使用PULSAR(个性化超分割立体定向适应性放疗)巩固免疫检查点抑制治疗儿童转移性黑色素瘤。

IF 3.3 2区 医学 Q2 ONCOLOGY
Kyra L McCarty, Tanya Watt, Tu D Dan, Robert D Timmerman, Kiran A Kumar
{"title":"使用PULSAR(个性化超分割立体定向适应性放疗)巩固免疫检查点抑制治疗儿童转移性黑色素瘤。","authors":"Kyra L McCarty, Tanya Watt, Tu D Dan, Robert D Timmerman, Kiran A Kumar","doi":"10.1186/s13014-025-02691-y","DOIUrl":null,"url":null,"abstract":"<p><p>We present a case of extensive and bulky pediatric metastatic melanoma originating in the head and neck which markedly responded to combination therapy with anti-programmed cell death (PD-1) inhibition and consolidative personalized ultra-fractionated stereotactic adaptive radiotherapy (PULSAR). After surgical debulking with neck dissection, the patient was initially treated with anti-PD-1 and anti-cytotoxic T-lymphocyte associated protein 4 (CTLA-4) dual checkpoint blockade immunotherapy, but quickly had disease progression. He was transitioned to a different anti-PD-1 immunotherapy in combination with tyrosine kinase inhibitors in conjunction with consolidative local therapy using PULSAR. This combination therapy achieved tumor response and progression-free status for one year before further disease progression at a separate site in the mediastinum. Due to otherwise good disease control, single agent anti-PD-1 immunotherapy was continued and salvage PULSAR was administered to the progressive site, again resulting in tumor response and progression-free status for 6 months. None of the bulkier sites of gross disease had local progression after combination therapy. This case suggests that the synergistic effect of PULSAR and anti-PD-1 immunotherapy is efficacious for relapsed or refractory metastatic melanoma in pediatric patients. Clinical trial number: not applicable.</p>","PeriodicalId":49639,"journal":{"name":"Radiation Oncology","volume":"20 1","pages":"132"},"PeriodicalIF":3.3000,"publicationDate":"2025-08-21","publicationTypes":"Journal Article","fieldsOfStudy":null,"isOpenAccess":false,"openAccessPdf":"https://www.ncbi.nlm.nih.gov/pmc/articles/PMC12369228/pdf/","citationCount":"0","resultStr":"{\"title\":\"Use of PULSAR (personalized ultra-fractionated stereotactic adaptive radiotherapy) as consolidation with immune checkpoint inhibition in the treatment of pediatric metastatic melanoma.\",\"authors\":\"Kyra L McCarty, Tanya Watt, Tu D Dan, Robert D Timmerman, Kiran A Kumar\",\"doi\":\"10.1186/s13014-025-02691-y\",\"DOIUrl\":null,\"url\":null,\"abstract\":\"<p><p>We present a case of extensive and bulky pediatric metastatic melanoma originating in the head and neck which markedly responded to combination therapy with anti-programmed cell death (PD-1) inhibition and consolidative personalized ultra-fractionated stereotactic adaptive radiotherapy (PULSAR). After surgical debulking with neck dissection, the patient was initially treated with anti-PD-1 and anti-cytotoxic T-lymphocyte associated protein 4 (CTLA-4) dual checkpoint blockade immunotherapy, but quickly had disease progression. He was transitioned to a different anti-PD-1 immunotherapy in combination with tyrosine kinase inhibitors in conjunction with consolidative local therapy using PULSAR. This combination therapy achieved tumor response and progression-free status for one year before further disease progression at a separate site in the mediastinum. Due to otherwise good disease control, single agent anti-PD-1 immunotherapy was continued and salvage PULSAR was administered to the progressive site, again resulting in tumor response and progression-free status for 6 months. None of the bulkier sites of gross disease had local progression after combination therapy. This case suggests that the synergistic effect of PULSAR and anti-PD-1 immunotherapy is efficacious for relapsed or refractory metastatic melanoma in pediatric patients. Clinical trial number: not applicable.</p>\",\"PeriodicalId\":49639,\"journal\":{\"name\":\"Radiation Oncology\",\"volume\":\"20 1\",\"pages\":\"132\"},\"PeriodicalIF\":3.3000,\"publicationDate\":\"2025-08-21\",\"publicationTypes\":\"Journal Article\",\"fieldsOfStudy\":null,\"isOpenAccess\":false,\"openAccessPdf\":\"https://www.ncbi.nlm.nih.gov/pmc/articles/PMC12369228/pdf/\",\"citationCount\":\"0\",\"resultStr\":null,\"platform\":\"Semanticscholar\",\"paperid\":null,\"PeriodicalName\":\"Radiation Oncology\",\"FirstCategoryId\":\"3\",\"ListUrlMain\":\"https://doi.org/10.1186/s13014-025-02691-y\",\"RegionNum\":2,\"RegionCategory\":\"医学\",\"ArticlePicture\":[],\"TitleCN\":null,\"AbstractTextCN\":null,\"PMCID\":null,\"EPubDate\":\"\",\"PubModel\":\"\",\"JCR\":\"Q2\",\"JCRName\":\"ONCOLOGY\",\"Score\":null,\"Total\":0}","platform":"Semanticscholar","paperid":null,"PeriodicalName":"Radiation Oncology","FirstCategoryId":"3","ListUrlMain":"https://doi.org/10.1186/s13014-025-02691-y","RegionNum":2,"RegionCategory":"医学","ArticlePicture":[],"TitleCN":null,"AbstractTextCN":null,"PMCID":null,"EPubDate":"","PubModel":"","JCR":"Q2","JCRName":"ONCOLOGY","Score":null,"Total":0}
引用次数: 0

