第三次流入病例的CT表现:手术并发症及肝脏假性脓肿的隐藏原因。

IF 0.5 Q4 RADIOLOGY, NUCLEAR MEDICINE & MEDICAL IMAGING
BJR Case Reports Pub Date : 2025-07-26 eCollection Date: 2025-07-01 DOI:10.1093/bjrcr/uaaf042
Gizem Cural Kula, Afak Durur Karakaya
{"title":"第三次流入病例的CT表现:手术并发症及肝脏假性脓肿的隐藏原因。","authors":"Gizem Cural Kula, Afak Durur Karakaya","doi":"10.1093/bjrcr/uaaf042","DOIUrl":null,"url":null,"abstract":"<p><p>Third inflow refers to the additional blood supply to the liver from a third source, apart from its dual blood supply. Aberrant right and left gastric veins, Sappey and Barlow veins, and the parabiliary venous system are considered the most significant examples of third inflow. Clinically, the third inflow is important due to its association with hepatic pseudolesions and its role in increasing surgical complication risks in hepatobiliary and gastric procedures. Our case series includes 8 cases of aberrant left gastric vein (ALGV) and 1 case of a Sappey vein. In addition to presenting examples of ALGV and Suppey vein, we also highlight ischemic complications of the liver observed in a liver transplant donor and a gastric cancer case. Our aim is to emphasize ALGV-related surgical risks and the importance of assessing vascular variations in preoperative imaging.</p>","PeriodicalId":45216,"journal":{"name":"BJR Case Reports","volume":"11 4","pages":"uaaf042"},"PeriodicalIF":0.5000,"publicationDate":"2025-07-26","publicationTypes":"Journal Article","fieldsOfStudy":null,"isOpenAccess":false,"openAccessPdf":"https://www.ncbi.nlm.nih.gov/pmc/articles/PMC12371326/pdf/","citationCount":"0","resultStr":"{\"title\":\"CT imaging of third inflow cases: a hidden cause of surgical complications and liver pseudolesions.\",\"authors\":\"Gizem Cural Kula, Afak Durur Karakaya\",\"doi\":\"10.1093/bjrcr/uaaf042\",\"DOIUrl\":null,\"url\":null,\"abstract\":\"<p><p>Third inflow refers to the additional blood supply to the liver from a third source, apart from its dual blood supply. Aberrant right and left gastric veins, Sappey and Barlow veins, and the parabiliary venous system are considered the most significant examples of third inflow. Clinically, the third inflow is important due to its association with hepatic pseudolesions and its role in increasing surgical complication risks in hepatobiliary and gastric procedures. Our case series includes 8 cases of aberrant left gastric vein (ALGV) and 1 case of a Sappey vein. In addition to presenting examples of ALGV and Suppey vein, we also highlight ischemic complications of the liver observed in a liver transplant donor and a gastric cancer case. Our aim is to emphasize ALGV-related surgical risks and the importance of assessing vascular variations in preoperative imaging.</p>\",\"PeriodicalId\":45216,\"journal\":{\"name\":\"BJR Case Reports\",\"volume\":\"11 4\",\"pages\":\"uaaf042\"},\"PeriodicalIF\":0.5000,\"publicationDate\":\"2025-07-26\",\"publicationTypes\":\"Journal Article\",\"fieldsOfStudy\":null,\"isOpenAccess\":false,\"openAccessPdf\":\"https://www.ncbi.nlm.nih.gov/pmc/articles/PMC12371326/pdf/\",\"citationCount\":\"0\",\"resultStr\":null,\"platform\":\"Semanticscholar\",\"paperid\":null,\"PeriodicalName\":\"BJR Case Reports\",\"FirstCategoryId\":\"1085\",\"ListUrlMain\":\"https://doi.org/10.1093/bjrcr/uaaf042\",\"RegionNum\":0,\"RegionCategory\":null,\"ArticlePicture\":[],\"TitleCN\":null,\"AbstractTextCN\":null,\"PMCID\":null,\"EPubDate\":\"2025/7/1 0:00:00\",\"PubModel\":\"eCollection\",\"JCR\":\"Q4\",\"JCRName\":\"RADIOLOGY, NUCLEAR MEDICINE & MEDICAL IMAGING\",\"Score\":null,\"Total\":0}","platform":"Semanticscholar","paperid":null,"PeriodicalName":"BJR Case Reports","FirstCategoryId":"1085","ListUrlMain":"https://doi.org/10.1093/bjrcr/uaaf042","RegionNum":0,"RegionCategory":null,"ArticlePicture":[],"TitleCN":null,"AbstractTextCN":null,"PMCID":null,"EPubDate":"2025/7/1 0:00:00","PubModel":"eCollection","JCR":"Q4","JCRName":"RADIOLOGY, NUCLEAR MEDICINE & MEDICAL IMAGING","Score":null,"Total":0}
引用次数: 0

