一个微笑研究项目治疗后口腔健康变化、患者感知和经历的混合方法病例报告:2年随访。

IF 2.2 Q2 MEDICINE, GENERAL & INTERNAL
Mona Abdelrehim, ZhuZhen Hellen Huang, Christiana Martine, Imon Pal, Kamini Kaura, Anuj Aggarwal, Sonica Singhal
{"title":"一个微笑研究项目治疗后口腔健康变化、患者感知和经历的混合方法病例报告:2年随访。","authors":"Mona Abdelrehim, ZhuZhen Hellen Huang, Christiana Martine, Imon Pal, Kamini Kaura, Anuj Aggarwal, Sonica Singhal","doi":"10.3390/clinpract15080136","DOIUrl":null,"url":null,"abstract":"<p><p><b>Background</b>: In Canada, despite universal healthcare coverage, dental care remains predominantly privately financed, creating financial barriers that prevent many from accessing essential services. This case study is part of a larger initiative, the One Smile Research program, which evaluates the impact of cost-free dental care on the oral health and overall well-being of individuals who have been unable to access dental services in the past two years due to financial constraints. Participants in the program receive necessary dental care and attend follow-up appointments to assess the long-term effects of continuous cost-free care. <b>Clinical Case</b>: This mixed-methods case report focuses on a 26-year-old male participant and integrates a qualitative semi-structured interview with clinical and self-reported data, providing an in-depth understanding of his experiences. <b>Results</b>: Clinical outcomes demonstrated the effectiveness of the provided dental treatments, while self-reported measures indicated improved oral health, satisfaction with dental appearance, enhanced psychosocial well-being, increased self-esteem, reduced dental anxiety, and better oral hygiene habits. The qualitative interview identified three key themes reflecting positive experiences with the program: ease of admission, staff kindness, and overall well-being improvement. The integration of both quantitative and qualitative analyses revealed significant advancements in both objective and subjective measures, particularly regarding overall well-being. <b>Conclusions</b>: The continuity of cost-free dental care effectively addressed the participant's oral health and overall well-being, with most benefits sustained even at the two-year follow-up. These individual-level outcomes offer preliminary insight into the potential advantages of universal dental coverage within the Canadian healthcare system.</p>","PeriodicalId":45306,"journal":{"name":"Clinics and Practice","volume":"15 8","pages":""},"PeriodicalIF":2.2000,"publicationDate":"2025-07-23","publicationTypes":"Journal Article","fieldsOfStudy":null,"isOpenAccess":false,"openAccessPdf":"https://www.ncbi.nlm.nih.gov/pmc/articles/PMC12384726/pdf/","citationCount":"0","resultStr":"{\"title\":\"A Mixed-Methods Case Report on Oral Health Changes and Patient Perceptions and Experiences Following Treatment at the One Smile Research Program: A 2-Year Follow-Up.\",\"authors\":\"Mona Abdelrehim, ZhuZhen Hellen Huang, Christiana Martine, Imon Pal, Kamini Kaura, Anuj Aggarwal, Sonica Singhal\",\"doi\":\"10.3390/clinpract15080136\",\"DOIUrl\":null,\"url\":null,\"abstract\":\"<p><p><b>Background</b>: In Canada, despite universal healthcare coverage, dental care remains predominantly privately financed, creating financial barriers that prevent many from accessing essential services. This case study is part of a larger initiative, the One Smile Research program, which evaluates the impact of cost-free dental care on the oral health and overall well-being of individuals who have been unable to access dental services in the past two years due to financial constraints. Participants in the program receive necessary dental care and attend follow-up appointments to assess the long-term effects of continuous cost-free care. <b>Clinical Case</b>: This mixed-methods case report focuses on a 26-year-old male participant and integrates a qualitative semi-structured interview with clinical and self-reported data, providing an in-depth understanding of his experiences. <b>Results</b>: Clinical outcomes demonstrated the effectiveness of the provided dental treatments, while self-reported measures indicated improved oral health, satisfaction with dental appearance, enhanced psychosocial well-being, increased self-esteem, reduced dental anxiety, and better oral hygiene habits. The qualitative interview identified three key themes reflecting positive experiences with the program: ease of admission, staff kindness, and overall well-being improvement. The integration of both quantitative and qualitative analyses revealed significant advancements in both objective and subjective measures, particularly regarding overall well-being. <b>Conclusions</b>: The continuity of cost-free dental care effectively addressed the participant's oral health and overall well-being, with most benefits sustained even at the two-year follow-up. These individual-level outcomes offer preliminary insight into the potential advantages of universal dental coverage within the Canadian healthcare system.</p>\",\"PeriodicalId\":45306,\"journal\":{\"name\":\"Clinics and Practice\",\"volume\":\"15 8\",\"pages\":\"\"},\"PeriodicalIF\":2.2000,\"publicationDate\":\"2025-07-23\",\"publicationTypes\":\"Journal Article\",\"fieldsOfStudy\":null,\"isOpenAccess\":false,\"openAccessPdf\":\"https://www.ncbi.nlm.nih.gov/pmc/articles/PMC12384726/pdf/\",\"citationCount\":\"0\",\"resultStr\":null,\"platform\":\"Semanticscholar\",\"paperid\":null,\"PeriodicalName\":\"Clinics and Practice\",\"FirstCategoryId\":\"1085\",\"ListUrlMain\":\"https://doi.org/10.3390/clinpract15080136\",\"RegionNum\":0,\"RegionCategory\":null,\"ArticlePicture\":[],\"TitleCN\":null,\"AbstractTextCN\":null,\"PMCID\":null,\"EPubDate\":\"\",\"PubModel\":\"\",\"JCR\":\"Q2\",\"JCRName\":\"MEDICINE, GENERAL & INTERNAL\",\"Score\":null,\"Total\":0}","platform":"Semanticscholar","paperid":null,"PeriodicalName":"Clinics and Practice","FirstCategoryId":"1085","ListUrlMain":"https://doi.org/10.3390/clinpract15080136","RegionNum":0,"RegionCategory":null,"ArticlePicture":[],"TitleCN":null,"AbstractTextCN":null,"PMCID":null,"EPubDate":"","PubModel":"","JCR":"Q2","JCRName":"MEDICINE, GENERAL & INTERNAL","Score":null,"Total":0}
引用次数: 0

