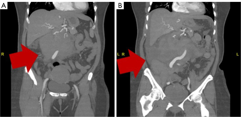
揭示意外:自发性破裂的胰十二指肠动脉假性动脉瘤伴腹膜后血肿,需要胰十二指肠切除术。

IF 2.3 2区 医学 Q2 RADIOLOGY, NUCLEAR MEDICINE & MEDICAL IMAGING
Quantitative Imaging in Medicine and Surgery Pub Date : 2025-09-01 Epub Date: 2025-08-19 DOI:10.21037/qims-2025-212
Aarohi Parikh, Trishna Parikh, Ismail Hader
{"title":"揭示意外:自发性破裂的胰十二指肠动脉假性动脉瘤伴腹膜后血肿,需要胰十二指肠切除术。","authors":"Aarohi Parikh, Trishna Parikh, Ismail Hader","doi":"10.21037/qims-2025-212","DOIUrl":null,"url":null,"abstract":"","PeriodicalId":54267,"journal":{"name":"Quantitative Imaging in Medicine and Surgery","volume":"15 9","pages":"8674-8677"},"PeriodicalIF":2.3000,"publicationDate":"2025-09-01","publicationTypes":"Journal Article","fieldsOfStudy":null,"isOpenAccess":false,"openAccessPdf":"https://www.ncbi.nlm.nih.gov/pmc/articles/PMC12397689/pdf/","citationCount":"0","resultStr":"{\"title\":\"Unveiling the unexpected: spontaneous ruptured pancreaticoduodenal artery pseudoaneurysm with retroperitoneal hematoma requiring pancreaticoduodenectomy.\",\"authors\":\"Aarohi Parikh, Trishna Parikh, Ismail Hader\",\"doi\":\"10.21037/qims-2025-212\",\"DOIUrl\":null,\"url\":null,\"abstract\":\"\",\"PeriodicalId\":54267,\"journal\":{\"name\":\"Quantitative Imaging in Medicine and Surgery\",\"volume\":\"15 9\",\"pages\":\"8674-8677\"},\"PeriodicalIF\":2.3000,\"publicationDate\":\"2025-09-01\",\"publicationTypes\":\"Journal Article\",\"fieldsOfStudy\":null,\"isOpenAccess\":false,\"openAccessPdf\":\"https://www.ncbi.nlm.nih.gov/pmc/articles/PMC12397689/pdf/\",\"citationCount\":\"0\",\"resultStr\":null,\"platform\":\"Semanticscholar\",\"paperid\":null,\"PeriodicalName\":\"Quantitative Imaging in Medicine and Surgery\",\"FirstCategoryId\":\"3\",\"ListUrlMain\":\"https://doi.org/10.21037/qims-2025-212\",\"RegionNum\":2,\"RegionCategory\":\"医学\",\"ArticlePicture\":[],\"TitleCN\":null,\"AbstractTextCN\":null,\"PMCID\":null,\"EPubDate\":\"2025/8/19 0:00:00\",\"PubModel\":\"Epub\",\"JCR\":\"Q2\",\"JCRName\":\"RADIOLOGY, NUCLEAR MEDICINE & MEDICAL IMAGING\",\"Score\":null,\"Total\":0}","platform":"Semanticscholar","paperid":null,"PeriodicalName":"Quantitative Imaging in Medicine and Surgery","FirstCategoryId":"3","ListUrlMain":"https://doi.org/10.21037/qims-2025-212","RegionNum":2,"RegionCategory":"医学","ArticlePicture":[],"TitleCN":null,"AbstractTextCN":null,"PMCID":null,"EPubDate":"2025/8/19 0:00:00","PubModel":"Epub","JCR":"Q2","JCRName":"RADIOLOGY, NUCLEAR MEDICINE & MEDICAL IMAGING","Score":null,"Total":0}
引用次数: 0

摘要

本文章由计算机程序翻译,如有差异,请以英文原文为准。

Unveiling the unexpected: spontaneous ruptured pancreaticoduodenal artery pseudoaneurysm with retroperitoneal hematoma requiring pancreaticoduodenectomy.

Unveiling the unexpected: spontaneous ruptured pancreaticoduodenal artery pseudoaneurysm with retroperitoneal hematoma requiring pancreaticoduodenectomy.

Unveiling the unexpected: spontaneous ruptured pancreaticoduodenal artery pseudoaneurysm with retroperitoneal hematoma requiring pancreaticoduodenectomy.
求助全文
通过发布文献求助,成功后即可免费获取论文全文。 去求助
来源期刊
Quantitative Imaging in Medicine and Surgery
Quantitative Imaging in Medicine and Surgery Medicine-Radiology, Nuclear Medicine and Imaging
CiteScore
4.20
自引率
17.90%
发文量
252
期刊介绍: Information not localized
×
引用
GB/T 7714-2015
复制
MLA
复制
APA
复制
导出至
BibTeX EndNote RefMan NoteFirst NoteExpress
×
提示
您的信息不完整,为了账户安全,请先补充。
现在去补充
×
提示
您因"违规操作"
具体请查看互助需知
我知道了
×
提示
确定
请完成安全验证×
copy
已复制链接
快去分享给好友吧!
我知道了
右上角分享
点击右上角分享
0
联系我们:info@booksci.cn Book学术提供免费学术资源搜索服务,方便国内外学者检索中英文文献。致力于提供最便捷和优质的服务体验。 Copyright © 2023 布克学术 All rights reserved.
京ICP备2023020795号-1
ghs 京公网安备 11010802042870号
Book学术文献互助
Book学术文献互助群
群 号:604180095
Book学术官方微信