食管切除术后罕见并发症的发生率、临床特征、危险因素、处理和预防。

IF 3.4 3区 医学 Q1 GASTROENTEROLOGY & HEPATOLOGY
Therapeutic Advances in Gastroenterology Pub Date : 2025-08-18 eCollection Date: 2025-01-01 DOI:10.1177/17562848251366238
Guoqing Zhang, Jia Jiao, Long Qiu, Zheng Ding, Jia Zhao, Xue Pan, Xiangnan Li
{"title":"食管切除术后罕见并发症的发生率、临床特征、危险因素、处理和预防。","authors":"Guoqing Zhang, Jia Jiao, Long Qiu, Zheng Ding, Jia Zhao, Xue Pan, Xiangnan Li","doi":"10.1177/17562848251366238","DOIUrl":null,"url":null,"abstract":"<p><p>In recent years, common postoperative complications after esophagectomy have received increasing attention. However, the attention paid to rare complications, which often lead to serious consequences if they are not diagnosed in a timely manner, has not been sufficient. In this article, we present both the clinical and imaging features of rare complications following esophagectomy and strategies for their prevention and management. These rare complications are classified into four groups: esophageal substitute-related complications, thoracic duct-related complications, hernia-related complications, and transmural Hem-o-lok clip migration. Esophageal substitute-related complications include redundant conduits and conduit necrosis. We further classify redundant conduits as length-redundant conduits, width-redundant conduits, or a combination of both redundancies. Thoracic duct-related complications include refractory chylothorax and chylomediastinum. Refractory chylothorax is chylothorax refractory to well-established medical, interventional, and even surgical strategies, whereas chylomediastinum is a rare condition characterized by the accumulation of chyle in the mediastinum. Hernia-related complications are subclassified as hiatal hernias, retrocardiac lung hernias, intercostal lung hernias, trocar-site hernias, hernias internal to the retrosternal space or pericardium, and mesenteric defects. Transmural Hem-o-lok clip migration includes penetration of the trachea, conduit, or both. Thoracic surgeons should familiarize themselves with the rare complications of esophagectomy, most of which are serious conditions that require early and accurate diagnosis for proper management. The choice of intervention for rare complications depends on factors such as the patient's general condition, the specific type of complication, the complication severity, the reconstruction route, the available medical resources, and the surgeon's preference. To minimize the risk of these complications, esophagectomy and prevention methods need to be standardized.</p>","PeriodicalId":48770,"journal":{"name":"Therapeutic Advances in Gastroenterology","volume":"18 ","pages":"17562848251366238"},"PeriodicalIF":3.4000,"publicationDate":"2025-08-18","publicationTypes":"Journal Article","fieldsOfStudy":null,"isOpenAccess":false,"openAccessPdf":"https://www.ncbi.nlm.nih.gov/pmc/articles/PMC12365439/pdf/","citationCount":"0","resultStr":"{\"title\":\"Rare complications after esophagectomy: incidence, clinical features, risk factors, management, and prevention.\",\"authors\":\"Guoqing Zhang, Jia Jiao, Long Qiu, Zheng Ding, Jia Zhao, Xue Pan, Xiangnan Li\",\"doi\":\"10.1177/17562848251366238\",\"DOIUrl\":null,\"url\":null,\"abstract\":\"<p><p>In recent years, common postoperative complications after esophagectomy have received increasing attention. However, the attention paid to rare complications, which often lead to serious consequences if they are not diagnosed in a timely manner, has not been sufficient. In this article, we present both the clinical and imaging features of rare complications following esophagectomy and strategies for their prevention and management. These rare complications are classified into four groups: esophageal substitute-related complications, thoracic duct-related complications, hernia-related complications, and transmural Hem-o-lok clip migration. Esophageal substitute-related complications include redundant conduits and conduit necrosis. We further classify redundant conduits as length-redundant conduits, width-redundant conduits, or a combination of both redundancies. Thoracic duct-related complications include refractory chylothorax and chylomediastinum. Refractory chylothorax is chylothorax refractory to well-established medical, interventional, and even surgical strategies, whereas chylomediastinum is a rare condition characterized by the accumulation of chyle in the mediastinum. Hernia-related complications are subclassified as hiatal hernias, retrocardiac lung hernias, intercostal lung hernias, trocar-site hernias, hernias internal to the retrosternal space or pericardium, and mesenteric defects. Transmural Hem-o-lok clip migration includes penetration of the trachea, conduit, or both. Thoracic surgeons should familiarize themselves with the rare complications of esophagectomy, most of which are serious conditions that require early and accurate diagnosis for proper management. The choice of intervention for rare complications depends on factors such as the patient's general condition, the specific type of complication, the complication severity, the reconstruction route, the available medical resources, and the surgeon's preference. To minimize the risk of these complications, esophagectomy and prevention methods need to be standardized.</p>\",\"PeriodicalId\":48770,\"journal\":{\"name\":\"Therapeutic Advances in Gastroenterology\",\"volume\":\"18 \",\"pages\":\"17562848251366238\"},\"PeriodicalIF\":3.4000,\"publicationDate\":\"2025-08-18\",\"publicationTypes\":\"Journal Article\",\"fieldsOfStudy\":null,\"isOpenAccess\":false,\"openAccessPdf\":\"https://www.ncbi.nlm.nih.gov/pmc/articles/PMC12365439/pdf/\",\"citationCount\":\"0\",\"resultStr\":null,\"platform\":\"Semanticscholar\",\"paperid\":null,\"PeriodicalName\":\"Therapeutic Advances in Gastroenterology\",\"FirstCategoryId\":\"3\",\"ListUrlMain\":\"https://doi.org/10.1177/17562848251366238\",\"RegionNum\":3,\"RegionCategory\":\"医学\",\"ArticlePicture\":[],\"TitleCN\":null,\"AbstractTextCN\":null,\"PMCID\":null,\"EPubDate\":\"2025/1/1 0:00:00\",\"PubModel\":\"eCollection\",\"JCR\":\"Q1\",\"JCRName\":\"GASTROENTEROLOGY & HEPATOLOGY\",\"Score\":null,\"Total\":0}","platform":"Semanticscholar","paperid":null,"PeriodicalName":"Therapeutic Advances in Gastroenterology","FirstCategoryId":"3","ListUrlMain":"https://doi.org/10.1177/17562848251366238","RegionNum":3,"RegionCategory":"医学","ArticlePicture":[],"TitleCN":null,"AbstractTextCN":null,"PMCID":null,"EPubDate":"2025/1/1 0:00:00","PubModel":"eCollection","JCR":"Q1","JCRName":"GASTROENTEROLOGY & HEPATOLOGY","Score":null,"Total":0}
引用次数: 0

