评估各种超声标准确定腕管综合征的严重程度。

IF 1.5 Q2 RADIOLOGY, NUCLEAR MEDICINE & MEDICAL IMAGING
Radiology Research and Practice Pub Date : 2025-08-19 eCollection Date: 2025-01-01 DOI:10.1155/rrp/4936187
Elaheh Mianehsaz, Hamidreza Talari, Marziyeh Naghavi Ravandi, Mohammad Hossein Tabatabaei, Mohammad Javad Azadchehr, Saeedeh Eshraqi, Mohammad Mahdi Heidari
{"title":"评估各种超声标准确定腕管综合征的严重程度。","authors":"Elaheh Mianehsaz, Hamidreza Talari, Marziyeh Naghavi Ravandi, Mohammad Hossein Tabatabaei, Mohammad Javad Azadchehr, Saeedeh Eshraqi, Mohammad Mahdi Heidari","doi":"10.1155/rrp/4936187","DOIUrl":null,"url":null,"abstract":"<p><p><b>Objective:</b> This study aimed at assessing the value of a variety of ultrasound criteria for grading carpal tunnel syndrome (CTS) severity. <b>Methods:</b> Ultrasound evaluations were conducted on confirmed CTS patients by an experienced radiologist, blinded to NCS results. Cross-sectional area (CSA) at pronator quadratus muscle, carpal tunnel inlet and outlet, echogenicity, transverse motion during flexion, flattening ratio, and thickening of the flexor retinaculum were measured. <b>Results:</b> Decreased echogenicity of the median nerve was notably observed as a distinguishing feature between mild and moderate cases. Decreased nerve movement was significantly more prevalent in severe CTS cases. No significant differences were found in the median nerve flattening ratio or flexor retinaculum thickness. Bowing at the inlet showed significant differences. CSA at the inlet and outlet indicated severe CTS with significant differences. <b>Conclusion:</b> The findings highlight the importance of using multiple sonographic criteria for accurate diagnosis and treatment, although no significant differences were noted in the median nerve flattening ratio and flexor retinaculum thickness.</p>","PeriodicalId":51864,"journal":{"name":"Radiology Research and Practice","volume":"2025 ","pages":"4936187"},"PeriodicalIF":1.5000,"publicationDate":"2025-08-19","publicationTypes":"Journal Article","fieldsOfStudy":null,"isOpenAccess":false,"openAccessPdf":"https://www.ncbi.nlm.nih.gov/pmc/articles/PMC12380511/pdf/","citationCount":"0","resultStr":"{\"title\":\"Evaluating Various Ultrasound Criteria for Determining Carpal Tunnel Syndrome Severity.\",\"authors\":\"Elaheh Mianehsaz, Hamidreza Talari, Marziyeh Naghavi Ravandi, Mohammad Hossein Tabatabaei, Mohammad Javad Azadchehr, Saeedeh Eshraqi, Mohammad Mahdi Heidari\",\"doi\":\"10.1155/rrp/4936187\",\"DOIUrl\":null,\"url\":null,\"abstract\":\"<p><p><b>Objective:</b> This study aimed at assessing the value of a variety of ultrasound criteria for grading carpal tunnel syndrome (CTS) severity. <b>Methods:</b> Ultrasound evaluations were conducted on confirmed CTS patients by an experienced radiologist, blinded to NCS results. Cross-sectional area (CSA) at pronator quadratus muscle, carpal tunnel inlet and outlet, echogenicity, transverse motion during flexion, flattening ratio, and thickening of the flexor retinaculum were measured. <b>Results:</b> Decreased echogenicity of the median nerve was notably observed as a distinguishing feature between mild and moderate cases. Decreased nerve movement was significantly more prevalent in severe CTS cases. No significant differences were found in the median nerve flattening ratio or flexor retinaculum thickness. Bowing at the inlet showed significant differences. CSA at the inlet and outlet indicated severe CTS with significant differences. <b>Conclusion:</b> The findings highlight the importance of using multiple sonographic criteria for accurate diagnosis and treatment, although no significant differences were noted in the median nerve flattening ratio and flexor retinaculum thickness.</p>\",\"PeriodicalId\":51864,\"journal\":{\"name\":\"Radiology Research and Practice\",\"volume\":\"2025 \",\"pages\":\"4936187\"},\"PeriodicalIF\":1.5000,\"publicationDate\":\"2025-08-19\",\"publicationTypes\":\"Journal Article\",\"fieldsOfStudy\":null,\"isOpenAccess\":false,\"openAccessPdf\":\"https://www.ncbi.nlm.nih.gov/pmc/articles/PMC12380511/pdf/\",\"citationCount\":\"0\",\"resultStr\":null,\"platform\":\"Semanticscholar\",\"paperid\":null,\"PeriodicalName\":\"Radiology Research and Practice\",\"FirstCategoryId\":\"1085\",\"ListUrlMain\":\"https://doi.org/10.1155/rrp/4936187\",\"RegionNum\":0,\"RegionCategory\":null,\"ArticlePicture\":[],\"TitleCN\":null,\"AbstractTextCN\":null,\"PMCID\":null,\"EPubDate\":\"2025/1/1 0:00:00\",\"PubModel\":\"eCollection\",\"JCR\":\"Q2\",\"JCRName\":\"RADIOLOGY, NUCLEAR MEDICINE & MEDICAL IMAGING\",\"Score\":null,\"Total\":0}","platform":"Semanticscholar","paperid":null,"PeriodicalName":"Radiology Research and Practice","FirstCategoryId":"1085","ListUrlMain":"https://doi.org/10.1155/rrp/4936187","RegionNum":0,"RegionCategory":null,"ArticlePicture":[],"TitleCN":null,"AbstractTextCN":null,"PMCID":null,"EPubDate":"2025/1/1 0:00:00","PubModel":"eCollection","JCR":"Q2","JCRName":"RADIOLOGY, NUCLEAR MEDICINE & MEDICAL IMAGING","Score":null,"Total":0}
引用次数: 0

