自体骨软骨移植显示满意的临床结果和持久的软骨特性:使用定量MRI平均4年随访。

IF 2.5 3区 医学 Q2 ORTHOPEDICS
Orthopaedic Journal of Sports Medicine Pub Date : 2025-08-20 eCollection Date: 2025-08-01 DOI:10.1177/23259671251356267
Hyo Yeol Lee, Jong-Min Kim, Bum-Sik Lee, Ju-Ho Song, Seong-Il Bin
{"title":"自体骨软骨移植显示满意的临床结果和持久的软骨特性:使用定量MRI平均4年随访。","authors":"Hyo Yeol Lee, Jong-Min Kim, Bum-Sik Lee, Ju-Ho Song, Seong-Il Bin","doi":"10.1177/23259671251356267","DOIUrl":null,"url":null,"abstract":"<p><strong>Background: </strong>Autologous osteochondral transfer (AOT) is preferred because of its ability to replace defective cartilage with hyaline cartilage. However, longitudinal changes in hyaline cartilage after AOT and their correlation with clinical outcomes remain unclear.</p><p><strong>Purpose/hypothesis: </strong>The purpose of the study was to evaluate the short- to midterm outcomes of AOT and to investigate the correlation between clinical outcomes and the morphologic and qualitative findings of cartilage. It was hypothesized that cartilage would remain stable over the follow-up period and that clinical outcomes would correlate with cartilage status.</p><p><strong>Study design: </strong>Case series; Level of evidence, 4.</p><p><strong>Methods: </strong>Patients who underwent AOT between 2002 and 2021 and were followed for a minimum of 2 years were retrospectively reviewed. Clinical outcomes were assessed at postoperative early term (1-2 years postoperatively) and at the short- to midterm period (2-6 years postoperatively) using the Lysholm score, International Knee Documentation Committee (IKDC) score, Tegner activity scale, and visual analog scale (VAS) for pain. Morphology of cartilage was evaluated using MOCART (magnetic resonance observation of cartilage repair tissue) 2.0 scores, and quality was assessed using quantitative magnetic resonance imaging (MRI) T2 mapping. In those who were assessed with serial MRIs at early term and short-to-midterm intervals, correlation analysis was performed to assess the relationship between MRI and clinical outcomes.</p><p><strong>Results: </strong>A total of 45 patients with a mean age of 36.6±14.0 years (range, 16-63 years) were included. The mean follow-up period was 4.3±1.2 years. The mean MOCART score was 84.0±11.5 at early term and 78.1±21.0 at midterm, with no significant changes between follow-up intervals. T2 value also remained unchanged between postoperative follow-ups. Significant improvements in the Lysholm, IKDC, and VAS scores observed at the early term improved further through the midterm period. The MOCART score at the postoperative early term was correlated with VAS improvement (<i>P</i> = .003); however, no significant correlation was found between other clinical and MRI outcomes.</p><p><strong>Conclusion: </strong>Postoperative improvements in clinical and MRI outcomes after AOT at the early term follow-up were maintained through a mean follow-up of 4 years. The further improvement in clinical outcomes, despite stable MRI findings, suggests a limited correlation between structural and clinical outcomes.</p>","PeriodicalId":19646,"journal":{"name":"Orthopaedic Journal of Sports Medicine","volume":"13 8","pages":"23259671251356267"},"PeriodicalIF":2.5000,"publicationDate":"2025-08-20","publicationTypes":"Journal Article","fieldsOfStudy":null,"isOpenAccess":false,"openAccessPdf":"https://www.ncbi.nlm.nih.gov/pmc/articles/PMC12368396/pdf/","citationCount":"0","resultStr":"{\"title\":\"Autologous Osteochondral Transfer Demonstrates Satisfactory Clinical Outcomes and Durable Cartilage Properties: A Mean 4-Year Follow-up Using Quantitative MRI.\",\"authors\":\"Hyo Yeol Lee, Jong-Min Kim, Bum-Sik Lee, Ju-Ho Song, Seong-Il Bin\",\"doi\":\"10.1177/23259671251356267\",\"DOIUrl\":null,\"url\":null,\"abstract\":\"<p><strong>Background: </strong>Autologous osteochondral transfer (AOT) is preferred because of its ability to replace defective cartilage with hyaline cartilage. However, longitudinal changes in hyaline cartilage after AOT and their correlation with clinical outcomes remain unclear.</p><p><strong>Purpose/hypothesis: </strong>The purpose of the study was to evaluate the short- to midterm outcomes of AOT and to investigate the correlation between clinical outcomes and the morphologic and qualitative findings of cartilage. It was hypothesized that cartilage would remain stable over the follow-up period and that clinical outcomes would correlate with cartilage status.</p><p><strong>Study design: </strong>Case series; Level of evidence, 4.</p><p><strong>Methods: </strong>Patients who underwent AOT between 2002 and 2021 and were followed for a minimum of 2 years were retrospectively reviewed. Clinical outcomes were assessed at postoperative early term (1-2 years postoperatively) and at the short- to midterm period (2-6 years postoperatively) using the Lysholm score, International Knee Documentation Committee (IKDC) score, Tegner activity scale, and visual analog scale (VAS) for pain. Morphology of cartilage was evaluated using MOCART (magnetic resonance observation of cartilage repair tissue) 2.0 scores, and quality was assessed using quantitative magnetic resonance imaging (MRI) T2 mapping. In those who were assessed with serial MRIs at early term and short-to-midterm intervals, correlation analysis was performed to assess the relationship between MRI and clinical outcomes.</p><p><strong>Results: </strong>A total of 45 patients with a mean age of 36.6±14.0 years (range, 16-63 years) were included. The mean follow-up period was 4.3±1.2 years. The mean MOCART score was 84.0±11.5 at early term and 78.1±21.0 at midterm, with no significant changes between follow-up intervals. T2 value also remained unchanged between postoperative follow-ups. Significant improvements in the Lysholm, IKDC, and VAS scores observed at the early term improved further through the midterm period. The MOCART score at the postoperative early term was correlated with VAS improvement (<i>P</i> = .003); however, no significant correlation was found between other clinical and MRI outcomes.</p><p><strong>Conclusion: </strong>Postoperative improvements in clinical and MRI outcomes after AOT at the early term follow-up were maintained through a mean follow-up of 4 years. The further improvement in clinical outcomes, despite stable MRI findings, suggests a limited correlation between structural and clinical outcomes.</p>\",\"PeriodicalId\":19646,\"journal\":{\"name\":\"Orthopaedic Journal of Sports Medicine\",\"volume\":\"13 8\",\"pages\":\"23259671251356267\"},\"PeriodicalIF\":2.5000,\"publicationDate\":\"2025-08-20\",\"publicationTypes\":\"Journal Article\",\"fieldsOfStudy\":null,\"isOpenAccess\":false,\"openAccessPdf\":\"https://www.ncbi.nlm.nih.gov/pmc/articles/PMC12368396/pdf/\",\"citationCount\":\"0\",\"resultStr\":null,\"platform\":\"Semanticscholar\",\"paperid\":null,\"PeriodicalName\":\"Orthopaedic Journal of Sports Medicine\",\"FirstCategoryId\":\"3\",\"ListUrlMain\":\"https://doi.org/10.1177/23259671251356267\",\"RegionNum\":3,\"RegionCategory\":\"医学\",\"ArticlePicture\":[],\"TitleCN\":null,\"AbstractTextCN\":null,\"PMCID\":null,\"EPubDate\":\"2025/8/1 0:00:00\",\"PubModel\":\"eCollection\",\"JCR\":\"Q2\",\"JCRName\":\"ORTHOPEDICS\",\"Score\":null,\"Total\":0}","platform":"Semanticscholar","paperid":null,"PeriodicalName":"Orthopaedic Journal of Sports Medicine","FirstCategoryId":"3","ListUrlMain":"https://doi.org/10.1177/23259671251356267","RegionNum":3,"RegionCategory":"医学","ArticlePicture":[],"TitleCN":null,"AbstractTextCN":null,"PMCID":null,"EPubDate":"2025/8/1 0:00:00","PubModel":"eCollection","JCR":"Q2","JCRName":"ORTHOPEDICS","Score":null,"Total":0}
引用次数: 0

