2型黄斑毛细血管扩张:长期疾病进展和并发症的处理。

Q3 Medicine
Merve Özbek, Özgür Artunay, Rümeysa Koçak, İlker Hoşver, Metehan Şimşek
{"title":"2型黄斑毛细血管扩张:长期疾病进展和并发症的处理。","authors":"Merve Özbek, Özgür Artunay, Rümeysa Koçak, İlker Hoşver, Metehan Şimşek","doi":"10.4274/tjo.galenos.2025.19940","DOIUrl":null,"url":null,"abstract":"<p><strong>Objectives: </strong>To evaluate the long-term progression of macular telangiectasia type 2 (MacTel) using a standardized classification system and to assess the incidence, progression, and management strategies of complications such as macular neovascularization (MNV) and macular hole (MH).</p><p><strong>Materials and methods: </strong>This retrospective study analyzed the medical records of patients diagnosed with MacTel at a tertiary referral center in Türkiye from January 2004 to February 2025. Patients with a minimum follow-up of 3 years and no confounding macular pathologies were included. Data collection included best corrected visual acuity (BCVA), multimodal imaging (optical coherence tomography [OCT], fundus autofluorescence, fluorescein angiography), and demographic variables. Disease severity was classified using the MacTel Classification System developed by Chew et al. Longitudinal changes in BCVA and OCT parameters were statistically analyzed.</p><p><strong>Results: </strong>A total of 184 eyes from 94 patients (mean age: 63.89±9.98 years; mean follow-up: 79.27±50.69 months) were included. A significant decline in BCVA was observed (p<0.001). MNV was present in 29 eyes (15.8%), with 18 receiving intravitreal anti-vascular endothelial growth factor (anti-VEGF) therapy (mean injections: 5.89±3.72). While posttreatment BCVA showed improvement (p<0.001), long-term visual outcomes were not significantly different from baseline (p=0.213). MH formation occurred in 8 eyes (4.3%), with 6 undergoing successful surgical closure. Structural retinal changes, including ellipsoid zone disruption and pigmentation, significantly progressed over time (p<0.001).</p><p><strong>Conclusion: </strong>MacTel demonstrates a progressive decline in visual and structural integrity over extended follow-up. While anti-VEGF therapy offers short-term benefits for MNV, its long-term efficacy remains limited. MH development, though rare, poses a significant challenge, with variable surgical outcomes.</p>","PeriodicalId":23373,"journal":{"name":"Turkish Journal of Ophthalmology","volume":"55 4","pages":"193-199"},"PeriodicalIF":0.0000,"publicationDate":"2025-08-21","publicationTypes":"Journal Article","fieldsOfStudy":null,"isOpenAccess":false,"openAccessPdf":"https://www.ncbi.nlm.nih.gov/pmc/articles/PMC12372540/pdf/","citationCount":"0","resultStr":"{\"title\":\"Macular Telangiectasia Type 2: Long-Term Disease Progression and Management of Complications.\",\"authors\":\"Merve Özbek, Özgür Artunay, Rümeysa Koçak, İlker Hoşver, Metehan Şimşek\",\"doi\":\"10.4274/tjo.galenos.2025.19940\",\"DOIUrl\":null,\"url\":null,\"abstract\":\"<p><strong>Objectives: </strong>To evaluate the long-term progression of macular telangiectasia type 2 (MacTel) using a standardized classification system and to assess the incidence, progression, and management strategies of complications such as macular neovascularization (MNV) and macular hole (MH).</p><p><strong>Materials and methods: </strong>This retrospective study analyzed the medical records of patients diagnosed with MacTel at a tertiary referral center in Türkiye from January 2004 to February 2025. Patients with a minimum follow-up of 3 years and no confounding macular pathologies were included. Data collection included best corrected visual acuity (BCVA), multimodal imaging (optical coherence tomography [OCT], fundus autofluorescence, fluorescein angiography), and demographic variables. Disease severity was classified using the MacTel Classification System developed by Chew et al. Longitudinal changes in BCVA and OCT parameters were statistically analyzed.</p><p><strong>Results: </strong>A total of 184 eyes from 94 patients (mean age: 63.89±9.98 years; mean follow-up: 79.27±50.69 months) were included. A significant decline in BCVA was observed (p<0.001). MNV was present in 29 eyes (15.8%), with 18 receiving intravitreal anti-vascular endothelial growth factor (anti-VEGF) therapy (mean injections: 5.89±3.72). While posttreatment BCVA showed improvement (p<0.001), long-term visual outcomes were not significantly different from baseline (p=0.213). MH formation occurred in 8 eyes (4.3%), with 6 undergoing successful surgical closure. Structural retinal changes, including ellipsoid zone disruption and pigmentation, significantly progressed over time (p<0.001).</p><p><strong>Conclusion: </strong>MacTel demonstrates a progressive decline in visual and structural integrity over extended follow-up. While anti-VEGF therapy offers short-term benefits for MNV, its long-term efficacy remains limited. MH development, though rare, poses a significant challenge, with variable surgical outcomes.</p>\",\"PeriodicalId\":23373,\"journal\":{\"name\":\"Turkish Journal of Ophthalmology\",\"volume\":\"55 4\",\"pages\":\"193-199\"},\"PeriodicalIF\":0.0000,\"publicationDate\":\"2025-08-21\",\"publicationTypes\":\"Journal Article\",\"fieldsOfStudy\":null,\"isOpenAccess\":false,\"openAccessPdf\":\"https://www.ncbi.nlm.nih.gov/pmc/articles/PMC12372540/pdf/\",\"citationCount\":\"0\",\"resultStr\":null,\"platform\":\"Semanticscholar\",\"paperid\":null,\"PeriodicalName\":\"Turkish Journal of Ophthalmology\",\"FirstCategoryId\":\"1085\",\"ListUrlMain\":\"https://doi.org/10.4274/tjo.galenos.2025.19940\",\"RegionNum\":0,\"RegionCategory\":null,\"ArticlePicture\":[],\"TitleCN\":null,\"AbstractTextCN\":null,\"PMCID\":null,\"EPubDate\":\"\",\"PubModel\":\"\",\"JCR\":\"Q3\",\"JCRName\":\"Medicine\",\"Score\":null,\"Total\":0}","platform":"Semanticscholar","paperid":null,"PeriodicalName":"Turkish Journal of Ophthalmology","FirstCategoryId":"1085","ListUrlMain":"https://doi.org/10.4274/tjo.galenos.2025.19940","RegionNum":0,"RegionCategory":null,"ArticlePicture":[],"TitleCN":null,"AbstractTextCN":null,"PMCID":null,"EPubDate":"","PubModel":"","JCR":"Q3","JCRName":"Medicine","Score":null,"Total":0}
引用次数: 0