摘要

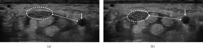
目的:本研究旨在评估各种超声标准对腕管综合征(CTS)严重程度分级的价值。方法:由经验丰富的放射科医生对确诊的CTS患者进行超声评估,对NCS结果不知情。测量旋前方肌横截面积(CSA)、腕管进出口、回声性、屈曲时的横向运动、压平率和屈肌支持带增厚。结果:正中神经回声减弱是轻度和中度病例的显著特征。神经运动减少在严重的CTS病例中更为普遍。两组正中神经压平率和屈肌视黄带厚度无显著差异。进气道弯曲有显著性差异。进口和出口的CSA显示严重的CTS,差异有统计学意义。结论:虽然正中神经压平率和屈肌视黄带厚度无明显差异,但超声多指标对准确诊断和治疗具有重要意义。
本文章由计算机程序翻译,如有差异,请以英文原文为准。

Evaluating Various Ultrasound Criteria for Determining Carpal Tunnel Syndrome Severity.

Evaluating Various Ultrasound Criteria for Determining Carpal Tunnel Syndrome Severity.

Evaluating Various Ultrasound Criteria for Determining Carpal Tunnel Syndrome Severity.

Evaluating Various Ultrasound Criteria for Determining Carpal Tunnel Syndrome Severity.

Objective: This study aimed at assessing the value of a variety of ultrasound criteria for grading carpal tunnel syndrome (CTS) severity. Methods: Ultrasound evaluations were conducted on confirmed CTS patients by an experienced radiologist, blinded to NCS results. Cross-sectional area (CSA) at pronator quadratus muscle, carpal tunnel inlet and outlet, echogenicity, transverse motion during flexion, flattening ratio, and thickening of the flexor retinaculum were measured. Results: Decreased echogenicity of the median nerve was notably observed as a distinguishing feature between mild and moderate cases. Decreased nerve movement was significantly more prevalent in severe CTS cases. No significant differences were found in the median nerve flattening ratio or flexor retinaculum thickness. Bowing at the inlet showed significant differences. CSA at the inlet and outlet indicated severe CTS with significant differences. Conclusion: The findings highlight the importance of using multiple sonographic criteria for accurate diagnosis and treatment, although no significant differences were noted in the median nerve flattening ratio and flexor retinaculum thickness.

求助全文
通过发布文献求助,成功后即可免费获取论文全文。 去求助
来源期刊
Radiology Research and Practice
Radiology Research and Practice RADIOLOGY, NUCLEAR MEDICINE & MEDICAL IMAGING-
自引率
0.00%
发文量
17
审稿时长
17 weeks
期刊介绍: Radiology Research and Practice is a peer-reviewed, Open Access journal that publishes articles on all areas of medical imaging. The journal promotes evidence-based radiology practice though the publication of original research, reviews, and clinical studies for a multidisciplinary audience. Radiology Research and Practice is archived in Portico, which provides permanent archiving for electronic scholarly journals, as well as via the LOCKSS initiative. It operates a fully open access publishing model which allows open global access to its published content. This model is supported through Article Processing Charges. For more information on Article Processing charges in gen
×
引用
GB/T 7714-2015
复制
MLA
复制
APA
复制
导出至
BibTeX EndNote RefMan NoteFirst NoteExpress
×
提示
您的信息不完整,为了账户安全,请先补充。
现在去补充
×
提示
您因"违规操作"
具体请查看互助需知
我知道了
×
提示
确定
请完成安全验证×
copy
已复制链接
快去分享给好友吧!
我知道了
右上角分享
点击右上角分享
0
联系我们:info@booksci.cn Book学术提供免费学术资源搜索服务,方便国内外学者检索中英文文献。致力于提供最便捷和优质的服务体验。 Copyright © 2023 布克学术 All rights reserved.
京ICP备2023020795号-1
ghs 京公网安备 11010802042870号
Book学术文献互助
Book学术文献互助群
群 号:604180095
Book学术官方微信