诊断抗ma2脑炎的独特多导睡眠图。

IF 7.5 1区 医学 Q1 CLINICAL NEUROLOGY
Guillermo Nuñez-Manjarres, Ane Mínguez-Olaondo, Tamara Castillo-Triviño, Ana Vinagre-Aragon, Amaia Muñoz-Lopetegi
{"title":"诊断抗ma2脑炎的独特多导睡眠图。","authors":"Guillermo Nuñez-Manjarres, Ane Mínguez-Olaondo, Tamara Castillo-Triviño, Ana Vinagre-Aragon, Amaia Muñoz-Lopetegi","doi":"10.1212/NXI.0000000000200465","DOIUrl":null,"url":null,"abstract":"<p><strong>Background and objectives: </strong>Anti-Ma2 encephalitis is a rare autoimmune paraneoplastic syndrome that can present as secondary narcolepsy due to hypothalamic involvement.</p><p><strong>Methods: </strong>We present a case of anti-Ma2 encephalitis in which polysomnography was key to suspect the final diagnosis.</p><p><strong>Results: </strong>A 72-year-old man presented with progressive hypersomnia and recurrent falls, initially misinterpreted as secondary to obstructive sleep apnea and cardiogenic syncope, respectively. Symptoms continued to worsen, prompting hospital admission. Video-polysomnography revealed a previously unreported sleep pattern, characterized by an abnormally increased proportion of REM sleep (approximately 3 times the expected), with sleep-onset REM periods occurring every time sleep was resumed after nocturnal awakenings. In addition, non-REM sleep was undifferentiated, without sleep spindles, K complexes, or slow-wave sleep. The recurrent SOREMPs raised suspicion of secondary narcolepsy. MRI showed T2 hyperintensities in different brain regions, including the hypothalamus, and CSF analysis confirmed anti-Ma2 antibodies and decreased hypocretin-1 levels. Symptoms only partially improved after immunotherapy, and malignancy screening remained inconclusive.</p><p><strong>Discussion: </strong>This case illustrates the diagnostic challenge of autoimmune encephalitis, especially in the older population, and adds to the growing evidence on the value of sleep studies in these conditions. We describe a unique polysomnography pattern in anti-Ma2 encephalitis that could guide the diagnosis of this entity.</p>","PeriodicalId":19472,"journal":{"name":"Neurology® Neuroimmunology & Neuroinflammation","volume":"12 6","pages":"e200465"},"PeriodicalIF":7.5000,"publicationDate":"2025-11-01","publicationTypes":"Journal Article","fieldsOfStudy":null,"isOpenAccess":false,"openAccessPdf":"https://www.ncbi.nlm.nih.gov/pmc/articles/PMC12396744/pdf/","citationCount":"0","resultStr":"{\"title\":\"Unique Polysomnography Pattern Leading to the Diagnosis of Anti-Ma2 Encephalitis.\",\"authors\":\"Guillermo Nuñez-Manjarres, Ane Mínguez-Olaondo, Tamara Castillo-Triviño, Ana Vinagre-Aragon, Amaia Muñoz-Lopetegi\",\"doi\":\"10.1212/NXI.0000000000200465\",\"DOIUrl\":null,\"url\":null,\"abstract\":\"<p><strong>Background and objectives: </strong>Anti-Ma2 encephalitis is a rare autoimmune paraneoplastic syndrome that can present as secondary narcolepsy due to hypothalamic involvement.</p><p><strong>Methods: </strong>We present a case of anti-Ma2 encephalitis in which polysomnography was key to suspect the final diagnosis.</p><p><strong>Results: </strong>A 72-year-old man presented with progressive hypersomnia and recurrent falls, initially misinterpreted as secondary to obstructive sleep apnea and cardiogenic syncope, respectively. Symptoms continued to worsen, prompting hospital admission. Video-polysomnography revealed a previously unreported sleep pattern, characterized by an abnormally increased proportion of REM sleep (approximately 3 times the expected), with sleep-onset REM periods occurring every time sleep was resumed after nocturnal awakenings. In addition, non-REM sleep was undifferentiated, without sleep spindles, K complexes, or slow-wave sleep. The recurrent SOREMPs raised suspicion of secondary narcolepsy. MRI showed T2 hyperintensities in different brain regions, including the hypothalamus, and CSF analysis confirmed anti-Ma2 antibodies and decreased hypocretin-1 levels. Symptoms only partially improved after immunotherapy, and malignancy screening remained inconclusive.</p><p><strong>Discussion: </strong>This case illustrates the diagnostic challenge of autoimmune encephalitis, especially in the older population, and adds to the growing evidence on the value of sleep studies in these conditions. We describe a unique polysomnography pattern in anti-Ma2 encephalitis that could guide the diagnosis of this entity.</p>\",\"PeriodicalId\":19472,\"journal\":{\"name\":\"Neurology® Neuroimmunology & Neuroinflammation\",\"volume\":\"12 6\",\"pages\":\"e200465\"},\"PeriodicalIF\":7.5000,\"publicationDate\":\"2025-11-01\",\"publicationTypes\":\"Journal Article\",\"fieldsOfStudy\":null,\"isOpenAccess\":false,\"openAccessPdf\":\"https://www.ncbi.nlm.nih.gov/pmc/articles/PMC12396744/pdf/\",\"citationCount\":\"0\",\"resultStr\":null,\"platform\":\"Semanticscholar\",\"paperid\":null,\"PeriodicalName\":\"Neurology® Neuroimmunology & Neuroinflammation\",\"FirstCategoryId\":\"3\",\"ListUrlMain\":\"https://doi.org/10.1212/NXI.0000000000200465\",\"RegionNum\":1,\"RegionCategory\":\"医学\",\"ArticlePicture\":[],\"TitleCN\":null,\"AbstractTextCN\":null,\"PMCID\":null,\"EPubDate\":\"2025/8/28 0:00:00\",\"PubModel\":\"Epub\",\"JCR\":\"Q1\",\"JCRName\":\"CLINICAL NEUROLOGY\",\"Score\":null,\"Total\":0}","platform":"Semanticscholar","paperid":null,"PeriodicalName":"Neurology® Neuroimmunology & Neuroinflammation","FirstCategoryId":"3","ListUrlMain":"https://doi.org/10.1212/NXI.0000000000200465","RegionNum":1,"RegionCategory":"医学","ArticlePicture":[],"TitleCN":null,"AbstractTextCN":null,"PMCID":null,"EPubDate":"2025/8/28 0:00:00","PubModel":"Epub","JCR":"Q1","JCRName":"CLINICAL NEUROLOGY","Score":null,"Total":0}
引用次数: 0

