongly predicted PVR (r=0.815, R<sup>2</sup>=0.634, P<0.001) and was effective across different demographics. After multivariable adjustment, the Cobb angle [hazard ratio (HR): 1.057; P<0.001], Cobb angle/BSA (HR: 1.087; P<0.001), tricuspid annular plane systolic excursion (TAPSE) (HR: 0.878; P=0.014), RVOT-AT (HR: 0.968; P=0.030), and right ventricular myocardial performance index (RVMPI) (HR: 5.324; P<0.001) remained significant independent predictors of heart failure.</p><p><strong>Conclusions: </strong>The integration of BSA-adjusted morphological markers from CTPA with hemodynamic parameters derived from TTE provides a promising noninvasive method for predicting PVR and demonstrates significant prognostic value in evaluating heart failure in PH patients.</p>","PeriodicalId":54267,"journal":{"name":"Quantitative Imaging in Medicine and Surgery","volume":"15 9","pages":"8567-8578"},"PeriodicalIF":2.3000,"publicationDate":"2025-09-01","publicationTypes":"Journal Article","fieldsOfStudy":null,"isOpenAccess":false,"openAccessPdf":"https://www.ncbi.nlm.nih.gov/pmc/articles/PMC12397696/pdf/","citationCount":"0","resultStr":"{\"title\":\"Noninvasive assessment of pulmonary vascular resistance: a synergistic approach using computed tomography pulmonary angiography and echocardiography in pulmonary hypertension.\",\"authors\":\"Junqing Ma, Wenting Li, Sunan Xu, Ruichen Ren, Xiaopei Cui, Yongze Zheng, Yan Deng, Yongfeng Liang, Yang Zhang\",\"doi\":\"10.21037/qims-24-2152\",\"DOIUrl\":null,\"url\":null,\"abstract\":\"<p><strong>Background: </strong>Pulmonary vascular resistance (PVR) is essential in managing pulmonary hypertension (PH) and has prompted the search for noninvasive assessment techniques. This study investigates the integration of morphological parameters from computed tomography pulmonary angiography (CTPA) and functional parameters from transthoracic echocardiography (TTE) to develop a noninvasive method for evaluating PVR in patients with PH.</p><p><strong>Methods: </strong>Data from PH patients who underwent CTPA, TTE, and right heart catheterization (RHC) were analyzed retrospectively. The Cobb angle, defined as the angle between the spine and interventricular septum, was calculated by CTPA. It is assumed that thorax geometry, pericardial morphology, and body surface area (BSA) are factors influencing the Cobb angle measurement, and these factors were adjusted for in the analysis. Multiple linear regression was performed to evaluate the multivariate ability to predict PVR. Multivariate Cox regression analysis assessed the prognostic value of parameters in predicting hospitalization for heart failure.</p><p><strong>Results: </strong>In total, 78 patients meeting the criteria were enrolled. Among the TTE parameters, the right ventricular outflow tract acceleration time (RVOT-AT) demonstrated the best goodness-of-fit to PVR (R<sup>2</sup>=0.433, P<0.001). Correcting the Cobb angle by BSA significantly improved its fit to PVR (R<sup>2</sup>=0.510, P<0.001), compared to the uncorrected angle (R<sup>2</sup>=0.450, P<0.001). The model combining Cobb angle/BSA and RVOT-AT strongly predicted PVR (r=0.815, R<sup>2</sup>=0.634, P<0.001) and was effective across different demographics. After multivariable adjustment, the Cobb angle [hazard ratio (HR): 1.057; P<0.001], Cobb angle/BSA (HR: 1.087; P<0.001), tricuspid annular plane systolic excursion (TAPSE) (HR: 0.878; P=0.014), RVOT-AT (HR: 0.968; P=0.030), and right ventricular myocardial performance index (RVMPI) (HR: 5.324; P<0.001) remained significant independent predictors of heart failure.</p><p><strong>Conclusions: </strong>The integration of BSA-adjusted morphological markers from CTPA with hemodynamic parameters derived from TTE provides a promising noninvasive method for predicting PVR and demonstrates significant prognostic value in evaluating heart failure in PH patients.</p>\",\"PeriodicalId\":54267,\"journal\":{\"name\":\"Quantitative Imaging in Medicine and Surgery\",\"volume\":\"15 9\",\"pages\":\"8567-8578\"},\"PeriodicalIF\":2.3000,\"publicationDate\":\"2025-09-01\",\"publicationTypes\":\"Journal Article\",\"fieldsOfStudy\":null,\"isOpenAccess\":false,\"openAccessPdf\":\"https://www.ncbi.nlm.nih.gov/pmc/articles/PMC12397696/pdf/\",\"citationCount\":\"0\",\"resultStr\":null,\"platform\":\"Semanticscholar\",\"paperid\":null,\"PeriodicalName\":\"Quantitative Imaging in Medicine and Surgery\",\"FirstCategoryId\":\"3\",\"ListUrlMain\":\"https://doi.org/10.21037/qims-24-2152\",\"RegionNum\":2,\"RegionCategory\":\"医学\",\"ArticlePicture\":[],\"TitleCN\":null,\"AbstractTextCN\":null,\"PMCID\":null,\"EPubDate\":\"2025/8/11 0:00:00\",\"PubModel\":\"Epub\",\"JCR\":\"Q2\",\"JCRName\":\"RADIOLOGY, NUCLEAR MEDICINE & MEDICAL IMAGING\",\"Score\":null,\"Total\":0}","platform":"Semanticscholar","paperid":null,"PeriodicalName":"Quantitative Imaging in Medicine and Surgery","FirstCategoryId":"3","ListUrlMain":"https://doi.org/10.21037/qims-24-2152","RegionNum":2,"RegionCategory":"医学","ArticlePicture":[],"TitleCN":null,"AbstractTextCN":null,"PMCID":null,"EPubDate":"2025/8/11 0:00:00","PubModel":"Epub","JCR":"Q2","JCRName":"RADIOLOGY, NUCLEAR MEDICINE & MEDICAL IMAGING","Score":null,"Total":0}
引用次数: 0