摘要

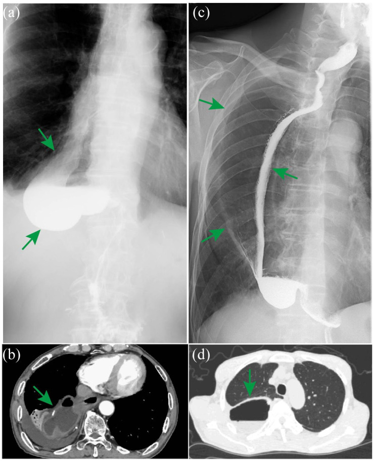
近年来,食管切除术后常见的术后并发症越来越受到重视。然而,对罕见并发症的关注还不够,这些并发症如果不及时诊断往往会导致严重后果。在这篇文章中,我们将介绍食管切除术后罕见并发症的临床和影像学特征,以及预防和处理这些并发症的策略。这些罕见的并发症分为四组:食管代用品相关并发症、胸导管相关并发症、疝气相关并发症和经壁Hem-o-lok夹移位。食管代用品相关并发症包括多余的导管和导管坏死。我们进一步将冗余管道分类为长度冗余管道,宽度冗余管道或两种冗余的组合。胸导管相关并发症包括难治性乳糜胸和乳糜纵隔。难治性乳糜胸是一种建立良好的医学、介入甚至外科治疗策略都难以治疗的乳糜胸,而乳糜纵隔是一种罕见的疾病,其特征是乳糜在纵隔积聚。疝相关并发症可分为裂孔疝、心后肺疝、肋间肺疝、套管针部位疝、胸骨后间隙或心包内疝和肠系膜缺损。经壁Hem-o-lok夹移动包括穿透气管、导管或两者。胸外科医生应熟悉食管切除术的罕见并发症,这些并发症大多是严重的,需要早期准确诊断并妥善处理。对罕见并发症的干预选择取决于患者的一般情况、并发症的具体类型、并发症的严重程度、重建途径、可用的医疗资源和外科医生的偏好等因素。为了将这些并发症的风险降到最低,食管切除术和预防方法需要标准化。
本文章由计算机程序翻译,如有差异,请以英文原文为准。

Rare complications after esophagectomy: incidence, clinical features, risk factors, management, and prevention.

