门静脉支架挽救了生命。

IF 1.5 Q3 CARDIAC & CARDIOVASCULAR SYSTEMS
Panagiotis Grigoropoulos, Vasilina Tsemelidi, Orfeas Varvarelis, Antonios Vezakis, Achilles Chatziioannou, Miltiadis Krokidis
{"title":"门静脉支架挽救了生命。","authors":"Panagiotis Grigoropoulos, Vasilina Tsemelidi, Orfeas Varvarelis, Antonios Vezakis, Achilles Chatziioannou, Miltiadis Krokidis","doi":"10.1186/s42155-025-00586-3","DOIUrl":null,"url":null,"abstract":"<p><strong>Background: </strong>Post-operative portal vein stenosis/occlusion is a relatively common and life-threatening condition. Clinical outcomes depend on the early diagnosis and the appropriate management.</p><p><strong>Case presentation: </strong>A 78-year-old female developed portal vein high grade stenosis after resection of an ampullary cholangiocarcinoma. The patient presented with acute liver failure and impaired coagulation function. Imaging confirmed transient ischemic changes of the hepatic parenchyma. Salvage attempt with a portal venous stent was decided to prevent irreversible liver damage. The procedure was successful with a satisfactory clinical outcome.</p><p><strong>Conclusions: </strong>The paper offers a summary of the clinical benefit from percutaneous portal venous stent placement in case of post operative high grade portal vein stenosis in a patient with acute liver failure.</p>","PeriodicalId":52351,"journal":{"name":"CVIR Endovascular","volume":"8 1","pages":"69"},"PeriodicalIF":1.5000,"publicationDate":"2025-08-29","publicationTypes":"Journal Article","fieldsOfStudy":null,"isOpenAccess":false,"openAccessPdf":"https://www.ncbi.nlm.nih.gov/pmc/articles/PMC12397468/pdf/","citationCount":"0","resultStr":"{\"title\":\"Portal vein stent to save the day.\",\"authors\":\"Panagiotis Grigoropoulos, Vasilina Tsemelidi, Orfeas Varvarelis, Antonios Vezakis, Achilles Chatziioannou, Miltiadis Krokidis\",\"doi\":\"10.1186/s42155-025-00586-3\",\"DOIUrl\":null,\"url\":null,\"abstract\":\"<p><strong>Background: </strong>Post-operative portal vein stenosis/occlusion is a relatively common and life-threatening condition. Clinical outcomes depend on the early diagnosis and the appropriate management.</p><p><strong>Case presentation: </strong>A 78-year-old female developed portal vein high grade stenosis after resection of an ampullary cholangiocarcinoma. The patient presented with acute liver failure and impaired coagulation function. Imaging confirmed transient ischemic changes of the hepatic parenchyma. Salvage attempt with a portal venous stent was decided to prevent irreversible liver damage. The procedure was successful with a satisfactory clinical outcome.</p><p><strong>Conclusions: </strong>The paper offers a summary of the clinical benefit from percutaneous portal venous stent placement in case of post operative high grade portal vein stenosis in a patient with acute liver failure.</p>\",\"PeriodicalId\":52351,\"journal\":{\"name\":\"CVIR Endovascular\",\"volume\":\"8 1\",\"pages\":\"69\"},\"PeriodicalIF\":1.5000,\"publicationDate\":\"2025-08-29\",\"publicationTypes\":\"Journal Article\",\"fieldsOfStudy\":null,\"isOpenAccess\":false,\"openAccessPdf\":\"https://www.ncbi.nlm.nih.gov/pmc/articles/PMC12397468/pdf/\",\"citationCount\":\"0\",\"resultStr\":null,\"platform\":\"Semanticscholar\",\"paperid\":null,\"PeriodicalName\":\"CVIR Endovascular\",\"FirstCategoryId\":\"1085\",\"ListUrlMain\":\"https://doi.org/10.1186/s42155-025-00586-3\",\"RegionNum\":0,\"RegionCategory\":null,\"ArticlePicture\":[],\"TitleCN\":null,\"AbstractTextCN\":null,\"PMCID\":null,\"EPubDate\":\"\",\"PubModel\":\"\",\"JCR\":\"Q3\",\"JCRName\":\"CARDIAC & CARDIOVASCULAR SYSTEMS\",\"Score\":null,\"Total\":0}","platform":"Semanticscholar","paperid":null,"PeriodicalName":"CVIR Endovascular","FirstCategoryId":"1085","ListUrlMain":"https://doi.org/10.1186/s42155-025-00586-3","RegionNum":0,"RegionCategory":null,"ArticlePicture":[],"TitleCN":null,"AbstractTextCN":null,"PMCID":null,"EPubDate":"","PubModel":"","JCR":"Q3","JCRName":"CARDIAC & CARDIOVASCULAR SYSTEMS","Score":null,"Total":0}
引用次数: 0

摘要

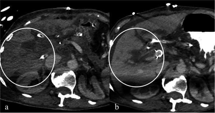
背景:术后门静脉狭窄/闭塞是一种较为常见且危及生命的疾病。临床结果取决于早期诊断和适当的治疗。病例介绍:一位78岁女性在切除壶腹胆管癌后出现门静脉高度狭窄。患者表现为急性肝功能衰竭和凝血功能受损。影像学证实肝实质短暂性缺血改变。决定采用门静脉支架进行抢救,以防止不可逆的肝损害。手术成功,临床效果满意。结论:本文总结了经皮门静脉支架置入术治疗急性肝衰竭患者术后门静脉高度狭窄的临床疗效。
本文章由计算机程序翻译,如有差异,请以英文原文为准。

Portal vein stent to save the day.

Portal vein stent to save the day.

Portal vein stent to save the day.

Background: Post-operative portal vein stenosis/occlusion is a relatively common and life-threatening condition. Clinical outcomes depend on the early diagnosis and the appropriate management.

Case presentation: A 78-year-old female developed portal vein high grade stenosis after resection of an ampullary cholangiocarcinoma. The patient presented with acute liver failure and impaired coagulation function. Imaging confirmed transient ischemic changes of the hepatic parenchyma. Salvage attempt with a portal venous stent was decided to prevent irreversible liver damage. The procedure was successful with a satisfactory clinical outcome.

Conclusions: The paper offers a summary of the clinical benefit from percutaneous portal venous stent placement in case of post operative high grade portal vein stenosis in a patient with acute liver failure.

求助全文
通过发布文献求助,成功后即可免费获取论文全文。 去求助
来源期刊
CVIR Endovascular
CVIR Endovascular Medicine-Radiology, Nuclear Medicine and Imaging
CiteScore
2.30
自引率
0.00%
发文量
59
×
引用
GB/T 7714-2015
复制
MLA
复制
APA
复制
导出至
BibTeX EndNote RefMan NoteFirst NoteExpress
×
提示
您的信息不完整,为了账户安全,请先补充。
现在去补充
×
提示
您因"违规操作"
具体请查看互助需知
我知道了
×
提示
确定
请完成安全验证×
copy
已复制链接
快去分享给好友吧!
我知道了
右上角分享
点击右上角分享
0
联系我们:info@booksci.cn Book学术提供免费学术资源搜索服务,方便国内外学者检索中英文文献。致力于提供最便捷和优质的服务体验。 Copyright © 2023 布克学术 All rights reserved.
京ICP备2023020795号-1
ghs 京公网安备 11010802042870号
Book学术文献互助
Book学术文献互助群
群 号:604180095
Book学术官方微信