摘要

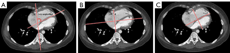
背景:肺血管阻力(PVR)在处理肺动脉高压(PH)中是必不可少的,并促使人们寻找无创评估技术。本研究探讨了计算机断层肺血管造影(CTPA)的形态学参数和经胸超声心动图(TTE)的功能参数的整合,以建立一种无创的方法来评估PH患者的PVR。方法:回顾性分析了接受CTPA, TTE和右心导管(RHC)的PH患者的数据。Cobb角定义为脊柱与室间隔之间的夹角,用CTPA计算。假设胸腔几何形状、心包形态和体表面积(BSA)是影响Cobb角测量的因素,并在分析中对这些因素进行了调整。采用多元线性回归评价预测PVR的多变量能力。多因素Cox回归分析评估参数预测心力衰竭住院的预后价值。结果:共纳入78例符合标准的患者。TTE参数中,右心室流出道加速时间(RVOT-AT)与PVR的拟合度最佳(R2=0.433, P2=0.510, P2=0.450, P2=0.634, p)。结论:CTPA bsa调整的形态学指标与TTE血流动力学参数的整合为预测PVR提供了一种有前途的无创方法,对评价PH患者心力衰竭具有重要的预后价值。
本文章由计算机程序翻译,如有差异,请以英文原文为准。

Noninvasive assessment of pulmonary vascular resistance: a synergistic approach using computed tomography pulmonary angiography and echocardiography in pulmonary hypertension.

Noninvasive assessment of pulmonary vascular resistance: a synergistic approach using computed tomography pulmonary angiography and echocardiography in pulmonary hypertension.

Noninvasive assessment of pulmonary vascular resistance: a synergistic approach using computed tomography pulmonary angiography and echocardiography in pulmonary hypertension.

Noninvasive assessment of pulmonary vascular resistance: a synergistic approach using computed tomography pulmonary angiography and echocardiography in pulmonary hypertension.

Background: Pulmonary vascular resistance (PVR) is essential in managing pulmonary hypertension (PH) and has prompted the search for noninvasive assessment techniques. This study investigates the integration of morphological parameters from computed tomography pulmonary angiography (CTPA) and functional parameters from transthoracic echocardiography (TTE) to develop a noninvasive method for evaluating PVR in patients with PH.

Methods: Data from PH patients who underwent CTPA, TTE, and right heart catheterization (RHC) were analyzed retrospectively. The Cobb angle, defined as the angle between the spine and interventricular septum, was calculated by CTPA. It is assumed that thorax geometry, pericardial morphology, and body surface area (BSA) are factors influencing the Cobb angle measurement, and these factors were adjusted for in the analysis. Multiple linear regression was performed to evaluate the multivariate ability to predict PVR. Multivariate Cox regression analysis assessed the prognostic value of parameters in predicting hospitalization for heart failure.

Results: In total, 78 patients meeting the criteria were enrolled. Among the TTE parameters, the right ventricular outflow tract acceleration time (RVOT-AT) demonstrated the best goodness-of-fit to PVR (R2=0.433, P<0.001). Correcting the Cobb angle by BSA significantly improved its fit to PVR (R2=0.510, P<0.001), compared to the uncorrected angle (R2=0.450, P<0.001). The model combining Cobb angle/BSA and RVOT-AT strongly predicted PVR (r=0.815, R2=0.634, P<0.001) and was effective across different demographics. After multivariable adjustment, the Cobb angle [hazard ratio (HR): 1.057; P<0.001], Cobb angle/BSA (HR: 1.087; P<0.001), tricuspid annular plane systolic excursion (TAPSE) (HR: 0.878; P=0.014), RVOT-AT (HR: 0.968; P=0.030), and right ventricular myocardial performance index (RVMPI) (HR: 5.324; P<0.001) remained significant independent predictors of heart failure.

Conclusions: The integration of BSA-adjusted morphological markers from CTPA with hemodynamic parameters derived from TTE provides a promising noninvasive method for predicting PVR and demonstrates significant prognostic value in evaluating heart failure in PH patients.

求助全文
通过发布文献求助,成功后即可免费获取论文全文。 去求助
来源期刊
Quantitative Imaging in Medicine and Surgery
Quantitative Imaging in Medicine and Surgery Medicine-Radiology, Nuclear Medicine and Imaging
CiteScore
4.20
自引率
17.90%
发文量
252
期刊介绍: Information not localized
×
引用
GB/T 7714-2015
复制
MLA
复制
APA
复制
导出至
BibTeX EndNote RefMan NoteFirst NoteExpress
×
提示
您的信息不完整,为了账户安全,请先补充。
现在去补充
×
提示
您因"违规操作"
具体请查看互助需知
我知道了
×
提示
确定
请完成安全验证×
copy
已复制链接
快去分享给好友吧!
我知道了
右上角分享
点击右上角分享
0
联系我们:info@booksci.cn Book学术提供免费学术资源搜索服务,方便国内外学者检索中英文文献。致力于提供最便捷和优质的服务体验。 Copyright © 2023 布克学术 All rights reserved.
京ICP备2023020795号-1
ghs 京公网安备 11010802042870号
Book学术文献互助
Book学术文献互助群
群 号:604180095
Book学术官方微信