摘要

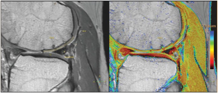
背景:自体骨软骨移植(AOT)是首选,因为它能够用透明软骨代替有缺陷的软骨。然而,AOT后透明软骨的纵向变化及其与临床结果的相关性尚不清楚。目的/假设:本研究的目的是评估AOT的中短期结局,并探讨临床结局与软骨形态学和定性结果的相关性。假设软骨在随访期间保持稳定,临床结果与软骨状态相关。研究设计:病例系列;证据等级,4级。方法:回顾性分析2002年至2021年间接受AOT治疗并随访至少2年的患者。采用Lysholm评分、国际膝关节文献委员会(IKDC)评分、Tegner活动量表和视觉模拟疼痛量表(VAS)评估术后早期(术后1-2年)和中短期(术后2-6年)的临床结果。采用MOCART(磁共振观察软骨修复组织)2.0评分评价软骨形态,采用定量磁共振成像(MRI) T2作图评价质量。在早期和中短期接受连续MRI评估的患者中,进行相关分析以评估MRI与临床结果之间的关系。结果:共纳入45例患者,平均年龄36.6±14.0岁(范围16 ~ 63岁)。平均随访时间为4.3±1.2年。早期MOCART平均评分为84.0±11.5分,中期为78.1±21.0分,随访时间间隔无显著差异。T2值在术后随访期间也保持不变。早期观察到的Lysholm, IKDC和VAS评分的显著改善在中期进一步改善。术后早期MOCART评分与VAS改善程度相关(P = 0.003);然而,其他临床和MRI结果之间没有发现明显的相关性。结论:AOT术后早期随访的临床和MRI结果均有改善,平均随访时间为4年。临床结果的进一步改善,尽管MRI结果稳定,但表明结构和临床结果之间的相关性有限。
本文章由计算机程序翻译,如有差异,请以英文原文为准。

Autologous Osteochondral Transfer Demonstrates Satisfactory Clinical Outcomes and Durable Cartilage Properties: A Mean 4-Year Follow-up Using Quantitative MRI.

