用于脑肿瘤综合诊断的网络部署、可解释的人工智能系统。

IF 3 Q2 CLINICAL NEUROLOGY
Serra Aksoy, Pinar Demircioglu, Ismail Bogrekci
{"title":"用于脑肿瘤综合诊断的网络部署、可解释的人工智能系统。","authors":"Serra Aksoy, Pinar Demircioglu, Ismail Bogrekci","doi":"10.3390/neurolint17080121","DOIUrl":null,"url":null,"abstract":"<p><strong>Background/objectives: </strong>Accurate diagnosis of brain tumors is one of the most important challenges in neuro-oncology since tumor classification and volumetric segmentation inform treatment planning. Two-dimensional classification and three-dimensional segmentation deep learning models can augment radiological workflows, particularly if paired with explainable AI techniques to improve model interpretability. The objective of this research was to develop a web-based brain tumor segmentation and classification diagnosis platform.</p><p><strong>Methods: </strong>A diagnosis system was developed combining 2D tumor classification and 3D volumetric segmentation. Classification employed a fine-tuned MobileNetV2 model trained on a glioma, meningioma, pituitary tumor, and normal control dataset. Segmentation employed a SegResNet model trained on BraTS multi-channel MRI with synthetic no-tumor data. A meta-classifier MLP was used for binary tumor detection from volumetric features. Explainability was offered using XRAI maps for 2D predictions and Gaussian overlays for 3D visualizations. The platform was incorporated into a web interface for clinical use.</p><p><strong>Results: </strong>MobileNetV2 2D model recorded 98.09% classification accuracy for tumor classification. 3D SegResNet obtained Dice coefficients around 68-70% for tumor segmentations. The MLP-based tumor detection module recorded 100% detection accuracy. Explainability modules could identify the area of the tumor, and saliency and overlay maps were consistent with real pathological features in both 2D and 3D.</p><p><strong>Conclusions: </strong>Deep learning diagnosis system possesses improved brain tumor classification and segmentation with interpretable outcomes by utilizing XAI techniques. Deployment as a web tool and a user-friendly interface made it suitable for clinical usage in radiology workflows.</p>","PeriodicalId":19130,"journal":{"name":"Neurology International","volume":"17 8","pages":""},"PeriodicalIF":3.0000,"publicationDate":"2025-08-04","publicationTypes":"Journal Article","fieldsOfStudy":null,"isOpenAccess":false,"openAccessPdf":"https://www.ncbi.nlm.nih.gov/pmc/articles/PMC12388561/pdf/","citationCount":"0","resultStr":"{\"title\":\"A Web-Deployed, Explainable AI System for Comprehensive Brain Tumor Diagnosis.\",\"authors\":\"Serra Aksoy, Pinar Demircioglu, Ismail Bogrekci\",\"doi\":\"10.3390/neurolint17080121\",\"DOIUrl\":null,\"url\":null,\"abstract\":\"<p><strong>Background/objectives: </strong>Accurate diagnosis of brain tumors is one of the most important challenges in neuro-oncology since tumor classification and volumetric segmentation inform treatment planning. Two-dimensional classification and three-dimensional segmentation deep learning models can augment radiological workflows, particularly if paired with explainable AI techniques to improve model interpretability. The objective of this research was to develop a web-based brain tumor segmentation and classification diagnosis platform.</p><p><strong>Methods: </strong>A diagnosis system was developed combining 2D tumor classification and 3D volumetric segmentation. Classification employed a fine-tuned MobileNetV2 model trained on a glioma, meningioma, pituitary tumor, and normal control dataset. Segmentation employed a SegResNet model trained on BraTS multi-channel MRI with synthetic no-tumor data. A meta-classifier MLP was used for binary tumor detection from volumetric features. Explainability was offered using XRAI maps for 2D predictions and Gaussian overlays for 3D visualizations. The platform was incorporated into a web interface for clinical use.</p><p><strong>Results: </strong>MobileNetV2 2D model recorded 98.09% classification accuracy for tumor classification. 3D SegResNet obtained Dice coefficients around 68-70% for tumor segmentations. The MLP-based tumor detection module recorded 100% detection accuracy. Explainability modules could identify the area of the tumor, and saliency and overlay maps were consistent with real pathological features in both 2D and 3D.</p><p><strong>Conclusions: </strong>Deep learning diagnosis system possesses improved brain tumor classification and segmentation with interpretable outcomes by utilizing XAI techniques. Deployment as a web tool and a user-friendly interface made it suitable for clinical usage in radiology workflows.</p>\",\"PeriodicalId\":19130,\"journal\":{\"name\":\"Neurology International\",\"volume\":\"17 8\",\"pages\":\"\"},\"PeriodicalIF\":3.0000,\"publicationDate\":\"2025-08-04\",\"publicationTypes\":\"Journal Article\",\"fieldsOfStudy\":null,\"isOpenAccess\":false,\"openAccessPdf\":\"https://www.ncbi.nlm.nih.gov/pmc/articles/PMC12388561/pdf/\",\"citationCount\":\"0\",\"resultStr\":null,\"platform\":\"Semanticscholar\",\"paperid\":null,\"PeriodicalName\":\"Neurology International\",\"FirstCategoryId\":\"1085\",\"ListUrlMain\":\"https://doi.org/10.3390/neurolint17080121\",\"RegionNum\":0,\"RegionCategory\":null,\"ArticlePicture\":[],\"TitleCN\":null,\"AbstractTextCN\":null,\"PMCID\":null,\"EPubDate\":\"\",\"PubModel\":\"\",\"JCR\":\"Q2\",\"JCRName\":\"CLINICAL NEUROLOGY\",\"Score\":null,\"Total\":0}","platform":"Semanticscholar","paperid":null,"PeriodicalName":"Neurology International","FirstCategoryId":"1085","ListUrlMain":"https://doi.org/10.3390/neurolint17080121","RegionNum":0,"RegionCategory":null,"ArticlePicture":[],"TitleCN":null,"AbstractTextCN":null,"PMCID":null,"EPubDate":"","PubModel":"","JCR":"Q2","JCRName":"CLINICAL NEUROLOGY","Score":null,"Total":0}
引用次数: 0