摘要

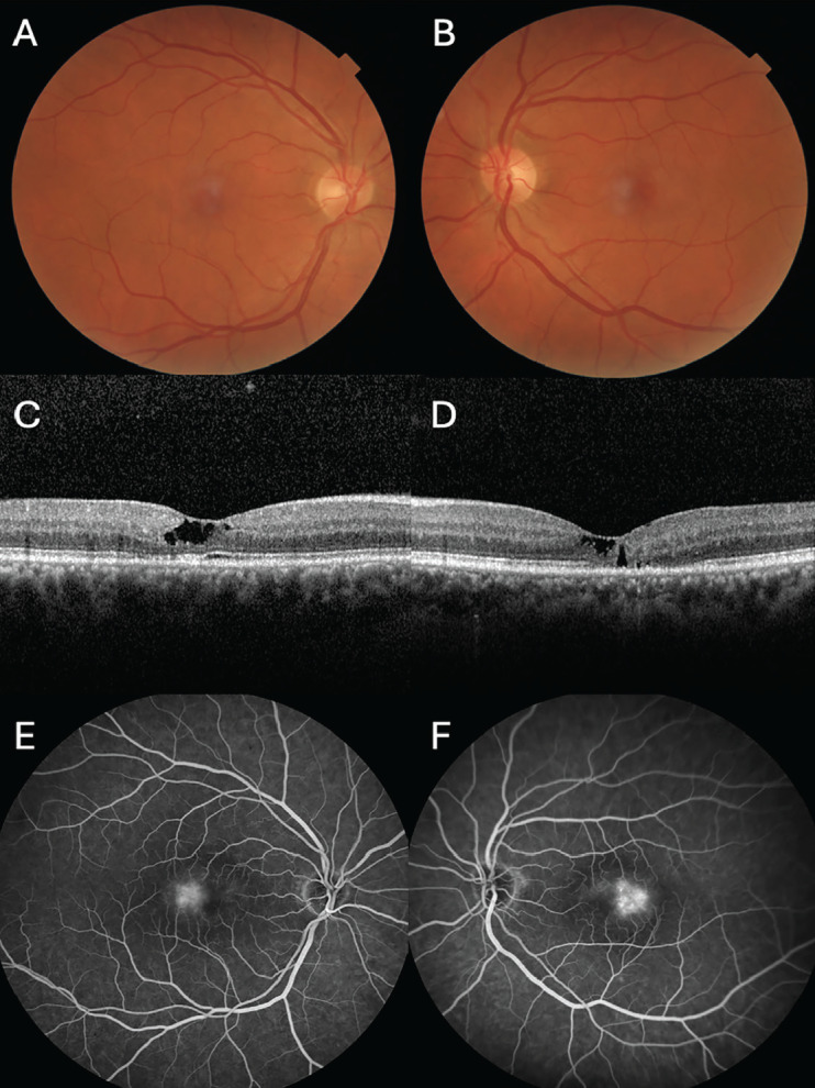
目的:采用标准化的分类系统评估2型黄斑毛细血管扩张(MacTel)的长期进展,并评估黄斑新生血管(MNV)和黄斑孔(MH)等并发症的发生率、进展和处理策略。材料与方法:本回顾性研究分析了2004年1月至2025年2月在泰国一家三级转诊中心诊断为MacTel的患者的医疗记录。随访至少3年且无混杂黄斑病变的患者被纳入研究。数据收集包括最佳矫正视力(BCVA)、多模态成像(光学相干断层扫描(OCT)、眼底自体荧光、荧光素血管造影)和人口统计学变量。采用Chew等人开发的MacTel分类系统对疾病严重程度进行分类。统计分析BCVA和OCT参数的纵向变化。结果:共纳入94例患者184只眼,平均年龄63.89±9.98岁,平均随访79.27±50.69个月。观察到BCVA显著下降(结论:MacTel在延长随访期间显示视觉和结构完整性进行性下降。虽然抗vegf治疗为MNV提供了短期益处,但其长期疗效仍然有限。MH的发展,虽然罕见,但带来了巨大的挑战,手术结果多变。
本文章由计算机程序翻译,如有差异,请以英文原文为准。