Autologous Osteochondral Transfer Demonstrates Satisfactory Clinical Outcomes and Durable Cartilage Properties: A Mean 4-Year Follow-up Using Quantitative MRI.

Autologous Osteochondral Transfer Demonstrates Satisfactory Clinical Outcomes and Durable Cartilage Properties: A Mean 4-Year Follow-up Using Quantitative MRI.

Autologous Osteochondral Transfer Demonstrates Satisfactory Clinical Outcomes and Durable Cartilage Properties: A Mean 4-Year Follow-up Using Quantitative MRI.

Background: Autologous osteochondral transfer (AOT) is preferred because of its ability to replace defective cartilage with hyaline cartilage. However, longitudinal changes in hyaline cartilage after AOT and their correlation with clinical outcomes remain unclear.

Purpose/hypothesis: The purpose of the study was to evaluate the short- to midterm outcomes of AOT and to investigate the correlation between clinical outcomes and the morphologic and qualitative findings of cartilage. It was hypothesized that cartilage would remain stable over the follow-up period and that clinical outcomes would correlate with cartilage status.

Study design: Case series; Level of evidence, 4.

Methods: Patients who underwent AOT between 2002 and 2021 and were followed for a minimum of 2 years were retrospectively reviewed. Clinical outcomes were assessed at postoperative early term (1-2 years postoperatively) and at the short- to midterm period (2-6 years postoperatively) using the Lysholm score, International Knee Documentation Committee (IKDC) score, Tegner activity scale, and visual analog scale (VAS) for pain. Morphology of cartilage was evaluated using MOCART (magnetic resonance observation of cartilage repair tissue) 2.0 scores, and quality was assessed using quantitative magnetic resonance imaging (MRI) T2 mapping. In those who were assessed with serial MRIs at early term and short-to-midterm intervals, correlation analysis was performed to assess the relationship between MRI and clinical outcomes.

Results: A total of 45 patients with a mean age of 36.6±14.0 years (range, 16-63 years) were included. The mean follow-up period was 4.3±1.2 years. The mean MOCART score was 84.0±11.5 at early term and 78.1±21.0 at midterm, with no significant changes between follow-up intervals. T2 value also remained unchanged between postoperative follow-ups. Significant improvements in the Lysholm, IKDC, and VAS scores observed at the early term improved further through the midterm period. The MOCART score at the postoperative early term was correlated with VAS improvement (P = .003); however, no significant correlation was found between other clinical and MRI outcomes.

Conclusion: Postoperative improvements in clinical and MRI outcomes after AOT at the early term follow-up were maintained through a mean follow-up of 4 years. The further improvement in clinical outcomes, despite stable MRI findings, suggests a limited correlation between structural and clinical outcomes.

求助全文
通过发布文献求助,成功后即可免费获取论文全文。 去求助
来源期刊
Orthopaedic Journal of Sports Medicine
Orthopaedic Journal of Sports Medicine Medicine-Orthopedics and Sports Medicine
CiteScore
4.30
自引率
7.70%
发文量
876
审稿时长
12 weeks
期刊介绍: The Orthopaedic Journal of Sports Medicine (OJSM), developed by the American Orthopaedic Society for Sports Medicine (AOSSM), is a global, peer-reviewed, open access journal that combines the interests of researchers and clinical practitioners across orthopaedic sports medicine, arthroscopy, and knee arthroplasty. Topics include original research in the areas of: -Orthopaedic Sports Medicine, including surgical and nonsurgical treatment of orthopaedic sports injuries -Arthroscopic Surgery (Shoulder/Elbow/Wrist/Hip/Knee/Ankle/Foot) -Relevant translational research -Sports traumatology/epidemiology -Knee and shoulder arthroplasty The OJSM also publishes relevant systematic reviews and meta-analyses. This journal is a member of the Committee on Publication Ethics (COPE).
×
引用
GB/T 7714-2015
复制
MLA
复制
APA
复制
导出至
BibTeX EndNote RefMan NoteFirst NoteExpress
×
提示
您的信息不完整,为了账户安全,请先补充。
现在去补充
×
提示
您因"违规操作"
具体请查看互助需知
我知道了
×
提示
确定
请完成安全验证×
copy
已复制链接
快去分享给好友吧!
我知道了
右上角分享
点击右上角分享
0
联系我们:info@booksci.cn Book学术提供免费学术资源搜索服务,方便国内外学者检索中英文文献。致力于提供最便捷和优质的服务体验。 Copyright © 2023 布克学术 All rights reserved.
京ICP备2023020795号-1
ghs 京公网安备 11010802042870号
Book学术文献互助
Book学术文献互助群
群 号:604180095
Book学术官方微信