产科干预后的肾黄斑:一名年轻女性急性肾损伤的罕见原因。

IF 2.2 Q2 MEDICINE, GENERAL & INTERNAL
Letícia Miyuki Ito, Juliana Miki Oguma, André Kiyoshi Miyahara, Marco Aurélio Sales da Veiga, Leandro Favaro, David Wesley de Godoy, Bárbara Antunes Bruno da Silva, Luiz Antônio Moura, Marcelino de Souza Durão, Érika Bevilaqua Rangel
{"title":"产科干预后的肾黄斑:一名年轻女性急性肾损伤的罕见原因。","authors":"Letícia Miyuki Ito, Juliana Miki Oguma, André Kiyoshi Miyahara, Marco Aurélio Sales da Veiga, Leandro Favaro, David Wesley de Godoy, Bárbara Antunes Bruno da Silva, Luiz Antônio Moura, Marcelino de Souza Durão, Érika Bevilaqua Rangel","doi":"10.3390/clinpract15080143","DOIUrl":null,"url":null,"abstract":"<p><p><b>Introduction</b>: Renal malacoplakia is a rare chronic granulomatous disease, often associated with immunosuppression and persistent Gram-negative infections, particularly <i>Escherichia coli</i>. <b>Case Presentation</b>: We present a case involving a 31-year-old woman with hypertension, gestational diabetes, and prior uterine curettage after labor induction for preeclampsia at 23 weeks. She developed urinary sepsis post-procedure. Imaging revealed bilateral nephromegaly, while laboratory tests showed acute kidney injury (KDIGO stage III), anemia, and thrombocytopenia. Blood and urine cultures grew <i>Escherichia coli</i>. Renal biopsy confirmed malacoplakia, demonstrating PAS-positive Michaelis-Gutmann bodies and Von Hansemann cells. The patient responded to prolonged antibiotic therapy and supportive care. <b>Discussion and Conclusion</b>: This case highlights the importance of considering renal malacoplakia in patients with atypical urinary tract infections and nephromegaly, particularly in obstetric settings. Histopathological confirmation is essential, and timely treatment with intracellularly active antibiotics can lead to favorable outcomes. Early diagnosis is critical to prevent irreversible renal damage.</p>","PeriodicalId":45306,"journal":{"name":"Clinics and Practice","volume":"15 8","pages":""},"PeriodicalIF":2.2000,"publicationDate":"2025-08-03","publicationTypes":"Journal Article","fieldsOfStudy":null,"isOpenAccess":false,"openAccessPdf":"https://www.ncbi.nlm.nih.gov/pmc/articles/PMC12384202/pdf/","citationCount":"0","resultStr":"{\"title\":\"Renal Malacoplakia Following Obstetric Intervention: A Rare Cause of Acute Kidney Injury in a Young Woman.\",\"authors\":\"Letícia Miyuki Ito, Juliana Miki Oguma, André Kiyoshi Miyahara, Marco Aurélio Sales da Veiga, Leandro Favaro, David Wesley de Godoy, Bárbara Antunes Bruno da Silva, Luiz Antônio Moura, Marcelino de Souza Durão, Érika Bevilaqua Rangel\",\"doi\":\"10.3390/clinpract15080143\",\"DOIUrl\":null,\"url\":null,\"abstract\":\"<p><p><b>Introduction</b>: Renal malacoplakia is a rare chronic granulomatous disease, often associated with immunosuppression and persistent Gram-negative infections, particularly <i>Escherichia coli</i>. <b>Case Presentation</b>: We present a case involving a 31-year-old woman with hypertension, gestational diabetes, and prior uterine curettage after labor induction for preeclampsia at 23 weeks. She developed urinary sepsis post-procedure. Imaging revealed bilateral nephromegaly, while laboratory tests showed acute kidney injury (KDIGO stage III), anemia, and thrombocytopenia. Blood and urine cultures grew <i>Escherichia coli</i>. Renal biopsy confirmed malacoplakia, demonstrating PAS-positive Michaelis-Gutmann bodies and Von Hansemann cells. The patient responded to prolonged antibiotic therapy and supportive care. <b>Discussion and Conclusion</b>: This case highlights the importance of considering renal malacoplakia in patients with atypical urinary tract infections and nephromegaly, particularly in obstetric settings. Histopathological confirmation is essential, and timely treatment with intracellularly active antibiotics can lead to favorable outcomes. Early diagnosis is critical to prevent irreversible renal damage.</p>\",\"PeriodicalId\":45306,\"journal\":{\"name\":\"Clinics and Practice\",\"volume\":\"15 8\",\"pages\":\"\"},\"PeriodicalIF\":2.2000,\"publicationDate\":\"2025-08-03\",\"publicationTypes\":\"Journal Article\",\"fieldsOfStudy\":null,\"isOpenAccess\":false,\"openAccessPdf\":\"https://www.ncbi.nlm.nih.gov/pmc/articles/PMC12384202/pdf/\",\"citationCount\":\"0\",\"resultStr\":null,\"platform\":\"Semanticscholar\",\"paperid\":null,\"PeriodicalName\":\"Clinics and Practice\",\"FirstCategoryId\":\"1085\",\"ListUrlMain\":\"https://doi.org/10.3390/clinpract15080143\",\"RegionNum\":0,\"RegionCategory\":null,\"ArticlePicture\":[],\"TitleCN\":null,\"AbstractTextCN\":null,\"PMCID\":null,\"EPubDate\":\"\",\"PubModel\":\"\",\"JCR\":\"Q2\",\"JCRName\":\"MEDICINE, GENERAL & INTERNAL\",\"Score\":null,\"Total\":0}","platform":"Semanticscholar","paperid":null,"PeriodicalName":"Clinics and Practice","FirstCategoryId":"1085","ListUrlMain":"https://doi.org/10.3390/clinpract15080143","RegionNum":0,"RegionCategory":null,"ArticlePicture":[],"TitleCN":null,"AbstractTextCN":null,"PMCID":null,"EPubDate":"","PubModel":"","JCR":"Q2","JCRName":"MEDICINE, GENERAL & INTERNAL","Score":null,"Total":0}
引用次数: 0