Rare complications after esophagectomy: incidence, clinical features, risk factors, management, and prevention.

Rare complications after esophagectomy: incidence, clinical features, risk factors, management, and prevention.

Rare complications after esophagectomy: incidence, clinical features, risk factors, management, and prevention.

In recent years, common postoperative complications after esophagectomy have received increasing attention. However, the attention paid to rare complications, which often lead to serious consequences if they are not diagnosed in a timely manner, has not been sufficient. In this article, we present both the clinical and imaging features of rare complications following esophagectomy and strategies for their prevention and management. These rare complications are classified into four groups: esophageal substitute-related complications, thoracic duct-related complications, hernia-related complications, and transmural Hem-o-lok clip migration. Esophageal substitute-related complications include redundant conduits and conduit necrosis. We further classify redundant conduits as length-redundant conduits, width-redundant conduits, or a combination of both redundancies. Thoracic duct-related complications include refractory chylothorax and chylomediastinum. Refractory chylothorax is chylothorax refractory to well-established medical, interventional, and even surgical strategies, whereas chylomediastinum is a rare condition characterized by the accumulation of chyle in the mediastinum. Hernia-related complications are subclassified as hiatal hernias, retrocardiac lung hernias, intercostal lung hernias, trocar-site hernias, hernias internal to the retrosternal space or pericardium, and mesenteric defects. Transmural Hem-o-lok clip migration includes penetration of the trachea, conduit, or both. Thoracic surgeons should familiarize themselves with the rare complications of esophagectomy, most of which are serious conditions that require early and accurate diagnosis for proper management. The choice of intervention for rare complications depends on factors such as the patient's general condition, the specific type of complication, the complication severity, the reconstruction route, the available medical resources, and the surgeon's preference. To minimize the risk of these complications, esophagectomy and prevention methods need to be standardized.

求助全文
通过发布文献求助,成功后即可免费获取论文全文。 去求助
来源期刊
Therapeutic Advances in Gastroenterology
Therapeutic Advances in Gastroenterology GASTROENTEROLOGY & HEPATOLOGY-
CiteScore
6.70
自引率
2.40%
发文量
103
审稿时长
15 weeks
期刊介绍: Therapeutic Advances in Gastroenterology is an open access journal which delivers the highest quality peer-reviewed original research articles, reviews, and scholarly comment on pioneering efforts and innovative studies in the medical treatment of gastrointestinal and hepatic disorders. The journal has a strong clinical and pharmacological focus and is aimed at an international audience of clinicians and researchers in gastroenterology and related disciplines, providing an online forum for rapid dissemination of recent research and perspectives in this area. The editors welcome original research articles across all areas of gastroenterology and hepatology. The journal publishes original research articles and review articles primarily. Original research manuscripts may include laboratory, animal or human/clinical studies – all phases. Letters to the Editor and Case Reports will also be considered.
×
引用
GB/T 7714-2015
复制
MLA
复制
APA
复制
导出至
BibTeX EndNote RefMan NoteFirst NoteExpress
×
提示
您的信息不完整,为了账户安全,请先补充。
现在去补充
×
提示
您因"违规操作"
具体请查看互助需知
我知道了
×
提示
确定
请完成安全验证×
copy
已复制链接
快去分享给好友吧!
我知道了
右上角分享
点击右上角分享
0
联系我们:info@booksci.cn Book学术提供免费学术资源搜索服务,方便国内外学者检索中英文文献。致力于提供最便捷和优质的服务体验。 Copyright © 2023 布克学术 All rights reserved.
京ICP备2023020795号-1
ghs 京公网安备 11010802042870号
Book学术文献互助
Book学术文献互助群
群 号:604180095
Book学术官方微信