摘要

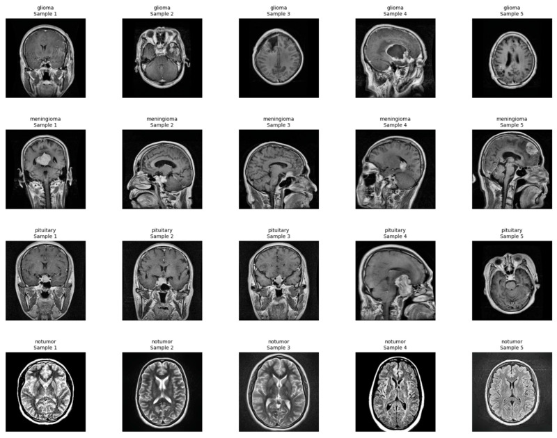
背景/目的:脑肿瘤的准确诊断是神经肿瘤学中最重要的挑战之一,因为肿瘤的分类和体积分割为治疗计划提供了信息。二维分类和三维分割深度学习模型可以增强放射学工作流程,特别是如果与可解释的人工智能技术相结合,以提高模型的可解释性。本研究的目的是开发一个基于网络的脑肿瘤分割和分类诊断平台。方法:建立二维肿瘤分类与三维体积分割相结合的诊断系统。分类采用在神经胶质瘤、脑膜瘤、垂体瘤和正常对照数据集上训练的微调MobileNetV2模型。分割采用在BraTS多通道MRI上训练的SegResNet模型和合成的无肿瘤数据。采用元分类器MLP从体积特征中进行二元肿瘤检测。使用XRAI地图进行2D预测,使用高斯叠加进行3D可视化,从而提供可解释性。该平台被整合到临床使用的web界面中。结果:MobileNetV2二维模型对肿瘤的分类准确率为98.09%。3D SegResNet获得了68-70%左右的Dice系数用于肿瘤分割。基于mlp的肿瘤检测模块检测准确率达到100%。可解释性模块可以识别肿瘤的区域,并且在2D和3D上的显著性和覆盖图与真实病理特征一致。结论:深度学习诊断系统利用XAI技术改进了脑肿瘤的分类和分割,结果可解释。作为一个网络工具和用户友好的界面部署使其适合临床使用放射学工作流程。
本文章由计算机程序翻译,如有差异,请以英文原文为准。

A Web-Deployed, Explainable AI System for Comprehensive Brain Tumor Diagnosis.

A Web-Deployed, Explainable AI System for Comprehensive Brain Tumor Diagnosis.

A Web-Deployed, Explainable AI System for Comprehensive Brain Tumor Diagnosis.

A Web-Deployed, Explainable AI System for Comprehensive Brain Tumor Diagnosis.

Background/objectives: Accurate diagnosis of brain tumors is one of the most important challenges in neuro-oncology since tumor classification and volumetric segmentation inform treatment planning. Two-dimensional classification and three-dimensional segmentation deep learning models can augment radiological workflows, particularly if paired with explainable AI techniques to improve model interpretability. The objective of this research was to develop a web-based brain tumor segmentation and classification diagnosis platform.

Methods: A diagnosis system was developed combining 2D tumor classification and 3D volumetric segmentation. Classification employed a fine-tuned MobileNetV2 model trained on a glioma, meningioma, pituitary tumor, and normal control dataset. Segmentation employed a SegResNet model trained on BraTS multi-channel MRI with synthetic no-tumor data. A meta-classifier MLP was used for binary tumor detection from volumetric features. Explainability was offered using XRAI maps for 2D predictions and Gaussian overlays for 3D visualizations. The platform was incorporated into a web interface for clinical use.

Results: MobileNetV2 2D model recorded 98.09% classification accuracy for tumor classification. 3D SegResNet obtained Dice coefficients around 68-70% for tumor segmentations. The MLP-based tumor detection module recorded 100% detection accuracy. Explainability modules could identify the area of the tumor, and saliency and overlay maps were consistent with real pathological features in both 2D and 3D.

Conclusions: Deep learning diagnosis system possesses improved brain tumor classification and segmentation with interpretable outcomes by utilizing XAI techniques. Deployment as a web tool and a user-friendly interface made it suitable for clinical usage in radiology workflows.

求助全文
通过发布文献求助,成功后即可免费获取论文全文。 去求助
来源期刊
Neurology International
Neurology International CLINICAL NEUROLOGY-
CiteScore
3.70
自引率
3.30%
发文量
69
审稿时长
11 weeks
×
引用
GB/T 7714-2015
复制
MLA
复制
APA
复制
导出至
BibTeX EndNote RefMan NoteFirst NoteExpress
×
提示
您的信息不完整,为了账户安全,请先补充。
现在去补充
×
提示
您因"违规操作"
具体请查看互助需知
我知道了
×
提示
确定
请完成安全验证×
copy
已复制链接
快去分享给好友吧!
我知道了
右上角分享
点击右上角分享
0
联系我们:info@booksci.cn Book学术提供免费学术资源搜索服务,方便国内外学者检索中英文文献。致力于提供最便捷和优质的服务体验。 Copyright © 2023 布克学术 All rights reserved.
京ICP备2023020795号-1
ghs 京公网安备 11010802042870号
Book学术文献互助
Book学术文献互助群
群 号:604180095
Book学术官方微信