摘要

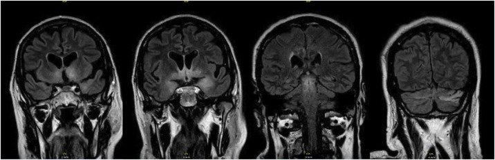
背景和目的:抗ma2脑炎是一种罕见的自身免疫性副肿瘤综合征,可因下丘脑受累而表现为继发性发作性睡病。方法:我们报告了一例抗ma2脑炎,其中多导睡眠图是怀疑最终诊断的关键。结果:一名72岁男性表现为进行性嗜睡和反复跌倒,最初分别被误解为继发于阻塞性睡眠呼吸暂停和心源性晕厥。症状持续恶化,促使住院治疗。视频多导睡眠仪揭示了一种以前未报道的睡眠模式,其特征是快速眼动睡眠的比例异常增加(大约是预期的3倍),每次夜间醒来后恢复睡眠时都会出现睡眠性快速眼动期。此外,非快速眼动睡眠没有区别,没有睡眠纺锤波、K复合体或慢波睡眠。反复出现的soremp引起继发性发作性睡病的怀疑。MRI显示包括下丘脑在内的大脑不同区域出现T2高信号,脑脊液分析证实抗ma2抗体和下丘脑分泌素-1水平下降。免疫治疗后症状仅部分改善,恶性筛查仍不确定。讨论:本病例说明了自身免疫性脑炎的诊断挑战,特别是在老年人群中,并增加了对这些疾病中睡眠研究价值的越来越多的证据。我们描述了一种独特的抗ma2脑炎的多导睡眠图模式,可以指导这种实体的诊断。
本文章由计算机程序翻译,如有差异,请以英文原文为准。

Unique Polysomnography Pattern Leading to the Diagnosis of Anti-Ma2 Encephalitis.