摘要

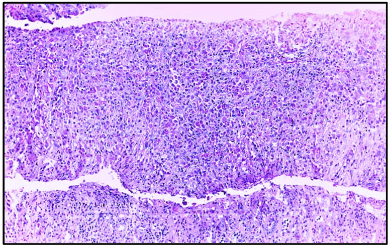
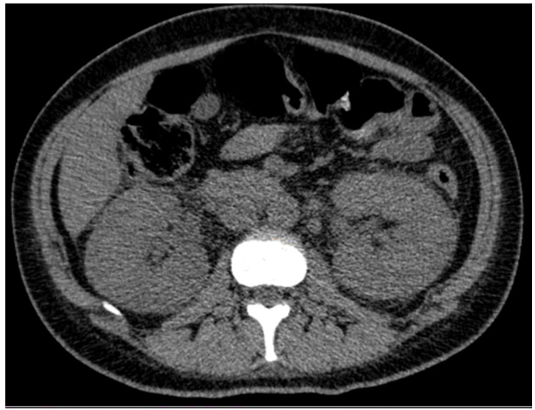
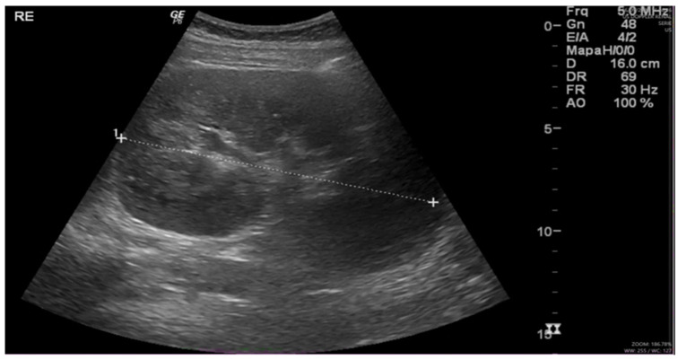
摘要:肾斑疹是一种罕见的慢性肉芽肿性疾病,常伴有免疫抑制和持续的革兰氏阴性感染,尤其是大肠杆菌。病例介绍:我们报告一例31岁女性高血压,妊娠期糖尿病,引产后子宫刮除为先兆子痫在23周。术后出现尿脓毒症。影像学显示双侧肾肥大,实验室检查显示急性肾损伤(KDIGO III期)、贫血和血小板减少症。血液和尿液培养培养出大肠杆菌。肾活检证实斑疹,显示pas阳性Michaelis-Gutmann小体和Von Hansemann细胞。患者对长期抗生素治疗和支持性护理有反应。讨论与结论:本病例强调了在非典型尿路感染和肾脏病患者中考虑肾脏畸形的重要性,特别是在产科环境中。组织病理学确认是必要的,及时使用细胞内活性抗生素治疗可导致良好的结果。早期诊断对预防不可逆肾损害至关重要。
本文章由计算机程序翻译,如有差异,请以英文原文为准。