摘要

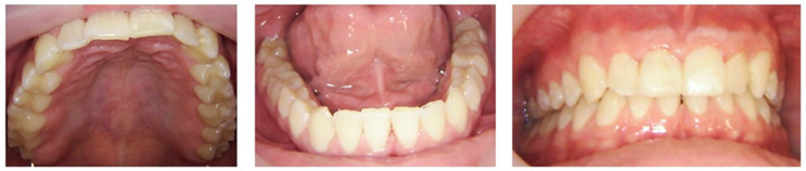
背景:在加拿大,尽管全民医疗保健,但牙科保健仍然主要由私人资助,造成了经济障碍,使许多人无法获得基本服务。这个案例研究是一个更大的倡议的一部分,一个微笑研究项目,该项目评估免费牙科护理对口腔健康和整体福祉的影响,这些人在过去两年中由于经济限制而无法获得牙科服务。该计划的参与者接受必要的牙科护理,并参加后续预约,以评估持续免费护理的长期效果。临床病例:这个混合方法的病例报告集中在一位26岁的男性参与者身上,并将定性的半结构化访谈与临床和自我报告的数据相结合,提供了对他的经历的深入了解。结果:临床结果证明了所提供的牙科治疗的有效性,而自我报告的措施表明改善了口腔健康,对牙齿外观的满意度,增强了心理社会健康,增强了自尊,减少了牙科焦虑,改善了口腔卫生习惯。定性访谈确定了反映该项目积极体验的三个关键主题:入学便利、员工友善和整体幸福感的提高。定量和定性分析的结合表明,在客观和主观措施方面,特别是在总体福祉方面,都取得了重大进展。结论:持续的免费牙科护理有效地解决了参与者的口腔健康和整体福祉,即使在两年的随访中,大多数益处仍在持续。这些个人水平的结果为加拿大医疗保健系统中全民牙科覆盖的潜在优势提供了初步的见解。
本文章由计算机程序翻译,如有差异,请以英文原文为准。

A Mixed-Methods Case Report on Oral Health Changes and Patient Perceptions and Experiences Following Treatment at the One Smile Research Program: A 2-Year Follow-Up.

A Mixed-Methods Case Report on Oral Health Changes and Patient Perceptions and Experiences Following Treatment at the One Smile Research Program: A 2-Year Follow-Up.

A Mixed-Methods Case Report on Oral Health Changes and Patient Perceptions and Experiences Following Treatment at the One Smile Research Program: A 2-Year Follow-Up.

A Mixed-Methods Case Report on Oral Health Changes and Patient Perceptions and Experiences Following Treatment at the One Smile Research Program: A 2-Year Follow-Up.

Background: In Canada, despite universal healthcare coverage, dental care remains predominantly privately financed, creating financial barriers that prevent many from accessing essential services. This case study is part of a larger initiative, the One Smile Research program, which evaluates the impact of cost-free dental care on the oral health and overall well-being of individuals who have been unable to access dental services in the past two years due to financial constraints. Participants in the program receive necessary dental care and attend follow-up appointments to assess the long-term effects of continuous cost-free care. Clinical Case: This mixed-methods case report focuses on a 26-year-old male participant and integrates a qualitative semi-structured interview with clinical and self-reported data, providing an in-depth understanding of his experiences. Results: Clinical outcomes demonstrated the effectiveness of the provided dental treatments, while self-reported measures indicated improved oral health, satisfaction with dental appearance, enhanced psychosocial well-being, increased self-esteem, reduced dental anxiety, and better oral hygiene habits. The qualitative interview identified three key themes reflecting positive experiences with the program: ease of admission, staff kindness, and overall well-being improvement. The integration of both quantitative and qualitative analyses revealed significant advancements in both objective and subjective measures, particularly regarding overall well-being. Conclusions: The continuity of cost-free dental care effectively addressed the participant's oral health and overall well-being, with most benefits sustained even at the two-year follow-up. These individual-level outcomes offer preliminary insight into the potential advantages of universal dental coverage within the Canadian healthcare system.

求助全文
通过发布文献求助,成功后即可免费获取论文全文。 去求助
来源期刊
Clinics and Practice
Clinics and Practice MEDICINE, GENERAL & INTERNAL-
CiteScore
2.60
自引率
4.30%
发文量
91
审稿时长
10 weeks
×
引用
GB/T 7714-2015
复制
MLA
复制
APA
复制
导出至
BibTeX EndNote RefMan NoteFirst NoteExpress
×
提示
您的信息不完整,为了账户安全,请先补充。
现在去补充
×
提示
您因"违规操作"
具体请查看互助需知
我知道了
×
提示
确定
请完成安全验证×
copy
已复制链接
快去分享给好友吧!
我知道了
右上角分享
点击右上角分享
0
联系我们:info@booksci.cn Book学术提供免费学术资源搜索服务,方便国内外学者检索中英文文献。致力于提供最便捷和优质的服务体验。 Copyright © 2023 布克学术 All rights reserved.
京ICP备2023020795号-1
ghs 京公网安备 11010802042870号
Book学术文献互助
Book学术文献互助群
群 号:604180095
Book学术官方微信