摘要

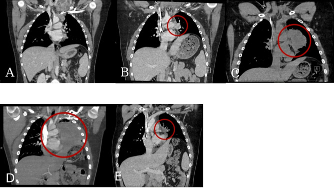
我们报告了一例起源于头部和颈部的广泛而庞大的儿童转移性黑色素瘤,该病例对抗程序性细胞死亡(PD-1)抑制和巩固的个性化超分割立体定向适应性放疗(PULSAR)联合治疗有明显反应。手术切除颈部后,患者最初接受抗pd -1和抗细胞毒性t淋巴细胞相关蛋白4 (CTLA-4)双检查点阻断免疫治疗,但很快疾病进展。他被转移到一种不同的抗pd -1免疫疗法,与酪氨酸激酶抑制剂联合使用PULSAR巩固局部治疗。这种联合治疗在纵隔的另一个部位进一步疾病进展之前达到了肿瘤缓解和无进展状态一年。由于其他方面疾病控制良好,继续进行单药抗pd -1免疫治疗,并对进展部位给予补救性PULSAR,再次导致肿瘤反应和6个月的无进展状态。在联合治疗后,没有较大部位的大体病变出现局部进展。本病例提示,PULSAR联合抗pd -1免疫治疗对小儿复发或难治性转移性黑色素瘤是有效的。临床试验号:不适用。
本文章由计算机程序翻译,如有差异,请以英文原文为准。

Use of PULSAR (personalized ultra-fractionated stereotactic adaptive radiotherapy) as consolidation with immune checkpoint inhibition in the treatment of pediatric metastatic melanoma.

Use of PULSAR (personalized ultra-fractionated stereotactic adaptive radiotherapy) as consolidation with immune checkpoint inhibition in the treatment of pediatric metastatic melanoma.

Use of PULSAR (personalized ultra-fractionated stereotactic adaptive radiotherapy) as consolidation with immune checkpoint inhibition in the treatment of pediatric metastatic melanoma.

Use of PULSAR (personalized ultra-fractionated stereotactic adaptive radiotherapy) as consolidation with immune checkpoint inhibition in the treatment of pediatric metastatic melanoma.

We present a case of extensive and bulky pediatric metastatic melanoma originating in the head and neck which markedly responded to combination therapy with anti-programmed cell death (PD-1) inhibition and consolidative personalized ultra-fractionated stereotactic adaptive radiotherapy (PULSAR). After surgical debulking with neck dissection, the patient was initially treated with anti-PD-1 and anti-cytotoxic T-lymphocyte associated protein 4 (CTLA-4) dual checkpoint blockade immunotherapy, but quickly had disease progression. He was transitioned to a different anti-PD-1 immunotherapy in combination with tyrosine kinase inhibitors in conjunction with consolidative local therapy using PULSAR. This combination therapy achieved tumor response and progression-free status for one year before further disease progression at a separate site in the mediastinum. Due to otherwise good disease control, single agent anti-PD-1 immunotherapy was continued and salvage PULSAR was administered to the progressive site, again resulting in tumor response and progression-free status for 6 months. None of the bulkier sites of gross disease had local progression after combination therapy. This case suggests that the synergistic effect of PULSAR and anti-PD-1 immunotherapy is efficacious for relapsed or refractory metastatic melanoma in pediatric patients. Clinical trial number: not applicable.

求助全文
通过发布文献求助,成功后即可免费获取论文全文。 去求助
来源期刊
Radiation Oncology
Radiation Oncology ONCOLOGY-RADIOLOGY, NUCLEAR MEDICINE & MEDICAL IMAGING
CiteScore
6.50
自引率
2.80%
发文量
181
审稿时长
3-6 weeks
期刊介绍: Radiation Oncology encompasses all aspects of research that impacts on the treatment of cancer using radiation. It publishes findings in molecular and cellular radiation biology, radiation physics, radiation technology, and clinical oncology.
×
引用
GB/T 7714-2015
复制
MLA
复制
APA
复制
导出至
BibTeX EndNote RefMan NoteFirst NoteExpress
×
提示
您的信息不完整,为了账户安全,请先补充。
现在去补充
×
提示
您因"违规操作"
具体请查看互助需知
我知道了
×
提示
确定
请完成安全验证×
copy
已复制链接
快去分享给好友吧!
我知道了
右上角分享
点击右上角分享
0
联系我们:info@booksci.cn Book学术提供免费学术资源搜索服务,方便国内外学者检索中英文文献。致力于提供最便捷和优质的服务体验。 Copyright © 2023 布克学术 All rights reserved.
京ICP备2023020795号-1
ghs 京公网安备 11010802042870号
Book学术文献互助
Book学术文献互助群
群 号:604180095
Book学术官方微信