摘要

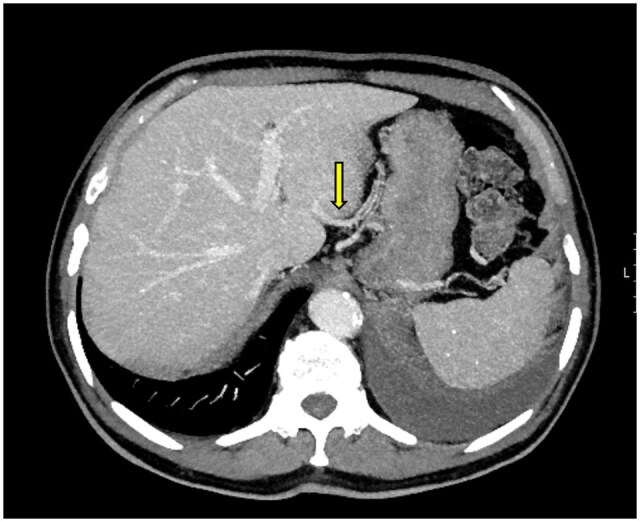
第三流是指肝脏在双重血供之外,从第三个来源增加的血供。异常的左右胃静脉、Sappey静脉和Barlow静脉以及旁静脉系统被认为是第三流最重要的例子。临床上,第三流很重要,因为它与肝脏假性脓肿有关,并在肝胆和胃手术中增加手术并发症的风险。我们的病例系列包括8例异常胃左静脉(ALGV)和1例Sappey静脉。除了介绍ALGV和供应静脉的例子外,我们还重点介绍了在肝移植供体和胃癌病例中观察到的肝脏缺血性并发症。我们的目的是强调与algv相关的手术风险和术前影像学评估血管变异的重要性。
本文章由计算机程序翻译,如有差异,请以英文原文为准。

CT imaging of third inflow cases: a hidden cause of surgical complications and liver pseudolesions.

CT imaging of third inflow cases: a hidden cause of surgical complications and liver pseudolesions.

CT imaging of third inflow cases: a hidden cause of surgical complications and liver pseudolesions.

CT imaging of third inflow cases: a hidden cause of surgical complications and liver pseudolesions.

Third inflow refers to the additional blood supply to the liver from a third source, apart from its dual blood supply. Aberrant right and left gastric veins, Sappey and Barlow veins, and the parabiliary venous system are considered the most significant examples of third inflow. Clinically, the third inflow is important due to its association with hepatic pseudolesions and its role in increasing surgical complication risks in hepatobiliary and gastric procedures. Our case series includes 8 cases of aberrant left gastric vein (ALGV) and 1 case of a Sappey vein. In addition to presenting examples of ALGV and Suppey vein, we also highlight ischemic complications of the liver observed in a liver transplant donor and a gastric cancer case. Our aim is to emphasize ALGV-related surgical risks and the importance of assessing vascular variations in preoperative imaging.

求助全文
通过发布文献求助,成功后即可免费获取论文全文。 去求助
来源期刊
BJR Case Reports
BJR Case Reports RADIOLOGY, NUCLEAR MEDICINE & MEDICAL IMAGING-
自引率
0.00%
发文量
77
审稿时长
11 weeks
×
引用
GB/T 7714-2015
复制
MLA
复制
APA
复制
导出至
BibTeX EndNote RefMan NoteFirst NoteExpress
×
提示
您的信息不完整,为了账户安全,请先补充。
现在去补充
×
提示
您因"违规操作"
具体请查看互助需知
我知道了
×
提示
确定
请完成安全验证×
copy
已复制链接
快去分享给好友吧!
我知道了
右上角分享
点击右上角分享
0
联系我们:info@booksci.cn Book学术提供免费学术资源搜索服务,方便国内外学者检索中英文文献。致力于提供最便捷和优质的服务体验。 Copyright © 2023 布克学术 All rights reserved.
京ICP备2023020795号-1
ghs 京公网安备 11010802042870号
Book学术文献互助
Book学术文献互助群
群 号:604180095
Book学术官方微信