Macular Telangiectasia Type 2: Long-Term Disease Progression and Management of Complications.

Macular Telangiectasia Type 2: Long-Term Disease Progression and Management of Complications.

Macular Telangiectasia Type 2: Long-Term Disease Progression and Management of Complications.

Objectives: To evaluate the long-term progression of macular telangiectasia type 2 (MacTel) using a standardized classification system and to assess the incidence, progression, and management strategies of complications such as macular neovascularization (MNV) and macular hole (MH).

Materials and methods: This retrospective study analyzed the medical records of patients diagnosed with MacTel at a tertiary referral center in Türkiye from January 2004 to February 2025. Patients with a minimum follow-up of 3 years and no confounding macular pathologies were included. Data collection included best corrected visual acuity (BCVA), multimodal imaging (optical coherence tomography [OCT], fundus autofluorescence, fluorescein angiography), and demographic variables. Disease severity was classified using the MacTel Classification System developed by Chew et al. Longitudinal changes in BCVA and OCT parameters were statistically analyzed.

Results: A total of 184 eyes from 94 patients (mean age: 63.89±9.98 years; mean follow-up: 79.27±50.69 months) were included. A significant decline in BCVA was observed (p<0.001). MNV was present in 29 eyes (15.8%), with 18 receiving intravitreal anti-vascular endothelial growth factor (anti-VEGF) therapy (mean injections: 5.89±3.72). While posttreatment BCVA showed improvement (p<0.001), long-term visual outcomes were not significantly different from baseline (p=0.213). MH formation occurred in 8 eyes (4.3%), with 6 undergoing successful surgical closure. Structural retinal changes, including ellipsoid zone disruption and pigmentation, significantly progressed over time (p<0.001).

Conclusion: MacTel demonstrates a progressive decline in visual and structural integrity over extended follow-up. While anti-VEGF therapy offers short-term benefits for MNV, its long-term efficacy remains limited. MH development, though rare, poses a significant challenge, with variable surgical outcomes.

求助全文
通过发布文献求助,成功后即可免费获取论文全文。 去求助
来源期刊
Turkish Journal of Ophthalmology
Turkish Journal of Ophthalmology Medicine-Ophthalmology
CiteScore
2.20
自引率
0.00%
发文量
0
期刊介绍: The Turkish Journal of Ophthalmology (TJO) is the only scientific periodical publication of the Turkish Ophthalmological Association and has been published since January 1929. In its early years, the journal was published in Turkish and French. Although there were temporary interruptions in the publication of the journal due to various challenges, the Turkish Journal of Ophthalmology has been published continually from 1971 to the present. The target audience includes specialists and physicians in training in ophthalmology in all relevant disciplines.
×
引用
GB/T 7714-2015
复制
MLA
复制
APA
复制
导出至
BibTeX EndNote RefMan NoteFirst NoteExpress
×
提示
您的信息不完整,为了账户安全,请先补充。
现在去补充
×
提示
您因"违规操作"
具体请查看互助需知
我知道了
×
提示
确定
请完成安全验证×
copy
已复制链接
快去分享给好友吧!
我知道了
右上角分享
点击右上角分享
0
联系我们:info@booksci.cn Book学术提供免费学术资源搜索服务,方便国内外学者检索中英文文献。致力于提供最便捷和优质的服务体验。 Copyright © 2023 布克学术 All rights reserved.
京ICP备2023020795号-1
ghs 京公网安备 11010802042870号
Book学术文献互助
Book学术文献互助群
群 号:604180095
Book学术官方微信