Unique Polysomnography Pattern Leading to the Diagnosis of Anti-Ma2 Encephalitis.

Unique Polysomnography Pattern Leading to the Diagnosis of Anti-Ma2 Encephalitis.

Background and objectives: Anti-Ma2 encephalitis is a rare autoimmune paraneoplastic syndrome that can present as secondary narcolepsy due to hypothalamic involvement.

Methods: We present a case of anti-Ma2 encephalitis in which polysomnography was key to suspect the final diagnosis.

Results: A 72-year-old man presented with progressive hypersomnia and recurrent falls, initially misinterpreted as secondary to obstructive sleep apnea and cardiogenic syncope, respectively. Symptoms continued to worsen, prompting hospital admission. Video-polysomnography revealed a previously unreported sleep pattern, characterized by an abnormally increased proportion of REM sleep (approximately 3 times the expected), with sleep-onset REM periods occurring every time sleep was resumed after nocturnal awakenings. In addition, non-REM sleep was undifferentiated, without sleep spindles, K complexes, or slow-wave sleep. The recurrent SOREMPs raised suspicion of secondary narcolepsy. MRI showed T2 hyperintensities in different brain regions, including the hypothalamus, and CSF analysis confirmed anti-Ma2 antibodies and decreased hypocretin-1 levels. Symptoms only partially improved after immunotherapy, and malignancy screening remained inconclusive.

Discussion: This case illustrates the diagnostic challenge of autoimmune encephalitis, especially in the older population, and adds to the growing evidence on the value of sleep studies in these conditions. We describe a unique polysomnography pattern in anti-Ma2 encephalitis that could guide the diagnosis of this entity.

求助全文
通过发布文献求助,成功后即可免费获取论文全文。 去求助
来源期刊
CiteScore
15.60
自引率
2.30%
发文量
219
审稿时长
8 weeks
期刊介绍: Neurology Neuroimmunology & Neuroinflammation is an official journal of the American Academy of Neurology. Neurology: Neuroimmunology & Neuroinflammation will be the premier peer-reviewed journal in neuroimmunology and neuroinflammation. This journal publishes rigorously peer-reviewed open-access reports of original research and in-depth reviews of topics in neuroimmunology & neuroinflammation, affecting the full range of neurologic diseases including (but not limited to) Alzheimer's disease, Parkinson's disease, ALS, tauopathy, and stroke; multiple sclerosis and NMO; inflammatory peripheral nerve and muscle disease, Guillain-Barré and myasthenia gravis; nervous system infection; paraneoplastic syndromes, noninfectious encephalitides and other antibody-mediated disorders; and psychiatric and neurodevelopmental disorders. Clinical trials, instructive case reports, and small case series will also be featured.
×
引用
GB/T 7714-2015
复制
MLA
复制
APA
复制
导出至
BibTeX EndNote RefMan NoteFirst NoteExpress
×
提示
您的信息不完整,为了账户安全,请先补充。
现在去补充
×
提示
您因"违规操作"
具体请查看互助需知
我知道了
×
提示
确定
请完成安全验证×
copy
已复制链接
快去分享给好友吧!
我知道了
右上角分享
点击右上角分享
0
联系我们:info@booksci.cn Book学术提供免费学术资源搜索服务,方便国内外学者检索中英文文献。致力于提供最便捷和优质的服务体验。 Copyright © 2023 布克学术 All rights reserved.
京ICP备2023020795号-1
ghs 京公网安备 11010802042870号
Book学术文献互助
Book学术文献互助群
群 号:604180095
Book学术官方微信