Renal Malacoplakia Following Obstetric Intervention: A Rare Cause of Acute Kidney Injury in a Young Woman.

Renal Malacoplakia Following Obstetric Intervention: A Rare Cause of Acute Kidney Injury in a Young Woman.

Renal Malacoplakia Following Obstetric Intervention: A Rare Cause of Acute Kidney Injury in a Young Woman.

Renal Malacoplakia Following Obstetric Intervention: A Rare Cause of Acute Kidney Injury in a Young Woman.

Introduction: Renal malacoplakia is a rare chronic granulomatous disease, often associated with immunosuppression and persistent Gram-negative infections, particularly Escherichia coli. Case Presentation: We present a case involving a 31-year-old woman with hypertension, gestational diabetes, and prior uterine curettage after labor induction for preeclampsia at 23 weeks. She developed urinary sepsis post-procedure. Imaging revealed bilateral nephromegaly, while laboratory tests showed acute kidney injury (KDIGO stage III), anemia, and thrombocytopenia. Blood and urine cultures grew Escherichia coli. Renal biopsy confirmed malacoplakia, demonstrating PAS-positive Michaelis-Gutmann bodies and Von Hansemann cells. The patient responded to prolonged antibiotic therapy and supportive care. Discussion and Conclusion: This case highlights the importance of considering renal malacoplakia in patients with atypical urinary tract infections and nephromegaly, particularly in obstetric settings. Histopathological confirmation is essential, and timely treatment with intracellularly active antibiotics can lead to favorable outcomes. Early diagnosis is critical to prevent irreversible renal damage.

求助全文
通过发布文献求助,成功后即可免费获取论文全文。 去求助
来源期刊
Clinics and Practice
Clinics and Practice MEDICINE, GENERAL & INTERNAL-
CiteScore
2.60
自引率
4.30%
发文量
91
审稿时长
10 weeks
×
引用
GB/T 7714-2015
复制
MLA
复制
APA
复制
导出至
BibTeX EndNote RefMan NoteFirst NoteExpress
×
提示
您的信息不完整,为了账户安全,请先补充。
现在去补充
×
提示
您因"违规操作"
具体请查看互助需知
我知道了
×
提示
确定
请完成安全验证×
copy
已复制链接
快去分享给好友吧!
我知道了
右上角分享
点击右上角分享
0
联系我们:info@booksci.cn Book学术提供免费学术资源搜索服务,方便国内外学者检索中英文文献。致力于提供最便捷和优质的服务体验。 Copyright © 2023 布克学术 All rights reserved.
京ICP备2023020795号-1
ghs 京公网安备 11010802042870号
Book学术文献互助
Book学术文献互助群
群 号:604180095
Book学术官方微信